Davies - Pulse-Echo Instrumentation

0.0(0)
studied byStudied by 0 people
full-widthCall with Kai
GameKnowt Play
learnLearn
examPractice Test
spaced repetitionSpaced Repetition
heart puzzleMatch
flashcardsFlashcards
Card Sorting

1/179

encourage image

There's no tags or description

Looks like no tags are added yet.

Study Analytics
Name
Mastery
Learn
Test
Matching
Spaced

No study sessions yet.

180 Terms

1
New cards

In these images, what technique is used to fill in the empty data between the scan lines?

A. apodization

B. Interpolation

C. dynamic receive

D. subdicing

E. dynamic damping

Interpolation

<p>Interpolation</p>
2
New cards

You have decreased the image sector width. Which of the following will most likely change as a result of this adjustment?

A. frame rate

B. axial resolution

C. elevational resolution

D. dynamic range

E. bandwidth

Frame rate

3
New cards

An M-mode display is most commonly used for what type of ultrasound image?

A. small parts

B. abdominal

C. cardiac

D. vascular

E. opthalmologic

Cardiac

4
New cards

When you adjust the output power control, you affect the following system component:

A: Pulser

B: Beam former

C: Scan converter

D: Memory

E: Receiver

Pulser

5
New cards

When you select compound imaging, which artifact is less likely to be observed?

A: Refraction

B: Shadowing

C: Enhancement

D: Acoustic speckle

E: All of the above

All of the above

6
New cards

While scanning a curved structure, you notice shadowing at the lateral edges of the structure. What is required for this artifact to occur?

A. different media propagation speeds

B. perpendicular incidence

C. transmit frequency exceeding 5MHz

D. fluid-filled structure in the path of the beam

E. phased array transducer

Different media propagation speeds

7
New cards

What system control do you adjust to equalize the differences in echo amplitudes received from similar structures situated at different depths?

A. dynamic range or compression

B. rectification

C. TGC

D. PRF

E. rejection

TGC

8
New cards

In this image of an artery there is a calcification with a dark vertical band extending beyond it. Which explanation best describes the etiology of the dark bend?

A. propagation speed error at the vessel wall interface

B. reduction in signal amplitude in tissue distal to a highly attenuating or reflecting object

C. refraction due to oblique incidence at the plaque interface

D. range ambiguity due to high PRF setting

E. comet tail artifact due to calcification in plaque

Reduction in signal amplitude in tissue distal to a highly attenuating or reflecting object

<p>Reduction in signal amplitude in tissue distal to a highly attenuating or reflecting object</p>
9
New cards

Which of the following does NOT affect the time required to create one image frame?

A. # of transmit focal zones

B. # of acoustic scan lines

C. image depth setting

D. speed of sound in tissue

E. transducer aperture

transducer aperture

10
New cards

What control should you adjust to better compensate for the attenuation of sound as it propagates through tissue?

