1/24
Looks like no tags are added yet.
Name | Mastery | Learn | Test | Matching | Spaced | Call with Kai |
|---|
No analytics yet
Send a link to your students to track their progress
What is the Esophagus?
muscular tube which food passes through to stomach

Identify the Layers of the Esophagus
Mucosa (Epithelium, Lamina propria, Muscularis mucosa)→ Submucosa → Muscularis externa → Adventitia
Purple to light pink = Muc → Darker pink = Sm → Rest is Me

Identify the Layers of the Esophagus
Purple is Epit (strat squamous) → Pink is Lp → Light purple is Mm → Pink is Sm (DICT) → Rest is Me (mostly smooth M)
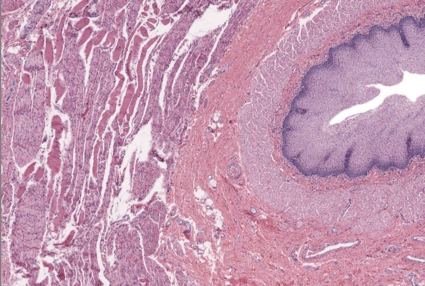
What is Gastroesophageal Junction?
Boundary btwn Esophagus & Stomach to prevent Reflux. Eso = Non-K strat squamous epit vs Stom = simple columnar epit and has G

Identify the Structure
Gastroesophageal Junction. Top is Eso bottom is Stomach (cardiac)
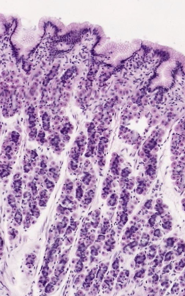
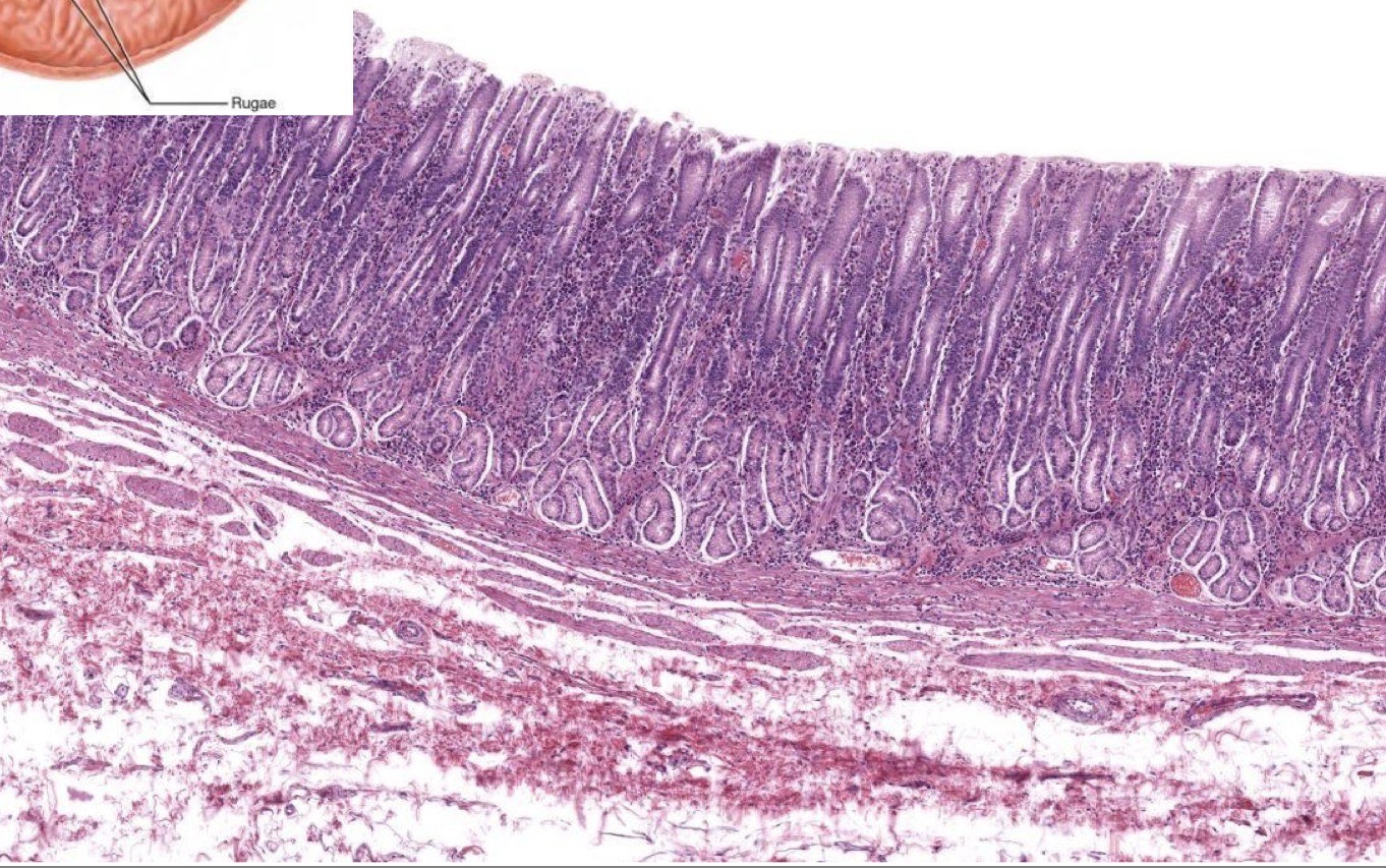
What is the Stomach?
Expandable/distensible muscular bag where food is broken down chemically and mechanically

