1/13
Looks like no tags are added yet.
Name | Mastery | Learn | Test | Matching | Spaced | Call with Kai |
|---|
No study sessions yet.
Simple
One layer of epithelial cells and one basement layer

Stratified
More than one layer

Shape: Squamous
Scale-like; flattened

Shape: Cuboidal
square; looks like dice

Shape: Columnar
Elongated

Simple squamous
in membranes: air sacs, walls of capilaries, serous membranes

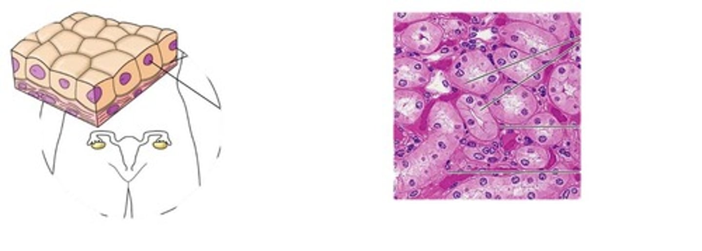
Simple cuboidal
glands (salivary gland) and ducts (pancreas), walls of kidney, ovaries

simple columnar
Goblet cells- lubricating mucus of stomach and anus

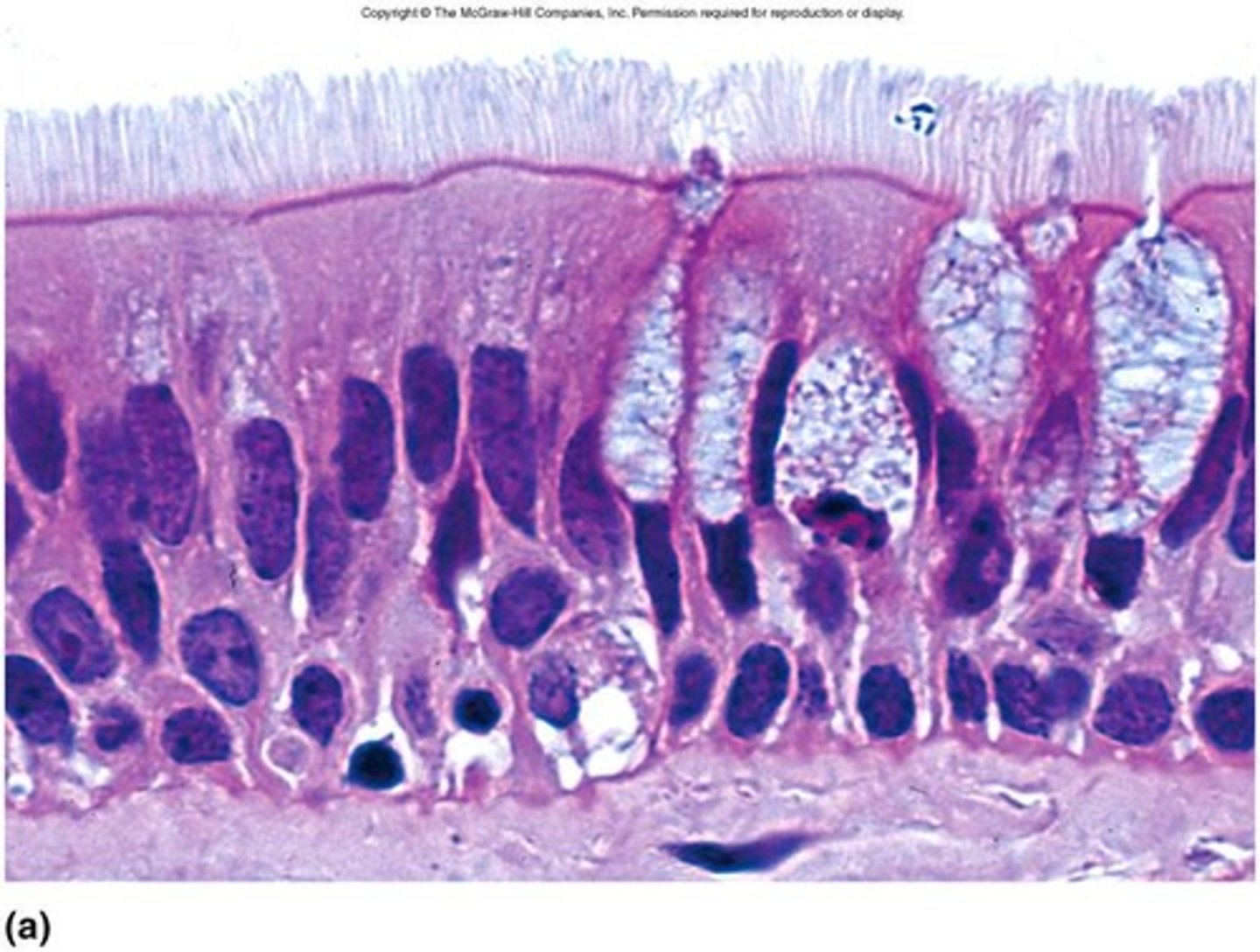
Psuedostratified
Appear stratified because of different sized cells, often ciliated; respiratory system

