1/4
Looks like no tags are added yet.
Name | Mastery | Learn | Test | Matching | Spaced | Call with Kai |
|---|
No analytics yet
Send a link to your students to track their progress
What are the four sex cord stromal tumors?
Sex Cord Stromal Cells are the endocrine apparatus of the ovaries and are subdivided into four types
Granulosa Cell Tumors
Thecomas
Fibromas
Sertoli Leydig Cell Tumors
What are Granulosa Cell Tumors?

Granulosa Cell Tumors are cancers originating from the granulosa cells that produce estrogen and lead to vaginal bleeding
May cause endometrial hyperplasia which can progress to endometroid adenocarcinoma
have a characteristic nuclear groove that mimics coffee beans
express Call-Exner bodies which mimic the structure of ovarian follicles with absent germ cells in the center
Most common in post-menopausal women
What are Thecoma?

Thecomas are sex-cord stromal tumors that are benign and derived from the theca-cells
→ characteristically yellow with fat deposition in the clear cytoplasm
→ also capable of producing estrogen
What is a Fibroma?

Fibroma is a benign ovarian sex cord stromal tumor and is characteristically white and hard
Associated with Meigs’ syndrome
presence of ovarian tumor with ascites and pleural effusion on the right side
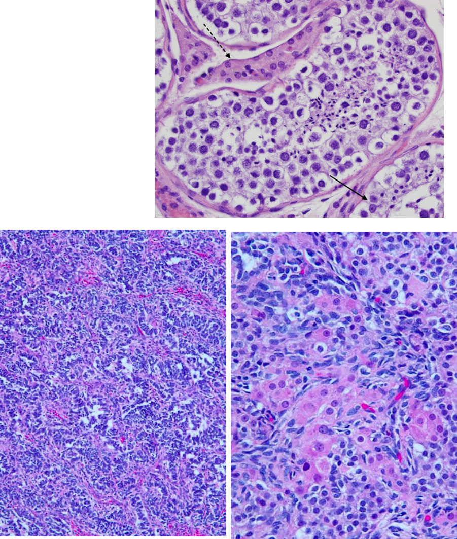
What are Sertoli Leydig Cell Tumors?

Sertoli Leydig Cell Tumors are ovarian sex cord tumors in women which presents with the presence of sertoli and leydig cells in women
Sertoli cells are small tubular cells
Leydig are larger pink cytoplasmic cells
lead to androgen production leading to virilization and hirsutism