The Integumentary System

0.0(0)
studied byStudied by 0 people
full-widthCall with Kai
GameKnowt Play
learnLearn
examPractice Test
spaced repetitionSpaced Repetition
heart puzzleMatch
flashcardsFlashcards
Card Sorting

1/22

encourage image

There's no tags or description

Looks like no tags are added yet.

Study Analytics
Name
Mastery
Learn
Test
Matching
Spaced

No study sessions yet.

23 Terms

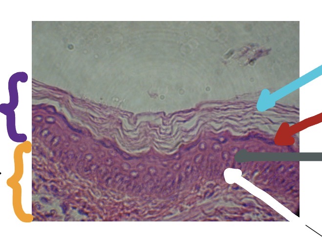
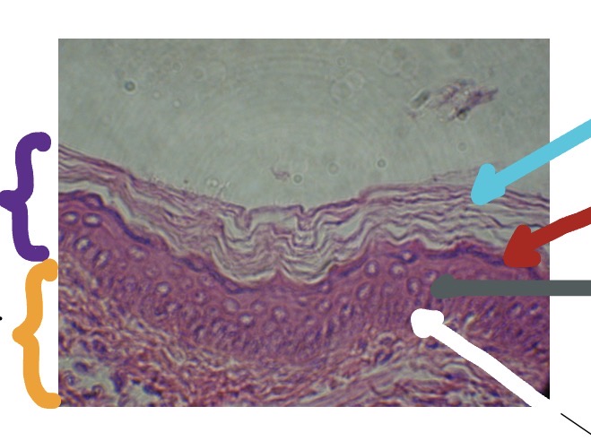
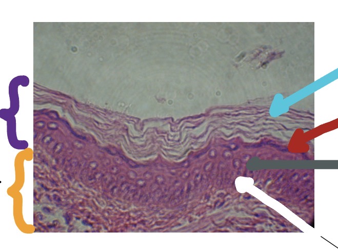
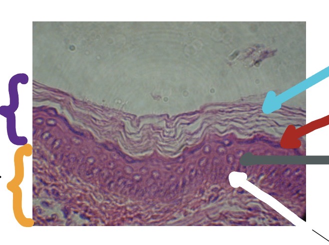
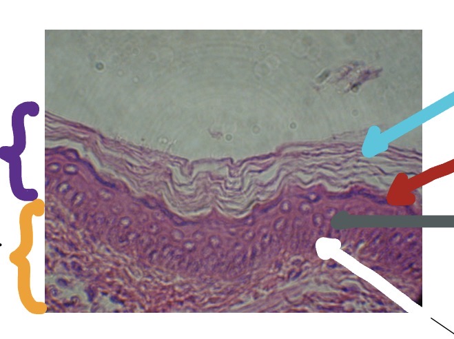
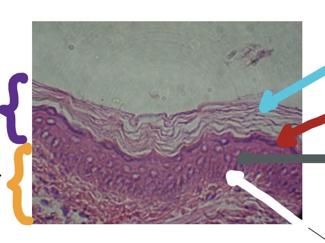
1
New cards
<p>What’s the purple line for this photo?</p>

What’s the purple line for this photo?

Epidermis

2
New cards
<p>What’s the orange line for this photo?</p>

What’s the orange line for this photo?

Papillary Layer of Dermis

3
New cards
<p>What’s is the blue line in this photo</p>

What’s is the blue line in this photo

Stratum Corneum

4
New cards
<p>What is the red line in this photo</p>

What is the red line in this photo

Stratum Granulosum

5
New cards
<p>What is the grey line in this photo</p>

What is the grey line in this photo

Stratum Spinosum

6
New cards
<p>What is the white line in this photo</p>

What is the white line in this photo

Stratum Basale

7
New cards
<p>What’s the yellow line in this photo</p>

What’s the yellow line in this photo

Hair Shaft

8
New cards
<p>What the orange line in this photo</p>

What the orange line in this photo

Hair root

9
New cards
<p>What’s the dark blue line in this photo</p>

What’s the dark blue line in this photo

Hair follicle

10
New cards
<p>What’s the blue line in this photo</p>

What’s the blue line in this photo

Sebaceous gland

11
New cards
<p>What is the white line in this photo</p>

What is the white line in this photo

Sebaceous gland

12
New cards
<p>What is the grey line in this photo</p>

What is the grey line in this photo

Hair Root

13
New cards
<p>What is the purple line in the photo</p>

What is the purple line in the photo

Hair Follicle

14
New cards
<p>What is the dark blue line in this photo</p>

What is the dark blue line in this photo

Arrector Pili muscle

15
New cards
<p>What’s the white line in this photo</p>

What’s the white line in this photo

Sebaceous Gland

16
New cards
<p>What’s the dark purple line in this photo</p>

What’s the dark purple line in this photo

Hair Shaft

17
New cards
<p>What’s the light purple line in this photo</p>

What’s the light purple line in this photo

Apocrine Sweat Gland

18
New cards
<p>What’s the black line in this photo</p>

What’s the black line in this photo

Sweat Pore

19
New cards
<p>What’s the red line in this photo</p>

What’s the red line in this photo

Hair Follicle

20
New cards
<p>What’s the blue line in this photo</p>

What’s the blue line in this photo

Hair Root

21
New cards
<p>What’s the green line in this photo</p>

What’s the green line in this photo

Arrector Pili Muscle

22
New cards
<p>What’s the dark blue line in this photo</p>

What’s the dark blue line in this photo

Hair Papilla

23
New cards
<p>What is the dark green line </p>

What is the dark green line

Eccrine Sweat Gland