1/48
Looks like no tags are added yet.
Name | Mastery | Learn | Test | Matching | Spaced | Call with Kai |
|---|
No analytics yet
Send a link to your students to track their progress

Fusion
Two tooth buds fused together
-2 roots, one crown


Gemination
2 crowns from one tooth bud
1 root, 2 crowns


Abfraction
Lateral occlusal forces stress the enamel rods at the cervical areas, resulting in enamel rod fracture over time."pie wedges"
Fremitus
The vibration or movement of a tooth when teeth come into contact together.
If you were to take your finger and lay it along the front surfaces of teeth, and have the patient close together, and the tooth/teeth moved

Erosion
-the wearing away of the tooth by chemical
means. The eroded area is smooth looking.
-soda or bulimia

Dentinogenesis imperfecta
-calcified pulp chambers; bell shaped teeth; this is a hereditary disorder.
-This condition is sometimes correlated with osteogenesis imperfecta


Amelogenesis imperfecta
-Hereditary disorder
-Enamel is very friable and may flake away.
-Scaling procedures should be modified

Enamel hypoplasia
-Incomplete formation of the enamel matrix during tooth development.
- This can occur due to an illness or high fever.
-Remember there is no such thing as enamel HYPERplasia!

Enamel Hypocalcification
-Happens during tooth development; usually smooth, white area, but may become stained brown.

Fluorosis
-can range from white hypocalcified areas to brown stain and hypoplastic enamel.
-Patients with fluorosis are at lower risk for getting caries.
-occurs when there is too much systemic fluoride during tooth development
-Doesnāt usually appear on just one tooth

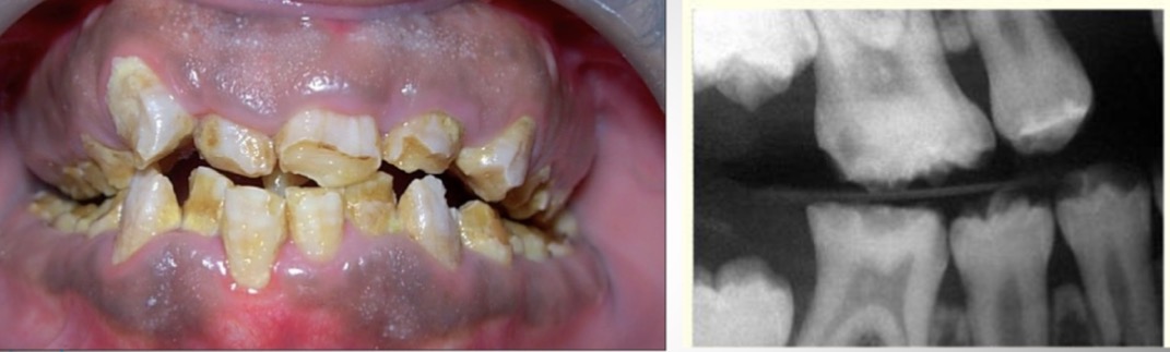
Enamel Decalcification
Happens after tooth is formed.
-Plaque decalcifies the enamel and further decalcification can lead to caries.
What method of brushing misses the cervical area?
Roll technique

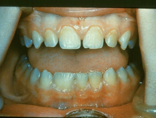
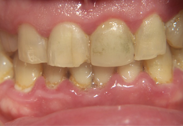
What is this condition?
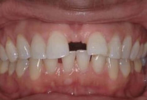
Diastema
-can occur from strong frenum attachment or genetics

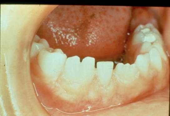
Mamelons
small, rounded, enamel bumps on the cutting edges of newly erupted permanent front teeth (incisors)

This child's teeth erupted like this. What is the condition?
Hutchinson's incisors from congenital syphilis

What is this condition?
Supernumerary teeth

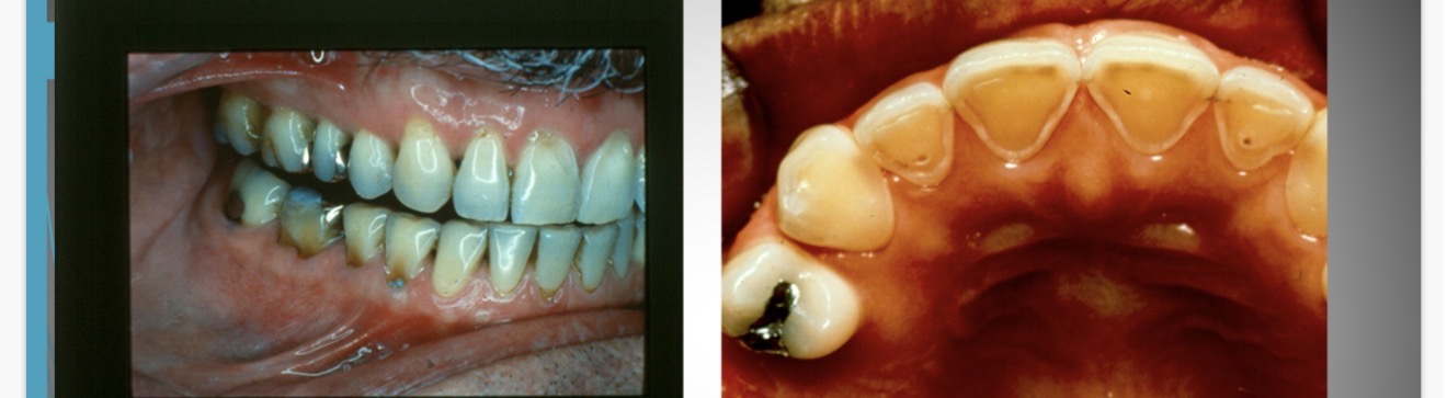
What is this condition?
Tetracycline stain
-Endogenous/intrinsic stain

Why is green stain difficult to remove?
It's usually due to poor oral hygiene and becomes embedded in areas of decalcification

What is this condition?
Fissured tongue
-Tongue brushing should definitely be emphasized to the patient!

