1/101
Looks like no tags are added yet.
Name | Mastery | Learn | Test | Matching | Spaced | Call with Kai |
|---|
No analytics yet
Send a link to your students to track their progress
PSA
Acid phosphatase
Alkaline
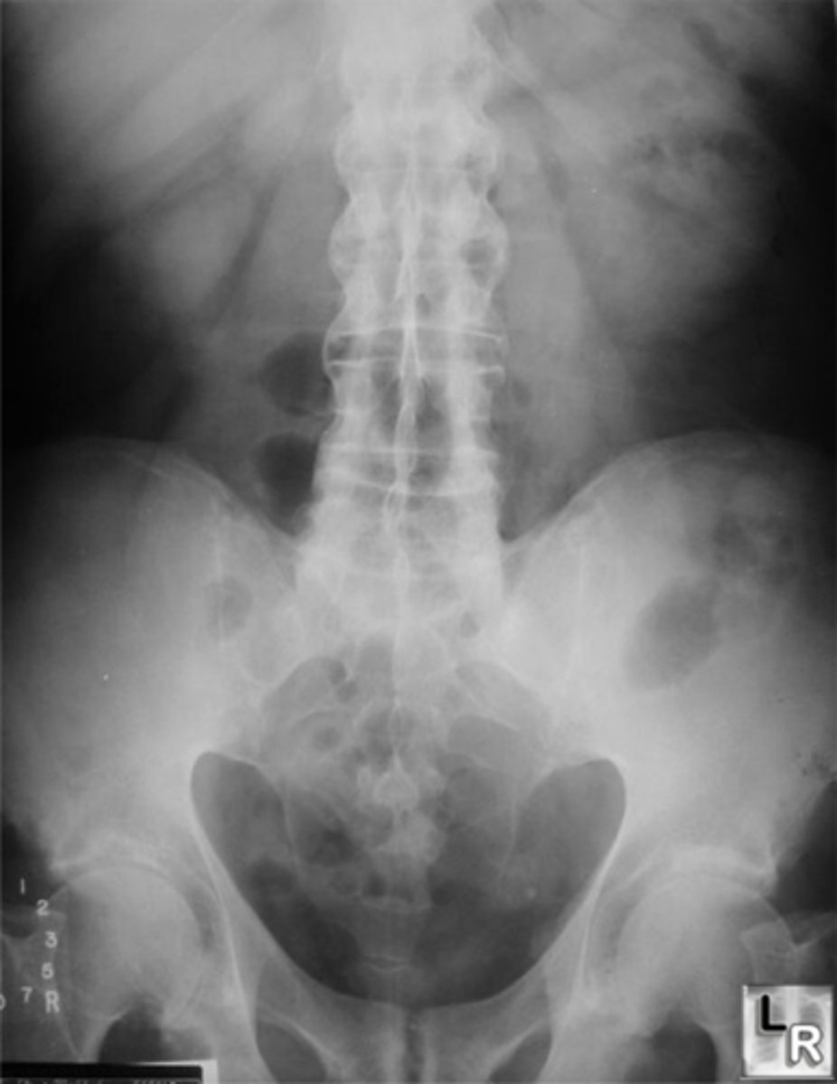
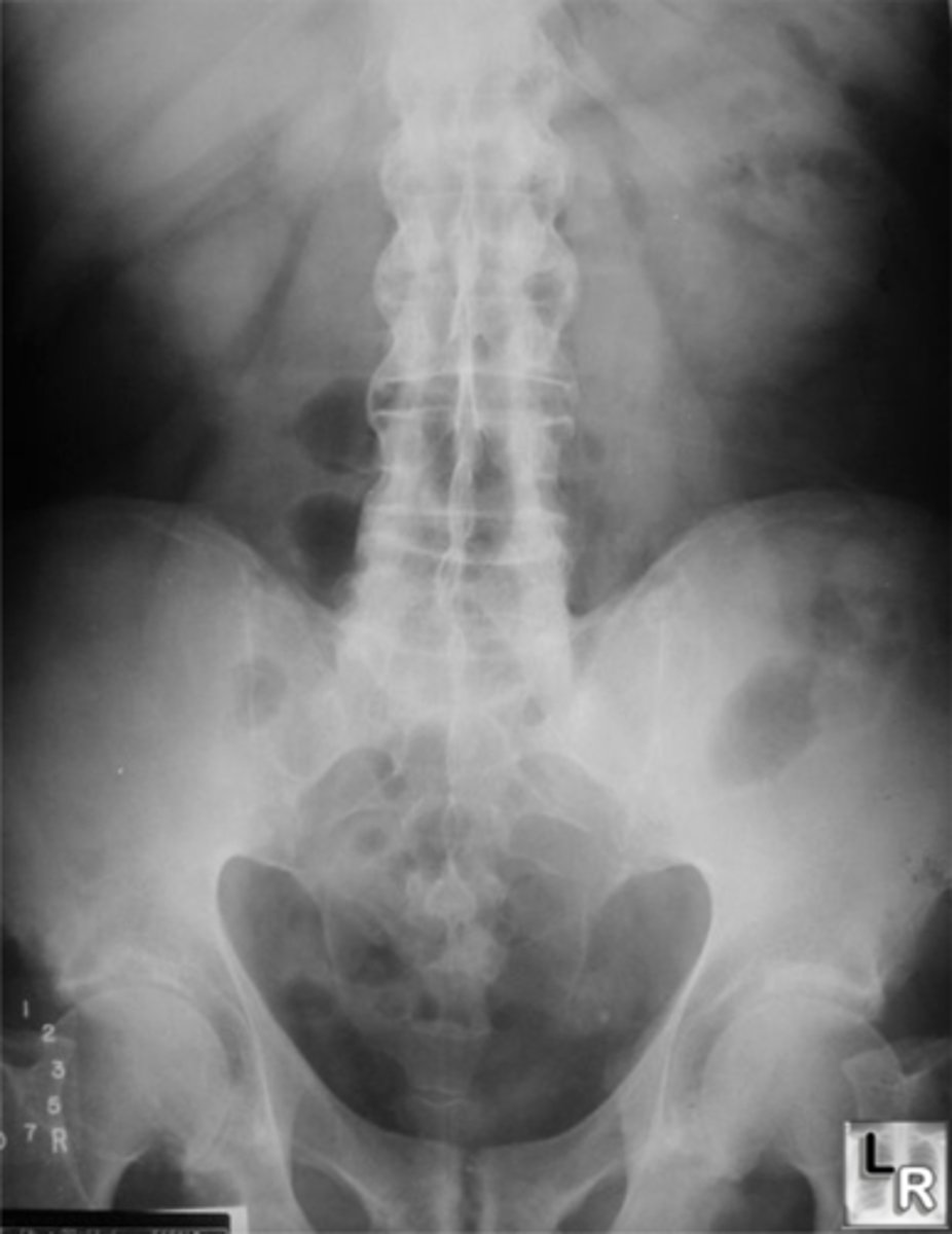
Vignette #1:
Sex: Male
Age: 62
Chief Complaint: Patient presents with low back pain and initiating urinary streams. He reports polyuria in the middle of the night.
Objective Findings: Kemps + Diagnostic Imaging: X-ray
Which labs would you expect to be positive? (Choose 3)
a. PSA
b. Acid phosphatase
c. Alkaline phosphatase
d. ESR
e. CRP
f. Proteinuria
g. BUN
h. Biopsy for Reed Sternberg

Paget's
Blastic Metastasis
Hodgkin's Disease
Vignette #1:
Sex: Male
Age: 62
Chief Complaint: Patient presents with low back pain and initiating urinary streams. He reports polyuria in the middle of the night.
Objective Findings: Kemps + Diagnostic Imaging: X-ray
What are your differential diagnoses? (Choose 3)
a. Paget's
b. BPH
c. Osteomyelitis
d. Multiple Myeloma
e. Blastic Metastasis
f. Hodgkin's Disease
g. Lytic Metastasis

Oncology
CT of Spine
Radionuclide Scan
Vignette #1:
Sex: Male
Age: 62
Chief Complaint: Patient presents with low back pain and initiating urinary streams. He reports polyuria in the middle of the night.
Objective Findings: Kemps + Diagnostic Imaging: X-ray
3. List the best follow up procedures. (Choose 3)
a. Oncology
b. Chiropractor
c. CT of spine
d. MRI of prostate
e. Internist
f. Endocrinologist
g. Radionuclide Scan

