DMI 108 Upper Extremity

0.0(0)
studied byStudied by 0 people
0.0(0)
full-widthCall with Kai
GameKnowt Play
New
learnLearn
examPractice Test
spaced repetitionSpaced Repetition
heart puzzleMatch
flashcardsFlashcards
Card Sorting

1/93

encourage image

There's no tags or description

Looks like no tags are added yet.

Study Analytics
Name
Mastery
Learn
Test
Matching
Spaced

No study sessions yet.

94 Terms

1
New cards

how many phalanges are there?

five

2
New cards

which digit is the first phalange?

thumb

3
New cards

how many metacarpals are there?

five

4
New cards

how many carpals are there?

eight

5
New cards

what is type of joint are the interphalangeal (IP) joints?

hinge or ginglymus, provides flexion and extension

6
New cards

what type of joint are the metacarpophalangeal (MCP) joints?

ellipsoidal/condyloid joint: flexion, extension, adduction, abduction movements

7
New cards

what type of joint is the first carpometacarpal (CMC) joint?

saddle/sellar joint: all types of movement

8
New cards

what type of joints are the second to fifth CMC joints?

plane/gliding joints

9
New cards

what are the intercarpal joints?

plane, gliding

10
New cards

what type of joint is the wrist joint? (radiocarpal)

ellipsoidal, condyloid

11
New cards

what type of joint is the proximal radioulnar joint?

pivot, trochoidal

12
New cards

what type of joint is the elbow joint?

