Bio Lab Exam 1

5.0(1)
studied byStudied by 18 people
full-widthCall with Kai
GameKnowt Play
learnLearn
examPractice Test
spaced repetitionSpaced Repetition
heart puzzleMatch
flashcardsFlashcards
Card Sorting

1/80

encourage image

There's no tags or description

Looks like no tags are added yet.

Study Analytics
Name
Mastery
Learn
Test
Matching
Spaced

No study sessions yet.

81 Terms

1
New cards

oculars

knowt flashcard image
2
New cards

head

knowt flashcard image
3
New cards

arm

knowt flashcard image
4
New cards

objective lenses

scanning (4x), low power (10x), high power (40x)

<p>scanning (4x), low power (10x), high power (40x)</p>
5
New cards

coarse focus knob

knowt flashcard image
6
New cards

fine focus knob

knowt flashcard image
7
New cards

rheostat

knowt flashcard image
8
New cards

nose piece

knowt flashcard image
9
New cards

stage

knowt flashcard image
10
New cards

iris diaphragm lever

knowt flashcard image
11
New cards

iris diaphragm

knowt flashcard image
12
New cards

lamp

knowt flashcard image
13
New cards

single celled organism

an organism that is made up of only one cell

14
New cards

Three other categories of organisms composed of one or more cells

filamentous, colonial, and complex multicellular organisms

15
New cards

filamentous organisms

knowt flashcard image
16
New cards

colonial organisms

knowt flashcard image
17
New cards

complex multicellular organisms

knowt flashcard image
18
New cards

exterior plasma membrane

to contain everything and regulate what goes in and out of the cell

19
New cards

DNA

a molecule that contains genetic instructions for the growth, development, functioning, and reproduction of all living organisms and many viruses. It consists of two coiled strands forming a double helix, with nucleotide sequences (adenine, thymine, cytosine, and guanine) encoding genetic information.

20
New cards

chromosomes

thread-like structures located in the nucleus of eukaryotic cells, composed of DNA and proteins. They carry genetic information in the form of genes and are crucial for cell division, heredity, and the regulation of gene expression. In humans, there are 46 chromosomes, arranged in 23 pairs.

21
New cards

cytoplasm

a gel-like substance within a cell, excluding the nucleus, that contains organelles, cytoskeleton, and various molecules. It is the site of many metabolic processes and provides structural support to the cell. The cytoplasm is composed mainly of water, salts, and organic molecules.

22
New cards

cytosol

“cell solution” or the actual cell liquid with various dissolved biochemicals to help the cell function

23
New cards

organelles

distinct chemical assemblages, usually visible on a microscope, that perform particular functions

24
New cards

ribosomes

make proteins

25
New cards

flagella

one to a few hairs that help move or create currents exterior to the cell

26
New cards

cillia

numerous small hairs that help move or create currents exterior to the cell

27
New cards

eukaryotic cells

complex cells that contain a nucleus and membrane-bound organelles. They are found in organisms such as animals, plants, fungi, and protists, distinguishing them from prokaryotic cells, which lack a nucleus.

28
New cards

nucleus

contains the eukaryotes multiple linear chromosomes all enclosed

29
New cards

nuclear membrane

encloses the nucleus

30
New cards

nucleolus

a visible dense area inside the nucleus, is the site of RNA synthesis

31
New cards

electron microscopes

magnify objects to a greater degree than do light microscopes, much larger and more expensive than light microscopes, use a beam of electrons to visualize material

32
New cards

scanning electron microscope (SEM)

illuminate the three dimensional surface of something, such as the outside of a cell

33
New cards

transmission electron microscope (TEM)

allow one to visualize subcellular and macromolecular cell components in a thin section of a cell

34
New cards

bacillus

rod shaped bacteria

<p>rod shaped bacteria</p>
35
New cards

coccus

circular bacteria

<p>circular bacteria</p>
36
New cards

spirillum

spiral shaped bacteria

<p>spiral shaped bacteria</p>
37
New cards

tissue

a distinct group of cells that have the same developmental origin and collectively have a particular function

38
New cards

How many tissue categories are there in animals?

