1/24
Name | Mastery | Learn | Test | Matching | Spaced | Call with Kai |
|---|
No analytics yet
Send a link to your students to track their progress
Defina neoplasia
Crecimiento nuevo, excesivo y descoordinado de células desencadenado por una serie de mutaciones adquiridas que afectan a una sola célula y a su progenie.
Mencione los 2 componentes básicos de toda neoplasia e identifique las características que son comunes a todas las neoplasias.
El tumor (masa de células neoplásicas) y el estroma (tejido conjuntivo, vasos sanguíneos, células del sistema inmune).
Emplee correctamente la clasificación básica de las neoplasias benignas y malignas y las excepciones a las reglas generales de dicha clasificación:
Tumores benignos:
Permanecen localizados en su sitio de origen y generalmente son susceptibles de extirpación quirúrgica. Normalmente los pacientes suelen sobrevivir pero se describen excepciones cuando los tumores benignos ocurren en lugares vulnerables, como el cerebro; en este caso, incluso los tumores «benignos» pueden causar una morbilidad significativa y, en ocasiones, incluso ser mortales.
Tumores malignos:
pueden invadir y destruir estructuras adyacentes y diseminarse a sitios distantes (metastatizan). Los tumores malignos se denominan colectivamente cánceres. No todos los tumores malignos siguen una evolución mortal; algunos se descubren en etapas tempranas y permiten su resección quirúrgica, y otros se curan con fármacos administrados sistémicamente o anticuerpos terapéuticos. Sin embargo, la designación «maligno» siempre supone una amenaza.
Tumores mixtos:
Son los tumores que contienen más de un tipo celular en su estructura como por ejemplo el tumor mixto de la glándula salival que contiene componentes epiteliales en un estroma mixoide que puede contener cartílago o hueso.

Tumores de origen mesenquimatoso
¿Cuáles son sus formas malignas?


¿cuáles son sus formas benignas?


Tumores de origen epitelial
Cuáles son sus formas benignas?


¿Cuáles son sus formas malignas?


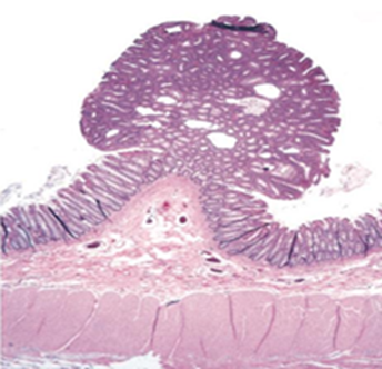
Describa la lesión, e identifique si corresponde a una neoplasia benigna o maligna y explique por qué
PÓLIPO ADENOMATOSOS, La lesión es un pólipo cólico adenomatoso (glandular). Un pólipo cólico es un crecimiento anormal que se desarrolla en el revestimiento del colon o del recto. Pueden variar en tamaño y forma, y pueden ser de diferentes tipos, como pólipos hiperplásicos, adenomatosos o serrados. Estos pólipos son comunes y generalmente benignos, pero algunos tipos, como los pólipos adenomatosos, pueden representar un riesgo aumentado de cáncer colorrectal si no se tratan.

Defina el término hamartoma, explique si se considera o no una lesión neoplásica.
Un hamartoma es un crecimiento benigno compuesto por tejidos normales que se encuentran en un lugar anormal o en una cantidad excesiva en un órgano específico. A diferencia de las neoplasias, los hamartomas no se consideran lesiones neoplásicas, ya que no implican un crecimiento descontrolado de células, sino un crecimiento excesivo de tejidos normales en un área específica.
Los tumores mixtos tienen un origen monoclonal, pero la célula progenitora en estos casos tiene capacidad de diferenciarse a más de una estirpe, mencione algunos ejemplos:
El adenoma pleomorfo y el teratoma quístico maduro, también conocido como quiste dermoide.
-Glándula Salival – contiene componentes epiteliales dispersos dentro de un estroma mixoide que puede contener islas de cartílago o hueso. Todos estos elementos surgen de un solo clon neoplásico capaz de producir células epiteliales como mesenquimatosas por tanto esta neoplasia es llamada adenoma pleomorfo.
-Teratoma quístico maduro o dermoide: tumor que contiene tejidos maduros o inmaduros que pertenecen a más de una capa germinativa.

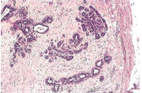
Describa los hallazgos histológicos presentes en cada una de las lesiones neoplásicas:
Tumor mixto de la glándula parótida, hay pequeños nidos de células epiteliales y estroma mixoide que forma cartílago y hueso.