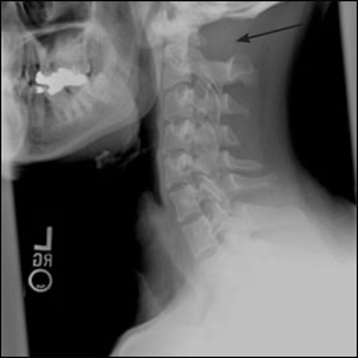
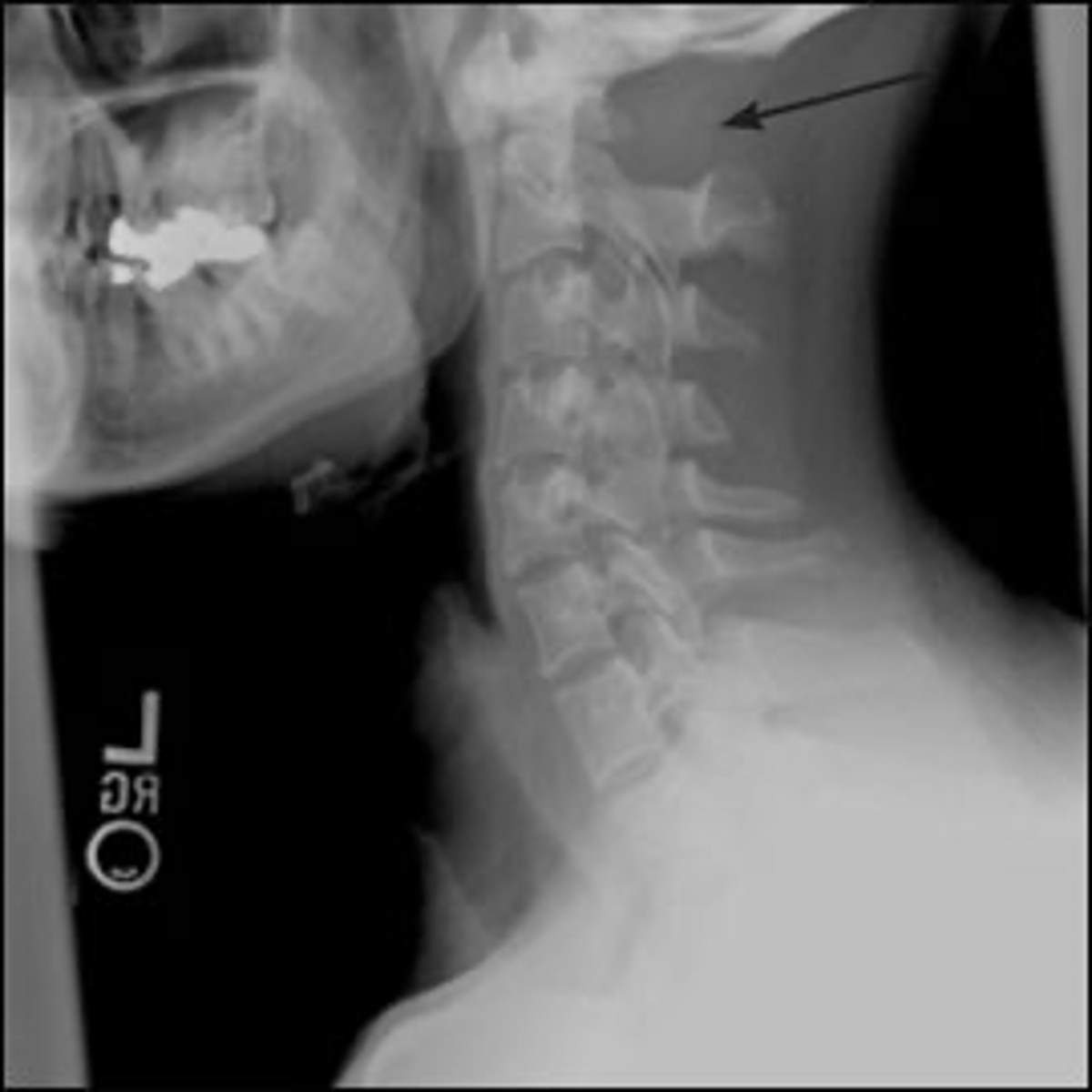
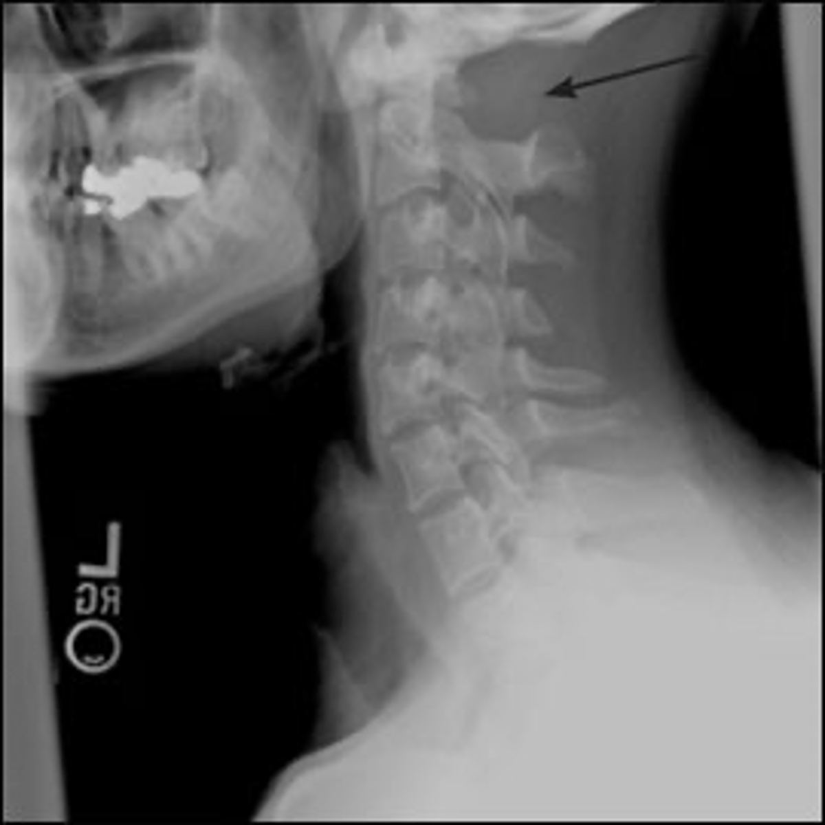
Dens fracture
Os odontoideum
Whiplash
Vignette # 2
Sex: Male
Age: 23
Chief Complaint: Football player presents with nausea after being hit from behind. He reports feeling dizzy when he is stretching his neck.
1. What are your differential diagnoses? (Choose 3)
a. Dens fracture
b. Hangman's fracture
c. Os odontoideum
d. Teardrop fracture
e. Whiplash
f. Facet dislocation
g. Jefferson Burst Fracture
h. Brown Sequard
Congenital block vertebrae
Occipitalization
Atlas hyperplasia
Vignette # 2
Sex: Male
Age: 23
Chief Complaint: Football player presents with nausea after being hit from behind. He reports feeling dizzy when he is stretching his neck.
2. What are the findings associated with this condition? (Choose 3)
a. Isthmic Spondylolisthesis
b. Spina bifida
c. Congenital block vertebrae
d. Occipitalization
e. Atlas hyperplasia
f. Hypoplastic scapula
g. Agenesis of atlas
h. Agenesis of scapula
Flexion and extension X-ray views
Neurological evaluation
CT scan
Vignette # 2
Sex: Male
Age: 23
Chief Complaint: Football player presents with nausea after being hit from behind. He reports feeling dizzy when he is stretching his neck.
1. What are your differential diagnoses? (Choose 3)
3. What other tests are most likely to be performed to evaluate this condition?
(Choose 3)
a. Flexion and extension X-ray views
b. Orthopedic evaluation
c. Neurological evaluation
d. Bone scan
e. CT scan
Hypertrophy of the anterior tubercle
Agenesis of the posterior arch
Occipitalization
Vignette # 3
Sex: Female
Age: 24
Chief Complaint: Patient presents with headaches and neck pain. She tells you that she has muscle spasms around the suboccipital region.
Diagnostic Imaging: X-ray
1. What are your differential diagnoses? (Choose 3)
a. Multiple myeloma
b. Lytic metastasis of the occiput
c. Agenesis of the posterior arch
d. Occipitalization
e. Hypertrophy of the anterior tubercle

Spina bifida
Anterior rachischisis
Atlantoaxial Instability
Vignette # 3
Sex: Female
Age: 24
Chief Complaint: Patient presents with headaches and neck pain. She tells you that she has muscle spasms around the suboccipital region.
Diagnostic Imaging: X-ray
2. What else can you see with this condition? (Choose 3)
a. Basilar impression
b. Spina bifida
c. Anterior rachischisis
d. Hemivertebrae
e. Atlantoaxial Instability
f. Spondylolisthesis
g. Visceral compromise

Flexion and extension x-rays
Neurological evaluation
Avoid adjusting upper cervical
Vignette # 3
Sex: Female
Age: 24
Chief Complaint: Patient presents with headaches and neck pain. She tells you that she has muscle spasms around the suboccipital region.
Diagnostic Imaging: X-ray
3. List the best follow up steps. (Choose 3)
a. Flexion and extension x-rays
b. Low force cervical adjustment
c. Surgical consult
d. Traction
e. Neurological evaluation
f. Cervical collar
g. NSAIDs
h. Avoid adjusting upper cervical