(5) vascular tissues, nervous tissue, muscle tissue, connective tissue, and epithelial tissue

39
New cards

epithelial tissue

lines all organs as well as the exterior of the organism, functioning to hold the organ and organism together, act as a protective barrier by controlling what enters and exits the organism or organs, and it also may have specalized glands that secrete substances

40
New cards

vascular tissue

connects all of the various body parts by transporting materials. In animals, a specific tissue is blood, which distributes gases, foods wastes, and vital elements and chemicals such as calcium ions, enzymes, and hormones

41
New cards

nervous tissues

recieve and interpret information from the external environment, and communicate information among the various body parts

42
New cards

muscle tissues

allow for an organism’s motility (skeletal muscle), as well as movement and function of organs (cardiac muscle tissue in the heart and smooth muscle in other organs such as the intestines and bladder)

43
New cards

connective tissue

have multiple functions including structural support via bone or cartillage tissues, energy storage via adipose tissue, and conneccting different tissues together such as dense connective tissues in tendons (that connect muscle and bone), and loose connective tissue that binds together everything else (nerves, vessels, membranes, skin, etc.) Blood is often considered a type of connective tissue, but some biologists consider it a separate tissue category, the vascular tissue, as mentioned above

44
New cards

organ

a distinct body part composed of several kinds of tissues all collectively working for a specific function or small range of functions

45
New cards

organ system

a group of organs working collectively for a particular function

46
New cards

simple squamous epithelium tissue

  • have a large surface area to volume ratio

  • help protect organs and the exterior of the organism

<ul><li><p>have a large surface area to volume ratio</p></li><li><p>help protect organs and the exterior of the organism</p></li></ul><p></p>
47
New cards

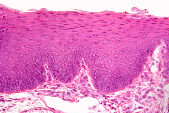
stratified squamous epithelium

knowt flashcard image
48
New cards

simple cuboidal epithelium

knowt flashcard image
49
New cards

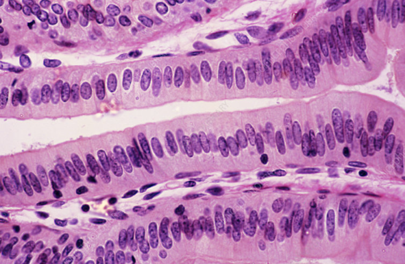
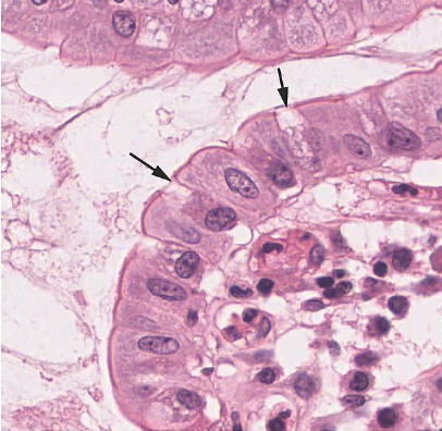
simple columnar epithelium

  • line organs (such as the stomach and intestines)

<ul><li><p>line organs (such as the stomach and intestines)</p></li></ul><p></p>
50
New cards

goblet cell

secrete mucus

<p>secrete mucus</p>
51
New cards

loose connective tissue

knowt flashcard image
52
New cards

adipose tissue

  • found under your skin, between organs, and the inner cavities of bones

  • used to provide long term energy storage, and to act as a cushioin

  • triglycerides make up this cell

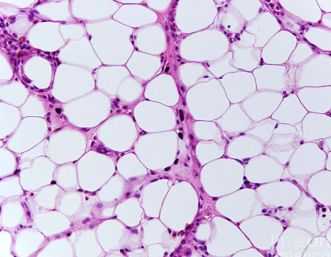
<ul><li><p>found under your skin, between organs, and the inner cavities of bones</p></li><li><p>used to provide long term energy storage, and to act as a cushioin</p></li><li><p>triglycerides make up this cell </p></li></ul><p></p>
53
New cards