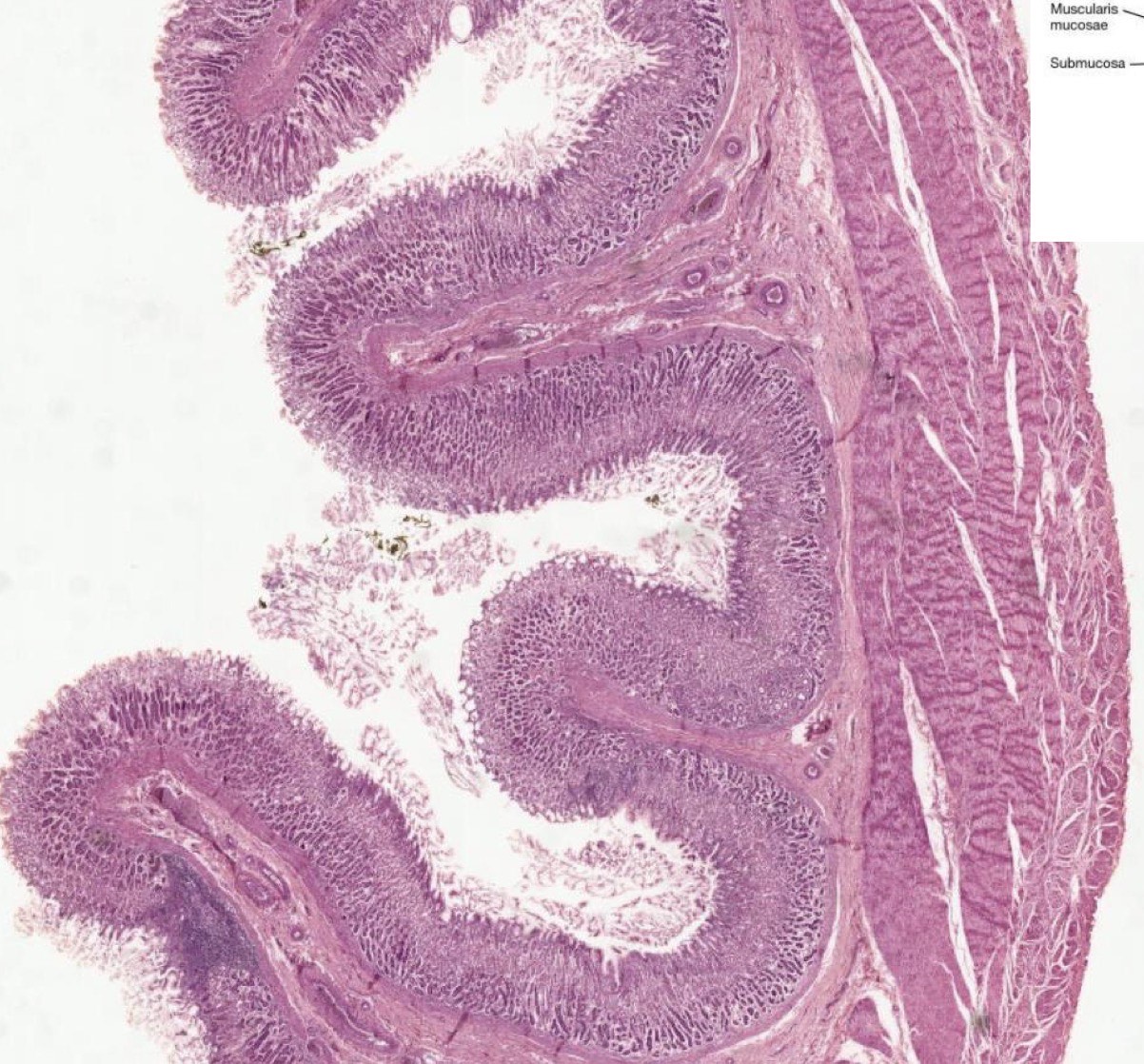
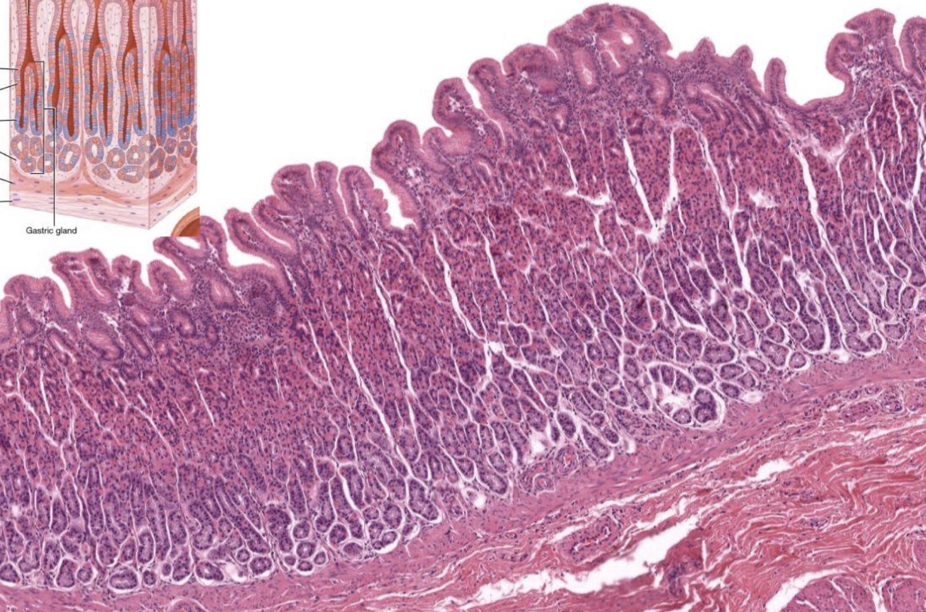
Identify the Structure (be specific)
Rugae in mucosa and submucosa of Stomach