MRI brain
Refer to neurologist
Electrodiagnosis
Vignette # 4
Sex: Female
Age: 32
Chief Complaint: Patient presents with bilateral leg weakness, vertigo, and diplopia. Patient reports recently developing a bladder problem.
Objective Findings: Babinski+, SLR-, Laseague -, L’Hermitte’s+, Normal ROM
1. List the best follow up procedures. (Choose 3)
a. Cervical spine x-rays
b. MRI brain
c. Lumbar spine x-rays
d. Refer to neurologist
e. Electrodiagnosis
f. Oncologist
g. Immunoelectrophoresis
h. Urinary toxicology
Visual disturbance
Diplopia
+3 DTR
Vignette # 4
Sex: Female
Age: 32
Chief Complaint: Patient presents with bilateral leg weakness, vertigo, and diplopia. Patient reports recently developing a bladder problem.
Objective Findings: Babinski+, SLR-, Laseague -, L’Hermitte’s+, Normal ROM
2. List the most likely associated signs with this condition? (Choose 3)
a. Visual disturbance
b. Diplopia
c. Scissor gait
d. Festinating gait
e. +3 DTR
f. Cortical deficit
g. Fasciculations
h. + Plantar reflex
Speech impairment
Spastic paraplegia
Clonus
Vignette # 4
Sex: Female
Age: 32
Chief Complaint: Patient presents with bilateral leg weakness, vertigo, and diplopia. Patient reports recently developing a bladder problem.
Objective Findings: Babinski+, SLR-, Laseague -, L’Hermitte’s+, Normal ROM
3. List the sequelae of the condition. (Choose 3)
a. Dementia
b. Speech impairment
c. Chorea
d. Spastic paraplegia
e. Mask like faces
f. Clonus
g. Tonic Clonic Seizures
h. Cognitive Impairment
Osteolytic lesion
Osteopenia
Metaphyseal Lesion
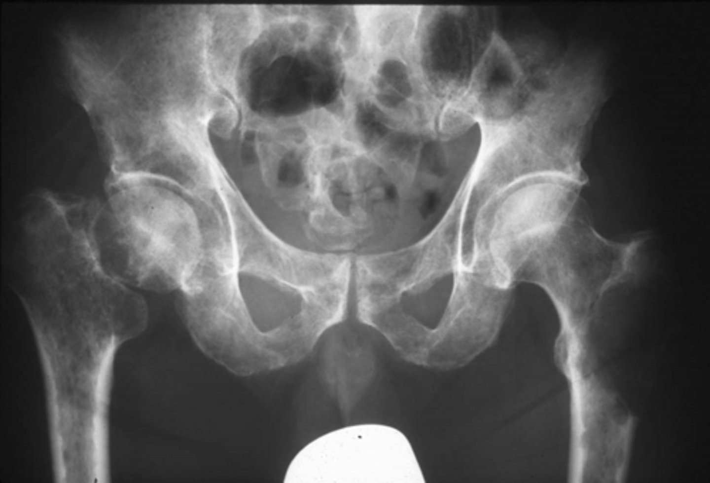
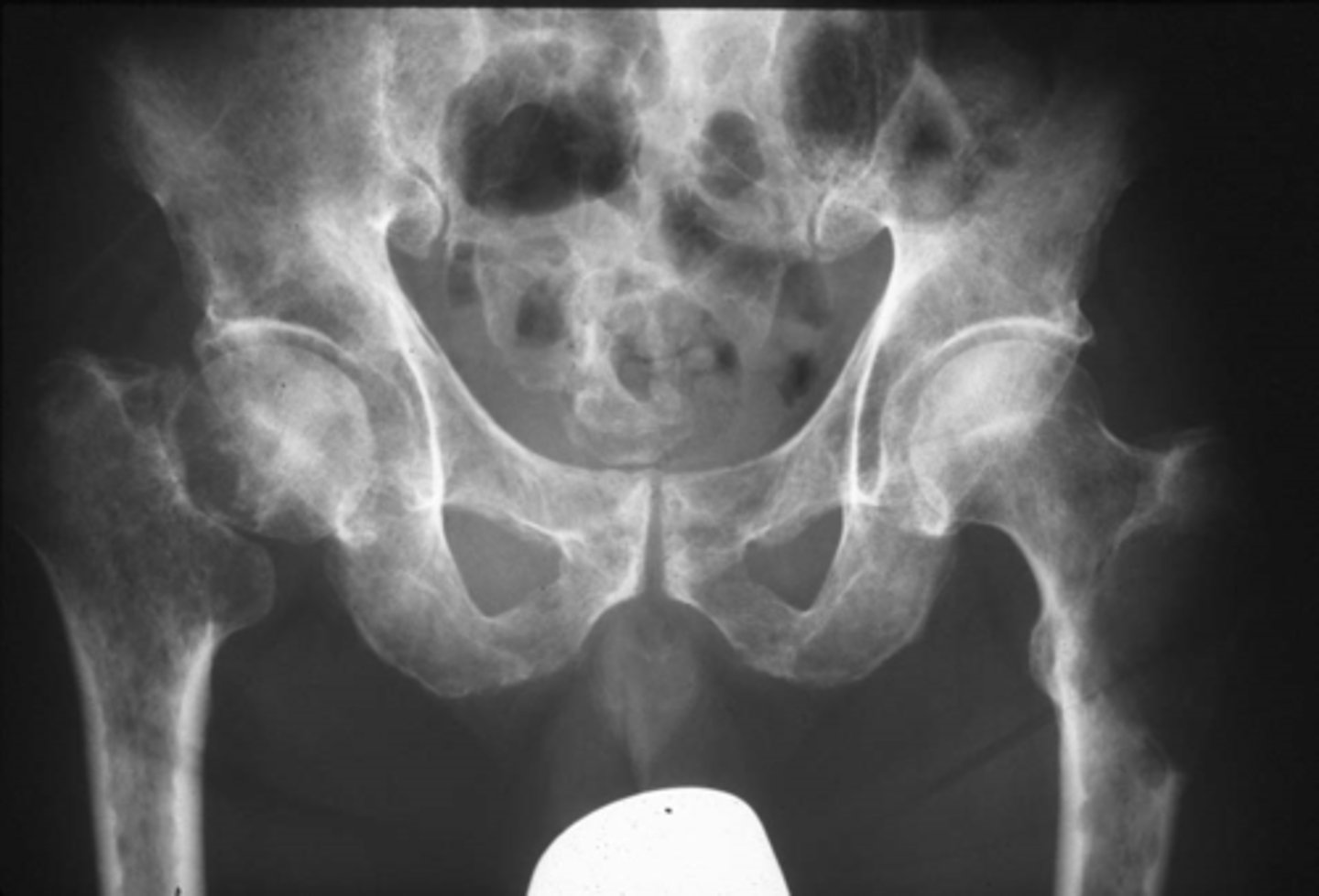
Vignette # 5
Sex: Male
Age: 50
Chief Complaint: Patient presents with hip pain that’s a 6 out of 10 on the pain scale. Objective Findings: Hibbs+, Anvil+
Diagnostic imaging: X-ray
1. List the radiographic signs that you are expecting to see. (Choose 3)
a. Ground glass
b. Osteolytic lesion
c. Joint destruction
d. Osteopenia
e. Metaphyseal Lesion
f. Expansile lesion
g. Cortical thickening
h. Sclerosis

Primary neoplasm
Hematopoetic disease
Multiple myeloma
Vignette # 5
Sex: Male
Age: 50
Chief Complaint: Patient presents with hip pain that’s a 6 out of 10 on the pain scale. Objective Findings: Hibbs+, Anvil+
Diagnostic imaging: X-ray
2. What is the most likely diagnosis? (Choose 3)
a. GCT
b. Blastic lesion
c. Primary neoplasm
d. Paget’s disease
e. Fibrous dysplasia
f. Hematopoetic disease
g. Blastic metastasis
h. Multiple myeloma

Anemia
Increase in occurrence of infection
Unexplained weight loss
Vignette # 5
Sex: Male
Age: 50
Chief Complaint: Patient presents with hip pain that’s a 6 out of 10 on the pain scale. Objective Findings: Hibbs+, Anvil+
Diagnostic imaging: X-ray
3. List the possible future sequelae of this condition. (Choose 3)
a. Anemia
b. Prostate cancer
c. Urinary incontinence
d. Increase in occurrence of infection
e. Unexplained weight loss
f. Skin deformities
g. Increase in PSA
h. Increase in acid phosphate enzyme

Primary defect of the growth plate
Hemivertebrae
Structural scoliosis
Vignette # 6
Sex: Male
Age: 28
Chief Complaint: Patient presents with asthma and reports a history of corticosteroid use.
Objective Findings: Later flexion is limited Diagnostic imaging: X-ray
1. List associated possibilities seen with this condition (Choose 3)
a. Functional scoliosis
b. Structural scoliosis
c. Butterfly vertebrae
d. Blocked vertebrae
e. Hemivertebrae
f. Klippel Feil syndrome
g. Omovertebral bone
h. Primary defect of the growth plate

Extension rehab
Adjust
Spinal stretching exercises
Vignette # 6
Sex: Male
Age: 28
Chief Complaint: Patient presents with asthma and reports a history of corticosteroid use.
Objective Findings: Later flexion is limited Diagnostic imaging: X-ray
2. List the appropriate follow up step. (Choose 3)
a. Surgical consult
b. Extension rehab
c. Strengthen flexors
d. William's exercises
e. Milwaukee brace
f. Adjust
g. Spinal stretching exercises
h. Defer adjusting

Cardiac involvement
DJD
Neurological defects
Vignette # 6
Sex: Male
Age: 28
Chief Complaint: Patient presents with asthma and reports a history of corticosteroid use.
Objective Findings: Later flexion is limited Diagnostic imaging: X-ray
3. What is the likely presentation of the progression of this condition? (Choose 3)
a. Renal disease
b. Cardiac involvement
c. DJD
d. Bone pain
e. Progressing scoliosis
f. Neurological defects
g. Vascular problems
h. Digestive disorders

Canal stenosis
Central disc protrusion
Upper motor neuron lesion
Vignette # 7
Sex: Male
Age: 50
Chief Complaint: Patient presents with right shoulder pain. He reports recently hitting his head on a shelf. Patient played football in college and has a history of skin cancer on his forehead.
Objective Findings: Shoulder depression +, Decrease in ROM in cervical spine, Normal reflexes, Babinski +, Weakness in legs, Weak when asked to toe walk
1. List the best diagnosis. (Choose 3)
a. IVF encroachment (pain, numbness, and tingling- usually unilateral)
b. Canal stenosis
c. Adhesive nerve tumor
d. Brown Sequard (would have ipsilateral loss of motor fxn and
proprioception and contralateral loss of pain and temp).
e. Right lateral disc protrusion
f. Central disc protrusion
g. Upper motor neuron lesion
h. Left lateral disc protrusion
Clonus
Hyperspasticity
Hyperreflexia in lower extremity
Vignette # 7
Sex: Male
Age: 50
Chief Complaint: Patient presents with right shoulder pain. He reports recently hitting his head on a shelf. Patient played football in college and has a history of skin cancer on his forehead.
Objective Findings: Shoulder depression +, Decrease in ROM in cervical spine, Normal reflexes, Babinski +, Weakness in legs, Weak when asked to toe walk
2. List the symptoms associated with this condition. (Choose 3)
a. Weak wrist extensors
b. Decrease of sensation of the thumb
c. Clonus
d. Hyperspasticity
e. Bowel and bladder disturbance
f. Cervical rib
g. Hyperreflexia in lower extremity
h. Decrease of sensation
Weakness in lower extremity
Paraplegia
Inability to heel and toe walk
Vignette # 7
Sex: Male
Age: 50
Chief Complaint: Patient presents with right shoulder pain. He reports recently hitting his head on a shelf. Patient played football in college and has a history of skin cancer on his forehead.
Objective Findings: Shoulder depression +, Decrease in ROM in cervical spine, Normal reflexes, Babinski +, Weakness in legs, Weak when asked to toe walk
3. List the complications associated with this condition. (Choose 3)
a. Permanent loss of bowel control
b. Progressive peripheral neuropathy
c. Paresthesia
d. Right hemiplegia
e. Weakness in lower extremity
f. Dermatological disorder of pain
g. Paraplegia
h. Inability to heel and toe walk
DDD
Atherosclerotic plaquing
Osteopenia (low bone density)
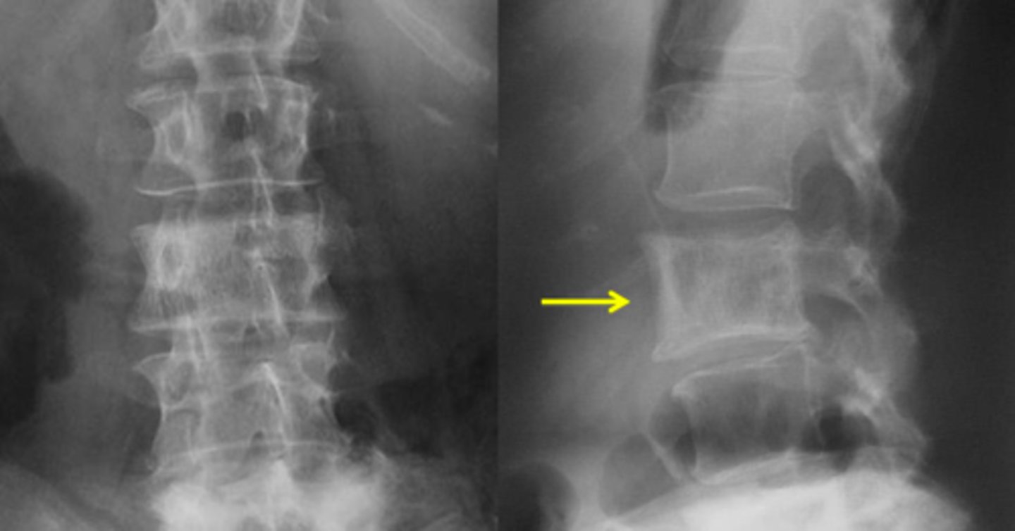
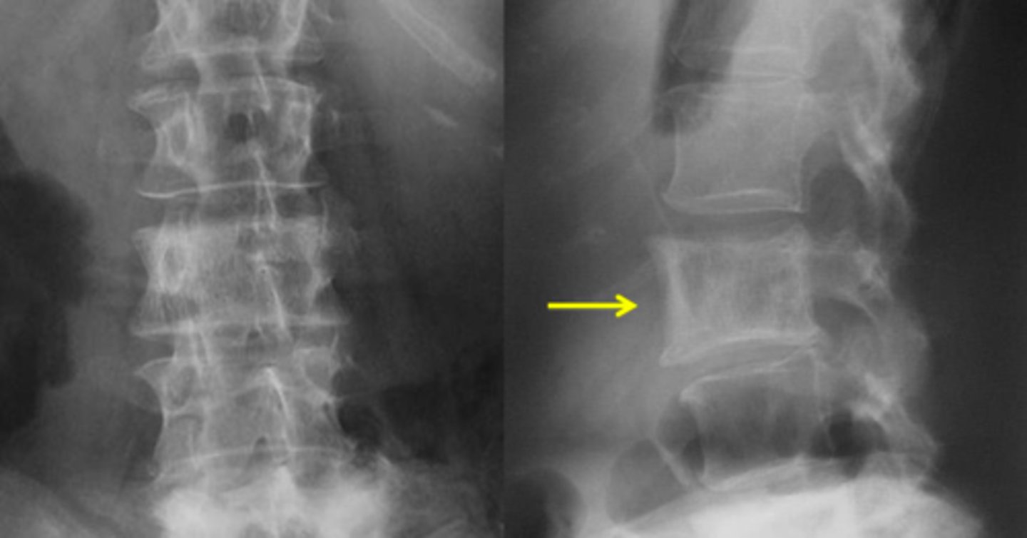
Vignette # 8
Sex: Female
Age: 82
Chief Complaint: Patient presents with sudden onset of low back pain while gardening. Patient reports feeling a sharp pain with movements and feels better with ice. Pain is rated an 8 out of 10 on the pain scale.
Objective Findings: No orthos were performed due to pain Diagnostic imaging: X-ray
1. List the radiographic signs you expect to see on the film. (Choose 3)
a. Ivory white vertebral body
b. Synostosis (fusion of two bones)
c. DDD
d. Fusiform shape (AAA)
e. Atherosclerotic plaquing
f. Dilation of abdominal aorta
g. Osteopenia (low bone density)
h. Anterior wedge deformity