ginglymus, hinge, also classified as synovial and is diarthrodial

13
New cards
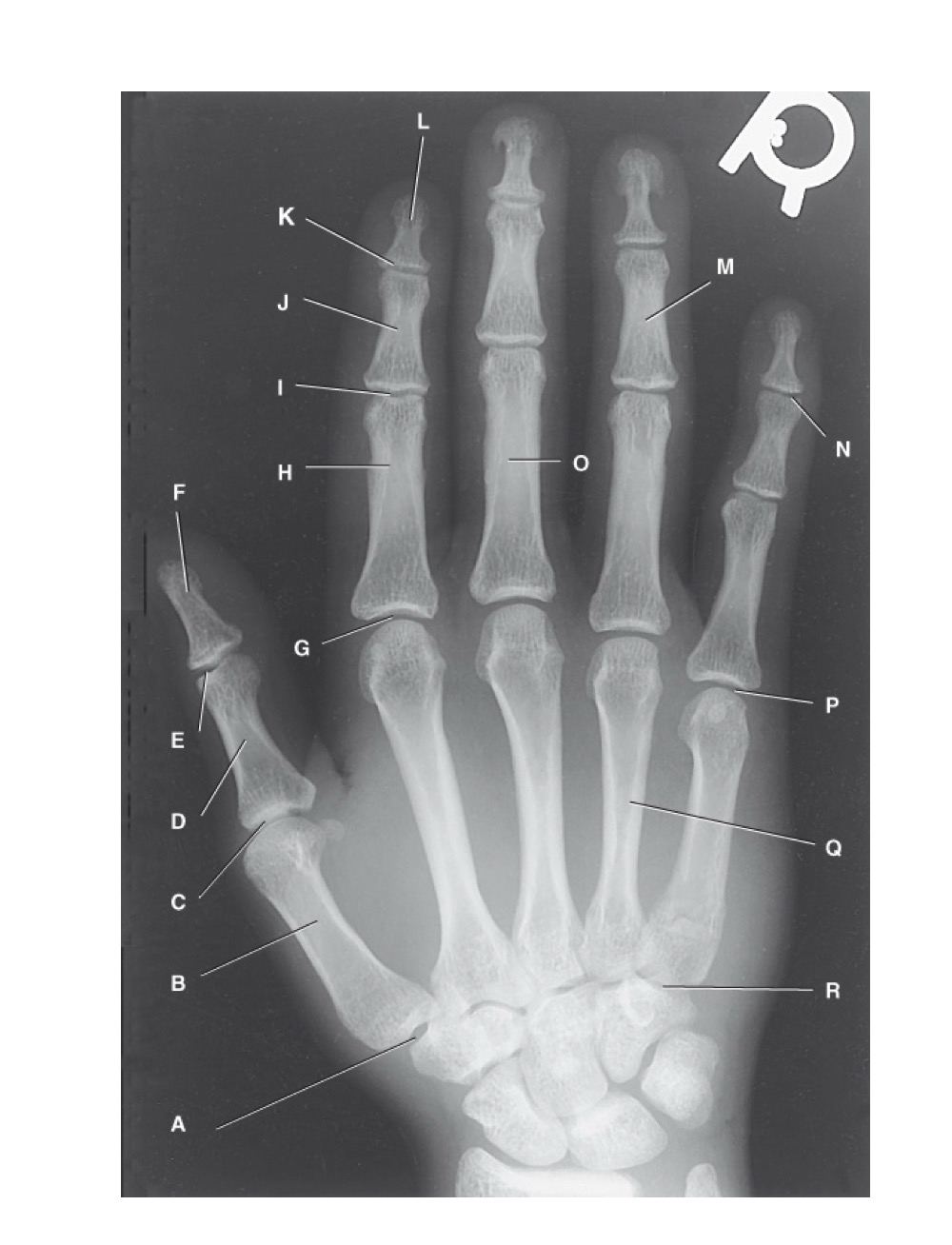
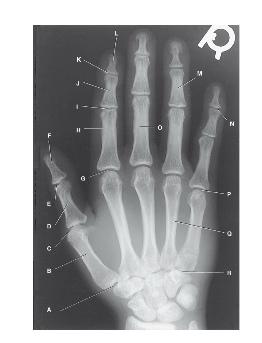
