1/57
Looks like no tags are added yet.
Name | Mastery | Learn | Test | Matching | Spaced | Call with Kai |
|---|
No analytics yet
Send a link to your students to track their progress
Epithelial tissue
Sheets of cells that cover exterior surfaces of the body, line internal cavities and passageways, and form certain glands

Connective tissue
Binds the cells and organs of the body together and functions in the protection, support, and integrations of all parts of the body

Muscle tissue
excitable, responds to stimulation and contracting to provide movement, three major types:
Skeletal (voluntary) muscle
Smooth muscle
Cardiac muscle (in the heart)

Nervous tissue
excitable, allows the propagation of electrochemical signals in the form of nerve impulses for communication

Structural properties of epithelial tissue
Has cells arranged in continuous sheets with little extracellular matrix (little tissue outside of the cell)
Cells may be packed in single or multiple layers
Cells packed tightly, no room for blood vessels between them (avascular)
What are the three surfaces of epithelial cells
Apical surface
Lateral surface
Basal surface

Apical surface of epithelial cells
Faces the body surface, body cavity, or lumen of a hollow organ or duct, may contain cilia or microvilli

Lateral surface of epithelial cells
Face the lateral surface of adjacent cells, often contain tight junctions that bind the cells together tightly

Basal surface of epithelial cells
Located opposite to the apical surface, adheres to the extracellular materials

Basement membrane
Thin layer of extracellular material underlying epithelial cells
Provides a point of attachment and support for overlying epithelial tissue

What are the two layers of basement membrane
Basal lamina
Reticular lamina
Basal lamina
Secreted by epithelial cells and provides an attachment site for the epithelium, separating it from underlying connective tissue

Reticular lamina
Found below the basal lamina, composed of fibrous proteins produced by underlying connective tissue

Epithelial tissue functions (5)
Protection (protection of underlying tissue from abrasion and invading pathogens)
Secretion of substances (mucous glands, sweat glans, enzyme-secreting portions of pancreases are made of epithelial cells
Absorption (absorption of nutrients across epithelium of small intestine)
Filtration (kidney epithelia in glomeruli (capillaries) filter out wastes from blood)
Sensation (epithelial structures with sensory nerve endings are found in the skin, nose, ears, and eyes
What are the two main types of epithelial tissue
Covering and lining epithelia: forms the outer coverings of skin, lines some internal organs (blood vessels, body cavities, digestive system, urinary system…)
Glandular epithelia: forms the secreting portions of glands (thyroid glands, adrenal glands, sweat glands)

How are Epithelial tissues classified
Classified based on their shape and number of cells formed (layers)
What are the different cell shapes of epithelial cells
Squamous (flattened and thin)
Cuboidal (boxy, as wide as it is tall)
Columnar (rectangular, taller than it is wide)

How do we classify between the layers of cell tissue in epithelial cells
One: every cells rests on the basal lamina —> simple epithelium
More than one: only the basal layer of cells rests on the basal lamina —> stratified epithelium
Pseudostratified
Describes tissue with single layer of irregularly shaped cells that give the appearance of more than one layer

Simple squamous epithelium (properties, function, and location where they are found)
Cells have the appearance of thin scales, nuclei are flat, horizontal, and elliptical
Function: permeable to let through many substances, allowing for materials to move in or out of the cell (ie gas exchange)
Found in alveoli (lungs), glomeruli (kidney), and endothelium (blood vessels)

Simple cuboidal epithelium (properties, function, and location where they are fund)
Cells have the appearance of a box, nucleus located at the centre of the cell
Functions: absorption and secretion, mucus production
Found in many glands (thyroid, mammary, salivary) and ducts ie in the liver

Simple columnar epithelium (properties, function, and where they are located)
Single layer, tall column shaped cells
Function: absorption and secretion, modified for certain function, cilia for movement, goblet cells for secretion, and microvilli for absorption
Often line hollow visceral structures like the GI tract, uterine tubes…

Pseudostratified columnar epithelium (properties, function, and where they are located)
Consists of a single layer of irregularly shaped and differently size columnar cells (appears to be stratified)
All cells rest on the basement membrane
Nuclei of cells appear at different levels rather than clustered in the basal end
Found lining trachea of the respiratory track…

Stratified epithelium (properties, function, and where they are located)
Apical cells squamous, basal layer contains columnar or cuboidal cells
Top layer covered with dead cells filled with keratin (protein). seen in mammalian skin
Lines mouth cavity

Stratified cuboidal epithelium
Two or more cell layers: surface cells square
Salivary and sweat gland ducts: secrete saliva and sweat

Stratified columnar epithelium
Multiple layers of columnar cells
Quite rare, seen in segments of male urethra and near anus

Transitional epithelium
Cells change from round (relaxed) to flat (stretched)
Stratified (usually 10 or more layers)
Protects organ walls from tearing
Located in lining of hollow viscera subjected to stress (urinary tract)

