Cross sectional anatomy Module 6 Pathology

0.0(0)
studied byStudied by 0 people
0.0(0)
full-widthCall with Kai
GameKnowt Play
New
learnLearn
examPractice Test
spaced repetitionSpaced Repetition
heart puzzleMatch
flashcardsFlashcards
Card Sorting

1/49

encourage image

There's no tags or description

Looks like no tags are added yet.

Study Analytics
Name
Mastery
Learn
Test
Matching
Spaced

No study sessions yet.

50 Terms

1
New cards

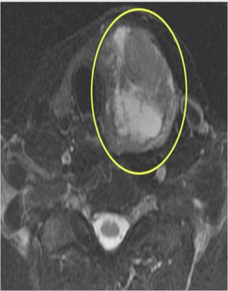
Thyroid Cancer

Abnormal cells multiply in the thyroid, forming a tumor.

<p>Abnormal cells multiply in the thyroid, forming a tumor.</p>
2
New cards

Aortic Aneurysm

Balloon-like bulge in the aorta, can dissect or rupture.

3
New cards

Pulmonary Embolus

Blood clot in the pulmonary arteries, often caused by deep vein thrombosis.

4
New cards

Pericardial Effusion

Excess fluid collection in the pericardial space.

5
New cards

Bronchogenic Carcinoma

Primary lung cancer associated with inhaled carcinogens.

6
New cards

Pneumothorax

Air enters the pleural space, causing lung collapse.

7
New cards

What is the function of the thyroid gland?

Controls metabolism and releases hormones for energy use.

(responsible for how you use energy, how you produce heat, and how you consume oxygen)

8
New cards

Where is the thyroid gland located?

Inside the lower anterior portion of the neck. around the level of cricoid cartilage

9
New cards

Is thyroid cancer treatable?

Yes, when caught early it is one of the most treatable forms of cancer

10
New cards

Why does a thyroid mass appear nonsymmetrical?

Because the thyroid gland is bilobed.

11
New cards

Esophageal Cancer

Cancer that begins in the cells lining the esophagus.

<p>Cancer that begins in the cells lining the esophagus.</p>
12
New cards

How common is esophageal cancer?

The 6th most common cause of cancer deaths worldwide.

13
New cards

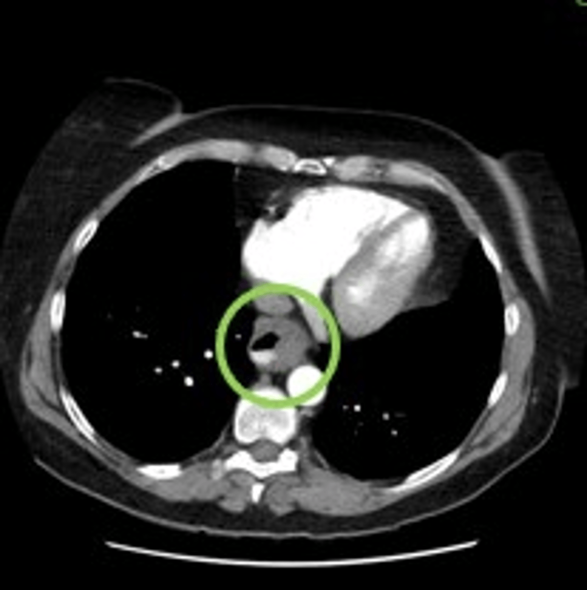
Where is the esophagus located in relation to the trachea?

Posterior (behind) the trachea.

14
New cards

What can an enlarged or contrast-filled structure posterior to the trachea indicate?

An abnormality in the esophagus.

15
New cards

When is the esophagus typically enlarged?

During the process of swallowing.

16
New cards

When should the esophagus be filled with contrast?

When oral contrast is given.

17
New cards

What is stridor?

Medium to high pitched respiratory noise caused by partial obstruction of the large airways at the level of the pharynx, larynx, and/or trachea.

<p>Medium to high pitched respiratory noise caused by partial obstruction of the large airways at the level of the pharynx, larynx, and/or trachea.</p>
18
New cards

When is stridor typically heard?

On inspiration, but can be heard on expiration if the obstruction is more distal.