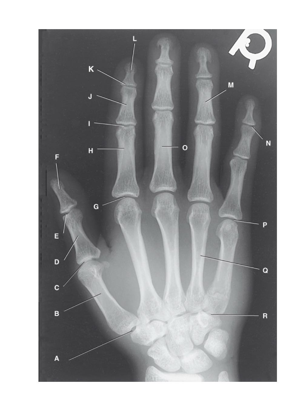
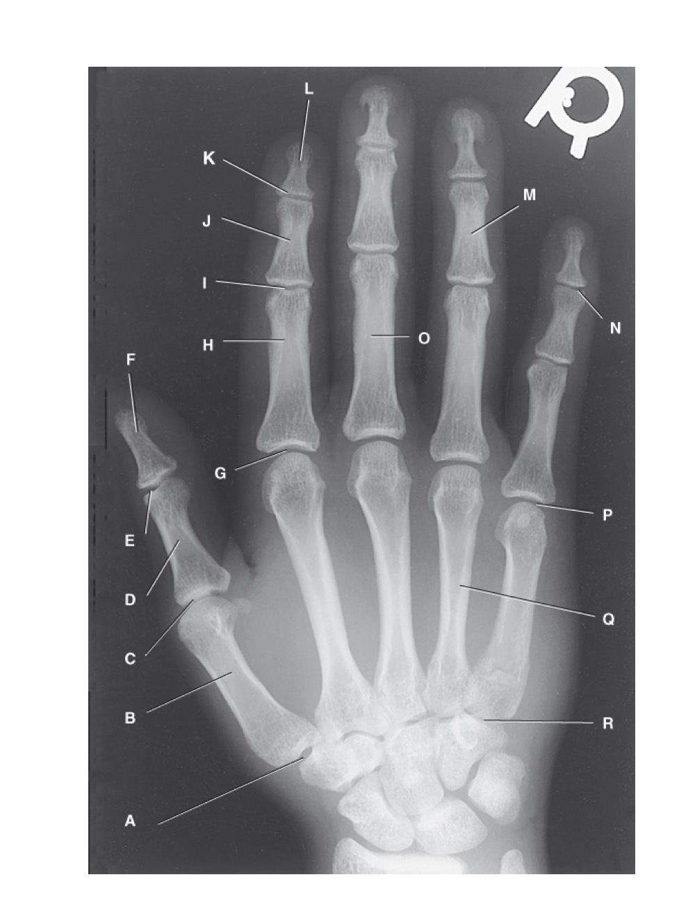
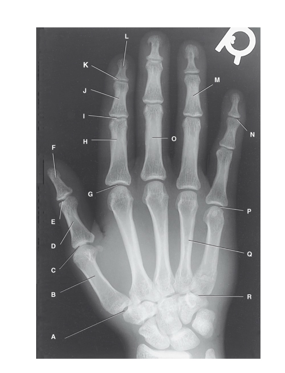
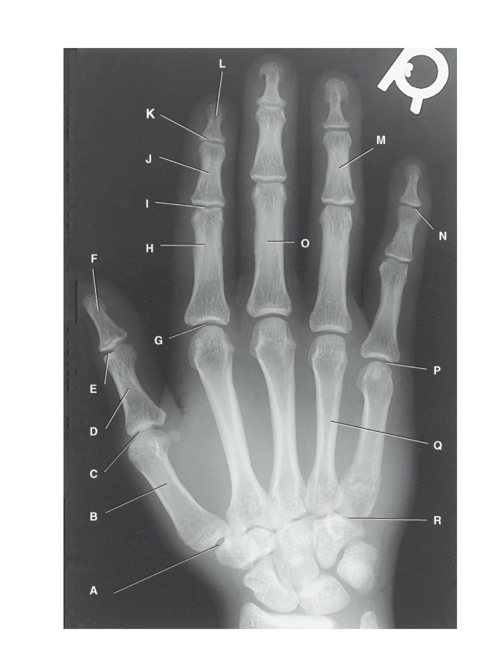
