Microlab Lab Review:

0.0(0)
Studied by 0 people
call kaiCall Kai
learnLearn
examPractice Test
spaced repetitionSpaced Repetition
heart puzzleMatch
flashcardsFlashcards
GameKnowt Play
Card Sorting

1/56

encourage image

There's no tags or description

Looks like no tags are added yet.

Last updated 9:54 PM on 3/10/26
Name
Mastery
Learn
Test
Matching
Spaced
Call with Kai

No analytics yet

Send a link to your students to track their progress

57 Terms

1
New cards

Plate Streak Types

Used to isolate individual bacterial colonies from a mixed culture. Isolation is necessary so that a pure culture can be obtained for identification or further experiments.

<p>Used to isolate individual bacterial colonies from a mixed culture. Isolation is necessary so that a pure culture can be obtained for identification or further experiments.</p>
2
New cards

Quadrant Streak

Plate divided into 4 sectors

Loop sterilized between streaks

Each streak spreads fewer cells

Final quadrant produces isolated colonies

3
New cards

T-Streak

Plate divided into 3 sections

Streaked in a T pattern

Used when moderate dilution is needed

4
New cards

Zig-Zag Streak

Continuous streak across plate

Not ideal for isolation

Used to simply distribute bacteria

5
New cards

Why streaking works

Each new streak dilutes the bacterial population, allowing single cells to grow into individual colonies.

6
New cards

Parts of the Microscope: Ocular lens

Eyepiece used to observe specimen.

Magnification = 10x

<p>Eyepiece used to observe specimen.</p><p>Magnification = 10x</p>
7
New cards

Objective lenses

Objective Magnification

Scanning 4x

Low power 10x

High power 40x

Oil immersion 100x

<p>Objective Magnification</p><p>Scanning 4x</p><p>Low power 10x</p><p>High power 40x</p><p>Oil immersion 100x</p>
8
New cards

Stage

Platform where slide sits.

<p>Platform where slide sits.</p>
9
New cards

Condenser

Focuses light onto specimen.

Controls brightness and resolution.

<p>Focuses light onto specimen.</p><p>Controls brightness and resolution.</p>
10
New cards

Coarse focus knob

Moves stage quickly for initial focus.

Used only with low magnification.

<p>Moves stage quickly for initial focus.</p><p>Used only with low magnification.</p>
11
New cards

Fine focus knob

Used for precise focusing, especially at high magnification.

<p>Used for precise focusing, especially at high magnification.</p>
12
New cards

Light source

Illuminates specimen.

13
New cards

Oxidation vs Fermentation (O‑F test)

This test determines how bacteria metabolize glucose.

<p>This test determines how bacteria metabolize glucose.</p>
14
New cards

Oxidation

Requires oxygen

Glucose broken down using aerobic respiration

<p>Requires oxygen</p><p>Glucose broken down using aerobic respiration</p>
15
New cards

Oxidative Positive

Only open tube turns yellow

<p>Only open tube turns yellow</p>
16
New cards

Fermentation

Does not require oxygen

Energy produced anaerobically

<p>Does not require oxygen</p><p>Energy produced anaerobically</p>
17
New cards

Fermentation Positive

Both tubes turn yellow

<p>Both tubes turn yellow</p>
18
New cards

No metabolism

Medium remains green

19
New cards

Obligate Aerobe

Requires oxygen.

Growth pattern: Top of tube only

Example: Pseudomonas

<p>Requires oxygen.</p><p>Growth pattern: Top of tube only</p><p>Example: Pseudomonas</p>
20
New cards

Obligate Anaerobe

Oxygen is toxic.

Growth pattern: Bottom of tube

Example: Clostridium

<p>Oxygen is toxic.</p><p>Growth pattern: Bottom of tube</p><p>Example: Clostridium</p>
21
New cards

Facultative Anaerobe

Can grow with or without oxygen.