DEXA
CT
Abdominal Ultrasound
Vignette # 8
Sex: Female
Age: 82
Chief Complaint: Patient presents with sudden onset of low back pain while gardening. Patient reports feeling a sharp pain with movements and feels better with ice. Pain is rated an 8 out of 10 on the pain scale.
Objective Findings: No orthos were performed due to pain Diagnostic imaging: X-ray
2. Which tests would be used to diagnose this condition? (Choose 3)
a. DEXA(for osteoporosis)
b. MRI
c. CT
d. PET
e. CBC
f. Angiogram
g. Abdominal ultrasound
h. Alkaline phosphatase

Fit for elastic lumbar support
Adjust lumbar
Limit certain physical activities
Vignette # 8
Sex: Female
Age: 82
Chief Complaint: Patient presents with sudden onset of low back pain while gardening. Patient reports feeling a sharp pain with movements and feels better with ice. Pain is rated an 8 out of 10 on the pain scale.
Objective Findings: No orthos were performed due to pain Diagnostic imaging: X-ray
3. List the treatments for this condition. (Choose 3)
a. Defer adjusting
b. Prescribe NSAIDs
c. Fit for elastic lumbar support
d. Adjust lumbar
e. Oncologist
f. Vascular surgeon
g. Surgical consult
h. Limit certain physical activities

Reiter's
Poly arthritis
Reactive arthritis
Vignette # 9
Sex: Male
Age: 30
Chief Complaint:Patient presents with low back pain. He reports an insidious onset that has gotten progressively worse over the past 3 months. He has pain over his calcaneal tendon, red eyes, and blurred vision.
1. List the differential diagnoses. (Choose 3)
a. Reiter's
b. Poly arthritis
c. Enteropathic arthritis
d. Sero + (RA)
e. Psoriatic arthritis
f. Rheumatoid arthritis
g. Reactive arthritis
h. Metabolic arthritis
HLA B27
ESR
Chlamydia culture
Vignette # 9
Sex: Male
Age: 30
Chief Complaint:Patient presents with low back pain. He reports an insidious onset that has gotten progressively worse over the past 3 months. He has pain over his calcaneal tendon, red eyes, and blurred vision.
2. List the follow up tests to be performed. (Choose 3)
a. HLA B27
b. RA latex
c. ESR
d. Lewin’s supine (SI lesion)
e. Anti DNA antibodies (SLE, scleroderma)
f. Chest expansion (AS)
g. Chest evaluation
h. Chlamydia culture
Difficulty breathing
Compression fracture
Postural deformity
Vignette # 9
Sex: Male
Age: 30
Chief Complaint:Patient presents with low back pain. He reports an insidious onset that has gotten progressively worse over the past 3 months. He has pain over his calcaneal tendon, red eyes, and blurred vision.
3. What are the least likely sequelae of this condition? (Choose 3)
a. Difficulty breathing
b. Knee arthritis
c. Compression fracture
d. Stomatitis (mouth ulcers)
e. Postural deformity
f. Genital lesion
g. Anterior uveitis
h. Red and painful nodules on the hands and feet
Multiple enchondromas
Benign bone tumor
Ollier's
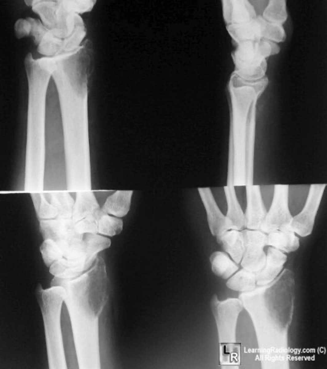
Vignette # 10
Sex: Male
Age: 24
Chief Complaint: Mechanic presents with loss of grip strength. The patient reported having swollen fingers that previous hurt but the pain went away.
Objective Findings: ROM in his hands are decreased, notable swelling of the tissue in his fingers
Diagnostic imaging: X-ray
1. List the differential diagnoses. (Choose 3)
a. Ollier’s
b. Fibrous dysplasia
c. Benign bone tumor
d. Hereditary multiple exostosis
e. Multiple enchondromas
f. Scleroderma
g. Gardener’s Syndrome (aka familial colorectal polyposis, an autosomal
dominant form of polyposis characterized by the presence of multiple
polyps in the colon together with tumors outside the colon)

Expansile lesion
Cortical thinning
Geographic lesion
Vignette # 10
Sex: Male
Age: 24
Chief Complaint: Mechanic presents with loss of grip strength. The patient reported having swollen fingers that previous hurt but the pain went away.
Objective Findings: ROM in his hands are decreased, notable swelling of the tissue in his fingers
Diagnostic imaging: X-ray
2. What else could be associated with this condition? (Choose 3)
a. CREST sign
b. Sessile appearance
c. Geographic lesion
d. Blister of bone appearance
e. Periostitis (inflammation of layer of CT that surrounds bone)
f. Cortical thinning
g. Subchondral cysts
h. Expansile lesion

Pathological fracture
Malignant degeneration
Permanent deformity
Vignette # 10
Sex: Male
Age: 24
Chief Complaint: Mechanic presents with loss of grip strength. The patient reported having swollen fingers that previous hurt but the pain went away.
Objective Findings: ROM in his hands are decreased, notable swelling of the tissue in his fingers
Diagnostic imaging: X-ray
3. What are the possible sequelae of this condition? (Choose 3)
a. Pathological fracture
b. Malignant degeneration
c. Permanent deformity
d. Reversal of lesion
e. Hypertrophy of sclera
f. Self resolving
g. Skull enlargement
h. Spinal deformity