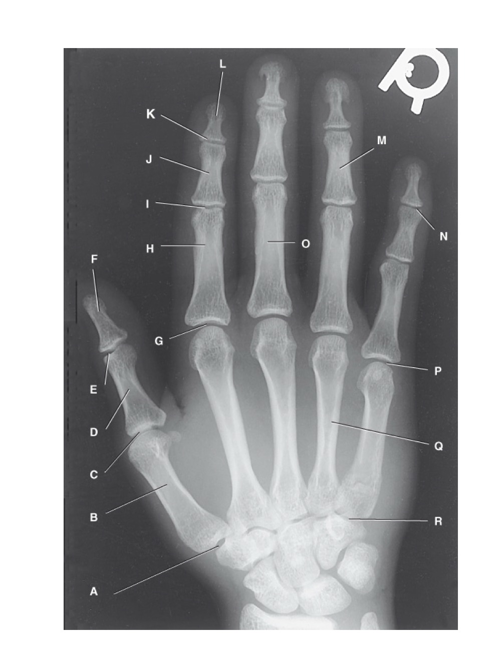
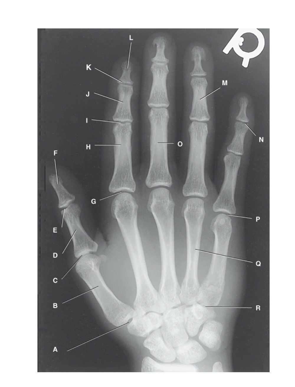
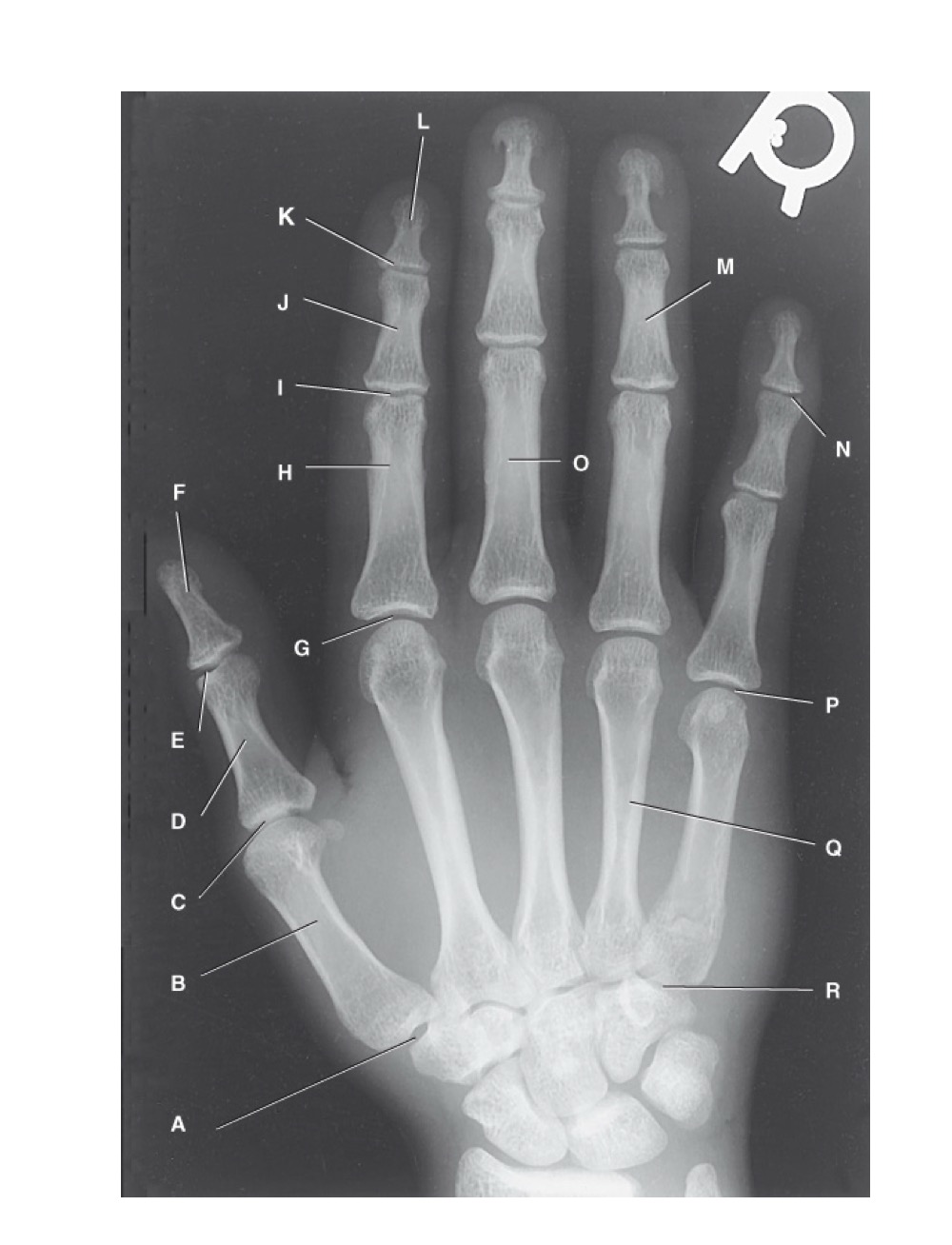
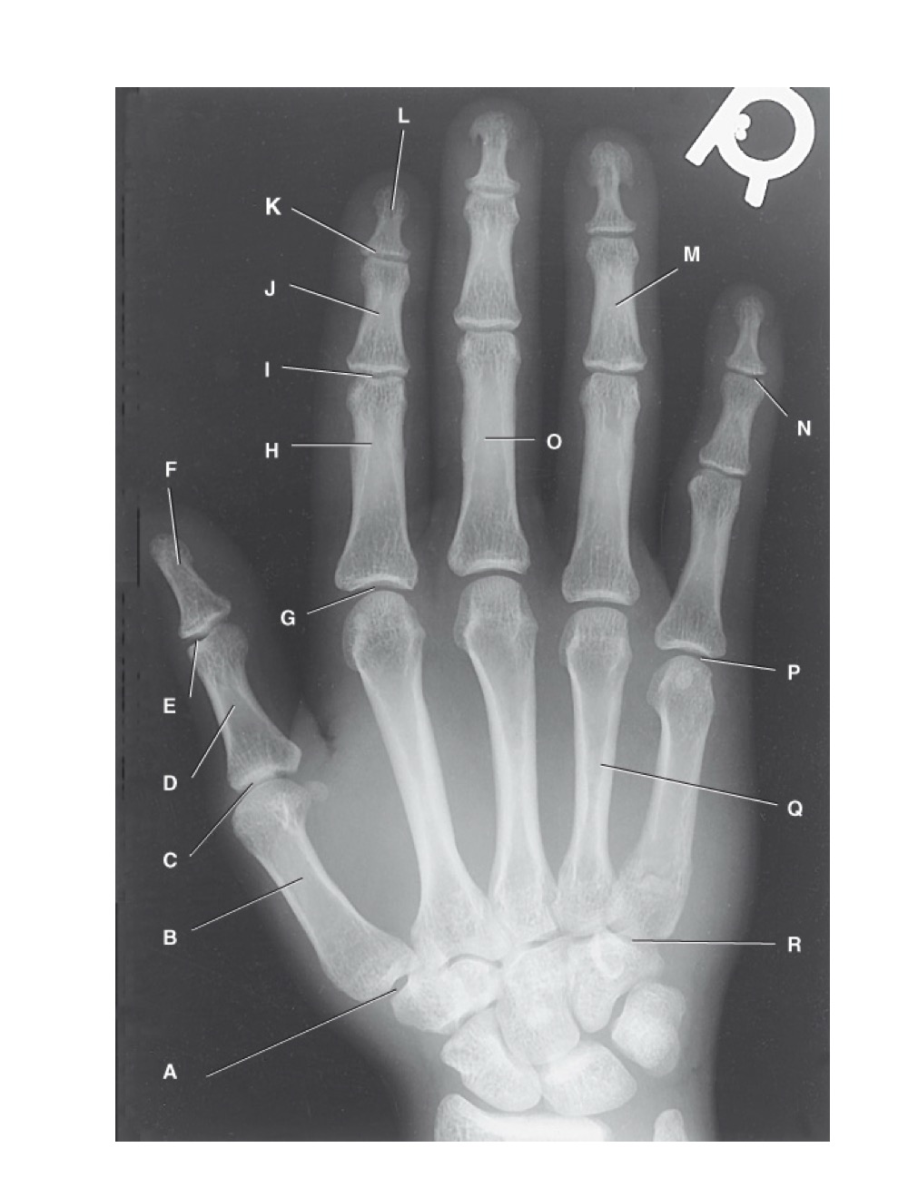