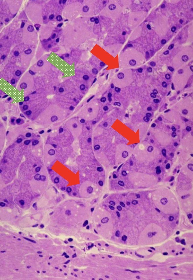
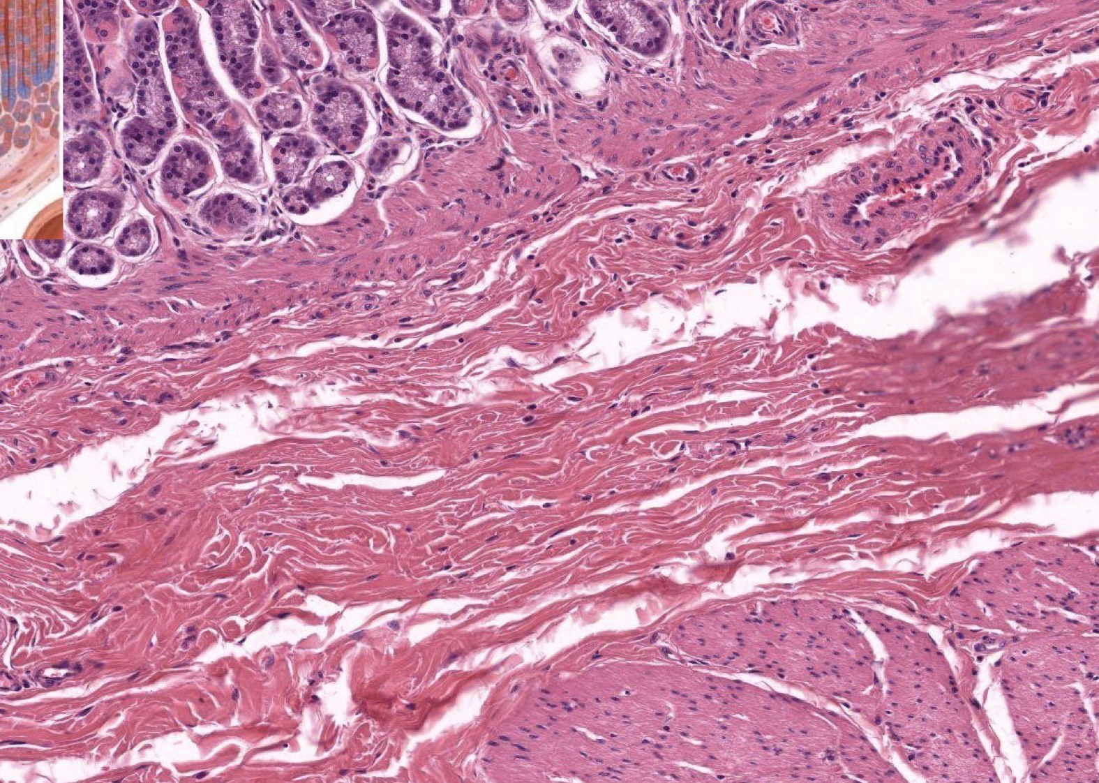
Identify the Structure (be specific)
Red is Parietal Cells (sec HCl), Green is Chief/Peptic cells (sec pepsin) in Fundus

