Cardiovascular Muscle

0.0(0)
studied byStudied by 0 people
full-widthCall with Kai
GameKnowt Play
learnLearn
examPractice Test
spaced repetitionSpaced Repetition
heart puzzleMatch
flashcardsFlashcards
Card Sorting

1/16

encourage image

There's no tags or description

Looks like no tags are added yet.

Study Analytics
Name
Mastery
Learn
Test
Matching
Spaced

No study sessions yet.

17 Terms

1
New cards
<p></p>

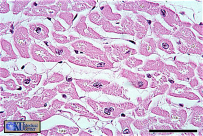
Cardiac Muscle: Longitudinal cardiac muscle can be identified by centrally placed round to oblong nuclei, striations, branching, and intercalated discs (arrow).

2
New cards
term image

Cardiac Muscle: This photomicrograph of the same tissue taken in phase shows the striations and intercalated disks (arrows) more clearly.

3
New cards
term image

Cardiac Muscle: The trichrome stain also shows the characteristics of longitudinal cardiac muscle.

4
New cards
term image

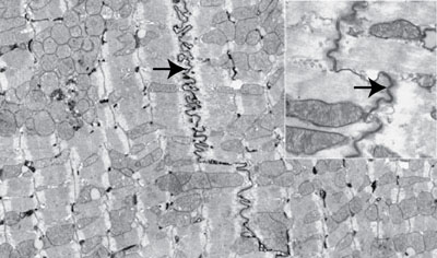
Cardiac Muscle: the arrows mark organelles of the cardiac myocyte. Specific organelles cannot be distinguished.

5
New cards
term image

Cardiac Muscle: In cross section, cardiac muscle is identified by central nuclei and a large ring of surrounding cytoplasm.

6
New cards
term image

Cardiac Muscle: A closer look shows the large ring of cytoplasm that is at least twice the size of the smooth muscle ring.

7
New cards
term image

Sino-atrial Node: surrounds the nodal artery from which it receives a rich blood supply. These smaller, modified muscle cells generate the electrical signal that controls the heart.

8
New cards
<p>What type of muscle tissue is this?</p>

What type of muscle tissue is this?

Cardiac muscle

9
New cards
<p>What is the function of this structure? What protein complexes mediate those functions</p>

What is the function of this structure? What protein complexes mediate those functions

Physical connection of the cells and rapid spread of excitation impulse via its high electrical conductance. Desmosomes mediate physical connections and gap junctions mediate spread of action potentials.

10
New cards
11
New cards
12
New cards
13
New cards
14
New cards
15
New cards
16
New cards
17
New cards