1/19
Merrill's Atlas - CH 3
Name | Mastery | Learn | Test | Matching | Spaced | Call with Kai |
|---|
No analytics yet
Send a link to your students to track their progress
What is the SID for all chest x-rays?
72 inches
Where must all chest x-rays direct the CR?
(AP) 3 inches below the jugular notch; (PA) T7, aligned with the inferior angle of the scapula
What is the difference between a chest x-ray during inspiration versus expiration?
the diaphragm is lowered in inspiration (which is why its preferred!) and raised in expiration
Why would the soft next tissue be exposed?
to search for foreign bodies, swelling, masses, and fractures
To what degree is the oblique position turned at for a cardiac series?
55 to 60 degrees

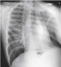
What projection, position and anatomy is shown?
PA oblique projection, LAO position for the chest

What projection, position and anatomy is shown?
AP oblique projection, LPO position for the chest
Where should the CR enter for an AP supine chest?
3 inches below the jugular notch
What height should the IR be, relative to the upper border of the patient’s shoulders, for a lordotic position?
3 inches
How much should the patient’s lower torso be angled away from the IR in an AP lordotic position?
15 to 20 degrees

What projection, position and anatomy is this?
AP lordotic for the chest
How much should a chest x-ray be collimated?
14 inches by 17 inches (lengthwise)
Where should the CR enter for a soft tissue neck exposure?
the laryngeal prominence (upper airway) or manubrium
How should the patient breathe during soft tissue neck exposures?
slowly breathing inwards (inspiration)

What projection, position, and anatomy is this?
AP, soft tissue neck

What projection, position, and anatomy is this?
Lateral, soft tissue neck

What projection, position, and anatomy is this?
Lateral decubitus for lungs, checking for fluid

What projection, position, and anatomy is this?
Lateral decubitus for lings, checking for free air
How many inches should the body be elevated in a ventral or dorsal decubitus position?
2-3 inches

What projection, position, and anatomy is this?
Lateral projection, dorsal decubitus position of the lungs