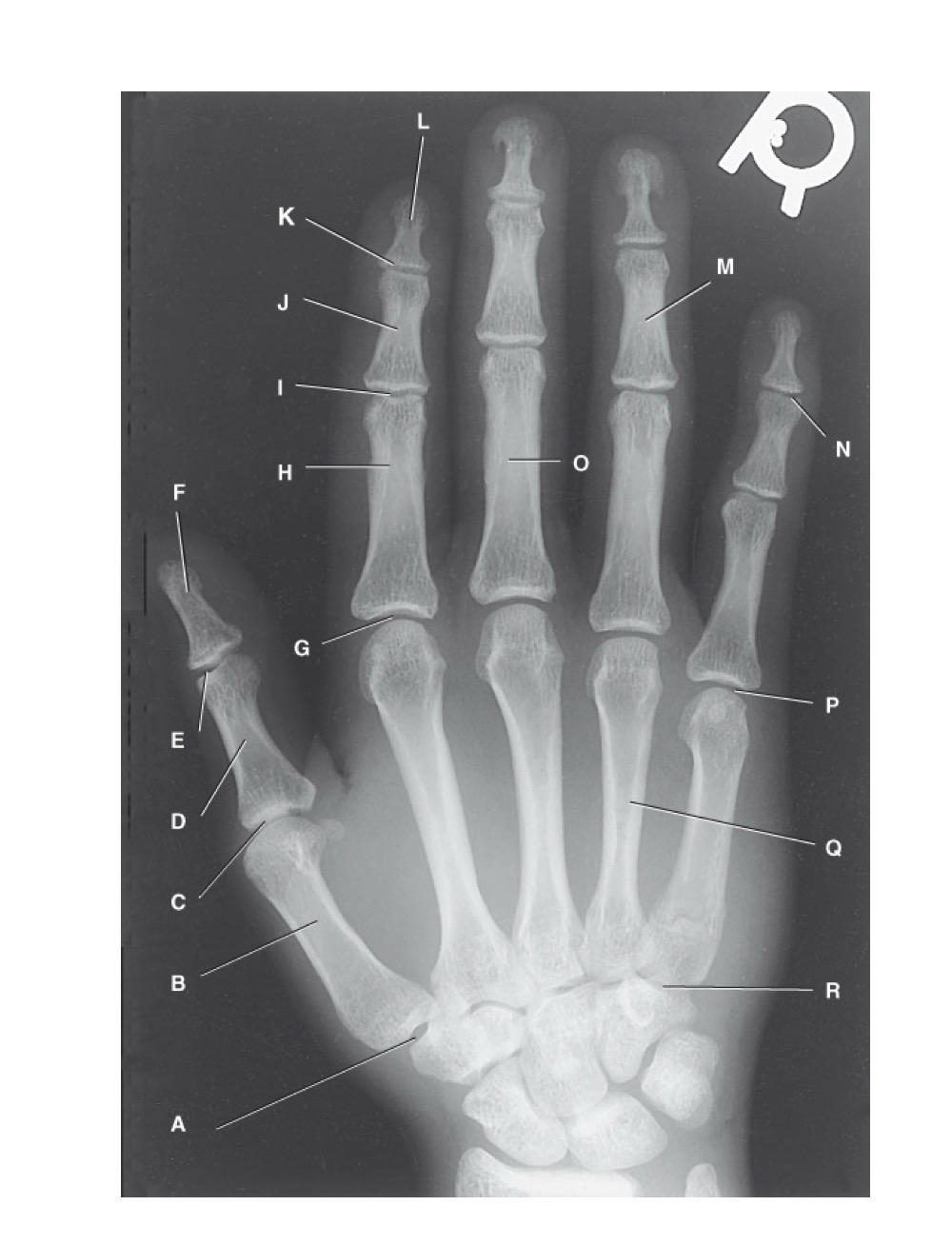
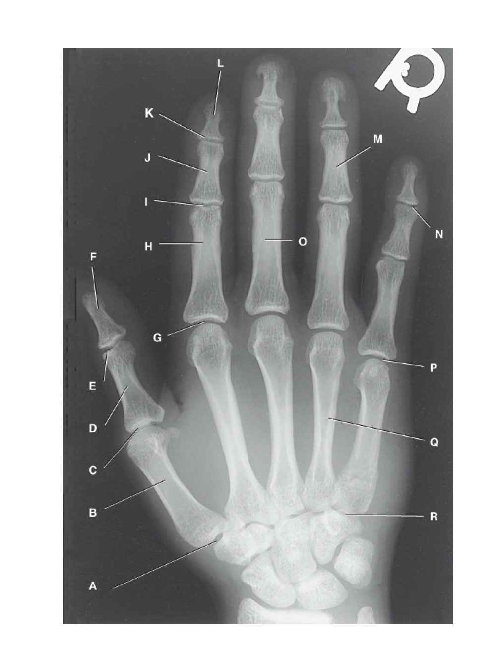
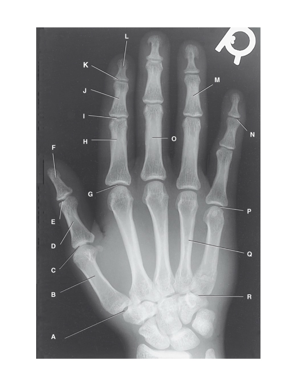
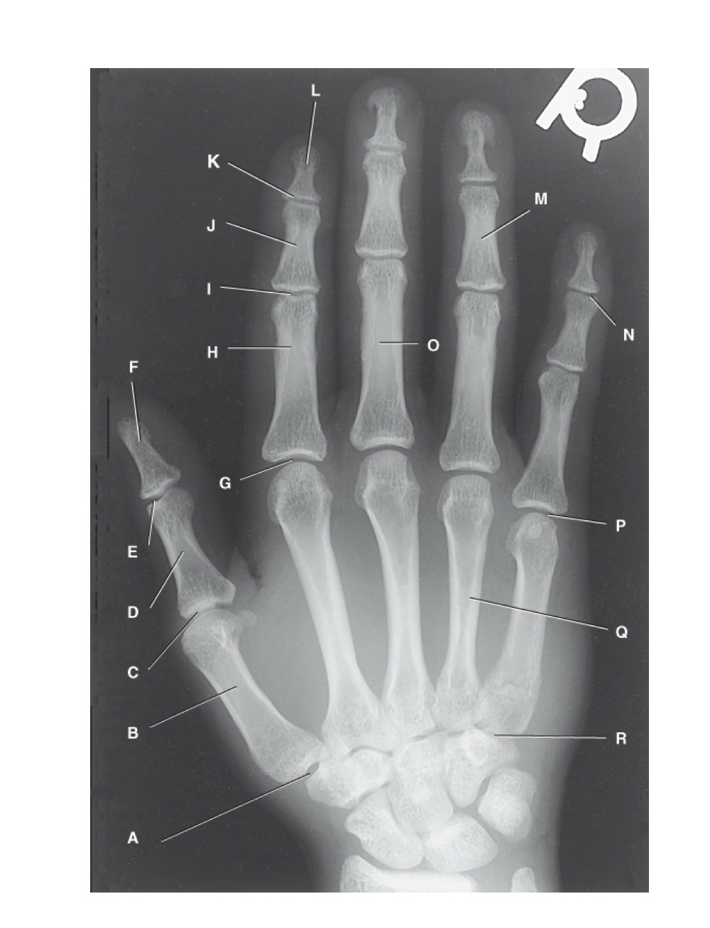
