Semester 2 Final Exam Vocab Review Set 2: Cell Cycle, Meiosis, and Genetics Mrs. K

0.0(0)
studied byStudied by 0 people
0.0(0)
full-widthCall with Kai
GameKnowt Play
New
learnLearn
examPractice Test
spaced repetitionSpaced Repetition
heart puzzleMatch
flashcardsFlashcards
Card Sorting

1/31

encourage image

There's no tags or description

Looks like no tags are added yet.

Study Analytics
Name
Mastery
Learn
Test
Matching
Spaced

No study sessions yet.

32 Terms

1
New cards

chromosome

condensed threads of genetic material formed from chromatin as a cell prepares to divide

<p>condensed threads of genetic material formed from chromatin as a cell prepares to divide</p>
2
New cards

gamete

egg or sperm sex cell that contains a single set of chromosomes, one from each homologous pair (haploid)

<p>egg or sperm sex cell that contains a single set of chromosomes, one from each homologous pair (haploid)</p>
3
New cards

sex chromosome

one of the pair of chromosomes that determine the sex of an individual (XX- female, XY- male)

4
New cards

mitosis

cell division in which the nucleus divides into TWO nuclei containing the SAME number of chromosomes

<p>cell division in which the nucleus divides into TWO nuclei containing the SAME number of chromosomes</p>
5
New cards

meiosis

the process by which the number of chromosomes is reduced by half to form 4 haploid sex cells/gametes

<p>the process by which the number of chromosomes is reduced by half to form 4 haploid sex cells/gametes</p>
6
New cards

trait

A characteristic that an organism can pass on to its offspring through its genes.

<p>A characteristic that an organism can pass on to its offspring through its genes.</p>
7
New cards

fertilization

Process in sexual reproduction in which male and female sex cells join to form a new cell/baby

<p>Process in sexual reproduction in which male and female sex cells join to form a new cell/baby</p>
8
New cards

allele

A version of a particular gene

<p>A version of a particular gene</p>
9
New cards

Cancer

disorder in which some of the body's cells lose the ability to control growth and divide uncontrollably. The resulting cells that interfere with the normal function of other cells.

<p>disorder in which some of the body's cells lose the ability to control growth and divide uncontrollably. The resulting cells that interfere with the normal function of other cells.</p>
10
New cards

Carcinogen

A cancer-causing substance

<p>A cancer-causing substance</p>
11
New cards

stem cells

An undifferentiated cell that is capable of dividing and giving rise to one or more distinct types of differentiated cell(s).

<p>An undifferentiated cell that is capable of dividing and giving rise to one or more distinct types of differentiated cell(s).</p>
12
New cards

Cell Differentiation / Specialization

The process by which stem cells acquire specific functions and structures.

<p>The process by which stem cells acquire specific functions and structures.</p>
13
New cards