A. dynamic range

B. TGC

C. acoustic power output

D. rejection

E. focusing

TGC

11
New cards

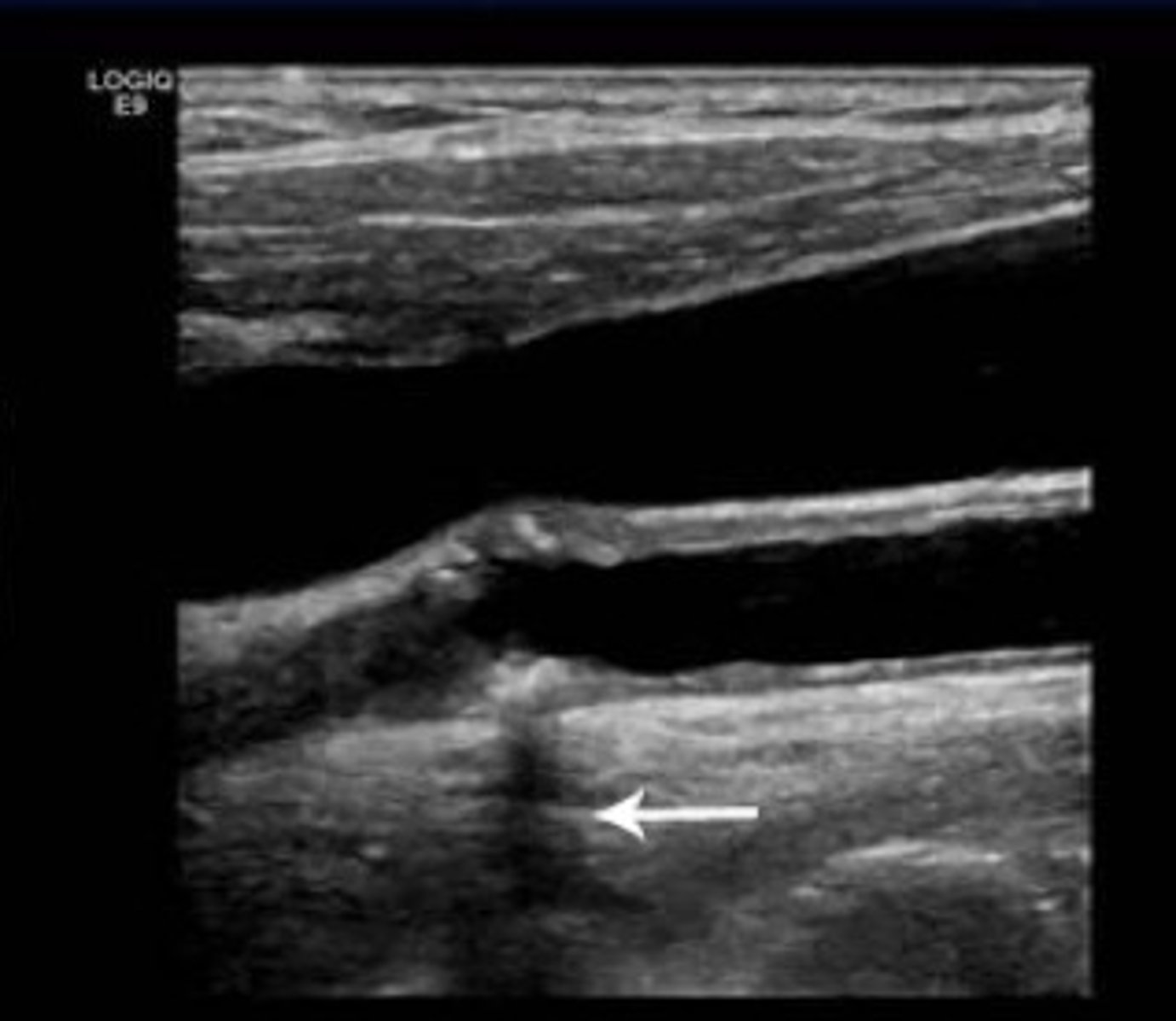
This image was displayed with a linear array transducer that employs phasing to steer the beam. What artifact do the arrows point to?

A. grating lobes

B. reverberation

C. mirror-imaging

D. slice-thickness

E. multipath reflections

grating lobes

<p>grating lobes</p>
12
New cards

Which is an assumption of sonographic imaging that determines how detected echoes are mapped in the image?

A: Sound waves travel along curved paths

B: Velocity is a constant 333 m/s

C: Echoes originate from the most recently transmitted pulse

D: Large structures yield a high brightness level on the display

E: Media with varying propagation speeds alter the travel time of the sound pulse

Echoes originate from the most recently transmitted pulse

13
New cards

In ultrasound systems, the range equation is used to determine which of the following?

A. reflector amplitude

B. reflector frequency

C. reflector direction

D. reflector depth

E. reflector size

reflector depth (d=1/2ct)

14
New cards

The term duty factor is defined as:

A. the fraction of time the transducer is actively transmitting sound

B. the fraction of time the transducer is actively receiving sound

C. the fraction of time between the transmitted and received sound pulse

D. the fraction of time between transmitted sound pulses

E. the fraction of time required for round-trip travel of a sound pulse to one cm in tissue

the fraction of time the transducer is actively transmitting sound

15
New cards

In order for distance measurements to be accurate in an US tissue phantom, the phantom sound propagation speed must be

A. 13 ms/cm

B. 1.54 m/s

C. 1540 m/s

D. half the speed of sound in tissue

E. twice the speed of sound in soft tissue

1540 m/s

16
New cards

What three colors are used on a color monitor to produce the range of available colors?