cartillage tissue

  • provide support in boney areas

<ul><li><p>provide support in boney areas</p></li></ul><p></p>
54
New cards

bone tissue

knowt flashcard image
55
New cards

frog red blood cells

knowt flashcard image
56
New cards

human red blood cells

knowt flashcard image
57
New cards

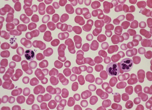
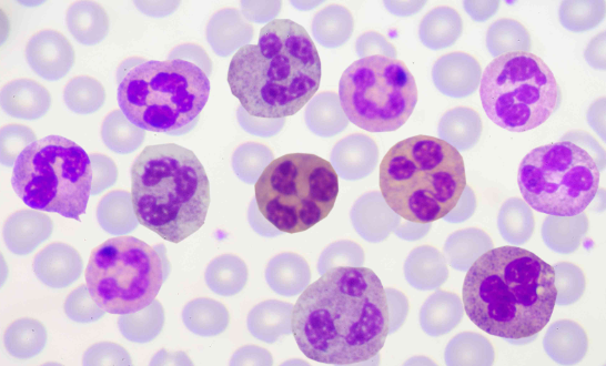
white blood cells

knowt flashcard image
58
New cards

platelets

knowt flashcard image
59
New cards

skeletal muscle tissue

  • found attached to bones

  • functions to help animals move

<ul><li><p>found attached to bones</p></li><li><p>functions to help animals move</p></li></ul><p></p>
60
New cards

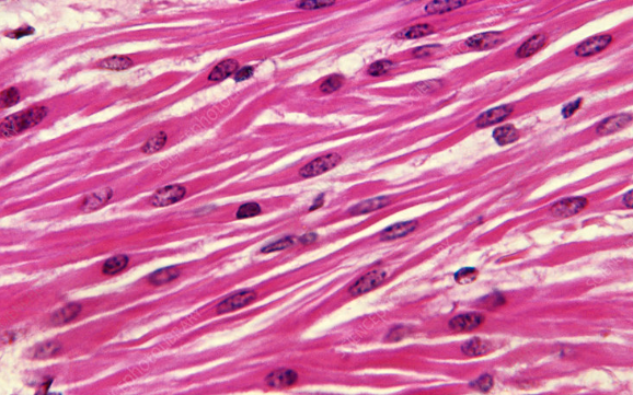
cardiac muscle tissue

  • found in the walls of the heart

  • helps the heart to contract and pump blood

<ul><li><p>found in the walls of the heart</p></li><li><p>helps the heart to contract and pump blood</p></li></ul><p></p>
61
New cards

smooth muscle tissue

  • found in the walls of organs

  • helps maintain blood pressure and blood flow

<ul><li><p>found in the walls of organs </p></li><li><p>helps maintain blood pressure and blood flow </p></li></ul><p></p>
62
New cards

nervous tissue (motor neuron)

knowt flashcard image
63
New cards

dermal tissue

lines all organs of the plant, and its exterior

64
New cards

ground tissue

  • support, protect, and metabolize

  • often called different names depending on the organ. for example, in a leaf they are collectively called the mesophyll, while in the center of a stem they are known as the pith, and in other places they are the cortex

65
New cards

vascular tissue

connects all various parts of the body by transporting materials

66
New cards

how many major tissue categories do plants have?

3: dermal, ground, and vascular

67
New cards

epidermal cells

knowt flashcard image
68
New cards

cuticle

a waxy layer made of cutin wax, exterior to the epidermal cells

69
New cards

guard cells

surround an opening called the stoma and are only found on non-woody above-ground parts of plants

<p>surround an opening called the stoma and are only found on non-woody above-ground parts of plants</p>
70
New cards

trichomes

  • these can be one or a few cells long, define as appendages or extensions of epidermal cells

  • prevent other animals from eating the plants, keep the plant warm, attract other organisms

<ul><li><p>these can be one or a few cells long, define as appendages or extensions of epidermal cells </p></li><li><p>prevent other animals from eating the plants, keep the plant warm, attract other organisms </p></li></ul><p></p>
71
New cards

cork tissue

  • also called peridem

  • replaces the epidermis on older woody stems and roots. This tissue is several cell layers thick, consisting of __ cells. Contains a lot of suberin wax within their thick cell walls and usually are dead at maturity