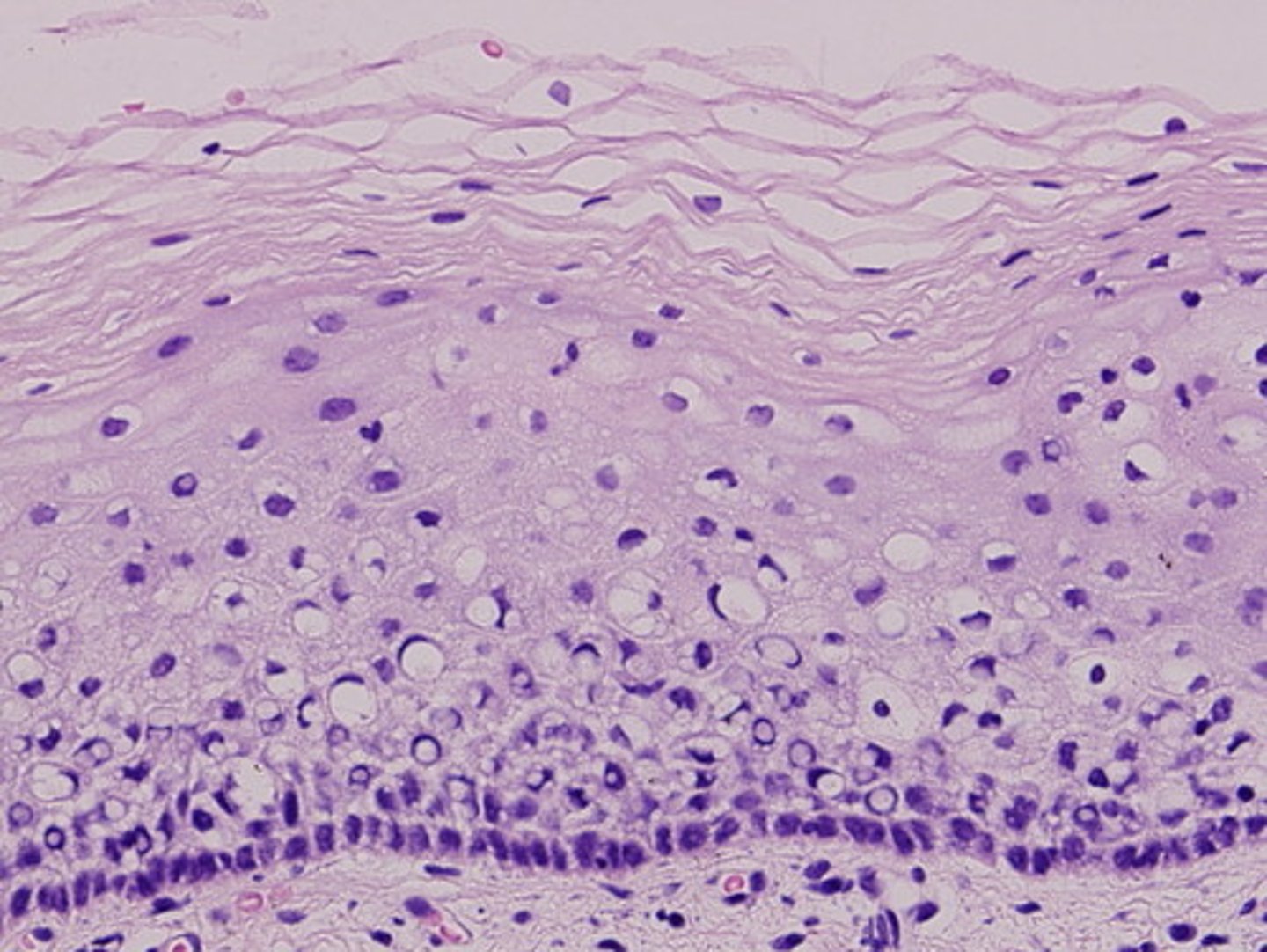
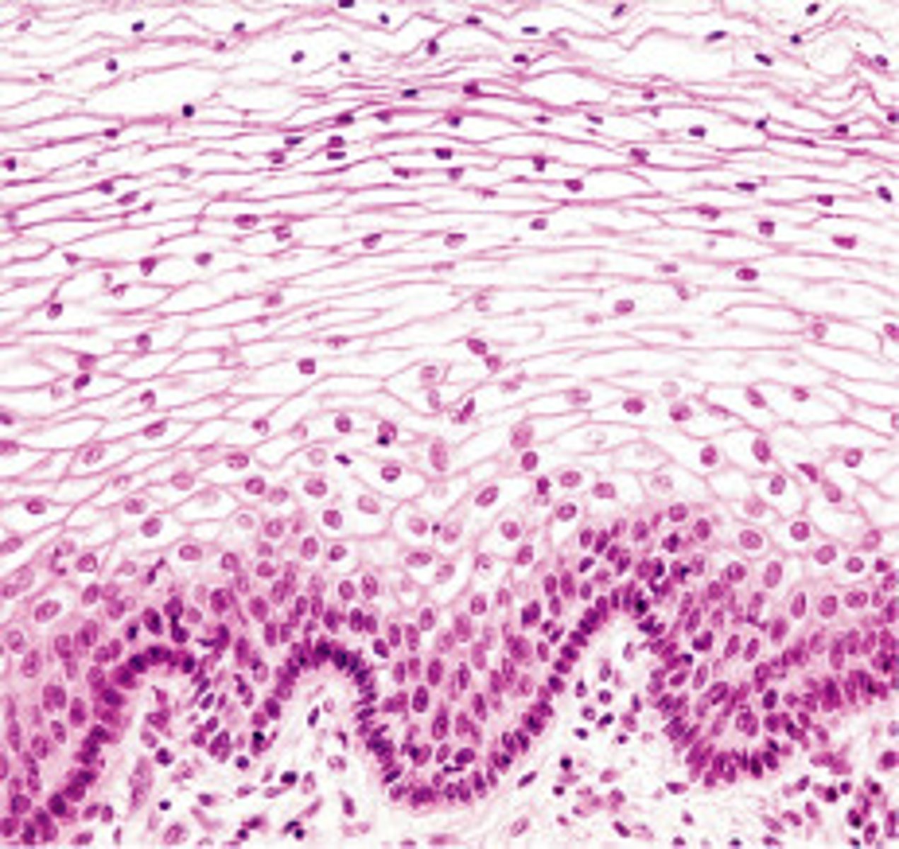
Stratified squamous
resist abrasion; mouth, esophagus, skin

Transitional
type of epithelium that can stretch; bladder ureters, urethra

Glandular epithelial
Make and product a secretion (usually proteins and water)

Stratified Cuboidal
lines larger ducts - sweat glands - salivary glands

stratified columnar
Function: protection and secretion
Location: rare in the body; small amounts in male urethra
