1/51
Looks like no tags are added yet.
Name | Mastery | Learn | Test | Matching | Spaced | Call with Kai |
|---|
No analytics yet
Send a link to your students to track their progress

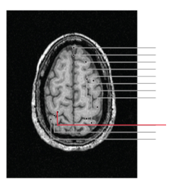
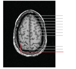
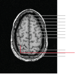
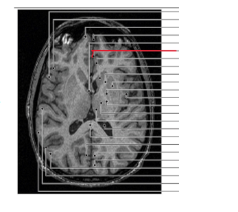
corpus callosum

lobus frontalis

lobus parietalis

lobus occipitalis

lobus temporalis

insula

gyrus precentralis

gyrus precentralis

gyrus precentralis

gyrus postcentralis

gyrus postcentralis

gyrus postcentralis

gyrus cinguli

sulcus centralis

sulcus centralis

sulcus centralis

sulcus centralis

sulcus lateralis

sulcus cinguli

sulcus cinguli

fissura longitudinalis cerebri

tractus olfactorius

claustrum

claustrum

claustrum

claustrum

nucleus caudatus

nucleus caudatus

nucleus caudatus

putamen

putamen

putamen

putamen

globus pallidus

globus pallidus

capsula interna (corona radiata)

capsula interna (corona radiata)

capsula interna (corona radiata)

capsula interna (corona radiata)

capsula externa

capsula externa

capsula extrema

capsula extrema

hippocampus

amygdala

fornix

fornix

laterale ventrikels (I en II)

laterale ventrikels (I en II)

laterale ventrikels (I en II)

septum pellucidum