1/21
Looks like no tags are added yet.
Name | Mastery | Learn | Test | Matching | Spaced | Call with Kai |
|---|
No analytics yet
Send a link to your students to track their progress
Periodontal disease
Group of diseases that affect supporting structures ranging from inflammation of gingiva to destruction of supporting bone and PDL
Detection of Perio disease requires
BOTH clinical and radiographic exam
Radiographic examination tells
Pattern, distribution , and severity of bone loss
Preferred exposure method and film
PA with paralleling technique
What type of BW adequately depicts bone loss
Vertical
Panoramic film
Has little diagnostic value in perio
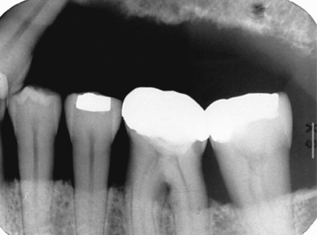
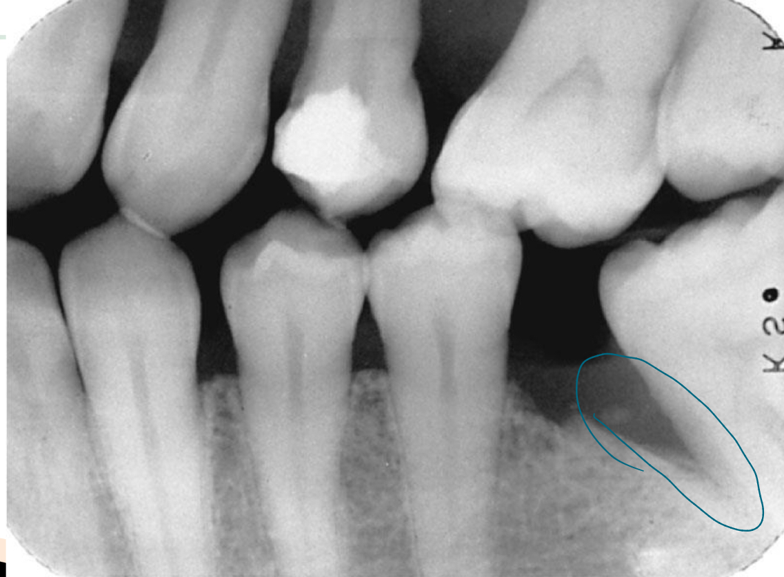
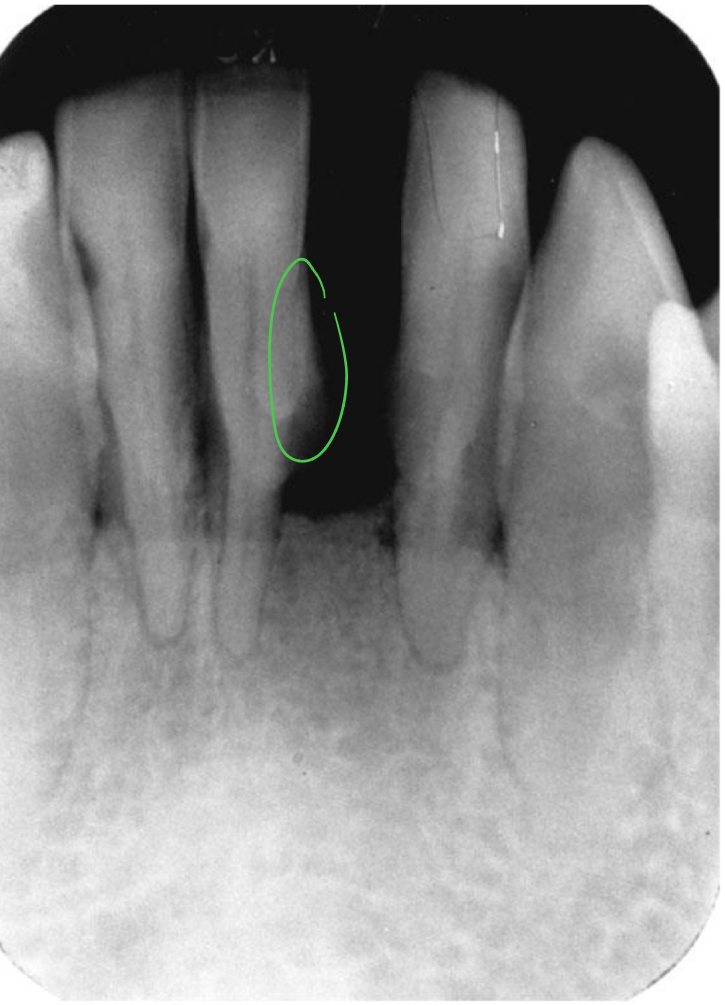
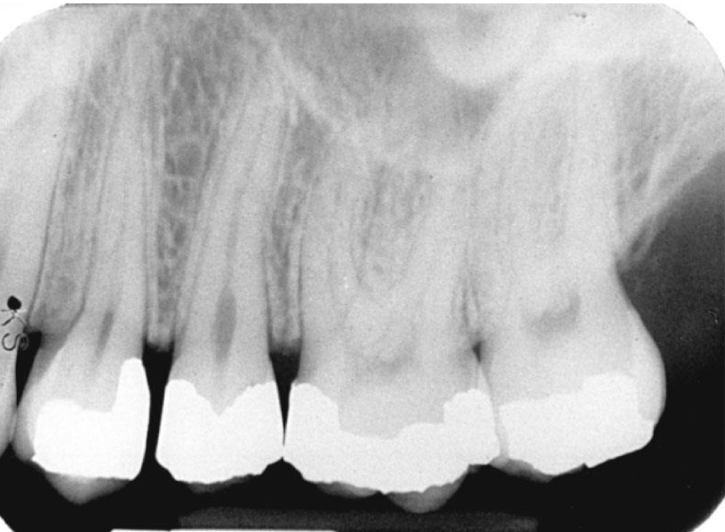
Bone loss
Difference between the physiologic bone level and height of remaining bone
Pattern of bone loss
Horizontal vs vertical

Horizontal bone loss

Vertical bone loss
Distribution of bone loss
Localized vs generalized
Localized bone loss
Occurs in isolated areas less than 30%
Generalized bone loss
Occurs evenly throughout dental arches
Severity of bone loss
Slight, moderate , severe
Beyond the 1.5mm-2.00 mm apical to the CEJ
Slight bone loss
1-2mm (crestal changes)
Moderate bone loss
3-4 mm (loss of 10-33%)
Severe bone loss
5mm or more (33% or more)
Predisposing factors
Local irritants may contribute to: calc, defective restorations

Nodular calc

Smooth calc

Defective amalgam

Open contacts