What is this condition?
Exostosis

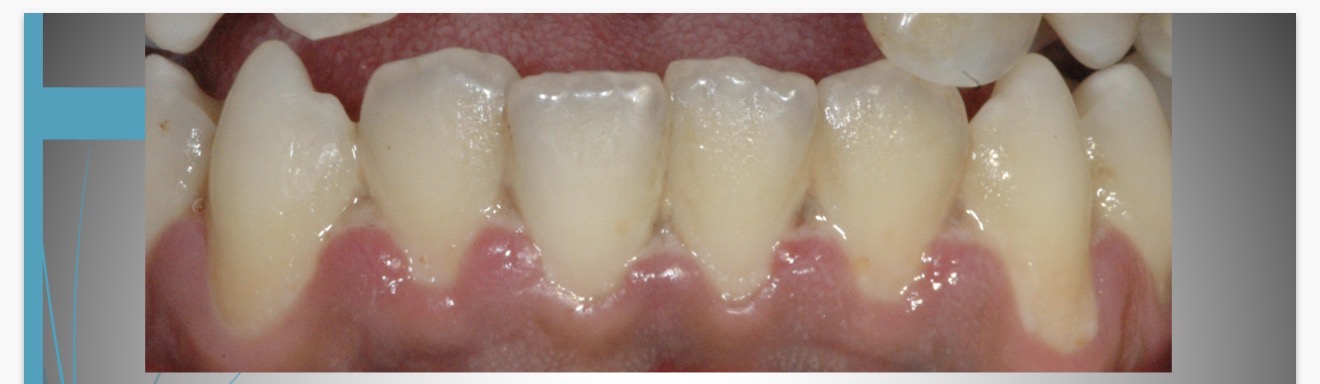
the incisal edge of the maxillary anterior teeth falls in the middle third of the mandibular anterior teeth
How would you classify this overbite?
Moderate

What is this condition?
Geographic tongue
-a.k.a. benign migratory glossitis
-a.k.a. erythema migrans

Leukoedema
grayish/whitish area, usually buccal mucosa but can also appear on lateral border of tongue

This lesion is caused by the Epstein Barr virus.
What is it?
Hairy leukoplakia
conditions caused by the Epstein Barr virus:
-Leukoplakia
-Mononucleosis
-Burkitt's lymphoma
Identify some symptoms of mononucleosis:
Fatigue, sore throat, fever, swollen lymph nodes (lymphadenopathy, headache, skin rash, soft, swollen spleen)

What is this condition?
Hematoma (blood blister due to trauma)

What is this condition?
Hemangioma (congenital)
blood-filled tumor
Usually present for some time

What is this condition?
Amalgam tattoo

What is this condition?
Lichen planus
-note lacelike Wickman's striae
-autoimmune disorder precipitated by STRESS
Aspirin Burn will cause:
Tissue necrosis

What is this condition?
tissue necrosis
- This is due to a chemical burn.

What is this condition
Leukoplakia from smokeless tobacco use.
Note "ebb-tide" leathery appearance.

Condition?
Median Rhomboid Glossitis
Treatment may include an antifungal agent like NystatinĀ®

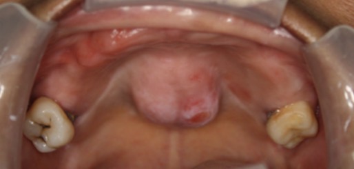
Condition?
Torus palantinus

What is the most likely cause for the redness on this torus?
Trauma

Condition
Angular Cheilitis
Angular cheilitis
-due to decreased vertical dimension, resulting in a fungal infection (Candidiasis) because of saliva creating a moist env or a vitamin B deficiency.
-Treatment depends on the cause, if it's fungal (more common cause), you need an antifungal agent like NystatinĀ®

Condition?
Drug induced gingival enlargement
What drugs can cause gingival enlargement?
cyclosporine (SandimmuneĀ®)
dilitiazem (CardizemĀ®)
nifedipine (Procardia)
diphenylhydantoin (DilantinĀ®)

This patient complains of an itching, wedging sensation, bad breath and pain when she brushes. She also says she feels "run down."
What is her condition?
Necrotizing ulcerative gingivitis

What is the treatment for NUG (Necrotizing ulcerative gingivitis)?
-Vigorous rinsing with warm water, weak saline solution, oxygenating rinse (hydrogen peroxide, PeroxylĀ® or GlycosideĀ®) every hour during acute symptoms.
-liquid nutritional supplements like EnsureĀ® or BoostĀ® due to mouth soreness.
-diet of soft bland foods
-General debridement with manual instruments and warm water for frequent irrigation is recommended.

Condition?
Epulis Fissuratum
(a.k.a. denture induced fibrous hyperplasia)

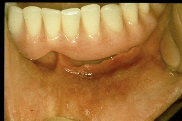
Condition?
Papillary Hyperplasia
How long should dentures be left out?
At least 2 hours every day

Condition?
Fibrous Hyperplasia

Conditions?
Nicotinic stomatitis