A. red, purple, yellow

B. yellow, green, blue

C. blue, yellow, red

D. red, green, blue

E. blue, white, red

red, green, blue

17
New cards

What system component is responsible for transmit focusing?

A. receiver

B. monitor

C. beam former

D. preprocessing

E. system clock

beam former

18
New cards

All of the following are limitations of M-mode scanning EXCEPT?

A. information is obtained along only one line of sight

B. motion lateral to the transducer is not displayed

C. motion axial to the transducer is not displayed

D. the two-dimensional shape of a structure is not shown

E. all of the above are limitations of M-mode

Motion axial to the transducer is not displayed

19
New cards

Where are the images stored in the ultrasound system?

A. pulser

B. receiver

C. beam former

D. display

E. scan converter

scan converter

20
New cards

a digital scan converter is another name for what system component?

A. pulser

B. receiver

C. image memory

D. analog-to-digital converter

E. beam former

image memory

21
New cards

while performing an obstetric exam, you wish to increase the frame rate to evaluate the fetal heart. What should you do?

A. increase scan line denisty

B. increase the number of focal zones

C. decrease sector width

D. decrease the system PRF

E. all of the above

decrease the sector width

22
New cards

Which display mode may be used to calculate distance measurements?

A. A-mode

B. B-mode

C. M-mode

D. B and C only

E. A, B, and C

A, B, and C

23
New cards

In the scan converter, interpolation is performed to:

A: Amplify the reflected signal in comparison to the background noise

B: Decrease the dynamic range to a level that can be handled by the monitor

C: Amplify weak echo signals from deep structures to compensate for beam attenuation

D: Fill in the empty pixels that occur between scan lines

E: Increase the number of shades of gray in the resultant image

fill in the empty pixels that occur between the acoustic scan lines

24
New cards

When you select one focal zone, how many pulse/listen cycles are required for each acoustic scan line in one image frame?

A: One

B: Two

C: Four

D: Eight

E: Sixteen

one

25
New cards

Which technology would be most helpful to obtain accurate anatomic volume measurements?

A. 2D imaging

B. 3D imaging

C. Color Doppler imaging

D. harmonic imaging

E. compound imaging

3D imaging

26
New cards

What system function is limited by the speed of sound in tissue?

A. demodulation

B. PRF

C. voltage amplitude

D. rectification

E. TGC

PRF

27
New cards

The elapsed time between the transmitted pulse and the detected echo is 26 ms. How far is the interface from the transducer?

A. 1 cm

B. 2 cm

C. 3 cm

D. 4 cm

E. 5 cm

2 cm

28
New cards

Which of the following artifacts commonly results in echoes filling the lumina of small vessels?

A. refraction

B. partial volume

C. mirror image

D. range ambiguity

E. multipath reflections

partial volume

29
New cards

What is the purpose of the pre-amplification of the incoming signal that occurs in the transducer assembly?

A. to decrease the dynamic range of the signal

B. to increase echo voltages before noise is induced through the cable

C. to reduce sensitivity to side lobes

D. to reduce acoustic impedance mismatch between the tissue and the transducer

E. to compensate for attenuation of the beam with depth

to increase echo voltages before noise is induced through the cable

30
New cards

Which control would you adjust to alter the dynamic range of the displayed echo

A. compression

B. transmit power

C. scanning depth

D. TGC

E. focusing

compression

31
New cards

Which of the following will result in aliasing of the Doppler frequency shift using CW Doppler?

A. PRF 10 kHz, frequency shift 4 kHz

B. PRF 12 kHz, frequency shift 8 kHz

C. PRF 5 kHz, frequency shift 2.3 kHz

D. PRF 8 kHz, frequency shift 5 kHz

E. none of the above

none of the above

32
New cards

What is the advantage of using write-zoom instead of read-zoom magnification?