Baker's cyst
RA
Popliteal Bursitis
Vignette # 10
Sex: Female
Age: 30
Chief Complaint: Patient presents with an insidious onset of right knee pain around her popliteal fossa region. The patient reports feeling pain and swelling of the region. She does not recall any trauma or injury. Pain is a 5 out of 10 on the pain scale.
Objective Findings: Notable swelling, Redness of the metacarpalphalangeal joints bilaterally, unable to flex the knee past 90˚ due to pain
1. What are the possible causes for the patient's pain? (Choose 3)
a. Lateral meniscus tear
b. Baker's cyst
c. Housemaid's Knee
d. Jumper's knee
e. RA
f. Popliteal Bursitis
g. Runner's knee
Symmetrical joint space narrowing
Haygarth's nodes
Increase in joint pain upon arising
Vignette # 10
Sex: Female
Age: 30
Chief Complaint: Patient presents with an insidious onset of right knee pain around her popliteal fossa region. The patient reports feeling pain and swelling of the region. She does not recall any trauma or injury. Pain is a 5 out of 10 on the pain scale.
Objective Findings: Notable swelling, Redness of the metacarpalphalangeal joints bilaterally, unable to flex the knee past 90˚ due to pain
2. What are additional findings expected for this condition? (Choose 3)
a. Heberden’s nodes (OA)
b. Bilateral sacralitis
c. Symmetrical joint space narrowing
d. Gull wing deformity
e. Calcium deposits in the knee
f. Haygarth’s nodes
g. Asymmetrical joint space narrowing (OA)
h. Increase in joint pain upon arising
Hand Films
ESR
RA Latex
Vignette # 10
Sex: Female
Age: 30
Chief Complaint: Patient presents with an insidious onset of right knee pain around her popliteal fossa region. The patient reports feeling pain and swelling of the region. She does not recall any trauma or injury. Pain is a 5 out of 10 on the pain scale.
Objective Findings: Notable swelling, Redness of the metacarpalphalangeal joints bilaterally, unable to flex the knee past 90˚ due to pain
3. What are the tests that could confirm this condition? (Choose 3)
a. Hand films
b. Uric acid
c. ESR
d. RA latex
e. Joint aspiration
f. Bone scan
g. Ultrasound
h. HLA B27
ANA Anti-DNA Thrombocytopenia
Vignette # 11
Sex: Female
Age: 29
Chief Complaint: Patient presents with low back pain and fatigue. Fatigue is getting progressively worse over a long period of time. Sensitivity to sunlight is reported. Objective Findings: Murphy's punch +, Decreased ROM of wrist, Rebound + (ulnar deviation of phalanges which can be strengthened with hand on the table, Bechterew's +, Kemps+, Cellular casts, Alopecia, blood and protein in urine
1. List the tests that are to be found positive. (Choose 3)
a. Insulin resistance test
b. Uric acid
c. Serum glucose
d. ANA
e. Amylase
f. Anti-DNA
g. Thrombocytopenia(deficiency of platelets in the blood)
h. HLA B27
Malar rash
Oral ulcers
Discoid lesions
Vignette # 11
Sex: Female
Age: 29
Chief Complaint: Patient presents with low back pain and fatigue. Fatigue is getting progressively worse over a long period of time. Sensitivity to sunlight is reported. Objective Findings: Murphy’s punch +, Decreased ROM of wrist, Rebound + (ulnar deviation of phalanges which can be strengthened with hand on the table, Bechterew’s +, Kemps+, Cellular casts, Alopecia, blood and protein in urine
2. What other findings are expected to be seen with this condition? (Choose 3)
a. Malar rash
b. Optic nerve solarizaiton
c. Auspitz sign (bleeding when psoriasis scales are removed)
d. Oral ulcers
e. Discoid lesions
f. Silver scales
g. Pitted nails
h. Linea nigra (vertical line on pregnant belly)
Chiropractic care
Avoid sun
Activities to tolerance
Vignette # 11
Sex: Female
Age: 29
Chief Complaint: Patient presents with low back pain and fatigue. Fatigue is getting progressively worse over a long period of time. Sensitivity to sunlight is reported. Objective Findings: Murphy’s punch +, Decreased ROM of wrist, Rebound + (ulnar deviation of phalanges which can be strengthened with hand on the table, Bechterew’s +, Kemps+, Cellular casts, Alopecia, blood and protein in urine
3. List the management approaches for this condition?
a. Chiropractic care
b. Blood transfusion
c. Diathermy
d. Traction
e. Avoid sun
f. Activities to tolerance
g. Laser surgery
h. Oncologist
Fibrous dysplasia Benign Bone Tumor Supraspinatus Tendonitis
Vignette # 12
Sex: Female
Age: 17
Chief Complaint: Swimmer presents with shoulder pain present at 90˚- 120˚ abduction. The pain is rated from a 3 to 5 out of 10 on the pain scale with a gradual onset. Irregular hyper pigmented macules (café au lait spots) on her back that have been there her entire life. Insidious onset, patient does not recall any trauma.
Objective Findings: Empty can +, Yergusons -, Speed's -
1. What are the differential diagnoses? (Choose 3)
a. Biceps tendonitis
b. Biceps instability
c. Fibrous dysplasia ("coast of maine")
d. SLAP lesion
e. Benign bone tumor
f. Calcium hydroxyapatite deposition
g. Supraspinatus tendonitis
h. Calcific tendonitis
Orthopedist
Chiropractic care for shoulder symptoms only
Monitor condition every 6 months
Vignette # 12
Sex: Female
Age: 17
Chief Complaint: Swimmer presents with shoulder pain present at 90˚- 120˚ abduction. The pain is rated from a 3 to 5 out of 10 on the pain scale with a gradual onset. Irregular hyper pigmented macules (café au lait spots) on her back that have been there her entire life. Insidious onset, patient does not recall any trauma.
Objective Findings: Empty can +, Yergusons -, Speed’s -
2. List the best management options for this condition. (Choose 3)
a. Orthopedist
b. Oncologist
c. Radiologist
d. Brace arm
e. Exercise to strengthen arm muscles
f. Chiropractic care for shoulder symptoms only
g. Cast arm
h. Monitor condition every 6 months
Adhesive capsulitis
Bone deformity
Skin lesions
Vignette # 12
Sex: Female
Age: 17
Chief Complaint: Swimmer presents with shoulder pain present at 90˚- 120˚ abduction. The pain is rated from a 3 to 5 out of 10 on the pain scale with a gradual onset. Irregular hyper pigmented macules (café au lait spots) on her back that have been there her entire life. Insidious onset, patient does not recall any trauma.
Objective Findings: Empty can +, Yergusons -, Speed’s -
3. List the possible sequelae of this condition. (Choose 3)
a. Adhesive capsulitis
b. Intervertebral foraminal enlargement
c. DJD
d. Osteoporosis
e. Metastasis
f. Bone deformity
g. Skin lesions
h. Neurological deficits
Increased WBC(acute infection)
Neutrophilia
Increase ESR(infection, RA, MM, TB, temporal arteritis)
Vignette # 13
Sex: Male
Age: 28
Chief Complaint: Patient resents with back pain that came on over the past two weeks. The pain is rated a 9 out of 10 on the pain scale. Nothing makes the pain go away or feel better.
Objective Findings: SLR+ at 20˚and cause ipsilateral SI pain and contralateral leg pain, Bragard’s +
Lab: Pending
1. What are the possible lab findings? (Choose 3)
a. Increased PSA
b. Increased WBC(acute infection)
c. Neutrophilia
d. Thrombocytopenia
e. Increase ESR(infection, RA, MM, TB, temporal arteritis)
f. Eosinophilia
g. Increase in alkaline phosphatase (osteoblastic lesions, hepatic disease,
HPT)
h. Reversal of A:G ratio (MM)
Analgesics do not relieve pain
Recurrent UTI
Fever
Vignette # 13
Sex: Male
Age: 28
Chief Complaint: Patient resents with back pain that came on over the past two weeks. The pain is rated a 9 out of 10 on the pain scale. Nothing makes the pain go away or feel better.
Objective Findings: SLR+ at 20˚and cause ipsilateral SI pain and contralateral leg pain, Bragard’s +
Lab: Pending
2. What are to most common clinical findings in this condition? (Choose 3)
a. Analgesics do not relieve pain
b. Recurrent UTI
c. Fever
d. Decrease in pulse rate
e. Positive Dejerine’s triad
f. Nocturia
g. Alteration of urinary stream
h. Skin changes
Lab technician
Occupational hazard
IV drug use
Vignette # 13
Sex: Male
Age: 28
Chief Complaint: Patient presents with back pain that came on over the past two weeks. The pain is rated a 9 out of 10 on the pain scale. Nothing makes the pain go away or feel better.
Objective Findings: SLR+ at 20˚and cause ipsilateral SI pain and contralateral leg pain, Bragard's +
Lab: Pending
3. List the most likely places in society this condition will be seen in. (Choose 3)
a. Sports
b. Lab technician
c. Genetic cell mutation
d. Toxic exposure
e. Occupational hazard
f. Radiation therapy
g. IV drug use
Extension exercises
Lumbar traction
Core stabilization
Vignette # 14
Sex: Female
Age: 45
Chief Complaint: Patient presents with low back pain that started when she bent over to tie her shoe. The severity of the pain ranges from a 2 to a 9 out of 10 on the pain scale. She says it feels better when she is lying on the floor. She also has pain in her left medial knee down into the left medial aspect of her big toe.
Objective Findings: SLR + with radiation down leg, Kemps+
1. What would be the initial treatment for this condition? (Choose 3)
a. Ab strengthening
b. Moist heat every 2 hours
c. Complete bed rest for one week
d. Extension exercises
e. Lumbar traction
f. Core stabilization
g. Diathermy
Decrease in patellar reflex
Weak leg muscles
Diminished sensation over the medial malleolus
Vignette # 14
Sex: Female
Age: 45
Chief Complaint: Patient presents with low back pain that started when she bent over to tie her shoe. The severity of the pain ranges from a 2 to a 9 out of 10 on the pain scale. She says it feels better when she is lying on the floor. She also has pain in her left medial knee down into the left medial aspect of her big toe.
Objective Findings: SLR + with radiation down leg, Kemps+
2. Additional clinical findings of this condition. (Choose 3)
a. Decrease in patellar reflex
b. Hyperreflexia
c. Weak leg muscles
d. Myelopathy
e. Clonus
f. Diminished hamstring reflex
g. Diminished Achilles reflex
h. Diminished sensation over the medial malleolus
Atrophy of muscles
Permanent sensation loss
Cauda equina
Vignette # 14
Sex: Female
Age: 45
Chief Complaint: Patient presents with low back pain that started when she bent over to tie her shoe. The severity of the pain ranges from a 2 to a 9 out of 10 on the pain scale. She says it feels better when she is lying on the floor. She also has pain in her left medial knee down into the left medial aspect of her big toe.
Objective Findings: SLR + with radiation down leg, Kemps+
3. If untreated what could possible happen? (Choose 3)
a. Atrophy of muscles
b. Permanent sensation loss
c. Cauda equina
d. Gastrocnemius weakness
e. Medial hamstring reflex diminished
f. Loss of vibration sense in lower extremity
g. Loss of pain and temperature sensation in lower extremity
Hemangioma
Vascular neoplasm
Benign bone tumor
Vignette # 15
Sex: Female
Age: 45
Chief Complaint: Patient presents with a gradual onset of low back pain. She reports doing light secretarial work that sometimes makes it worse.
Objective Findings: Rolled shoulders, anterior head carriage, tight lumbar paraspinal muscles
Diagnostic imaging: X-ray
1. List the differential diagnoses. (Choose 3)
a. Hemangioma
b. Vascular neoplasm
c. Lytic metastasis
tastasis
d. Benign bone tumor
e. Osteomyelitis
f. Osteoporosis
g. Hyperparathyroidism
h. Osteoid osteoma

Vertebral body expansion
Spinal stenosis
Skull enlargement
Vignette # 15
Sex: Female
Age: 45
Chief Complaint: Patient presents with a gradual onset of low back pain. She reports doing light secretarial work that sometimes makes it worse.
Objective Findings: Rolled shoulders, anterior head carriage, tight lumbar paraspinal muscles
Diagnostic imaging: X-ray
2. What else could be seen in this condition? (Choose 3)
a. Vertebral body collapse
b. Pseudo fracture
c. Vertebral body expansion
d. Metastasis
e. Brown’s tumor
f. Spinal stenosis
g. Gardener’s syndrome
h. Skull enlargement

Orthopedic
Continue normal ADLs
Adjust to patient tolerance
Vignette # 15
Sex: Female
Age: 45
Chief Complaint: Patient presents with a gradual onset of low back pain. She reports doing light secretarial work that sometimes makes it worse.
Objective Findings: Rolled shoulders, anterior head carriage, tight lumbar paraspinal muscles
Diagnostic imaging: X-ray
3. What is the appropriate treatment approach for this condition? (Choose 3)
a. Oncologist
b. Orthopedic
c. Vascular specialist
d. IV antibiotic therapy
e. Continue normal ADLs
f. Send for colonoscopy
g. Adjust to patient tolerance

