1/13
Looks like no tags are added yet.
Name | Mastery | Learn | Test | Matching | Spaced | Call with Kai |
|---|
No study sessions yet.

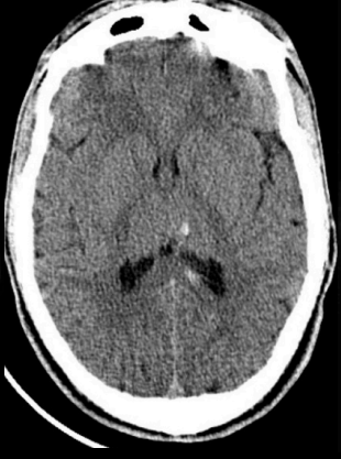
Contusión hemorrágica (golpe y contra golpe)


Contusión hemorrágica


Contusión hemorrágica


Contusión hemorrágica
golpe=azul
contra golpe=rojo


Contusión hemorrágica
golpe=azul
contra golpe=rojo


Injuria axonal difusa
Lesión a nivel del centro semioval, se observan pequeñas imágenes de hemorragia.

Injuria Axonal Difusa
lesión a nivel de la corona radiada, en el esplenio del cuerpo calloso, con dos zonas de hemorragia que pueden pasar desapercibidas.


Injuria axonal difusa
se puede observar una pequeña zona de hemorragia a nivel del tallo cerebral.


Injuria axonal difusa, localizada a nivel del centro semioval, se puede observar una pequeña zona de hemorragia.


Injuria axonal difusa, localizada a nivel de la corona radiada, se puede observar una pequeña zona de hemorragia en el tálamo y en el esplenio del cuerpo calloso