A. write zoom provides a higher frame rate than read zoom

B. write zoom allows you to select a location in the image, whereas read zoom must be applied to only the center of the image

C. write zoom reduced the display of electronic noise and side lobes because it is performed in the memory component of the instrument

D. write zoom provides greater dynamic range than read zoom

E. write zoom provides better spatial resolution than read zoom

write zoom provides a better spatial resolution than read zoom

33
New cards

What receiver function is responsible for decreasing the difference between the smallest and largest received signal amplitudes?

A. amplification

B. compensation

C. compression

D. demodulation

E. rejection

compression

34
New cards

A group of 8 bits is called?

A. binary

B. kilobyte

C. pixel

D. byte

E. matrix

byte

35
New cards

Which function of the receiver converts electric signals from radiofrequency to video form?

A. amplifiication

B. compensation

C. compression

D. demodulation

E. rejection

demodulation

36
New cards

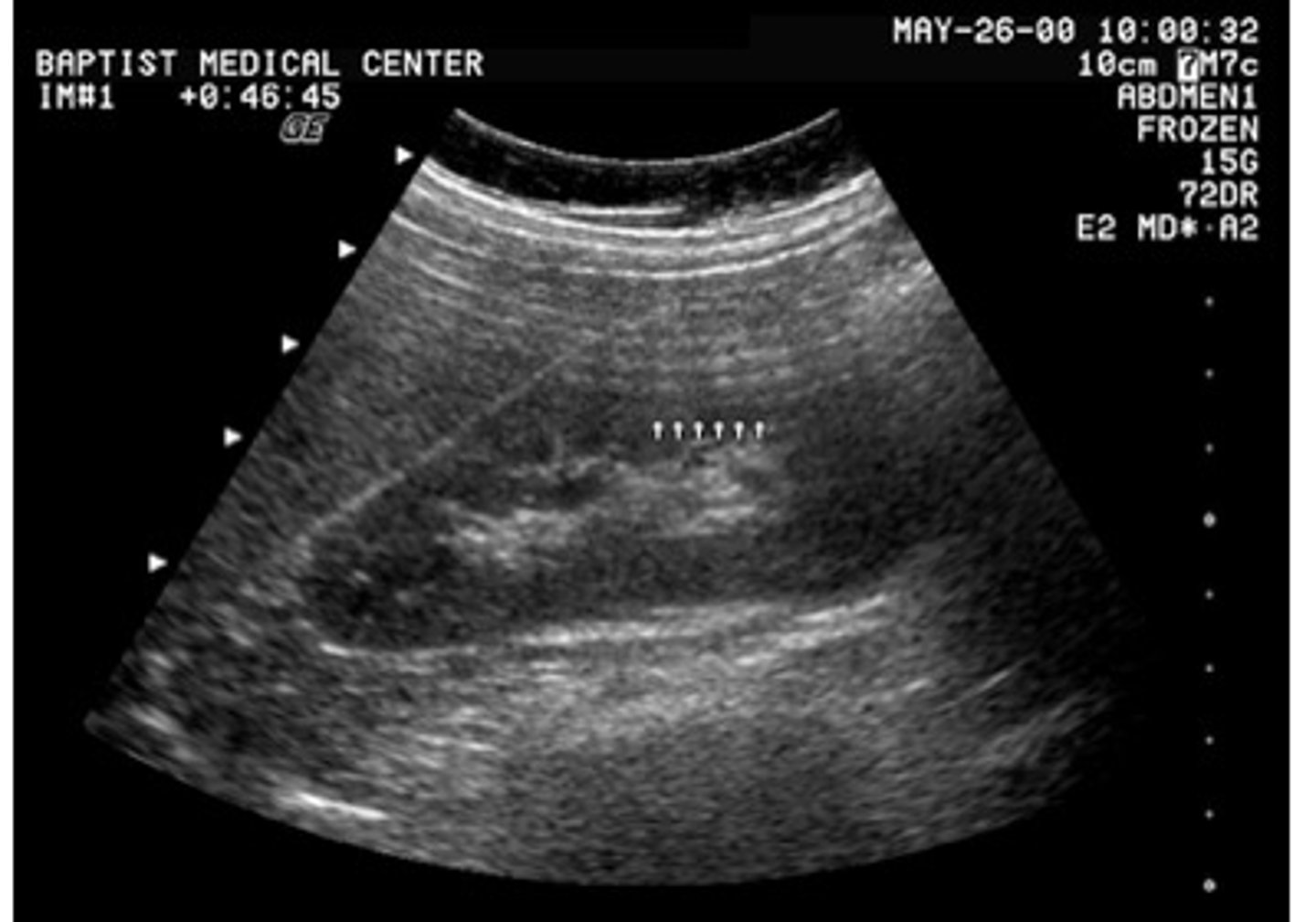
What is the source of the echoes depicted in the image of the kidney?