Connective tissue
Cells dispersed in a matrix with large amounts of extracellular material
The matrix has a ground substance crisscrossed by protein fibres, usually is a fluid but may be mineralised and solid as in bones

What are the three characteristic components of connective tissue
Cells
Large amounts of amorphous ground substance
protein fibres
What are the classifications of connective tissues
Connective tissue proper
Fluid connective tissue
Supporting connective tissue

Connective tissue proper

Fluid connective tissue

Supporting connective tissue

Extracellular matrix (ECM)
Complex network of macromolecules that surrounds and supports cells in tissues and organs, non cellular component providing structural and biochemical support to cells

fibroblasts (definition and which type of fibres are secreted by them)
crucial, versatile connective tissue cells that maintain structural integrity by synthesizing extracellular matrix components like collagen, elastic, and reticular fibres
Collagen fibres
Made from fibrous protein subunits, great tensile strength, resists stretching, gives ligaments and tendons their characteristic strength

Elastic fibres
Contain the protein elastin and lesser amounts of other proteins
Main property is it returns to shape after being stretched/compressed
Found in skin and liagements

Reticular fibres
Formed from the same protein subunits as collagen, but fibres remain narrow and in a branching network, found throughout the body, most abundant in reticular tissue of soft organs like the liver
Anchor and provide structural support to parenchyma (cells, blood vessels, and nerves of an organ)

interstitial tissue
The space between cells in connective tissue, filled with interstitial fluid and other ECM components
Critical in tissue hydration and nutrient exchange
Connective tissue proper
Cells found: fibroblasts, adipocytes… are fixed cells (remain within connective tissue)
Macrophages, mast cells, lymphocytes… move in and out of connective tissue
Most abundant cell is fibroblasts and then fibrocytes (less active version of fibroblasts)

Loose connective tissue
Found between organs, acts to absorb shock and bind tissues together
Allows water, salts, and nutrients to diffuse through to adjacent cells/tissues
Example is adipose tissue

Adipose tissue
Consists mostly of fat storage cells (adipocytes), large capillaries allowing rapid storage/mobilization of lipid molecules

What are the two types of adipose tissue
White adipose tissue (WAT)
Brown adipose tissue (BAT)

White adipose tissue (WAT)
Most abundant and contributes mostly to lipid storage, also insulates from cold temperature and mechanical inuries

Brown adipose tissue (BAT)
More common in infants (baby fat), in adults found mainly in the neck/clavicular region, is thermogenic (produces heat)

Areolar tissue
Loose arrangements of fibres and cells
Fills the space between muscle fibres, surrounds blood…
Underlies most epithelia

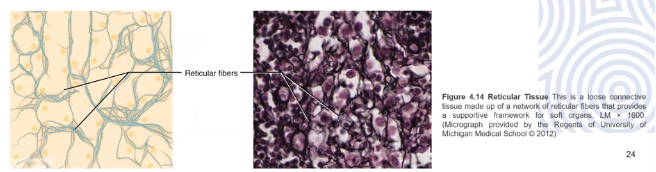
Reticular tissue
Mesh like, supportive framework for soft organs
Reticular cells produce reticular fibres that form networks other cells attach to
filters out injurious particles

Dense connective tissue
Contains more collagen fibre than loose connective tissue (greater stretch resistance)
Two major categories: regular and irregular
Dense regular connective tissue
Fibres are parallel to each other, enhances tensile strength in the fibre direction
Makes up ligaments and tendons
Also contains elastin fibres so ligaments return to original length after stretching

Dense irregular connective tissue
Fibre direction is random, tissue has greater strength in all directions but less in one direction
Found in dermis of the skin

Supportive connective tissue - cartilage
Tissue with flexible rubbery matrix and lacks blood supply
Only cell present is chondrocytes, produce fibres and ground substance of cartilage
Cartilage is avascular meaning nutrient ion of cells depends on diffusion of nutrients through matrix
Perichondrium
Membrane that surrounds the cartilage
What are the types of cartilage (fibre types)
Hyaline
Fibrocartilage
Elastic cartilage
Hyaline
Most prevalent type of cartilage, support airways, eases joint movement
Smooth surface and rubbery matrix
Found in the ends of bones at moveable joints, sternal ends of ribs…

Fibrocartilage
Strongest/most durable cartilage
Found in intervertebral discs, serves as shock absorbing material between bones in the knee

Elastic Cartilage
Contains elastic fibres as well as collagen, gives rigid support and elasticity
Found in the external ear and in the epiglottis

Supportive connective tissue - bones
Hardest connective tissue (due to rigid extracellular matrix with collagen in a mineralized ground substance), provides protection for the body,

Fluid connective tissue - blood and lymph
Blood - cells circulate in a liquid extracellular matrix (derived from stem cells)
includes red and white blood cells and platelets
Lymph - contains a liquid matrix and white blood cells
Have extremely permeable capillaries, allows large molecules and excess fluid from interstitial space to enter lymphatic vessels
Lymph drains into blood vessels delivering nutrients/molecules that otherwise couldn’t enter
