1/14
Looks like no tags are added yet.
Name | Mastery | Learn | Test | Matching | Spaced | Call with Kai |
|---|
No analytics yet
Send a link to your students to track their progress
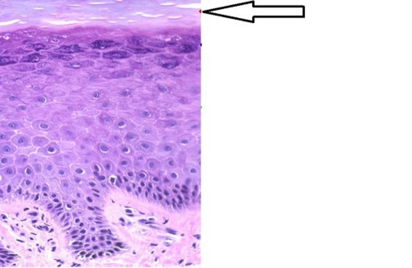
stratum corneum
What is the name of the layer indicated by A on the diagram?

stratum corneum
What layer is the arrow pointing to?

startum corneum
What layer is the arrow pointing to?

stratum lucidum
What is the name of the layer indicated by B on the diagram?

startum lucidum
What layer is the arrow pointing to?

stratum lucidum
What layer is the arrow pointing to?

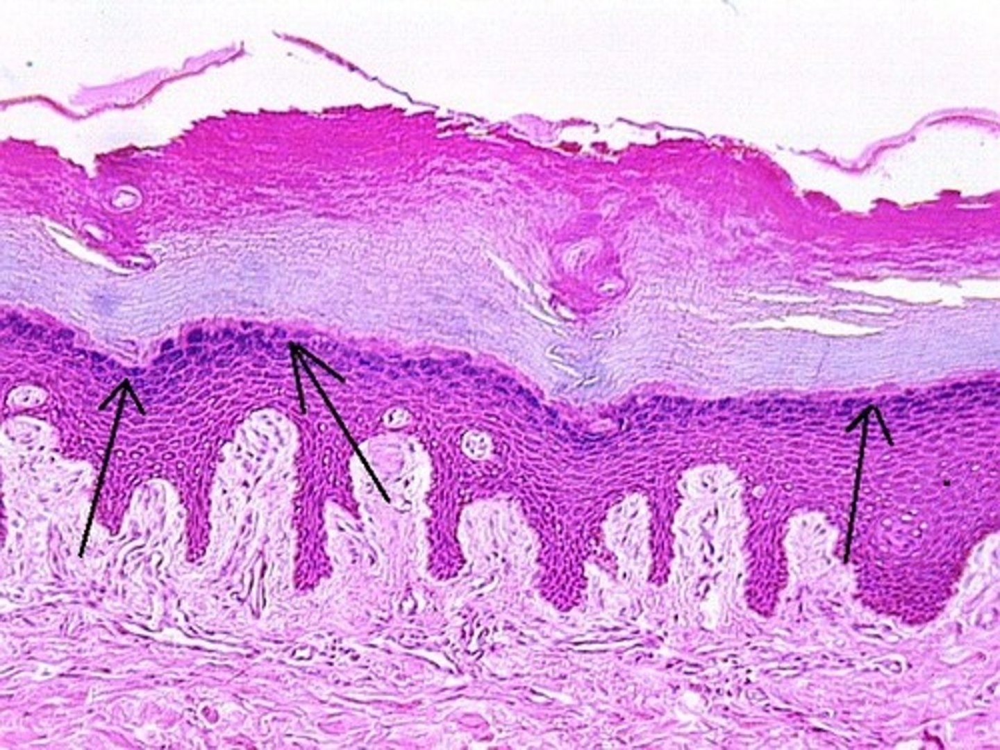
stratum granulosum
What is the name of the layer indicated by C on the diagram?

stratum granulosum
What layer is the arrow pointing to?

stratum granulosum
What layer is the arrow pointing to?

stratum spinosum
What is the name of the layer indicated by D on the diagram?

stratum spinosum
What layer is the arrow pointing to?

stratum spinosum
What layer is the arrow pointing to?

stratum basale
What is the name of the layer indicated by E on the diagram?

stratum basale
What layer is the arrow pointing to?

stratum basale
What layer is the tip arrow pointing to?