A. side lobes

B. grating lobes

C. refraction

D. reverberation

E. multipath reflections

reverberation

<p>reverberation</p>
37
New cards

Which term below most correctly describes this Doppler waveform?

A. aliasing

B. spectral mirroring

C. spectral broadening due to sample volume size

D. reverberation

E. bidirectional flow

spectral mirroring

<p>spectral mirroring</p>
38
New cards

Using the modality worksheet has the advantage of

A. avoiding the need to type patient information

B. reducing patient information error

C. speeding up patient preparation time

D. easily confirming patient information

E. all of the above

all of the above

39
New cards

What effect will you detect in the image if you increase the threshold control?

A: Increased image brightness

B: Decreased image brightness

C: Decreased appearance of weak echo signals

D: Increased appearance of strong echo signals

E: Decreased appearance of strong echo signals

decreased appearance of weak echo signals (threshold is another name for reject control - reduces the display of weak echoes)

40
New cards

You may observe a mirror-image artifact with which imaging mode?

A. B-mode

B. spectral doppler

C. color doppler

D. power doppler

E. all of the above

all of the above

41
New cards

What system component determines the PRF?

A. pulser

B. receiver

C. memory

D. display

E. scan converter

pulser

42
New cards

The M in M-mode stands for?

A. motion

B. magnetic

C. megahertz

D. manual

E. maximum

motion

43
New cards

Which of the following helps to improve the elevational resolution in a B-mode image?

A. increased transmit power

B. increased bandwidth

C. focusing with an acoustic lens

D. increased dynamic range

E. beam steering

focusing with an acoustic lens

44
New cards

How many lines of sight are sampled and displayed on the monitor in A-mode?

A. 1

B. 2

C. 10

D. 256

E. 525

1

45
New cards

Which of the following would be most helpful to enhance the contrast difference between tissues having subtle variations in echogenicity?

A. decreasing the acoustic power output

B. decreasing the scan line density

C. performing a read-zoom over the area of interest

D. changing the gray-scale map assignment

E. increasing the overall receiver gain

changing the gray-scale map assignment

46
New cards

electronic noise is reduced in the ultrasound system by this method

A. demodulation

B. compensation

C. rectification

D. amplification

E. rejection

rejection

47
New cards

Which of the following best described M-mode

A. presentation of reflector amplitudes along multiple lines of sight

B. two-dimensional gray-scale image

C. movement of a single structure along multiple lines of sight

D. depth of reflectors along a single line of sight vs. time

E. frequency shift of moving reflectors along a single line of sight

depth of reflectors along a single line of sight vs. time

48
New cards

While scanning a curved structure, you notice at the lateral edges of the structure. What artifact is this?

A. grating lobes

B. comet-tail

C. acoustic speckle

D. ring-down

E. refraction

refraction

49
New cards

What is meant by thee term 4D imaging in sonography?

A. 3D imaging with the addition of time

B. 3D imaging with rendering

C. 3D imaging with transparent views

D. 3D imaging with tomographic views

E. 3D imaging with rotational movie

3D imaging with the addition of time

50
New cards

What artifact might you see with an array transducer due to energy that propagates from the transducer in a direction different from the primary beam?

