1/29
Looks like no tags are added yet.
Name | Mastery | Learn | Test | Matching | Spaced | Call with Kai |
|---|
No analytics yet
Send a link to your students to track their progress

What symptom is this from what disease
Diffuse Goiter- Graves’ disease

What symptom is this from what disease
Thyromegaly- Graves’ Disease

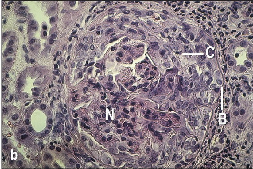
What organ pathology does this image show and from what disease
Lung pathology- Goodpasture’s syndrome

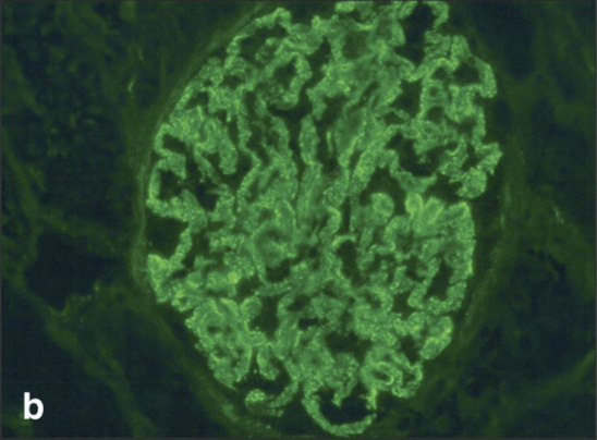
This stain is from what disease
Goodpasture’s syndrome

This stain is from what disease
Goodpasture’s disease

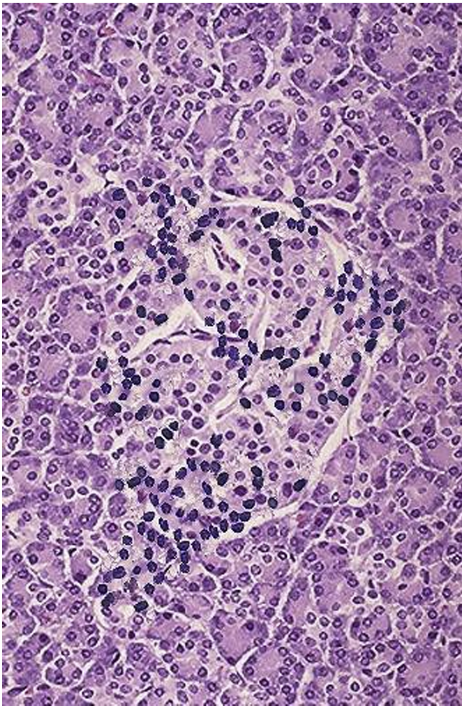
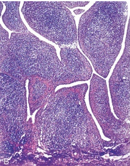
What condition is this from what disease
insulitis in T1D

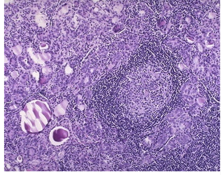
What disease is this
Hashimoto’s disease

What disease is this
Hashimoto’s disease

What does this show in what disease
Enhanced RAIU, hyperthyroiditis → Graves Disease

What does this show in what disease
Decreased RAIU, hypothyroiditis → Hashimoto thyroiditis

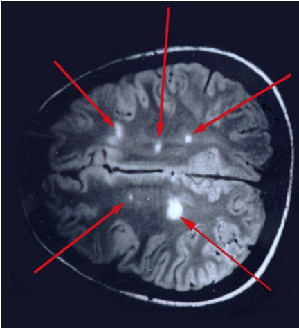
This scan shows what disease
Multiple Sclerosis- scan

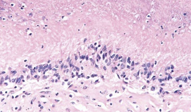
What disease is this from
Multiple Sclerosis- stain

What is this and what disease is it seen in
Plaque in multiple Sclerosis

What condition does this patient have
Systemic Lupus erythematosus- bf rash

What disease is this
Systemic Lupus erythematosus- hands

What condition is this
Discoid Lupus erythematosus

What condition is this
Systemic Lupus erythematosus- closeup

What condition is this
Systemic Lupus erythematosus- pink

What condition is this
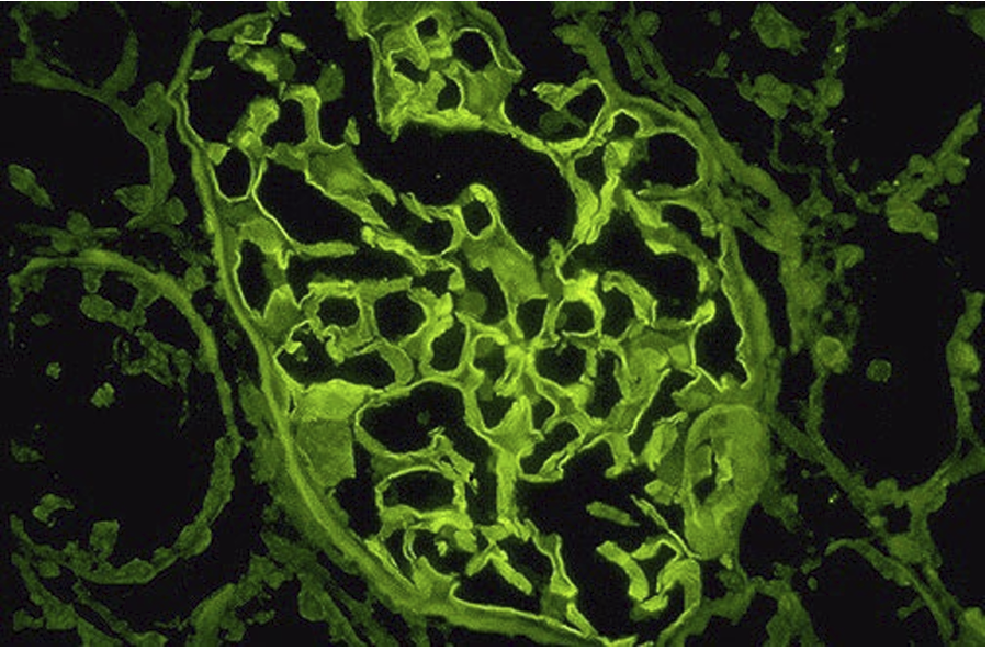
Systemic Lupus erythematosus- green

What condition is this
Systemic Lupus erythematosus- bw

What condition is this
Systemic Lupus erythematosus- green stain

What does this stain show
Antinuclear antibodies with Hep-2 cells
Rim pattern

What does this stain detect
Histones, ssDNA, dsDNA, ribonucleoprotein

What does this show
Crithidia, kinetoplasts stain positive for anti-dsDNA Ab

What condition is this
Rheumatoid Arthritis

What deformity is this and what disease is this from
Swan neck deformity- Rheumatoid Arthiritis

What condition is this
Rheumatoid Arthritis

What condition is this
Rheumatoid Arthritis

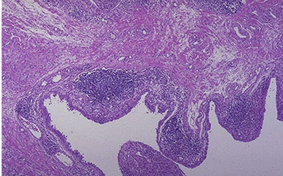
What does this show
Inflamed Synovium

What does this show
Subcutaneous rheumatic nodule