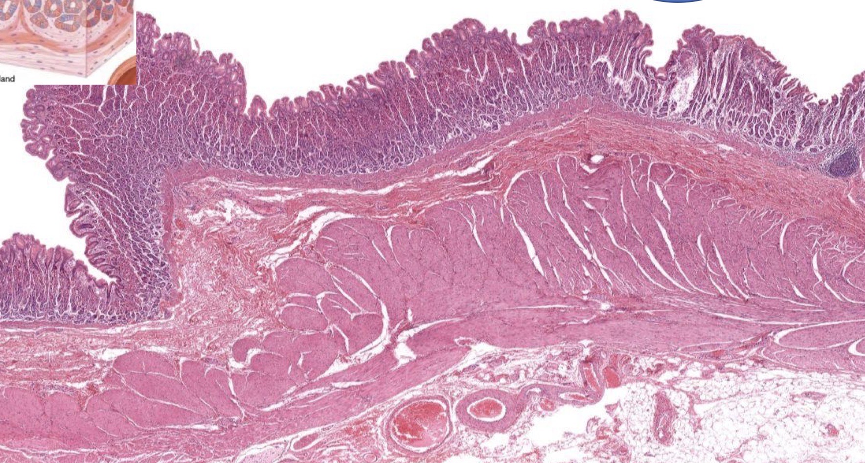
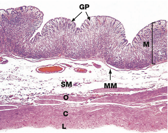
Identify the Layers and Where?
Purple and 1 pink below = Mu, DICT = Sm, Smooth M = Me, Unilocular Adipose = Ad. This is Stomach, Fundus because less GP and more G.

