1/116
Looks like no tags are added yet.
Name | Mastery | Learn | Test | Matching | Spaced | Call with Kai |
|---|
No analytics yet
Send a link to your students to track their progress
What are some things to ask about during a head exam?
headaches
lightheadedness
dizziness
h/o head trauma
What disease causes "moon face?"
Cushing's disease
What disease causes peri orbital edema?
severe hypERthyroidism
mixedema
another term for periorbital edema
what are some things to ask about during an eye exam?
visions changes (uni/bi/peripheral/near)
eye pain
eye redness
double vision (horizontal/vertical)
seeing lights
tearing/lack of tears
family history of eye disease
glasses or contacts
How can you measure visual acuity?
a Snellen Chart
What is the standard distance for a patient to stand from a Snellen chart?
20 ft.
What is the visual acuity that indicates a referral to ophthalmology?
20/40 in both eyes or a different in eye acuity
myopia
nearsightedness; difficulty seeing distant objects
presbyopia
farsightedness; problem seeing things close
what visual acuity is legally blind?
20/200 with glasses
What visual acuity is clinically blind?
20/400
how do you perform the static finger wiggle test?
stand arms distance from the patient
patient closes opposite eye of provider
provider wiggles fingers 2 ft apart
What is a common cause of bilateral vision loss at the optic chiasma?
a pituitary gland mass
What is the measurement of a normal eyelid crease?
6-7 mm
What genetic conditions can cause a palpebral slant?
Down syndrome
fetal alcohol syndrome
What is the measurement of a normal eye opening?
9-12 mm
exophthalmus
eyeballs that protrude
What can cause exophthalmus?
hyperthyroidism
ptosis
the eye lid covering the pupil
What can case ptosis?
Bells Palsy
Stroke
entropion
inward turning of the rim of the eyelid
ectropion
outward turning of the rim of the eyelid
xanthelasma
raised yellowish plaque on eyelid caused by lipid disorder
what causes xanthelasma?
hyperlipidemia
blepharitis
erythematous and swollen eyelid
hordeolum
painful infection near the eye
chalazion
painLESS blocked gland near the eye
What is another name for a hordeolum?
stye
What would a yellow sclera indicate?
jaundice
Pinguecula
yellow raised spot on the conjunctiva
asymptomatic fat deposit
Episcleritis
inflamed eye tissue on the sclera
Subconjunctival Hemorrhage
painless red eye with red sclera
Conjunctivitis
can be bacterial or viral inflammatory infection
Corneal Arcus
Lipid deposits in the periphery of the eye that may be detected when light is directed to the iris
What does a corneal arcus indicate?
hyperlipidemia; check the patients lipids
Kayser Fleischer Ring
Deposition of copper in the cornea
What disease is associated with the Kayser Fleischer ring?
Wilson's Disease
Pterygium
thickening of the cornea that crosses the pupil
Cataract
a cloudy opacity of the lens
What are risk factors for cataracts?
old age, smoking, diabetes, UV light
How would you perform the Iris Test?
shine a pen light on the side of the eye to look for a "crescent shadow"
What would a positive iris test indicate?
narrow angle glaucoma
what is a normal size for a pupil?
3-5mm, equal size
Myosis
pupils too small; parasympathetic response
Mydriasis
pupils too big; sympathetic response
Coloboma
unusual shape of the pupil, congenital
Anisocoria
greater than a 0.4mm difference in pupil size
How do you test light reflex?
shine a light in each eye twice, observing for direct and indirect responses
How do you perform the near test?
ask the patient to stare into the distance and then look at a near object
the pupils should constrict with near effect
What is the swinging flashlight test for? What would be a positive test?
it test for optic nerve impairment.
positive = dilation instead of constriction with light
Marcus-Gun Pupil
a pupil that dilates in response to light rather than contracting
Tonic Pupil
constriction and accommodation are slow, usually unilateral
T/F: A tonic pupil is due to a parasympathetic denervation.
True
Horners pupil
mitosis + ptosis + anhydrosis
unilateral
constricts easily, dilates slowly
T/F: Horner's pupil is due to parasympathetic denervation.
False. it is due to a sympathetic lesion
Argyll Robertson Pupil
bilateral, miotic, irregularly shaped pupils that constrict with near vision, dilate with far vision, and do not react to light
Which type of pupil is consistent with neurosyphilis?
Argyll Robertson Pupil
How many quadrants are in an extra ocular movements test?
6 quadrants + near accommodation
Why test should you perform if you suspect strabismus?
the cover uncover test
What is another term for strabismus?
a lazy eye
nystagmus
Involuntary rapid eye movements
Which cranial nerve controls the superior oblique eye movement?
CN 4
Which cranial nerve controls the lateral rectus eye movement?
CN 6
What cranial nerve controls the majority of the EO eye movements?
CN 3
What is the description of a normal physiological cup?
less than 1/2 the diameter of the optic disc
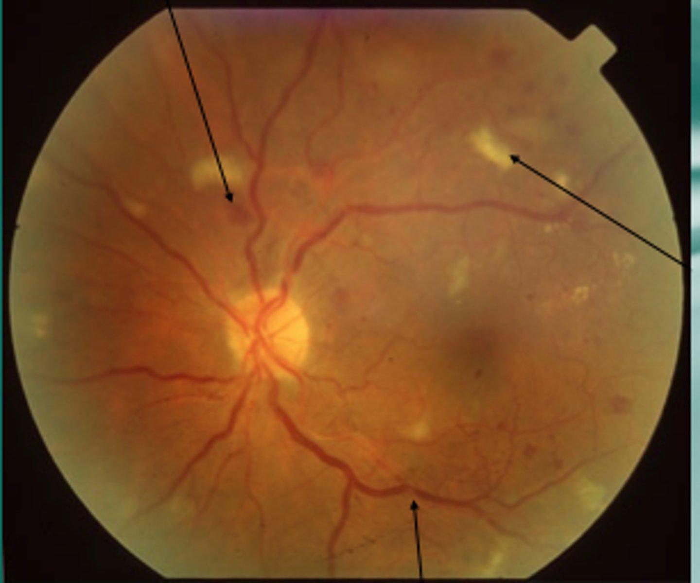
what does papilledema look like?
pink, blurred optic disc margins, with no visible physiologic cup
What causes papilledema?
increased IOP due to a hypertensive emergency
what is cupping?
a big physiological cup, greater than 1/2 the size of the optic disc
What can cause cupping?
glaucoma and increased IOP
What does the fovea look like?
a light spot with a dark spot in the middle

