1/13
Looks like no tags are added yet.
Name | Mastery | Learn | Test | Matching | Spaced | Call with Kai |
|---|
No analytics yet
Send a link to your students to track their progress
fertilization
occurs when the nuclei of the sperm and egg fuse
produce zygote (diploid)
when is pregnancy detectable? duration?
early as 3.5 weeks (few days before missing a period)
40 wks
requirements of pregnancy
growth of new endocrine organ
development of a baby
increased metabolic/cardiovascular/renal/etc demands
gamete transport — the egg & estradiol role
ovum is released into peritoneal cavity to be picked up by fallopian tubes
viable for 1 day
ampulla is the fertilization site
increased ciliary movement
increased smooth muscle contractions
decrease cervical mucus viscosity
increase vaginal pH
gamete transport — the sperm
in ejaculate → hundreds of millions
in fallopian tubes —> hundreds to thousands
gamete transport — what do the sperm succumb to and are helped by on the way to the fallopian tubes?
succumb to
gravity/energy
pH
folds of vaginal wall
cervical mucus
WBCs in uterus
helps them
slightly less acidic
cervical mucus slightly thinner
ejaculate (all components)
capacitation
biochemical and physiological changes sperm undergo to acquire fertilizing capacity
happens mostly in the female reproductive tract
can be performed in vitro
capacitation and hyperactivity
cytoplasmic changes
increased fluidity of plasma membrane → dec cholesterol
hyperactivation — motility changes
separate from capacitation, but happens concurrently
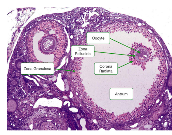
corona radiata
granuloi cells
transport big picture and seminal vesicles
sperm travels through vagina → cervix → uterus → down fallopian tube to reach the ovum
seminal vesicles:
fructose
coagulase
prostaglandins

phases of fertilization
corona radiata penetration
zona pellucida penetration
fusion of the oocyte and sperm plasma membranes

draw out what’s involved of fertilization
granulosa
binding protein (ZP3)
zona pellucida
cell mem of oocyte
ion channels
lysosomes
smooth ER

Phases of fertilization + prevention of polyspermy — draw out
binding ZP3 and acrosome fuses
enzymes make hole in ZP
sperm + oocyte membrane opens Na+ channels
depolarization! — fast block to polyspermy
alpha subunit binds
sperm nuclear material released
SER Ca2+ release
activates lysosomes
lysosomal enzymes degrade ZP3 and harden zona pellucida — slow block to polyspermy

the zygote & where do twins come from?
single-celled, diploid product of fertilization
2 eggs → fraternal
zygote splits → identical