A: Grating lobe

B: Mirror image

C: Reverberation

D: Range ambiguity

E: Acoustic enhancement

grating lobes

51
New cards

which of the following ultrasound examinations would require the highest frame rate?

A. small parts

B. abdominal

C. pelvic

D. vascular

E. cardiac

cardiac

52
New cards

the number of images displayed per second in real-time imaging is termed the

A. PRF

B. PRP

C. frame rate

D. pulse duration

E. pulse length

frame rate

53
New cards

a type of sonographic imaging that transmits two pulses of opposite phase in rapid succession so they can be cancelled out upon reception is termed?

A. pulse inversion harmonics

B. compound imaging

C. speckle reduction imaging

D. tomographic imaging

E. panoramic imaging

pulse inversion harmonics

54
New cards

digital-to-analog conversion of the US signal must occur at what part of the imaging process?

A. between the transducer and the receiver

B. between the beam former and the transducer

C. between the receiver and the scan converter

D. between the scan converter and the display

E. digital-to-analog conversion does not occur in the US system

between the scan converter and the display

55
New cards

What component of the US system converts the electric energy provided by the pulser into acoustic pulses transmitted into the patient?

A. receiver

B. scan converter

C. memory

D. display

E. transducer

transducer

56
New cards

You have increased the output power by 10 dB. The signal intensity has:

A: Doubled

B: Tripled

C: Quadrupled

D: Increased by a factor of 10

E: Increased by a factor of 100

increased by a factor of 10

57
New cards

You made changes to the following controls during a sonogram. Which adjustment increased the duty factor?

A. increasing receiver gain

B. increasing output power

C. increasing PRF

D. increasing scanning time

E. increasing TGC

PRF (duty factor is the percentage of time that the US is being transmitted)

58
New cards

In this image, the letter B is demonstrating what type of resolution?

A. axial

B. lateral

C. elevational

D. contrast

E. temporal

elevational

<p>elevational</p>
59
New cards

How many levels of information can a single bit represent?

A. one

B. two

C. four

D. eight

E. sixteen

two (on and off)

60
New cards

What part of the sonographic instrument is responsible for apodization, beam steering, focusing, and aperture control?

A. beam former

B. receiver

C. memory

D. pulser

E. scan converter

beam former

61
New cards

What can you improve by changing gray-scale map?

A: Axial resolution

B: Lateral resolution

C: Contrast resolution

D: Elevational resolution

E: Temporal resolution

contrast resolution

62
New cards

You are imaging a 3D dataset that has ansioptropic resolution. What does this mean?

A. spatial resolution is better than temporal resolution

B. spatial resolution is equal in all dimensions

C. contrast resolution is superior to spatial resolution

D. unequal resolution is present between imaging planes

E. elevational resolution and contrast resolution are the same

unequal resolution is present between imaging planes

63
New cards

You obtained a 3D sweep in an axial plane and are viewing it in a multiplanar display. What orthogonal planes will be displayed?

A. coronal and sagittal

B. transverse and coronal

C. transverse and sagittal

D. oblique planes at 90 degrees

E. oblique planes at 60 degrees

coronal and sagittal

64
New cards

if sound did not attenuate with increasing depth, what system control would you no longer need?

A. dynamic range

B. reject

C. frame averaging

D. TGC

E. master gain

TGC

65
New cards

What is the disadvantage of a water-path scanner?

A. it reduces axial resolution

B. the beam width is perpendicular to the image plane is increased, resulting in poor elevational resolution

C. bubbles in the fluid can inhibit sound transmission into the body

D. it is useful only with very low frequencies

E. the fluid path increases the mechanical index

bubbles in the fluid can inhibit sound transmission into the body

66
New cards

What information is present in M-mode display?

A. time, motion, pattern, and amplitude

B. amplitude, frequency, and time

C. motion pattern and frequency

D. time, motion pattern, and frequency

E. bandwidth, amplitude, frequency, time, and motion pattern

time, motion pattern, and amplitude

67
New cards

you are imaging a fluid-filled structure that has equidistant horizontal bands appearing in the near field. The bands have decreasing brightness with depth. What artifact are you seeing?