Ketones in urine
Glucosuria
Polyuria
Vignette # 16
Sex: Female
Age: 45
Chief Complaint: Patient presents with tingling in both of her feet, she has problems feeling her feet, has frequent trips and falls. She reports feeling unsteady.
Objective Findings: Weigh 210 lbs, Height 5’6”, Normal ROM, Normal DTR, Murphy’s punch +, Paraspinal muscle spams on the left
1. List the best possible clinical findings. (Choose 3)
a. Ketones in urine
b. Glucosuria
c. Hematuria
d. Papilledemas
e. Polyuria
f. Urobiligen in urine
g. Muscle weakness
h. Pale optic disc
Decrease in wound healing
Increase in vaginal infections
Neovascularization
Vignette # 16
Sex: Female
Age: 45
Chief Complaint: Patient presents with tingling in both of her feet, she has problems feeling her feet, has frequent trips and falls. She reports feeling unsteady.
Objective Findings: Weigh 210 lbs, Height 5’6”, Normal ROM, Normal DTR, Murphy’s punch +, Paraspinal muscle spams on the left
2. List the most like presentations of this condition. (Choose 3)
a. Decrease in wound healing
b. Kidney stones
c. Increase in vaginal infections
d. Vitamin B12 deficiency
e. Gastric distress
f. Cotton wool exudates
g. Neovascularization
(formation of functional microvascular networks with
red blood cell perfusion)
h. Macrocytic anemia (alcoholics, pregnancy, malabsorption)
Low glycemic index diet
Co-treat with endocrinologist
Suggest swimming instead of walking
3. List the treatment options for this condition. (Choose 3)
a. Low glycemic index diet
b. Capacity of walking to cycling comparison
c. Increase physical activity
d. Co-treat with endocrinologist
e. Send out for NCV/ EMG
f. Decrease in exercise
g. Suggest swimming instead of walking
h. Hot packs to relieve leg pain
Metaphyseal lesion
Diaphyseal lesion
Expansile lesion
Vignette # 17
Sex: Male
Age: 13
Chief Complaint: Young athlete presents with ankle pain and swelling one day after an injury from basketball. Pain feels worse with movement and feels better with rest. Pain is felt in all ranges of motion.
Objective Findings: Anterior Drawer’s + Diagnostic imaging: X-ray
1. List the radiographic findings. (Choose 3)
a. Metaphyseal lesion
b. Diaphyseal lesion
c. Moth eaten
d. Permeative
e. Wide zone
f. Cortical lesion
g. Expansile lesion
h. Laminating periosteal reaction

Sprain/strain
ABC(<20, located on one side, expands bone)
Blood filled lesion
Vignette # 17
Sex: Male
Age: 13
Chief Complaint: Young athlete presents with ankle pain and swelling one day after an injury from basketball. Pain feels worse with movement and feels better with rest. Pain is felt in all ranges of motion.
Objective Findings: Anterior Drawer’s + Diagnostic imaging: X-ray
2. What are the differential diagnoses? (Choose 3)
a. Sprain/strain
b. Quasimalignant bone tumor
c. SBC (<20, fluid filled tumor, fallen fragment sign, no bone expansion)
d. Epiphyseal fracture
e. Ewing’s (10-25, diaphysis of long bones, onion skin, codman’s triangle,
saucerization)
f. ABC(<20, located on one side, expands bone)
g. Blood filled lesion
h. Fluid filled lesion (SBC/UBC)

Orthopedic surgeon
Evaluate for splint
Eliminate weight bearing
Vignette # 17
Sex: Male
Age: 13
Chief Complaint: Young athlete presents with ankle pain and swelling one day after an injury from basketball. Pain feels worse with movement and feels better with rest. Pain is felt in all ranges of motion.
Objective Findings: Anterior Drawer’s + Diagnostic imaging: X-ray
3. What are the management options for this condition? (Choose 3)
a. Low volt for pain
b. Orthopedic surgeon
c. Immobilize for 6 weeks
d. Ultrasound
e. Oncologist
f. Evaluate for splint
g. Eliminate weight bearing
h. Chiropractic care

Cogwheel rigidity
Resting tremors
Bradykinesia(slowness of movement)
Vignette # 18
Sex: Male
Age: 64
Chief Complaint: Patient presents with difficulty walking, and no movement of his arms while he is ambulating.
Objective Findings: Shuffling gait
1. What are additional findings for this condition? (Choose 3)
a. Cogwheel rigidity
b. Hyper reflexia
c. Weakness
d. Resting tremors
e. Bradykinesia(slowness of movement)
f. Visual disturbances
Constipation
Difficulty swallowing
Peripheral involvement
Vignette # 18
Sex: Male
Age: 64
Chief Complaint: Patient presents with difficulty walking, and no movement of his arms while he is ambulating.
Objective Findings: Shuffling gait
2. What are the possible sequelae of this condition? (Choose 3)
a. Tinnitus
b. Vertigo
c. Cauda equina
d. Constipation
e. Diarrhea
f. Difficulty swallowing
g. Respiratory paralysis
h. Peripheral involvement
Modify home to decrease frequency of falls
Neurologist
Encourage continuation of ADLs
Vignette # 18
Sex: Male
Age: 64
Chief Complaint: Patient presents with difficulty walking, and no movement of his arms while he is ambulating.
Objective Findings: Shuffling gait
3. List the best follow up options for this condition? (Choose 3)
a. Modify home to decrease frequency of falls
b. Refer to ophthalmologist
c. Neurologist
d. MRI lumbar
e. Encourage continuation of ADLs
f. Upper cervical X-rays
g. Defer chiropractic care
h. Refer for hearing evaluation
GCT ABC Chondroblastoma
Vignette # 19
Sex: Male
Age: 22
Chief Complaint: Patient presents with insidious onset of wrist pain that started one week ago. Father has a history of Hodgkin's.
Objective Findings: Distal radius is warm, swollen, and tender, Decrease ROM is all planes with pain, x-ray shows a soap bubbly lesion that is eccentrically located Diagnostic imaging: X-ray
1. What are the differential diagnoses? (Choose 3)
a. Osteomyelitis
b. GCT(20-40, soap bubble, epi/meta)
c. ABC(<20, eccentrically, blood filled, dia/meta)
d. Enchondroma (most common bbt of the hand)
e. Osteochondroma(most common bbt of the appendicular skeleton-
pedunculated or sessile)
f. Chondroblastoma(<20, epi/meta)
g. Osteosarcoma

Surgical consult
Curettage
Brace/Stabilize joint
Vignette # 19
Sex: Male
Age: 22
Chief Complaint: Patient presents with insidious onset of wrist pain that started one week ago. Father has a history of Hodgkin’s.
Objective Findings: Distal radius is warm, swollen, and tender, Decrease ROM is all planes with pain, x-ray shows a soap bubbly lesion that is eccentrically located Diagnostic imaging: X-ray
2. What are the possible treatment options or next step for this condition? (Choose3)
a. Oncologist
b. Surgical consult
c. MRI
d. Antibiotics
e. Curettage
f. ER
g. Brace/Stabilize joint
h. Refer for biopsy

Pathological fracture
Complete resolution
Malignant degeneration
Vignette # 19
Sex: Male
Age: 22
Chief Complaint: Patient presents with insidious onset of wrist pain that started one week ago. Father has a history of Hodgkin’s.
Objective Findings: Distal radius is warm, swollen, and tender, Decrease ROM is all planes with pain, x-ray shows a soap bubbly lesion that is eccentrically located Diagnostic imaging: X-ray
3. What are the possible future consequences of this condition? (Choose 3)
a. Complete resolution
b. Septicemia
c. Vascular compromise
d. Neurological deficit
e. Malignant degeneration
f. Pathological fracture (all bbt can cause pathological fx)
g. Lymphedema (usually cause by damage to or removal of lymph nodes
during cancer treatment)
h. Bony fusion (bone graft?)

Spastic torticollis
Myofascial pain syndrome
Wry neck
Vignette # 20
Sex: Female
Age: 24
Chief Complaint: Patient presents with extreme neck pain that she woke up with this morning. She reports being on the phone for two hours last night sitting next to an open window.
Objective Findings: Head right lateral tilt and left rotation
1. What are the differential diagnoses? (Choose 3)
a. Myoclonus (jerky contraction of groups of muscle)
b. Spastic torticollis
c. Cervicogenic cephalgia
d. Myofascial pain syndrome
e. Wry neck
f. Cervical disc lesion
g. Meningitis
h. Sprain/strain
Myofascial release
Vapocoolant spray and stretch
Trigger point therapy
Vignette # 20
Sex: Female
Age: 24
Chief Complaint: Patient presents with extreme neck pain that she woke up with this morning. She reports being on the phone for two hours last night sitting next to an open window.
Objective Findings: Head right lateral tilt and left rotation
2. What are the treatment options for this condition? (Choose 3)
a. Myofascial release
b. Vapocoolant spray and stretch
c. Cervical collar
d. Moist heat
e. Isokinetic exercise
f. Trigger point therapy
g. Hard cervical collar
h. Cervical traction
Biochemical
Focal muscle dystonia
Cold environment
Vignette # 20
Sex: Female
Age: 24
Chief Complaint: Patient presents with extreme neck pain that she woke up with this morning. She reports being on the phone for two hours last night sitting next to an open window.
Objective Findings: Head right lateral tilt and left rotation
3. What is the most likely cause of this condition? (Choose 3)
a. Biochemical
b. Focal muscle dystonia
c. Cold environment
d. Brachial plexus syndrome
e. Genetic
f. Sprain/strain
g. Viral infection
h. Bacterial infection
Shiny corner
Trolley track
Dagger sign
Vignette # 21
Sex: Male
Age: 22
Chief Complaint: Patient presents with insidious onset of low back pain and sacroiliac pain. He also reports having gastrointestinal issues.
Objective Findings: Forrestier's sign +, Chest expansion 1.25" Diagnostic imaging: X-ray
1. What are the radiographic signs expected in this condition? (Choose 3)
a. Shiny corner
b. Trolley track
c. Hiatal hernia
d. Unilateral SI sclerosis
e. Chondral sclerosis
f. Overhanging edge sign
g. Non-marginal syndesmophytes
h. Dagger sign

AS
Enteropathic arthropathy
Bilateral sacroilitis
Vignette # 21
Sex: Male
Age: 22
Chief Complaint: Patient presents with insidious onset of low back pain and sacroiliac pain. He also reports having gastrointestinal issues.
Objective Findings: Forrestier’s sign +, Chest expansion 1.25” Diagnostic imaging: X-ray
2. What re the differential diagnoses? (Choose 3)
a. AS
b. Enteropathic arthropathy
c. Gouty arthritis
d. Psoriatic arthritis
e. Psoriatic arthritis
f. Osteitis condensans illi
g. Osteomyelitis
h. Bilateral sacroilitis
i. Reiter’s syndrome