Corte de un fibroadenoma de mama, esta imagen microscópica muestra una cápsula (derecha) que separa el tumor del tejido circundante. Esta cápsula se forma ya que los tumores benignos crecen y se expanden lentamente desarrollando un margen de tejido fibroso comprimido (cápsula) que separa el tumor del tejido normal circundante. Esta cápsula consta de matriz extracelular depositada por células del estroma como los fibroblastos; y esta encapsulación crea un plano tisular que hace que el tumor esté separado, sea fácilmente palpable, móvil y fácilmente extirpable mediante enucleación quirúrgica.

Pequeño tumor encapsulado de color pardo delimitado por el tejido mamario más blanco es benigno.
Es un fibroadenoma de mama.
El cual corresponde a un tumor benigno. Este tipo de tumores se caracterizan por ser de crecimiento lento y permanecer en su lugar de origen. Suelen desarrollar una cápsula de tejido fibroso comprimido que los separa del tejido circundante normal. Esta cápsula está compuesta por una matriz extracelular depositada por células del estroma, que son activadas por daño hipóxico causado por la presión del tumor en crecimiento

Carcinoma ductal infiltrante de mama. donde el corte de la lesión está retraído e infiltra el parénquima mamario circundante y se notaría dura a la palpación. Este tumor corresponde a un tumor maligno, que, por el contrario, a los tumores benignos, estos en general, están mal delimitados con respecto al tejido normal circundante y carecen de planos de división definidos. Los tumores malignos de expansión lenta pueden desarrollar una cápsula fibrosa aparentemente envolvente y presionar estructuras normales adyacentes.
Sin embargo, la exploración histológica de estas masas (seudoencapsuladas) casi siempre muestra hileras de células tumorales que penetran en el margen e infiltran estructuras adyacentes, un patrón de crecimiento de tipo cangrejos que se ajusta a la imagen popular del cáncer y junto con la metástasis la invasividad es el factor que mejor discrimina entre tumores malignos y benignos.
Identifique las características macroscópicas y microscópicas de las neoplasias benignas y malignas, resaltando las diferencias entre ellas.
Características macroscópicas:
-Las neoplasias benignas suelen ser bien delimitadas, de crecimiento lento y suelen formar masas circunscritas.
-En contraste, las neoplasias malignas tienden a ser invasivas, con bordes irregulares y capacidad de infiltrar tejidos circundantes.
Características microscópicas:
-Las neoplasias benignas presentan un crecimiento expansivo, con células que se asemejan a las células normales del tejido de origen y con poca variabilidad en la forma y tamaño celular.
-Por otro lado, las neoplasias malignas muestran un crecimiento infiltrativo, con células que presentan pleomorfismo, anaplasia, figuras mitóticas atípicas y mayor variabilidad en la forma y tamaño celular.
Estas diferencias macroscópicas y microscópicas son fundamentales para distinguir entre neoplasias benignas y malignas y determinar el curso clínico y el tratamiento adecuado para cada tipo de tumor.
Escriba las 3 características que permiten distinguir las neoplasias benignas y malignas.
1-Patron de crecimiento: Es decir, la forma en que las células tumorales se multiplican y se organizan, siendo expansivo en las neoplasias benignas y infiltrativo en las malignas.
2-La diferenciación celular: Indica el grado en que las células tumorales se parecen a las células normales del tejido de origen, siendo mayor en las neoplasias benignas y menor en las malignas.
3-Capacidad de invasión y metástasis: la capacidad de las células tumorales de infiltrar tejidos circundantes y diseminarse a otros órganos, siendo baja en las neoplasias benignas y alta en las malignas.
Explique en qué consisten los términos diferenciación y anaplasia.
La diferenciación se refiere al grado en que las células neoplásicas se asemejan en función y forma a las células normales del tejido de origen. Por otro lado, la anaplasia es la falta de diferenciación, donde las células anaplásicas no se parecen a ninguna célula normal y es un rasgo distintivo de malignidad. Las células anaplásicas presentan a menudo una o más de las características siguientes:
· Pleomorfismo
· Anomalías nucleares
· Mitosis atípicas
· Pérdida de polaridad
Enumere 5 cambios morfológicos que caracterizan a toda célula neoplásica.
1-Anaplasia: Por la pérdida de polaridad se altera mucho la orientación de las células anaplásicas. Estas crecen de forma anárquica y desorganizada.
2-Presencia de mitosis: reflejando la alta actividad proliferativa de las células malignas, figuras mitóticas atípicas y grotescas, características de malignidad.
3-Morfología nuclear anómala: Es típico que los núcleos de las células cancerosas sean desproporcionadamente grandes. Los núcleos son hipercromáticos (más oscuros).
4-Necrosis isquémicas: Al crecer las células tumorales, estas necesitan un aporte sanguíneo y a veces el estroma no contiene suficientes vasos o irrigación para suplir a una gran masa tumoral; por eso se observan zonas centrales de necrosis isquémica en muchos tumores malignos.
5-Pleomorfismo: Variación de tamaño y forma celular, pueden llegar a ser células gigantes tumorales.