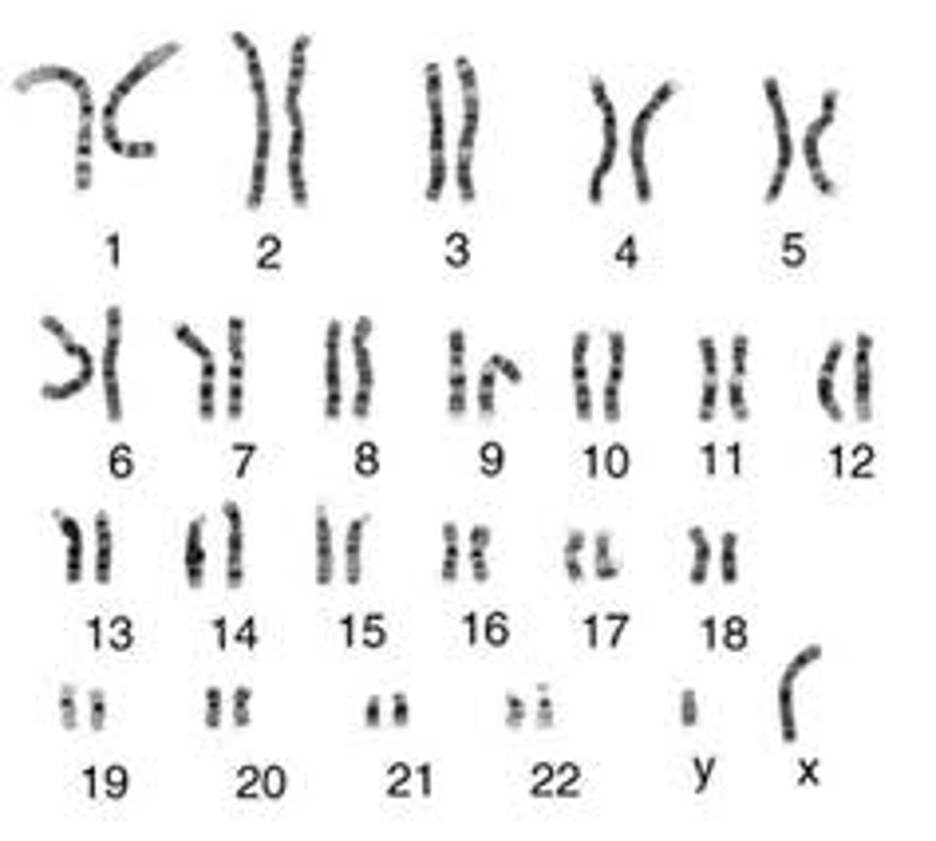
Karyotype

A display of the chromosome pairs of a cell arranged by size and shape.

<p>A display of the chromosome pairs of a cell arranged by size and shape.</p>
14
New cards

Haploid

sex cells/gametes having only one complete set of chromosomes. (23 chromosomes in humans)

<p>sex cells/gametes having only one complete set of chromosomes. (23 chromosomes in humans)</p>
15
New cards

Diploid

a body/somatic cell having two sets of chromosomes or twice the haploid number (46 chromosomes in humans)

<p>a body/somatic cell having two sets of chromosomes or twice the haploid number (46 chromosomes in humans)</p>
16
New cards

crossing over

Process that contributes to genetic variation in which homologous chromosomes exchange portions of their chromatids during meiosis.

<p>Process that contributes to genetic variation in which homologous chromosomes exchange portions of their chromatids during meiosis.</p>
17
New cards

independent assortment

Process that contributes to genetic variation states that genes for different traits can segregate independently during the formation of gametes

<p>Process that contributes to genetic variation states that genes for different traits can segregate independently during the formation of gametes</p>
18
New cards

S Phase (interphase of mitosis)

The synthesis phase of the cell cycle; the portion of interphase during which DNA is replicated.

<p>The synthesis phase of the cell cycle; the portion of interphase during which DNA is replicated.</p>
19
New cards

The normal chromosome number in a human cell is

46

20
New cards

somatic cells

Any diploid cells in the body that are NOT reproductive cells

<p>Any diploid cells in the body that are NOT reproductive cells</p>
21
New cards

Homozygous

Having two identical alleles for a particular gene (i.e. AA or aa)

<p>Having two identical alleles for a particular gene (i.e. AA or aa)</p>
22
New cards

Heterozygous

having two different alleles for a trait (i.e. Aa)

<p>having two different alleles for a trait (i.e. Aa)</p>
23
New cards

Phenotype

physical characteristics/appearance of an organism (i.e. Tall)

<p>physical characteristics/appearance of an organism (i.e. Tall)</p>
24
New cards

Genotype

An organism's genetic makeup, or allele combinations.

<p>An organism's genetic makeup, or allele combinations.</p>
25
New cards

Punnett Square

A chart that shows all the possible combinations of alleles that can result from a genetic cross

<p>A chart that shows all the possible combinations of alleles that can result from a genetic cross</p>
26
New cards

homozygous dominant

Both alleles (factors) for a trait are the same and dominant (AA)

<p>Both alleles (factors) for a trait are the same and dominant (AA)</p>
27
New cards

homozygous recessive

Both alleles (factors) for a trait are the same and recessive (aa)

<p>Both alleles (factors) for a trait are the same and recessive (aa)</p>
28
New cards

Pedigree

A chart or "family tree" that tracks which members of a family have a particular trait

<p>A chart or "family tree" that tracks which members of a family have a particular trait</p>
29
New cards

multiple alleles

three or more forms of a gene that code for a single trait

<p>three or more forms of a gene that code for a single trait</p>
30
New cards

Codominance

A condition in which both alleles for a gene are fully expressed

<p>A condition in which both alleles for a gene are fully expressed</p>
31
New cards

incomplete dominance

A pattern of inheritance in which two alleles, inherited from the parents, are neither dominant nor recessive. The resulting offspring have a phenotype that is a blending of the parental traits.

<p>A pattern of inheritance in which two alleles, inherited from the parents, are neither dominant nor recessive. The resulting offspring have a phenotype that is a blending of the parental traits.</p>
32
New cards

polygenic inheritance

occurs when multiple genes determine the phenotype of a trait

<p>occurs when multiple genes determine the phenotype of a trait</p>