19
New cards

Why are children and neonates more susceptible to getting stridor?

Due to their immature airways and smaller diameter.

20
New cards

What are some adult causes of stridor?

Acute epiglottitis, anaphylaxis, vocal cord dysfunction, inhalation of foreign body, and cancer/tumor.

21
New cards

How can stridor be visualized on images?

As a black (air-filled) and completely open airway.

22
New cards

What happens when something obstructs the airway?

Stridor occurs.

23
New cards

What does an aortic aneurysm look like?

Balloon-like bulge in the aorta.

24
New cards

What does a dissected aortic aneurysm look like?

Grayish line through the contrast-filled vessel.

25
New cards

What happens during aortic aneurysm dissection?

Force of blood splits layers of artery wall, causing blood to leak.

26
New cards

What happens during aortic aneurysm rupture?

Aneurysm bursts completely, causing internal bleeding.

27
New cards

What can cause an aortic aneurysm?

High blood pressure or inherited connective tissue disorders.

28
New cards

What are some signs and symptoms of an aortic aneurysm?

-Sharp, sudden pain in chest or upper back

-shortness of breath

-trouble breathing or swallowing.

29
New cards

What is a pulmonary embolus (PE)?

A blood clot in the main pulmonary arteries.

30
New cards

What is the most common cause of a pulmonary embolus (PE)?

Blood clots that travel from deep veins in the legs.

31
New cards

What are some other causes of a pulmonary embolus (PE)?

Heart disease, cancer, surgery, clotting disorders, COVID-19.

32
New cards

What can happen if a pulmonary embolus (PE) is left untreated?

Heart strain and potential death.

33
New cards

How can a pulmonary embolus (PE) be identified on an image?

By looking for dark gray areas within a contrast-filled artery.

34
New cards

Where can a pulmonary embolus (PE) extend to?

Lobar and segmental pulmonary arteries.

35
New cards

What is pericardial effusion?

Excess fluid in the pericardial space.

36
New cards

What causes pericardial effusion?

Infectious and noninfectious processes.

37
New cards

How much fluid is normally present in the pericardial sac?

Approximately 30-50 mL.

38
New cards

What are the symptoms of pericardial effusion?

Dyspnea, reduced exercise tolerance, impaired cardiac output, and death in severe cases.

39
New cards

What is bronchogenic carcinoma?

Primary lung cancer associated with inhaled carcinogens.

40
New cards

How can bronchogenic carcinoma be divided?

Non-small cell carcinoma and small cell carcinoma.

41
New cards

What are the clinical differences between non-small cell carcinoma and small cell carcinoma?

Presentation, treatment, and prognosis.

42
New cards

What percentage of lung cancer cases are asymptomatic?

Up to 50%.

43
New cards

What are common symptoms of lung cancer?

Cough and dyspnea (SOB).

44
New cards

What specific symptoms may be associated with central tumors?

Coughing up blood (hemoptysis).

45
New cards

What specific symptoms may be associated with peripheral lesions?

Lateral chest pain.

46
New cards

How does bronchogenic carcinoma appear on imaging?

Abnormal mass with speculated/non-uniform borders in the lungs or mediastinum.

47
New cards

What is pneumothorax?

Air entering the pleural space causing lung collapse.

48
New cards

What are the common causes of pneumothorax?

Spontaneous, injury-related, iatrogenic.

49
New cards

What are the signs and symptoms of pneumothorax?

Chest pain, cough, shortness of breath, blue skin, fatigue.

50
New cards

How does pneumothorax appear on imaging?

Solid black with no lung markings.

Explore top flashcards

Unit 11: Evolution
Updated 861d ago
flashcards Flashcards (95)
Biology Test 2
Updated 712d ago
flashcards Flashcards (24)
Unit 6 MWH
Updated 994d ago
flashcards Flashcards (28)
CRIM EXAM 2
Updated 733d ago
flashcards Flashcards (113)
Unit 11: Evolution
Updated 861d ago
flashcards Flashcards (95)
Biology Test 2
Updated 712d ago
flashcards Flashcards (24)
Unit 6 MWH
Updated 994d ago
flashcards Flashcards (28)
CRIM EXAM 2
Updated 733d ago
flashcards Flashcards (113)