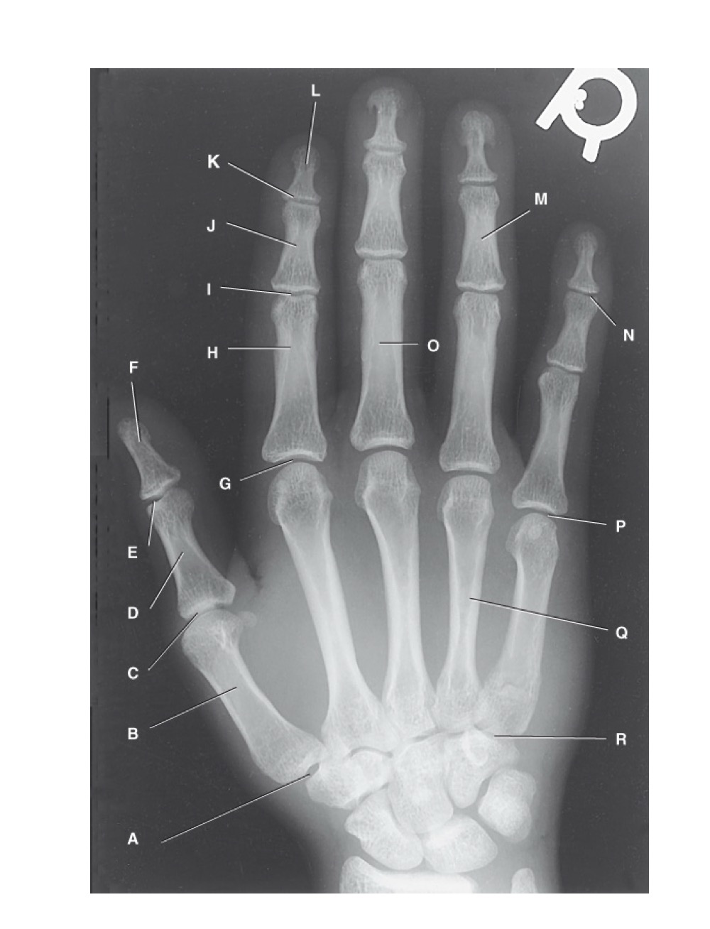
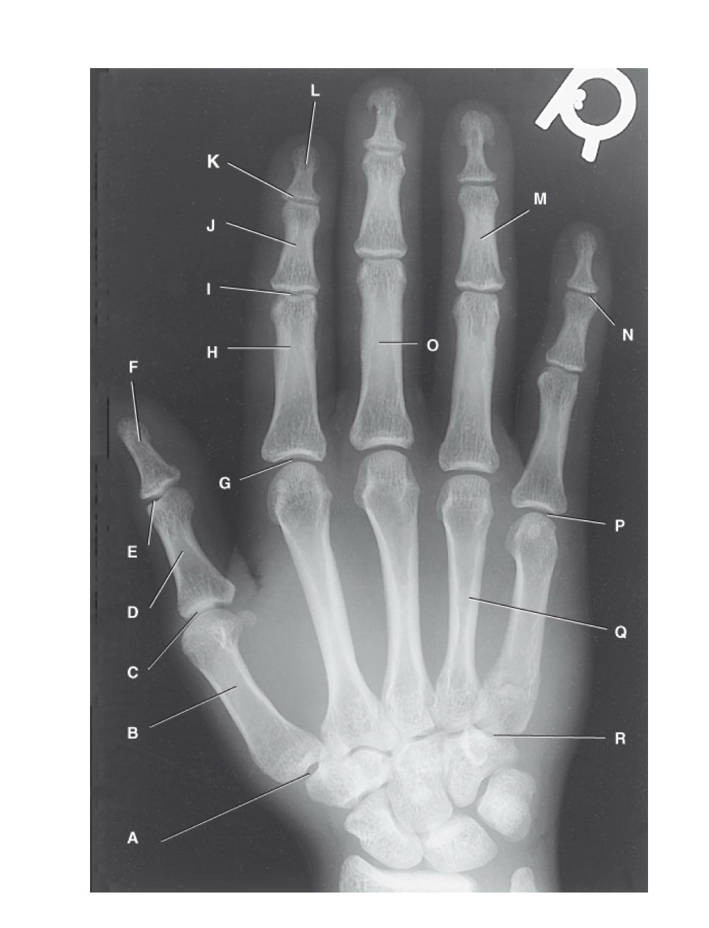
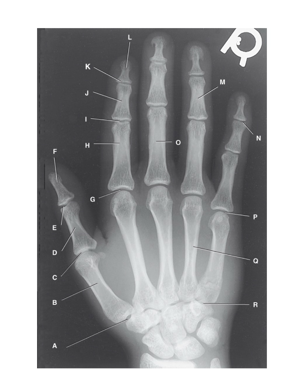
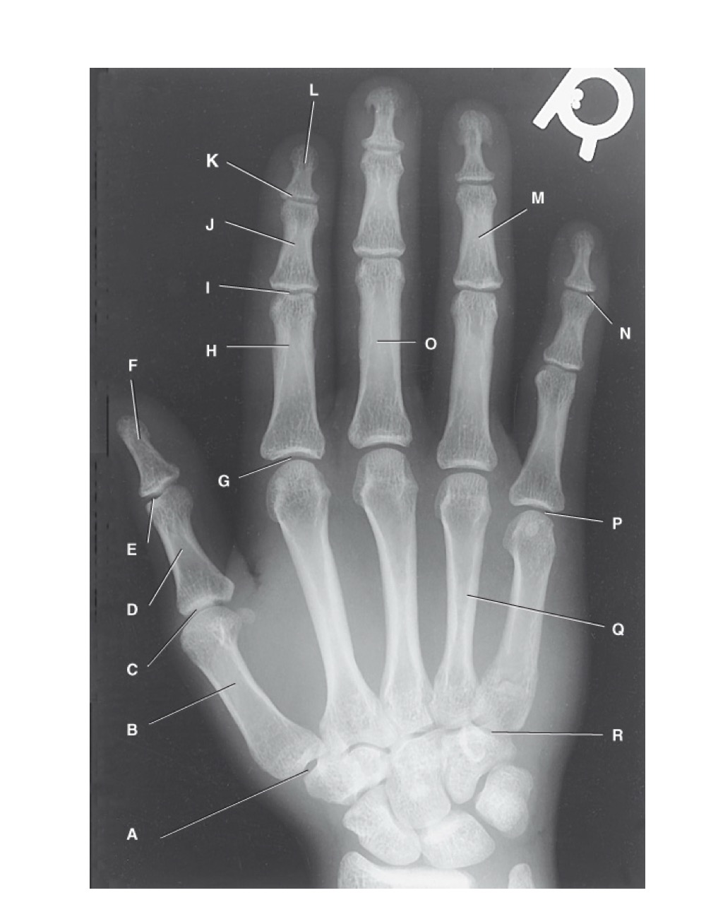
<p>identify A</p>