Identify the Layers and Where?
Purple and 1 pink below (Mm) = Mu (Parietal cells here), DICT = Sm. This is Stomach, Fundus because less GP and more G.

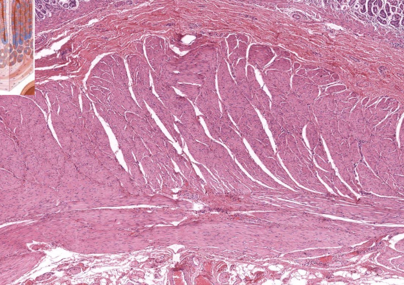
Identify the Layers and Where?
Mm and Sm. This is Stomach.

Identify the Layers and Where?
DICT = Sm, Smooth M = Me, Unilocular Adipose = Ad. This is Stomach.
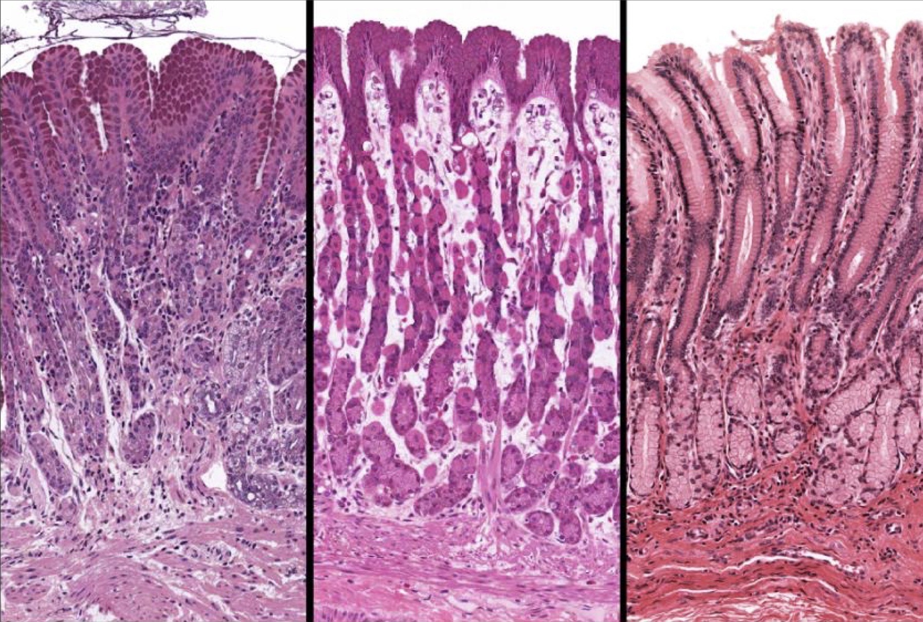
What are the diff areas of Stomach and their features?
Cardiac (more GP) → Fundus/Body (more G, can see Parietal and Chief/Peptic cells) → Pylorus (more GP)

What area of the stomach is this?
Cardiac (more GP)

What area of the stomach is this?
Fundus (more G and Parietal cells)

What area of the stomach is this?
Pyloric (more GP)

What area of the stomach is this?
Pyloric (more GP)

What area of the stomach is this?
Cardiac (more GP) → Fundus/Body (more G, can see Parietal and Chief/Peptic cells) → Pylorus (more GP)