Anderson lesion
Carrot stick fracture
Anterior uveitis
Vignette # 21
Sex: Male
Age: 22
Chief Complaint: Patient presents with insidious onset of low back pain and sacroiliac pain. He also reports having gastrointestinal issues.
Objective Findings: Forrestier’s sign +, Chest expansion 1.25” Diagnostic imaging: X-ray
3. What is seen in the progression of this condition? (Choose 3)
a. Anderson lesion
b. Carrot stick fracture
c. Hepatomegaly
d. Silver scales (psoriasis)
e. Pitted nails (psoriasis)
f. Erosion of joints (RA)
g. Overhanging edge sign (gout)
h. Anterior uveitis

Abnormal auscultation of abdomen
Abnormal pulsation over the abdomen
Abdominal pain upon exertion
Vignette # 22
Sex: Male
Age: 55
Chief Complaint: Patient presents with back and abdominal pain. Pain is increased when his grandson sits on his abdomen. Patient has difficulty sitting up.
Objective Findings: SLR + at 85˚
1. What is most diagnostic in the physical examination for this condition?(Choose 3)
a. Cold feet
b. Numbness in feet
c. Weakness in lower extremity
d. Abnormal auscultation of abdomen
e. Abnormal pulsation over the abdomen
f. Abdominal pain upon exertion
g. Difficulty breathing
h. Ascites
Long history of smoking
Increase cholesterol
Family history of cardiovascular disease
Vignette # 22
Sex: Male
Age: 55
Chief Complaint: Patient presents with back and abdominal pain. Pain is increased when his grandson sits on his abdomen. Patient has difficulty sitting up.
Objective Findings: SLR + at 85˚
2. What may be seen in the case history for this patient? (Choose 3)
a. Long history of smoking
b. Increase cholesterol
c. Family history of cardiovascular disease
d. Congenital anomalies of blood vessels
e. Injury to low back
f. Prior surgery for cancer
g. Increased tactile fremitus
Vascular specialist
Evaluation with diagnostic ultrasound
g. Defer chiropractic care
Vignette # 22
Sex: Male
Age: 55
Chief Complaint: Patient presents with back and abdominal pain. Pain is increased when his grandson sits on his abdomen. Patient has difficulty sitting up.
Objective Findings: SLR + at 85˚
3. What are the management options for this condition? (Choose 3)
a. ER
b. Vascular specialist
c. Internist
d. Evaluation with diagnostic ultrasound
e. Adjust lumbar spine
f. Check for retinopathy in spine (complication of diabetes that affects the
eyes)
g. Defer chiropractic care
h. MRI
Photophobia
Prodrome/aura
Nausea
Vignette # 23
Sex: Female
Age: 24
Chief Complaint: Patient presents with headaches, blurred vision that lasts for approximately 30 minutes before each episode. Pain is throbbing. A cold cloth is palliative.
Objective Findings: Distraction produces minor suboccipital pain, Jackson’s -, Decrease ROM in all directions, Normal BP, Normal vitals
1. What are the clinical findings in this case? (Choose 3)
a. Photophobia
b. Rhinorrhea
c. Prodrome/aura
d. Papilledema
e. Anhydrosis
f. Nausea
g. Tearing of eyes
h. Vertigo
2. What are the treatment options for this condition? (Choose 3)
a. Adjust
Adjust
Diet log
Massage therapist
Vignette # 23
Sex: Female
Age: 24
Chief Complaint: Patient presents with headaches, blurred vision that lasts for approximately 30 minutes before each episode. Pain is throbbing. A cold cloth is palliative.
Objective Findings: Distraction produces minor suboccipital pain, Jackson’s -, Decrease ROM in all directions, Normal BP, Normal vitals
2. What are the treatment options for this condition? (Choose 3)
a. Adjust
b. Corticosteroids
c. Moist heat
d. Diet log
e. Doppler ultrasound imaging
f. Flexion and extension x-rays
g. Massage therapist
h. Vascular specialist
Hormone imbalance
Bright light
Consumption of red wine
Vignette # 23
Sex: Female
Age: 24
Chief Complaint: Patient presents with headaches, blurred vision that lasts for approximately 30 minutes before each episode. Pain is throbbing. A cold cloth is palliative.
Objective Findings: Distraction produces minor suboccipital pain, Jackson’s -, Decrease ROM in all directions, Normal BP, Normal vitals
3. What are the aggravating factors for this condition? (Choose 3)
a. Hormone imbalance
b. Increase protein
c. Bright light
d. Allergies
e. Physical activity
f. Consumption of red wine
g. Consumption of beer
h. Sleep
Cluster headache
Common migraine
Cervicogenic headache
Vignette # 24
Sex: Female
Age: 37
Chief Complaint: Patient presents with neck pain and headaches that radiate behind the right eye. The pain is achy and rates a 5 out of 10 on the pain scale.
Objective Findings: Paraspinal muscle spasms, Suboccipital tension, Decreased ROM, BP 138/80
1. What are the differential diagnoses? (Choose 3)
a. Cluster headache
b. Common migraine
c. Cervicogenic headache
d. Tension headache
e. Hypertension headache
f. TMJ headache
g. Sinus headache
h. CVA
Nausea
Photophobia
Sensitive to sound
Vignette # 24
Sex: Female
Age: 37
Chief Complaint: Patient presents with neck pain and headaches that radiate behind the right eye. The pain is achy and rates a 5 out of 10 on the pain scale.
Objective Findings: Paraspinal muscle spasms, Suboccipital tension, Decreased ROM, BP 138/80
2. What are the likely additional clinical findings of this condition? (Choose 3)
a. Drooping eyelid
b. Vertigo
c. Nausea
d. Photophobia
e. Sensitive to sound
f. Pain while chewing
g. Increase serum cholesterol
h. Scalp sensitivity
Adjust
Myofascial release technique
Suggest relaxation technique
Vignette # 24
Sex: Female
Age: 37
Chief Complaint: Patient presents with neck pain and headaches that radiate behind the right eye. The pain is achy and rates a 5 out of 10 on the pain scale.
Objective Findings: Paraspinal muscle spasms, Suboccipital tension, Decreased ROM, BP 138/80
3. What are the management options for this condition?
a. CT
b. Neurologist
c. Adjust
d. Myofascial release technique
e. CT of brain
f. Check for seasonal allergies
g. Evaluate ESR
h. Suggest relaxation technique
Complex regional pain syndrome
Peripheral vascular compromise
Disuse atrophy
Vignette # 25
Sex: Male
Age: 42
Chief Complaint: Patient presents after slamming his foot in the door two months ago. He reports burning pain that rates 6 out of 10 on the pain scale. His foot is red swollen and skin appears shiny.
Objective Findings: Activity provokes pain
1. What is responsible for the presenting symptoms? (Choose 3)
a. Septic arthritis
b. Cellulitis
c. Complex regional pain syndrome
d. Infection
e. Peripheral vascular compromise
f. Gonnoccocal arthritis
g. Disuse atrophy
Sympathetic nerve block
TENS
Corticosteroids
Vignette # 25
Sex: Male
Age: 42
Chief Complaint: Patient presents after slamming his foot in the door two months ago. He reports burning pain that rates 6 out of 10 on the pain scale. His foot is red swollen and skin appears shiny.
Objective Findings: Activity provokes pain
2. What are the indicated approaches for this condition? (Choose 3)
a. Ultrasound
b. Air cast immobilization
c. Massage
d. Surgical fusion
e. Sympathetic nerve block
f. TENS
g. Antibiotics
h. Corticosteroids
Hyperasthesia
Hypertrichosis
Muscle weakness
Vignette # 25
Sex: Male
Age: 42
Chief Complaint: Patient presents after slamming his foot in the door two months ago. He reports burning pain that rates 6 out of 10 on the pain scale. His foot is red swollen and skin appears shiny.
Objective Findings: Activity provokes pain
3. What are possible additional symptoms that may present? (Choose 3)
a. Osteonecrosis
b. Joint destruction
c. Fever
d. Hyperasthesia
e. Anhydrosis
f. Hypertrichosis
g. Muscle weakness
h. Ulceration of skin
Osteoporotic fracture
Step defect
Facet arthrosis
Vignette # 26
Sex: Female
Age: 71
Chief Complaint: Patient presents with sudden onset of low back pain 18 hours ago. Ice makes it feel better. The pain is rated and 8 out of 10 on the pain scale
Objective Findings: No orthos due to pain
Diagnostic Imaging: X-ray
1. What are the differential diagnoses? (Choose 3)
a. Spondylitis
b. Osteoporotic fracture
c. Lytic metastasis
d. Pathological fracture
e. Unstable fracture
f. Step defect
g. Pars fracture
h. Facet arthrosis (joint cartilage deteriorates)

Orthopedist
Modified ADLs
Cryotherapy
Vignette # 26
Sex: Female
Age: 71
Chief Complaint: Patient presents with sudden onset of low back pain 18 hours ago. Ice makes it feel better. The pain is rated and 8 out of 10 on the pain scale
Objective Findings: No orthos due to pain
Diagnostic Imaging: X-ray
2. What are the best treatment options for this condition? (Choose 3)
a. Extension exercises
b. Orthopedist
c. Modified ADLs
d. Strengthen hip flexors
e. Adjust
f. Cryotherapy
g. Oncologist
h. Bed rest

Postural changes
Altered biomechanics
Increased rate of degeneration
Vignette # 26
Sex: Female
Age: 71
Chief Complaint: Patient presents with sudden onset of low back pain 18 hours ago. Ice makes it feel better. The pain is rated and 8 out of 10 on the pain scale
Objective Findings: No orthos due to pain
Diagnostic Imaging: X-ray
3. What is seen in the progression of this condition? (Choose 3)
a. Postural changes
b. Altered biomechanics
c. Increased rate of degeneration
d. Metastatic spread
e. Septicemia
f. Cachexia
g. Unrelenting back pain
h. Disability

Blastic Metastasis
Hodgkin's
Paget's
Vignette # 27
Sex: Male
Age: 52
Chief Complaint: Patient presents with mid to low back pain. Pain is felt in every direction
Objective Findings: Kemps -, Yeoman’s + in hip ,thorarcolumbar junction and lumbar spine, coxa vara bilaterally
Diagnostic Imaging: X-ray
1. What are the differential diagnoses? (Choose 3)
a. Paget’s (<50)
b. Fibrous dysplasia
c. Berkett’s lymphoma
d. Multiple myeloma
e. Blastic Metastasis (>40, no cortical thickening)
f. Hodgkin’s (20-40)
g. Lytic Metastasis
h. Hyperparathyroidism

Skull
Femur
Pelvis
Vignette # 27
Sex: Male
Age: 52
Chief Complaint: Patient presents with mid to low back pain. Pain is felt in every direction
Objective Findings: Kemps -, Yeoman’s + in hip ,thorarcolumbar junction and lumbar spine, coxa vara bilaterally
Diagnostic Imaging: X-ray
a. Skull
b. Colon
c. Ulna
d. Liver
e. Lung (if hodgkins)
f. Femur
g. Pelvis
h. Heart