A. slice-thickness

B. side lobes

C. reverberation

D. comet-tail

E. ring-down

reverberation

68
New cards

a typical value for the duty factor in diagnostic sonographic imaging is?

A. 80-100%

B. 50-75%

C. 25-45%

D. 5-20%

E. 0.1-1%

0.1-1%

69
New cards

the range equation describes the relationship between

A. acoustic impedance of the two media

B. side-lobe intensity between two crystals

C. round-trip pulse travel time and distance to the transducer

D. bandwidth and transducer frequency

E. all of the above

round-trip pulse travel time and distance to the reflector

70
New cards

What information is present in the A-mode display?

A. frequency bandwidth, amplitude, and reflector distance

B. time, amplitude, and motion pattern

C. amplitude and reflector distance

D. time, motion pattern, reflector distance, and frequency bandwidth

E. frequency shift, amplitude, and reflector distance

amplitude and reflector distance

71
New cards

What type of imaging results in selective reception of frequencies that are two times that of the transmitted frequency?

A. color doppler imaging

B. pulsed doppler imaging

C. tissue doppler imaging

D. M-mode imaging

E. tissue harmonic imaging

tissue harmonic imaging

72
New cards

What technique would be most likely to produce grating lobes in your image?

A. beam steering

B. tomographic US imaging

C. 3D imaging

D. speckle reduction imaging

E. tissue harmonic imaging

beam steering

73
New cards

you are performing a sonographic examination and select the tissue harmonics operating mode. What advantage will you obtain over conventional imaging?

A. improved contrast resolution

B. improved penetration

C. improved temporal resolution

D. improved signal-to-noise ratio

E. increased bandwidth

improved contrast resolution (contrast resolution is always improved with increasing frequency)

74
New cards

what term below describes the rate at which the transducer applies electronic voltage pulses to the transducer

A. period

B. PRF

C. depth gain compensation

D. demodulation

E. apodization

PRF

75
New cards

what affect will you see in the image if you increase the reject level?

A. increased numbers of shades of gray

B. decreased low-level echoes

C. decreased frame rate

D. decreased scanning depth

E. decreased amplitude of the brightness of gray

decreased low-level echoes

76
New cards

you are using a transducer that produces a beam with a very wide slice thickness. Which of the following problems are you most likely to encounter as a result?

A. increased near-field reverberations in fluid-filled structures

B. increased side lobes

C. decreased penetration

D. partial volume artifact

E. decreased frame rate

partial volume artifact (occurs when slice thickness is wider than the structure being imaged)

77
New cards

What is the main advantage you will have by choosing a transducer that produces a thin slice over the image plane

A. improved frame rate

B. decreased volume averaging

C. better axial resolution

D. larger field of view

E. greater penetration

decreased volume averaging

78
New cards

What receiver function listed below is NOT operator-adjustable?

A: Amplification

B: Compensation

C: Demodulation

D: Rejection

E: A and D

demodulation

79
New cards

what is an advantage of a water-path scale

A. near-field reverberations are reduced

B. penetration is increased

C. temporal resolution is improved

D. axial resolution is improved

E. slice thickness is reduced

near-field reverberations are reduced

80
New cards

of the following, which is the best choice to help you demonstrate tissue boundaries that are not perpendicular to the sound beam?

A. speckle-reducing algorithm

B. spatial compounding

C. persistence

D. panoramic imaging

E. TGC

spatial compounding (when the sound beam is steered in multiple directions by employing time delays, then images are averaged)

81
New cards

The picture elements in a scan converter matrix are termed

A. decimals

B. binary numerals

C. bits

D. pixels

E. bytes

pixels

82
New cards

What control should you adjust to modify the image if the attenuation coefficient of the tissue is very high?

A: Dynamic range

B: Rejection

C: Threshold

D: Compensation

E: Compression

compensation

83
New cards

What is another name for the hyperechoic artifact distal to a fluid-filled structure

A. refraction

B. shadowing

C. speckle

D. grating lobe

E. enhancement

enhancement

<p>enhancement</p>
84
New cards

What is the maximum number of shades of gray in an 8-bit digital scan converter?

