1/27
Looks like no tags are added yet.
Name | Mastery | Learn | Test | Matching | Spaced | Call with Kai |
|---|
No analytics yet
Send a link to your students to track their progress
What are three methods of collecting urine for urinalysis?
free catch / voided
catherisisation
cystocentesis
Whatt three things can you physically examine ?
colour, clarity and solute concentration
What three things can cause pigmenturia and what will this look like?
Haematuria - red urine, clear superenatant
haemagolbinuria - red - brown urine, supernatant pink-red
myoglobinuria - red-brown urine, supernatant clear
How do we measure USG
refractometer
What is considered adequate urin conc fro dogs / cats
USG 1.030 dogs, 1.035 cats
What is considered suboptimally concentrated urine in odgs / cats
d- 1.013-1.030
c- 1.013-1.035
What is meant by isosthenuria and what is this for dogs / cats
urine has same osmolartity as plasma
1.008-1.0012 for both
What is hyposthenuria
kidneys able to filute urine 1.008
What tests should you do if dipstick analysis shows proteinuria? What are some possible causes?

What can cause glucosuria
hyperglyceamia, renal glucosuria
What can cause ketone bodies in urine - ketonuria
diabetes mellitus, starvation, hypoglyceamia
What can cause blood in urine?
haematuria - haemorrage in UT
haemoglobinuria - intravascular haemolysis
myoglobinuria - myocyte damage / necrosis
What can cause aciduria
respiratory acidosis, metabolic acidosis, hypokalaemia
what can cause alkainuria
urea splitting / hydrolysis
alkalosis
What can casue bilirubinaemia
excessive formation due to haemolytic anaemia
inpaired haematobiliary excreetion
How soon affter taking sample should it be tested?
less than 1h
What settings should centrifuge be on for a urine sediment analysis
1,000-1,500 rpm for 3-5mins
What three things can cause erythrocytes in urine sediment?
pathological haemorrage
iatrogenic haemorrhage
oestrus (dogs)
What can cause pyuria (leukocytes in sediment)
UTI
gential tract infection
What are casts and why are they found in urine sediment? (cylindruria)
cylindrical moulds of tubules composed of mucoproetins
can indicate renal tubular disease

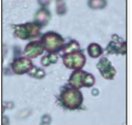
ID this crystal and give info.


ID this crystal and give info


ID this crystal and give info


ID this crystal and give info


ID this crystal and give info


ID this crystal and give info


ID this crystal and give info


ID this crystal and give info