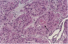
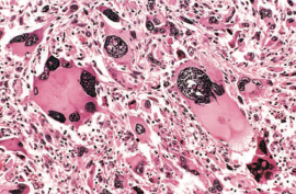
En las siguientes imágenes describa los hallazgos histológicos y grado de diferenciación
Carcinoma de células escamosas de piel bien diferenciado. Las células tumorales son sorprendentemente similares a las células epiteliales escamosas normales, con puentes intercelulares y nidos de perlas de queratina (flecha).

Tumor anaplásico del músculo esquelético (rabdomiosarcoma). Obsérvese el marcado pleomorfismo celular y nuclear, los núcleos hipercromáticos y las células gigantes tumorales.
Defina qué es displasia y establezca la diferencia entre carcinoma in situ y carcinoma invasor.
La displasia es un crecimiento celular desordenado que se observa en los epitelios y se caracteriza por una desorientación arquitectural y pérdida de la uniformidad de cada célula. Se considera una lesión precursora de la transformación maligna, pero no siempre evoluciona a cáncer. No todo el epitelio metaplásico es displásico.
El carcinoma in situ ocurre cuando la alteración displásica es intensa y afecta todo el espesor del epitelio, pero no hay penetración de la membrana basal por células displásicas. Si las células displásicas rompen la membrana basal, entonces se convierte en un tumor invasor. Por lo tanto, la principal diferencia entre el carcinoma in situ y el carcinoma invasor radica en la capacidad de las células malignas de atravesar la membrana basal y diseminarse a tejidos circundantes en el caso del carcinoma invasor.
Enumere las vías de diseminación que emplean los diversos tipos de neoplasias malignas y explique cada una.
Las neoplasias malignas pueden diseminarse a través de diferentes vías, entre las cuales se incluyen:
1. Diseminación directa: Las células tumorales se propagan a través de la invasión directa de tejidos y órganos circundantes. Por ejemplo, en el cáncer de ovario, las células malignas pueden diseminarse por la cavidad peritoneal.
2. Diseminación linfática: Las células tumorales se propagan a través del sistema linfático, alcanzando los ganglios linfáticos regionales. Esta es la vía más común de diseminación de los carcinomas. Se utiliza, por ejemplo, en el cáncer de mama para identificar el ganglio linfático centinela.
3. Diseminación hematógena: Las células tumorales se diseminan a través del sistema circulatorio, llegando a órganos distantes. Esta vía es característica de los sarcomas y puede llevar a la formación de metástasis en órganos como el hígado y los pulmones.

Describa a qué corresponde la siguiente imagen:
Un hígado plagado de cáncer metastásico.

Asocie agentes biológicos con el origen de ciertos tipos de cánceres.

Explique los efectos clínicos de las neoplasias sobre el huésped en función de: localización, actividad funcional, complicaciones y caquexia.
1. Localización: Dependiendo de dónde se encuentre la neoplasia, puede causar síntomas específicos. Por ejemplo, un tumor cerebral puede provocar dolores de cabeza, cambios en la visión o convulsiones, mientras que un tumor en el colon puede causar sangrado rectal, cambios en los hábitos intestinales y dolor abdominal.
2. Actividad funcional: Algunas neoplasias pueden secretar hormonas o proteínas que afectan la función de órganos específicos. Por ejemplo, un feocromocitoma puede secretar catecolaminas, causando hipertensión y otros síntomas asociados con el exceso de adrenalina.
3. Complicaciones: Las neoplasias pueden causar complicaciones graves, como obstrucción de órganos vitales, hemorragias, infecciones secundarias o ruptura de tejidos. Estas complicaciones pueden poner en peligro la vida del paciente y requerir intervenciones médicas urgentes.
4. Caquexia: La caquexia es un síndrome caracterizado por pérdida de peso, debilidad, anorexia y atrofia muscular, común en pacientes con neoplasias avanzadas. La caquexia puede ser debilitante y afectar la calidad de vida del paciente, además de dificultar la respuesta al tratamiento.