Malignant degeneration
Spinal canal stenosis
Tibial deformity
Vignette # 27
Sex: Male
Age: 52
Chief Complaint: Patient presents with mid to low back pain. Pain is felt in every direction
Objective Findings: Kemps -, Yeoman’s + in hip ,thorarcolumbar junction and lumbar spine, coxa vara bilaterally
Diagnostic Imaging: X-ray
3. What’s the possible sequelae of this condition? (Choose 3)
a. Malignant degeneration
b. Spinal canal stenosis
c. Horner’s
d. Dyspnea
e. Tibial deformity (Saber shin)
f. Lymph node obstruction
g. Pathological collapse (bbt)
h. Lystic destruction

Bilateral dystonia of SCM, Hypertonic paraspinals, Myofasciitis
Vignette # 28
Sex: Female
Age: 19
Chief Complaint: Patient present with neck pain she woke up with this morning. She has hypertonic cervical extensor muscles. Pain is dull and is 3 out of 10 on the pain scale. Objective Findings: Decreased ROM due to pain, Distraction+, Compression +, pain does not radiate
1. What are the differential diagnoses? (Choose 3)
a. Bilateral dystonia of SCM
b. Hypertonic paraspinals
c. Nerve root compression
d. TOS
e. Space occupying lesion
f. Myofascitis
g. Sprain/strain
h. Adhesions
Myofascial release
Trigger point therapy
Adjust to patient tolerance
Vignette # 28
Sex: Female
Age: 19
Chief Complaint: Patient present with neck pain she woke up with this morning. She has hypertonic cervical extensor muscles. Pain is dull and is 3 out of 10 on the pain scale. Objective Findings: Decreased ROM due to pain, Distraction+, Compression +, pain does not radiate
2. What are the treatment options for this condition?
a. MRI
b. Nerve block
c. Myofascial release
d. Cervical traction
e. Trigger point therapy
f. Diathermy
g. Orthopedist
h. Adjust to patient tolerance
Kernigs+
+CSF exam
Brudzinki's +
Vignette # 28
Sex: Female
Age: 19
Chief Complaint: Patient present with neck pain she woke up with this morning. She has hypertonic cervical extensor muscles. Pain is dull and is 3 out of 10 on the pain scale. Objective Findings: Decreased ROM due to pain, Distraction+, Compression +, pain does not radiate
3. What would you observe if patient presents further with a headache and fever?
(Choose 3)
a. Ketones in urine
b. Radionucleotide scan
c. Kernigs+
d. Increased monocytes
e. Heterophile+
f. Increase WBC
g. +CSF exam
h. Plaques seen on MRI
i. Brudzinki’s +
Non uniform loss of joint space (OA)
Subchondral cyst (OA)
Osteophytes (OA)
Vignette # 29
Sex: Male
Age: 55
Chief Complaint: Patient presents with hip pain that is worse in the morning and at night. The pain feels better after 30 minutes of being up. Pain is worse after long distance walking and standing. Father has a history of AVN.
Objective Findings: ROM of thoracic and lumbar is limited and painful Diagnostic Imaging: X-ray
1. List the radiographic images that you expect to see. (Choose 3)
a. Uniform loss of joint space (RA)
b. Non uniform loss of joint space (OA)
c. Subchondral cyst (OA)
d. Osteophytes (OA)
e. Flattened femoral head (legg clave perthes)
f. Crescent sign(AVN)
g. Brim sign (paget’s- thickening of the iliopectineal line)
h. Sagging rope sign (legg calve perthes disease)
Significant trauma
Unrealized microtrauma
Genetic
Vignette # 29
Sex: Male
Age: 55
Chief Complaint: Patient presents with hip pain that is worse in the morning and at night. The pain feels better after 30 minutes of being up. Pain is worse after long distance walking and standing. Father has a history of AVN.
Objective Findings: ROM of thoracic and lumbar is limited and painful Diagnostic Imaging: X-ray
2. What is the possible etiology of this condition? (Choose 3)
a. Significant trauma
b. Corticosteroids
c. Unrealized microtrauma
d. Cardiac involvement
e. Genetic
f. Pathological
g. Drug abuse
h. Rheumatic fever as child
Heat
Passive ROM exercises
Non weight bearing exercise
Vignette # 29
Sex: Male
Age: 55
Chief Complaint: Patient presents with hip pain that is worse in the morning and at night. The pain feels better after 30 minutes of being up. Pain is worse after long distance walking and standing. Father has a history of AVN.
Objective Findings: ROM of thoracic and lumbar is limited and painful Diagnostic Imaging: X-ray
3. What are the possible palliative factors for this condition? (Choose 3)
a. Heat
b. Passive ROM exercises
c. Drug therapy
d. Non weight bearing exercise
e. Cryotherapy
f. Best rest
g. Immobilization
h. Weight gain
Median Nerve Entrapment, Pronator Teres Syndrome, Carpal Tunnel syndrome
Vignette # 30
Sex: Female
Age: 32
Chief Complaint: Patient presents bilateral finger and hand pain with numbness and tingling. Patient reports pain at night and rates a 3 to 5 out of 10 on the pain scale. Spends most of her time typing as a secretary.
Objective Findings: Phalens+, Wrights-, Adsons-
1. What are the differential diagnoses? (Choose 3)
a. Median nerve entrapment
b. Ulnar nerve entrapment
c. Radial nerve entrapment
d. Pronator teres syndrome
e. Carpal tunnel syndrome
f. Tunnel of guyon
g. Dequervain's Disease
Decrease dynamometer readings
Inability to perform pinch grip
thenar atrophy
Vignette # 30
Sex: Female
Age: 32
Chief Complaint: Patient presents bilateral finger and hand pain with numbness and tingling. Patient reports pain at night and rates a 3 to 5 out of 10 on the pain scale. Spends most of her time typing as a secretary.
Objective Findings: Phalens+, Wrights-, Adsons-
2. How would you monitor if the condition is getting worse? (Choose 3)
a. Decrease dynamometer readings
b. Numbness medial hand
c. Inability to perform pinch grip
d. Hand turns blue
e. Hypothenar atrophy
f. Finklestein's +
g. Swelling over first metacarpophalangeal joint
h. thenar atrophy
Adjust carpal bones
Transverse friction massage of pronator teres
Evaluate work station ergonomics
Vignette # 30
Sex: Female
Age: 32
Chief Complaint: Patient presents bilateral finger and hand pain with numbness and tingling. Patient reports pain at night and rates a 3 to 5 out of 10 on the pain scale. Spends most of her time typing as a secretary.
Objective Findings: Phalens+, Wrights-, Adsons-
a. Adjust carpal bones
b. Transverse friction massage of pronator teres
c. Evaluate work station ergonomics
d. Refer to surgery
e. Strengthen wrist flexors
f. Cast wrist
g. Adjust C spine
h. B5 Supplement (B6?)
Lower Motor neuron lesion, Bells, CNVII
Vignette # 31
Sex: Female
Age: 19
Chief Complaint: Patient presents with a drooping eyelid on one side and ipsilateral inability to raise her eyebrow. Loss of taste to the anterior 2/3 rdof her tongue.
1. What are the differential diagnoses? (Choose 3)
a. Lower motor neuron lesion
b. Trigeminal neuralgia
c. Stroke
d. Bell's palsy
e. Tic douloureux
f. CN V
g. CN VII
h. Graves disease
Flaccid paralysis
Decrease corneal reflex
No control of saliva while eating
Vignette # 31
Sex: Female
Age: 19
Chief Complaint: Patient presents with a drooping eyelid on one side and ipsilateral inability to raise her eyebrow. Loss of taste to the anterior 2/3 rdof her tongue.
2. What are the possible sequelae of this condition is it does not resolve? (Choose 3)
a. Flaccid paralysis
b. Dental orbital pain
c. Decrease corneal reflex
d. Constant unremitting pain
e. Decreased jaw jerk reflex
f. Tendency towards herpes zoster
g. No control of saliva while eating
h. Anosmia
Eye patch
Neurologist
Artificial tears
Vignette # 31
Sex: Female
Age: 19
Chief Complaint: Patient presents with a drooping eyelid on one side and ipsilateral inability to raise her eyebrow. Loss of taste to the anterior 2/3 rdof her tongue.
3. What id the proper treatment for this condition? (Choose 3)
a. Eye patch
b. Neurologist
c. Adjust
d. Hospital
e. Diathermy
f. Artificial tears
g. Infared
h. Ultrasound
Increase lumbar lordosis, hypertonic quads, hypertonic lumbar erectors
Vignette # 32
Sex: Female
Age: 17
Chief Complaint: Cheerleader presents with bouts of low back pain. Deep dull ache that rates a 4 to 6 out of 10 on the pain scale.
Objective Findings: Stork+
1. What are the possible clinical findings? (Choose 3)
a. Increase lumbar lordosis
b. Decreased lumbar lordosis
c. Hypertonic hamstrings and psoas
d. Hypertonic quads
e. Inhibited psoas
f. Inhibited quads
g. Hypertonic lumbar erectors
h. Inhibited abdominals and psoas
Side posture
Continue normal activities
Anti lordotic bracing
Vignette # 32
Sex: Female
Age: 17
Chief Complaint: Cheerleader presents with bouts of low back pain. Deep dull ache that rates a 4 to 6 out of 10 on the pain scale.
Objective Findings: Stork+
2. What is the best initial treatment for this condition? (Choose 3)
a. Prone adjusting
b. Side posture
c. Continue normal activities
d. Suspend normal activities
e. Anti lordotic bracing
f. Cryotherapy
g. Take stress films
h. TENS
Hamstrings
Transverse abdominals
Gluteus maximus
Vignette # 32
Sex: Female
Age: 17
Chief Complaint: Cheerleader presents with bouts of low back pain. Deep dull ache that rates a 4 to 6 out of 10 on the pain scale.
Objective Findings: Stork+
3. Which muscles should be strengthened? (Choose 3)
a. Psoas
b. Hamstrings
c. Quad
d. Lumbar erectors
e. Piriformis
f. Vastis lateralis
g. Transverse abdominals
h. Gluteus maximus
Cervical rib, hypertonic scalenes, neurovascular compromise
Vignette # 33
Sex: Female
Age: 35
Chief Complaint: Bank teller of 13 years presents with bilateral numbness of her arms and hands and has severe neck pain. Shaking her hands makes her hands fell better but nothing relieves her neck pain.
Objective Findings: Decreased ROM Cervicals, Wrights+, Adsons+
1. What is the etiology of this presentation? (Choose 3)
a. Cervical rib
b. Spinal stenosis
c. OA
d. Hypertonic scalenes
e. Apical lung tumor
f. Neurovascular compromise
g. Costoclavicular impingement
h. DJD