A. 16

B. 32

C. 64

D. 128

E. 256

256 (2^8)

85
New cards

With an A-mode display, the internal contents of a simple cyst will appear as

A. an area with very dark shades of gray

B. an area with rapidly moving spikes

C. an area with tall spikes surrounded on each end with areas absent of spikes

D. an area with no spikes

E. an area with multiple tiny spikes

an area with no spikes

86
New cards

Propagation speed error results in which sonographic appearance?

A. improper lateral position of an echo

B. improper axial position of an echo

C. shadowing behind an echo

D. enhancement behind an echo

E. none of the above

improper axial position of an echo

87
New cards

You are observing a sonographic artifact based on the interference patterns of scattered echoes. Which of the following will decrease the presence of the artifact you are seeing?

A. using frame averaging (persistence)

B. using compound imaging

C. reducing the output power

D. increasing the overall gain

E. A and B

A and B

88
New cards

What type of focusing is performed by delay circuitry reception?

A. dynamic receive focusing

B. elevational focusing

C. transmit focus

D. multizone transmit

E. mechanical focusing

Dynamic receive focusing

89
New cards

Pulsing of the transmitted sound wave is necessary for real-time imaging because

A. the transducer becomes too hot to handle if continuous sound waves are emitted

B. the crystal in the transducer will break under the stress of continuous emissions

C. the depth of the interface from which the echo originated can be determined

D. lateral resolution is improved by pulsed transmission

E. temporal resolution is improved by pulsed transmission

the depth of the interface from which the echo originated can be determined

90
New cards

What component is necessary for a real-time B-mode scanner but is not present in an A-mode scanner

A. clock

B. transmitter

C. transducer

D. scan converter

E. receiver

scan converter

91
New cards

When you adjust the TGC, what component of the US system implements the changes?

A. pulser

B. receiver

C. monitor

D. scan converter

E. clock

receiver

92
New cards

Which scanning mode not NOT rely on the principal of echo ranging to determine interface location

A. M-mode

B. PW Doppler

C. Static B-mode

D. Transmission

E. A-mode

transmission

93
New cards

With A-mode, the strength of the echo signal is represented by:

A: The brightness of the dot

B: The brightness of the spike

C: The distance between two spikes

D: The distance between two dots

E: The height of the spike

the height of the spike

94
New cards

What type of transducer will improve the artifact demonstrated in this image?

A. linear array

B. 1.5D or multirow array

C. mechanical 3D

D. phased array

E. mechanical sector

1.5D or multirow array

<p>1.5D or multirow array</p>
95
New cards

You are manipulating a volume data set that was previously obtained on your patient. What is the maximum number of imaging planes that can be obtained from this data set?

A: One

B: Ten

C: One hundred

D: One thousand

E: There is no limit

there is no limit

96
New cards

which imaging technique may increase visualization of the reflections from blood flow on the real-time US image

A. compound imaging

B. tissue harmonic imaging

C. 3D imaging

D. tomographic imaging

E. speckle reduction imaging

tissue harmonic imaging (harmonics has reduce clutter, improved contrast resolution, and higher frequency)

97
New cards

Sonographic images are usually compressed before sending to PACS in order to

A. reduce the time to transmit the image

B. increase the spatial resolution of the image

C. preserve measurements with the image data

D. reduce costs by lowering image quality

E. increase the real-time image frame rates

reduce the time to transmit the image

98
New cards

While performing a sonographic examination, you have performed both preprocessing and postprocessing functions. Which of the following functions is postprocessing

A. write-zoom magnification

B. frequency change

C. gray-scale map assignment

D. scan line density

E. acoustic power output

gray-scale map assignment

99
New cards

What technique would be most helpful in reducing grating lobes in your image?

A. beam steering

B. compound imaging

C. 3D imaging

D. speckle reduction imaging

E. tissue harmonic imaging

tissue harmonic imaging

100
New cards

What artifact is related to the sound beam traveling through a structure with low attenuation

A. comet-tail

B. aliasing

C. enhancement

D. reverberation

E. side-lobe

enhancement