1/75
Looks like no tags are added yet.
Name | Mastery | Learn | Test | Matching | Spaced |
|---|
No study sessions yet.
functions of skeletal joints
provide mobility to the musculoskeletal system
process a degree of stability
different joints have different functions
shoulder joint function
the ball-and-socket joint enables the arm to move in all three planes (triaxial motion)
How is higher level of mobility achieved?
achieved at the expense of reduced stability
also increases the risk to injuries like partial/complete ligament tears and dislocations
elbow joint function
provides movement mainly in one plane (uniaxial motion)
more stable and less risk of injuries compared to shoulder joint
extremes cases of increased stability
increased stability is achieved at joint that allows no relative motion between the bones making up the joint
contacting surface of skull bones
main type of human joints
gliding joint
hinge joint
pivot joint
ellipsoid joint
saddle joint
ball-and-socket joint
classification of joint in the skeletal system
synarthrodial joint
amphiarthroidal joint
diarthrodial joint
gliding joint
hinge joint
pivot joint
condyloid
saddle joints
ball-and-socket
synarthrodial joints
joints in the skull that are formed by two tightly fitting bones
do NOT allow any relative motion
amphiarthrodial joints
joints between vertebrates
allow slightly relative motion
diarthrodial joints
joints allow varying degrees of relative motion and have articular activity, ligamentous capsules, synovial membrane, and synovial fluid
gliding joints
hinge joints
pivot joints
condyloid
saddle joints
ball-and-socket
ball-and-socket joint
shoulder
hip

saddle joints
carpometacarpal of thumb

condyloid joints
wrist

pivot joints
proximal radioulnar

hinge joints
elbow
ankle

gliding joints
vertebral facets

clavicle

deltoid muscles

biceps brachii (long head and short head)

triceps brachii (long head, lateral head, and medial head)

brachialis muscle

scapula

humerus

rhomboid major muscle

rhomboid minor muscle

trapezius muscle

supraspinatus muscle

infraspintaus muscle

teres minor muscle

teres major muscle

acromion

deltopectoral muscle

clavicular part of deltoid muscle (anterior fibers)
look at packet diagram
acromial part of deltoid muscle (central fibers)
clavicular part of pectoralis (major)

sternocostal part of pectoralis major

biceps brachii (short head)

biceps brachii (long head)

abdomial part of pectoralis major
manubrium sterni

body of sternum

xiphoid process

rhomboideus major muscle

latissimus dorsi muscle

deltoid muscle

rotator cuff muscles
subscapularis
supraspinatus
infraspinatus
teres minor
subscapularis
largest, strongest and most useful of the 4 rotator cuff muscles
medial rotation of the shoulder/arm
supraspinatus
abducts the shoulder first 15 degreesÂ
deltoid and trapezius take after
vertical abduction of shoulder/arm
infraspinatus
lateral/external rotation of the shoulder/arm
teres minor
lateral/external rotation of the shoulder/arm
vertical abduction of shoulder/arm
middle deltoid
supraspinatus
horizontal abduction of shoulder/arm
posterior deltoid
vertical adduction of shoulder/arm
pectoralis major (sternocostal head)
coracobrachialis
latissimus dorsi
horizontal adduction of shoulder/arm
pectoralis major (clavicle head)
pectoralis minor
anterior deltoid
lateral rotators of shoulder/arm
infraspinatus
teres minor
posterior deltoid
medial lateral rotators of shoulder/arm
subscapularis
teres major
latissimus dorsi
anterior deltoid
what causes the most injuries in the shoulder/arm?
flexion and abduction
bones of human shoulder
clavicle
scapula
humerus
joints of the shoulder
shoulder joint (glenohumeral joint)
shoulder girdle (acromioclavicular joint)
acromicalvicular (AC) joint
plantar type joint between lateral portion of the clavicle and the acromion of the scapula
sternoclavicular (SC) joint
stellar joint between the medial end of the clavicle and the manubrium of the sternum
glenohumeral joint
ball and socket articulation between the head of humerus and gelnoid cavity
favors mobility over stability
scapulothoracic joint
scapula suspended on rib cage by muscles
highly mobile
scapula movements increases range of motion at the shoulder joint
type of joint cartilage
white cartilage
labrum
white cartilage
on the end of bones (articular cartilage)
allows for bones to glide and move on each other
when joint is overused, white cartilage starts to wear out, and joint becomes bumpy and painful and stiff
osteoarthritis
labrum
seen in shoulder
different form articular cartilage
fibrous and rigid than the cartilage on the ends of the ball and socket
only around socket where it is attached
movements of the shoulder
flexion
extension
abduction (vertical/horizontal)
adduction
outward rotation
inward rotation
rotator cuff
medical term for a group of muscles and their tendons that stabilize the shoulder
4 muscles hold the head of humerus in the glenoid fossa
bursae provide cushion and protect the joint from injuries
brusae
two filmy sac-like structures that allow smooth gliding between bone, muscle, and tendon
causes of shoulder dislocation
weakness of rotator cuff tendons and tendonitis, or trauma
head of humerus subluxes from glenoid cavity
usually when humerus is in abduction or flexion
occurs in the inferior direction and aspect
weakest region of capsule
humerus pulled either anterior/posterior to shoulder joint upon which rotator cuff muscles are injured
arm hangs limp at prominent “step deformity” space between acromion and humeral head
review basic mechanisms of shoulder injuries
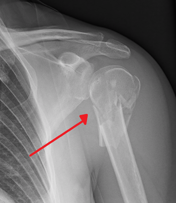
humeral fractures

humeral neck fractures

proximal humeral fracture

clavicle fracture

scapula fracture