identify A

first carpometacarpal

14
New cards
<p>B?</p>

B?

first metacarpal

15
New cards
<p>C?</p>

C?

first metacarpophalangeal joint

16
New cards
<p>D?</p>

D?

proximal phalanx of the first digit

17
New cards
<p>E?</p>

E?

interphalangeal joint of the first digit

18
New cards
<p>F?</p>

F?

distal phalanx of the first digit

19
New cards
<p>G?</p>

G?

second metacarpophalangeal joint

20
New cards
<p>H?</p>

H?

proximal phalanx of the second digit

21
New cards
<p>I?</p>

I?

proximal interphalangeal joint of the second digit

22
New cards
<p>J?</p>

J?

middle phalanx of second digit

23
New cards
<p>K?</p>

K?

distal interphalangeal joint of second digit

24
New cards
<p>L?</p>

L?

distal phalanx of second digit

25
New cards
<p>M?</p>

M?

middle phalanx of the fourth digit

26
New cards
<p>N?</p>

N?

distal interphalangeal joint of fifth digit

27
New cards
<p>O?</p>

O?

proximal phalanx of third digit

28
New cards
<p>P?</p>

P?

fifth metacarpophalangeal joint

29
New cards
<p>Q?</p>

Q?

fourth metacarpal

30
New cards
<p>R?</p>

R?

fifth carpometacarpal joint

31
New cards

what are the carpals of the distal row

trapezium, trapezoid, capitate, hamate

32
New cards

what are the carpals of the proximal row?

scaphoid, lunate, triquetrum, pisiform

33
New cards

radial deviation

deviated towards radius

34
New cards

ulnar deviation

deviated toward ulnar, for scaphoid view

35
New cards
<p>What is A?</p>

What is A?

olecranon process

36
New cards
<p>what is B?</p>

what is B?

