1/17
Looks like no tags are added yet.
Name | Mastery | Learn | Test | Matching | Spaced | Call with Kai |
|---|
No analytics yet
Send a link to your students to track their progress
Simple squamous epithelium

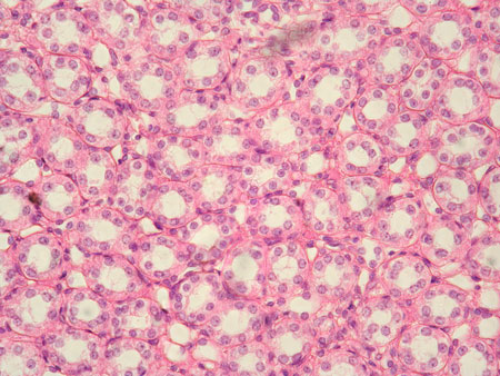
Simple cuboidal epithelium

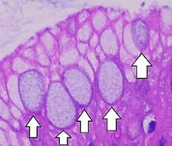
Simple columnar epithelium

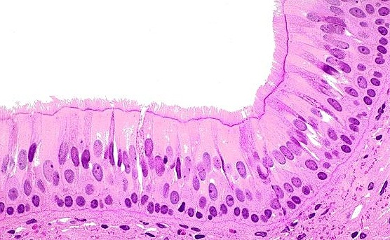
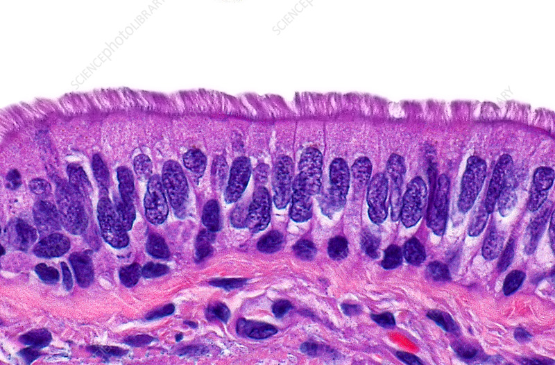
Pseudostratified ciliated columnar epithelium

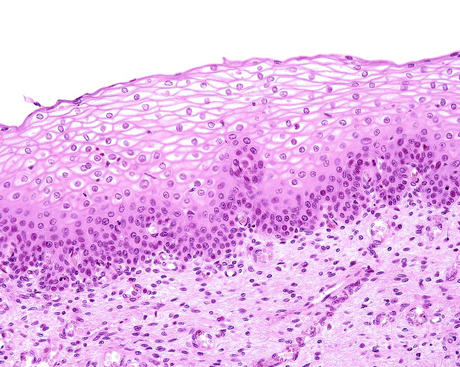
stratified squamous epithelium

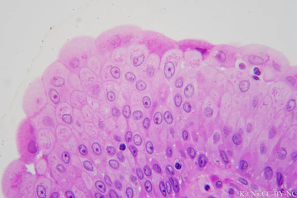
transitional epithelium

apical surface
top of image

basal surface
bottom of image no purple

basement membrane
purple part

avascular
lacking blood vessels, relies on diffusion for nutrient and waste exchange
simple
single layer of cells
stratified
multiple layers of cells
squamous
shape

cuboidal
shape

columnar
shape

goblet cell
secretes mucus, typically found in the respiratory and gastrointestinal tracts

cilia
top part hair like

lumen
the internal space of a tubular structure, such as blood vessels or the intestine, through which substances pass