1/12
Looks like no tags are added yet.
Name | Mastery | Learn | Test | Matching | Spaced | Call with Kai |
|---|
No study sessions yet.
What can happen? what are the different things that affect the look of the waveforms
Cardiac Arrythmias
◦ Bigeminy
◦ Brady/Tachycardia
◦ Poor Ejection Fraction
◦ Aortic Valve Stenosis
◦ Aortic Insufficiency
How do I measure the waveform?
◦ Cardiac arrythmia - Bigeminy
Select and average two consecutive waves
◦ Select three consecutive similar waves
◦ Wait for the heart to return to normal rhythm
◦ Use velocity ratios

what is this waveform showing?
Cardiac Arrythmia: irregular heartbeat

what is this waveform showing?
Cardiac Arrythmia

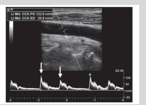
what is this waveform showing?
Bigeminy: irregular beat that
is followed by a normal beat

what is this waveform showing?
Bradycardia: slow heartbeat

what is this waveform showing?
Tachycardia: rapid heartbeat

How can I measure the waveform?
◦ Poor Ejection Fraction / define it
Diminished flow throughout cardiac cycle
◦ Blood flow will not reach the “high” velocities expected with a stenosis
◦ Use velocity ratio

Poor Ejection Fraction
How can I measure the waveform?
◦ Aortic Valve Stenosis
Typically, will be diagnosed prior to ultrasound
◦ Dampened waveform in bilateral carotid system
◦ Overall lower velocities
◦ Use velocity ratio

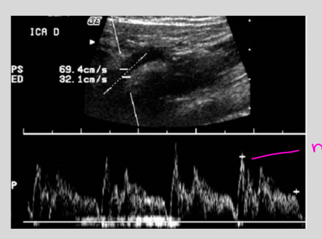
what waveform is this
Aortic Valve Stenosis

How do I measure the waveform?
◦ Aortic Valve Insufficiency
Pulsus Bisferiens: double systolic peak
◦ Measure the first peak
◦ Diminished end diastole
◦ Difference between an ICA occlusion & aortic valve insufficiency is
that the occlusion is typically unilateral

what waveform is this
Aortic Insufficiency