trochlear notch

37
New cards
<p>what is C?</p>

what is C?

coronoid process

38
New cards
<p>what is D?</p>

what is D?

radial notch

39
New cards
<p>what is the purple pointing to?</p>

what is the purple pointing to?

outer ridges of capitulum and trochlea

40
New cards
<p>what is the blue pointing to?</p>

what is the blue pointing to?

trochlear notch of ulna

41
New cards
<p>what is the pink pointing to?</p>

what is the pink pointing to?

trochlear sulcus

42
New cards

what are the carpal bones?

scaphoid, lunate, triquetrum, pisiform, trapezium, trapezoid, capitate, and hamate

43
New cards

what is DIP?

distal interphalangeal joint

44
New cards

what is PIP?

proximal interphalangeal joint

45
New cards

what is MCP?

metacarpophalangeal joint

46
New cards

what is CMC?

carpometacarpal

47
New cards

what is IP?

interphalangeal joint

48
New cards
<p>what is A</p>

what is A

scaphoid

49
New cards
<p>what is B</p>

what is B

lunate

50
New cards
<p>what is C</p>

what is C

triquetrom

51
New cards
<p>what is D</p>

what is D

pisiform

52
New cards
<p>what is E</p>

what is E

trapezium

53
New cards
<p>what is F</p>

what is F

trapezoid

54
New cards
<p>what is G</p>

what is G

capitate

55
New cards
<p>what is H</p>

what is H

hamate

56
New cards

bone metasases

transfer of disease or cancerous lesions from one organ or part that may not be directly connected

57
New cards

bursitis

inflammation of the bursae or fluid-filled sacs that enclose the joints, usually involves formation of calcification in associated tendons

58
New cards

carpal tunnel syndrome

common painful disorder if the wrist and hand resulting from compression of the median nerve as it passes through the center of the wrist, most commonly found in middle aged women

59
New cards

fracture

a break in the structure of bone caused by a force

60
New cards

how many types of fractures are there?

5 we have to know

61
New cards

barton fracture

fracture and dislocation of the posterior lip of the distal radius

62
New cards

bennett fracture

fracture of the base of the first metacarpal bone

63
New cards

boxer fracture

transverse fracture that extends through the metacarpal neck most commonly in the fifth metcarpal

64
New cards

colles fracture

transverse fracture of the distal radius where distal fragment is displaced posteriorly, most commonly also seen with an ulnar styloid fracture

65
New cards

smith fracture

reverse of colles fracture, transverse fracture of distal radius with distal fragment displaced anteriorly

66
New cards

joint effusion

accumulated fluid in the joint cavity, sign of underlying condition

67
New cards

osteoarthritis

aka degenerative joint disease (DJD), non inflammatory joint disease characterized by gradual deterioration of the articular cartilage with hypertrophic bone formation

68
New cards

osteomyelitis

local or generalized infection of bone or bone marrow that may be caused by bacteria introduced by trauma or surgery

69
New cards

osteopetrosis

hereditary disease marked by abnormally dense bone

70
New cards

osteoporosis

reduction in the quantity of bone or atrophy of skeletal tissue

71
New cards

paget disease

a common chronic skeletal disease, characterized by bone destruction followed by a reparative process of overproduction of dense yet soft bones that tend to fracture easily

72
New cards

rheumatoid arthritis

chronic systemic disease with inflammatory changes throughout the connective tissues

73
New cards

scapholunate ligament injuries

involve the ligament that connects the scaphoid to the lunate bone

74
New cards

skier’a thumb

sprain or tear of the ulnar collateral ligament of the thumb near the MCP joint of the hyperextended thumb

75
New cards

tumors

neoplasms, bone neoplasia; most often benign sometimes cancerous

76
New cards

multiple myeloma

malignant, most common primary cancerous bone tumor, usually fatal within a few years

77
New cards

osteogenic sarcoma

malignant, second most common primary cancerous bone tumor, may develop in older persons with paget disease

78
New cards

ewing sarcoma

common primary malignant bone tumor in children and young adults that arises from bone marrow

79
New cards

chondrosarcoma

slow growing malignant tumor of the cartilage, radiographic appearance is similar to other malignant tumors but desne calcifications are often seen within the cartilaginous mass

80
New cards

endochondroma

slow growing benign cartilaginous tumor most often found in small bones of the hands and feet of adolescent and young adults, usually well defined radiolucent appearing tumors with a thin cortex often lead to pathologic fracture with only minimal trauma

81
New cards

osteochondroma

aka exostosis, most common type of benign bone tumor, arise from the outer cortex with the tumor growing parallel to the bone, pointing away from the adjacent joint, most common at the knee

82
New cards
<p>what is A?</p>

what is A?

radial fossa

83
New cards
<p>what is B?</p>

what is B?

coronoid fossa

84
New cards
term image
85
New cards
term image
86
New cards
term image
87
New cards
term image
88
New cards
term image
89
New cards
term image
90
New cards
term image
91
New cards
term image
92
New cards
term image
93
New cards
term image
94
New cards
term image