Growth pattern: Throughout tube but heavier at top

Example: E. coli

<p>Can grow with or without oxygen.</p><p>Growth pattern: Throughout tube but heavier at top</p><p>Example: E. coli</p>
22
New cards

Aerotolerant Anaerobe

Does not use oxygen but tolerates it.

Growth pattern: Even growth throughout

<p>Does not use oxygen but tolerates it.</p><p>Growth pattern: Even growth throughout</p>
23
New cards

Broth Growth Types: Uniform turbidity

Even cloudy growth.

<p>Even cloudy growth.</p>
24
New cards

Broth Growth Types: Sediment

Cells settle at bottom.

<p>Cells settle at bottom.</p>
25
New cards

Broth Growth Types: Pellicle

Growth forms film on surface.

<p>Growth forms film on surface.</p>
26
New cards

Broth Growth Types: Flocculent

Clumps floating in broth.

<p>Clumps floating in broth.</p>
27
New cards

Slant Growth

Slants are used to maintain bacterial cultures.

28
New cards

Characteristics to Describe Bacteral Morphology

Shape

Margin

Texture

Pigment

Elevation

Example description:

"Raised, smooth margin, creamy texture, opaque white colonies."

29
New cards

Aperture Number (Numerical Aperture)

Numerical aperture measures the ability of the objective lens to collect light.

<p>Numerical aperture measures the ability of the objective lens to collect light.</p>
30
New cards

Higher NA =

Better Resolution

31
New cards

Where NA is found?

Printed on the objective lens.

32
New cards

Example of NA

40x / 0.65

0.65 = numerical aperture.

33
New cards

No growth in lab experiments

culture dead

inoculation failed

<p>culture dead</p><p>inoculation failed</p>
34
New cards

Contamination in experiment

Poor aseptic technic

35
New cards

Incorrect color change in lab

Incorrect incubation

Wrong reagent order

36
New cards

Simple stain

Uses basic dye, positive charge, hence why it stains negatively charged cells.

<p>Uses basic dye, positive charge, hence why it stains negatively charged cells.</p>
37
New cards

Simple stain examples

crystal violet

methylene blue

safranin

38
New cards

Purpose of Simple Stain

Observe cell shape, size, arrangement

Heat-fixing may distort cells

39
New cards

Negative stain

uses acidic dye (negatively charged), which is repelled by (negatively charged0 cell walls, leaving clear cells on a dark background

<p>uses acidic dye (negatively charged), which is repelled by (negatively charged0 cell walls, leaving clear cells on a dark background</p>
40
New cards

Negative stain example

nigrosin

41
New cards

Negative stain Purpose

Stains background instead of cells

Cells appear clear

no heat-fixing so cells stay in their original state, to see bacteria in their natural size, shape and arrangement

42
New cards

Differential stains

Used to distinguish bacteria. (multiple stains involved)

43
New cards

Differential stains examples

Gram stain

Acid fast stain

Endospore stain

44
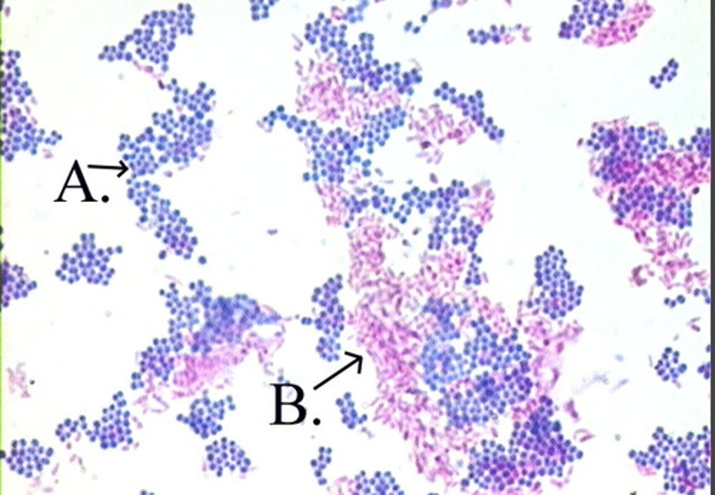
New cards

Gram‑positive bacteria

Have 1 lipid layer, thick peptidoglycan, and teichoic acids

<p>Have 1 lipid layer, thick peptidoglycan, and teichoic acids</p>
45
New cards

Result of Gram + Stain

Retain crystal violet.