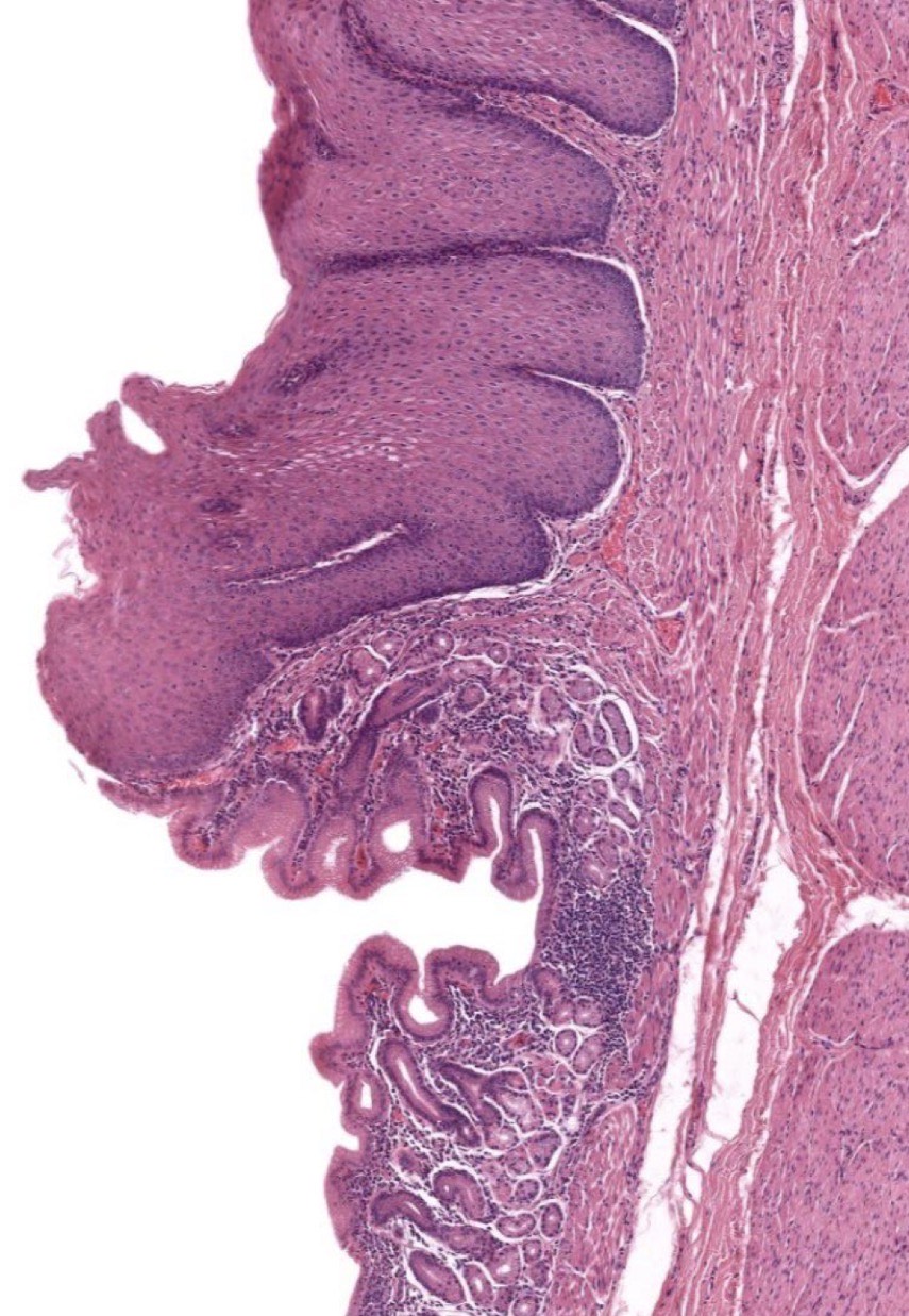
Identify the Structure
Gastroesophageal Junction. Left is Eso Right is Stomach (cardiac)

What area of the stomach is this?
Fundus (more G)

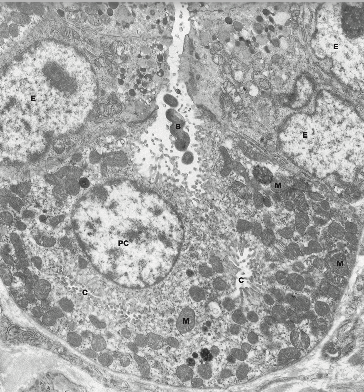
Identify the Structure
Parietal Cell

What area of the stomach is this?
Pyloric (more GP)

What area of the stomach is this?
Pyloric (more GP)
What is the Gastroduodenal Junction?
boundary between the stomach and duodenum, controls passage of chyme.
G in Pyloric Stomach = Mucosa, G in Duo = Submucosa and has villi

Identify the Structure
Gastroduodenal Junction; stomach (Top) duodenum (Bottom)