1/17
Looks like no tags are added yet.
Name | Mastery | Learn | Test | Matching | Spaced | Call with Kai |
|---|
No study sessions yet.
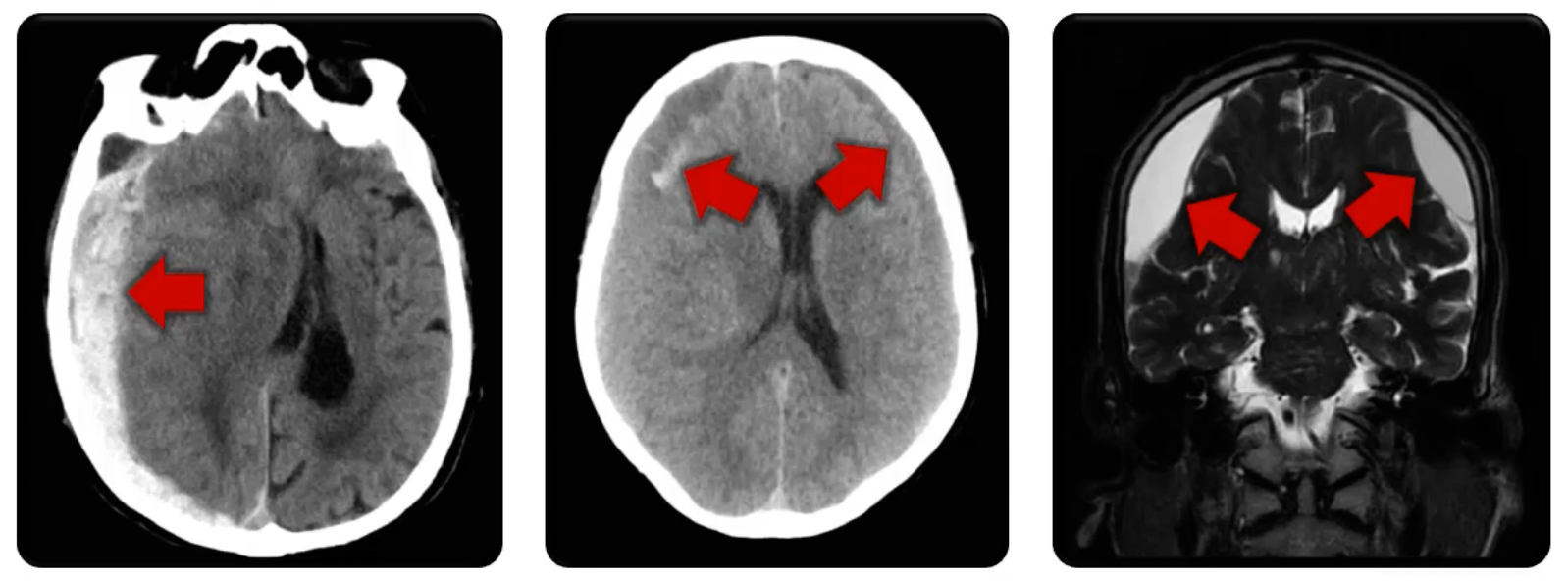
Subdural Hemorrhage
Subdural bleeding
spontaneous or trauma
Appear on the surface of the brain, may include new or coagulated blood
Subdural Hemorrhage

Epidural Hemorrhage
Epidural bleeding
trauma with Fx
Appears as crescent-shaped blood on surface of brain
Epidural Hemorrhage

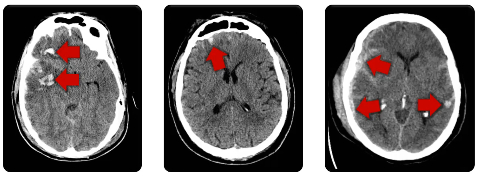
Subarachnoid Hemorrhage
Subarachnoid bleeding around the Circle of Willis
Caused by ruptured aneurysm
Subarachnoid Hem.

What is the pathology in this radiograph?
ruptured aneurysm

What are the arteries in this radiograph? (from top to bottom)
Middle Cerebral Artery
Internal Carotid Artery
Basilar Artery
Vertebral Artery

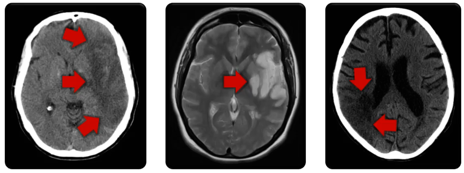
Intracranial Hem.
Hemorrhage stroke
ruptured vessels
Can result in edema, mass effect, and limited blood supply
Intracranial Hem.

Traumatic Contusions
Intracranial bleeding
caused by trauma
can appear with other hemorrhage injuries
can cause neurologic deficits
Traumatic contusions

Stroke
The loss of brain fxn. due to a disturbance in the blood flow to the brain.
Ischemic Stroke
Limited blood flow
Thrombosis
Embolism
Stenosis
Ischemic Stroke

Pontine Stroke

Hemorrhagic Stroke
Intracranial bleeding
Ruptured vessel
Can result in edema, mass effect, and limited blood supply
Hemorrhagic stroke