Color: Purple

<p>Retain crystal violet.</p><p>Color: Purple</p>
46
New cards

Gram‑negative bacteria

Have 2 lipid layers and thin peptidoglycan and LPS

47
New cards

Gram - Stain

Alcohol removes stain.

Counterstain (safranin) colors them:

Pink

<p>Alcohol removes stain.</p><p>Counterstain (safranin) colors them:</p><p>Pink</p>
48
New cards

Gram Stain

Crystal violet

Iodine (mordant)

Alcohol (decolorizer)

Safranin (counterstain)

49
New cards

Simple stain Procedure

basic dye

stains bacteria

heat fixed

Result: cells colored

50
New cards

Negative stain Procedure

acidic dye

stains background

no heat fixation

Result: cells appear clear

Advantage: Cells remain true size and shape.

51
New cards

Principle of Acid‑Fast Stain

Used to detect bacteria containing mycolic acid.

52
New cards

Acid Fast Stain

Contain mycolic acid, have a waxy, hydrophobic wall, and that the test is meant for the Mycobacterium genus, including organisms like M. leprae and M. tuberculosis.

<p>Contain mycolic acid, have a waxy, hydrophobic wall, and that the test is meant for the Mycobacterium genus, including organisms like M. leprae and M. tuberculosis.</p>
53
New cards

What is the principle of Acid-Fast Stain?

Normal water-soluble stains do not penetrate the waxy mycolic acid-rich wall well.

54
New cards

What type of stain is used in Acid-Fast Staining?

Carbolfuchsin, a phenolic stain.

55
New cards

How does steam heat affect the mycolic acid in Acid-Fast Staining?

Steam heat melts the mycolic acid and creates pores that let the stain enter.

Acid fast bacteria: Red

Non acid fast bacteria: Blue

56
New cards

What is in the Cell Membrane

Cell membrane contains:

phospholipids

proteins

enzymes

transport proteins

Function: Controls movement of substances in and out of cell.

57
New cards

Fluid Thioglycollate Medium (FTM)

FTM is used to determine oxygen requirements of bacteria.

The medium contains chemicals that remove oxygen, creating an oxygen gradient.

<p>FTM is used to determine oxygen requirements of bacteria.</p><p>The medium contains chemicals that remove oxygen, creating an oxygen gradient.</p>

Explore top flashcards

flashcards
Mô phôi - Da
25
Updated 300d ago
0.0(0)
flashcards
SG #2 (E.H) - Stone Ages Notes
23
Updated 470d ago
0.0(0)
flashcards
Combining Forms
33
Updated 1138d ago
0.0(0)
flashcards
ChemE 123 LE1 Conceptual
68
Updated 1014d ago
0.0(0)
flashcards
0 Basic Vocab SPN1
92
Updated 949d ago
0.0(0)
flashcards
Chapter 22 - study guide
42
Updated 325d ago
0.0(0)
flashcards
Mô phôi - Da
25
Updated 300d ago
0.0(0)
flashcards
SG #2 (E.H) - Stone Ages Notes
23
Updated 470d ago
0.0(0)
flashcards
Combining Forms
33
Updated 1138d ago
0.0(0)
flashcards
ChemE 123 LE1 Conceptual
68
Updated 1014d ago
0.0(0)
flashcards
0 Basic Vocab SPN1
92
Updated 949d ago
0.0(0)
flashcards
Chapter 22 - study guide
42
Updated 325d ago
0.0(0)