  • act as a protective barrier and to prevent water loss

<ul><li><p>also called peridem</p></li><li><p>replaces the epidermis on older woody stems and roots. This tissue is several cell layers thick, consisting of __ cells. Contains a lot of suberin wax within their thick cell walls and usually are dead at maturity</p></li><li><p>act as a protective barrier and to prevent water loss</p></li></ul><p></p>
72
New cards

trichomes - glands

special kinds of trichomes for secreting substances such as nectar or toxins

<p>special kinds of trichomes for secreting substances such as nectar or toxins</p>
73
New cards

trichomes - root hairs

  • are trichomes located on root tips, near the growing meristem region

  • allows the plant to absorb more water and nutrients

<ul><li><p>are trichomes located on root tips, near the growing meristem region</p></li><li><p>allows the plant to absorb more water and nutrients </p></li></ul><p></p>
74
New cards

xylem

  • may contain two types of water transporting cells- tracheids and vessel elements. Both cell types have thickened cell walls that have distinctive structural features

  • transports water and minerals upward

<ul><li><p>may contain two types of water transporting cells- tracheids and vessel elements. Both cell types have thickened cell walls that have distinctive structural features</p></li><li><p>transports water and minerals upward </p></li></ul><p></p>
75
New cards

phloem

  • tissue of flowering plants contains sugar-conducting cells, sieve tube cells which lack a nucleus, paired with smaller nucleated companion cells that controll metabolic functions of sieve tube cells.

<ul><li><p>tissue of flowering plants contains sugar-conducting cells, sieve tube cells which lack a nucleus, paired with smaller nucleated companion cells that controll metabolic functions of sieve tube cells. </p></li></ul><p></p>
76
New cards

photosynthetic parenchyma

  • the most abundant and versatile in a plant, is composed of ____ cells. ___ cells are living, typically with a thin cell wall, and are able to divide and differentiate into other cell types.

  • has a wide variety of functions depending on its location

  • photosynthetic kind is composed of chloroplast that specifically carry out photosynthesis

  • with large air spaces in between the cells, this allows gases to flow through

<ul><li><p>the most abundant and versatile in a plant, is composed of ____ cells. ___ cells are living, typically with a thin cell wall, and are able to divide and differentiate into other cell types. </p></li><li><p>has a wide variety of functions depending on its location</p></li><li><p>photosynthetic kind is composed of chloroplast that specifically carry out photosynthesis </p></li><li><p>with large air spaces in between the cells, this allows gases to flow through</p></li></ul><p></p>
77
New cards

storage parenchyma

in stems and roots, this cell is responsible for cellular respiration and energy storage

<p>in stems and roots, this cell is responsible for cellular respiration and energy storage</p>
78
New cards

collenchyma

generally located in growing shoot areas (leaves, stems, fruits flowers). these cells have unevenly thickened cell walls and allow for flexible strength and support

<p>generally located in growing shoot areas (leaves, stems, fruits flowers). these cells have unevenly thickened cell walls and allow for flexible strength and support</p>
79
New cards

sclerenchyma

tissue that is composed of cells with very thick cell walls, so thick that often the cell dies. their function is to provide rigid protection and structural support

80
New cards

sclerenchyma - stone cells

small, irregularly shaped cells. These cells give pear fruits the gritty texture when you eat them, and in stone frutis like peach or cherry the sclereids form the hard “pit” that surrounds and protects the seeds

<p>small, irregularly shaped cells. These cells give pear fruits the gritty texture when you eat them, and in stone frutis like peach or cherry the sclereids form the hard “pit” that surrounds and protects the seeds</p>
81
New cards

sclerenchyma - fibers

  • are long thin cells that form in thin sheets or in strands/bundles

  • located near the epidermis

  • these cells are used as another structural support

<ul><li><p>are long thin cells that form in thin sheets or in strands/bundles</p></li><li><p>located near the epidermis</p></li><li><p>these cells are used as another structural support </p></li></ul><p></p>

Explore top flashcards