What causes cotton wool spots?
diabetic or hypertensive retinopathy

hypopyon
pus in the anterior chamber of the eye
hyphema
blood in the anterior chamber of the eye
what diagnostic tool can be used to detect corneal abrasions and ulcers?
fluorescent stains with woods lamp or slit lamps
What is the best tool to diagnose herpes keratitis?
woods lamp and fluorescent stain

What does Seidel's test detect?
globe rupture
What questions could you ask for an ear exam?
hearing changes (uni/bi)
ringing
pain
discharge
vertigo
trauma
constitutional symptoms like congestion, cough, etc
Lop Ear
when children ears stick out. can be resolved with pinning

What is a PE finding that differentiates otitis external from otitis media?
TM involvement
externa = no TM involvement
tympanosclerosis
scarring of the TM
bullae retractions
fluid behind the TM that indicated infection
cholesteatoma
ear tumor
valsalva maneuver
"popping" your ears
can determine TM mobility
tympanometry: A vs. B vs. C
A = normal mobility
B = little to no mobility
C = negative pressure (infection)
What are 3 hearing tests?
Whisper test
Weber Test
Rinne Test
What are some eye tests? (6)
visual acuity testing
visual field testing
iris test
light reflex
near test
swinging flashlight test
How would you perform the whisper test? What is a abnormal result?
stand 2 ft behind the patient and have them cover one ear while you whisper a 3 letter/word combination
abnormal = 4/6 possible letters
How do you perform a weber test? When would you use it?
UNIlateral hearing loss
use a 512 Hz tuning fork on top of head
if it conducts to the side with hearing loss = conductive loss
if it conducts to the side w/o hearing loss = neurosensory hearing loss
How would you conduct a Rinne Test?
place a 512 Hz tuning fork to the skull, once they no longer hear it through bone, place it by the ear, they should be able to hear it through air
What questions should you ask prior to a nose exam?
congestion
obstructions
rhinorrhea
epistaxis
nasal mediations
pain
prev nasal surgeries
What would a pale turbinate indicate? A red turbinate?
pale = allergies
red = infection
What is the imaging study of choice for recurrent sinus infections?
CT scan
dysphagia
cannot swallow
odynaphasia
painful to swallow
What questions should you ask prior to a throat exam?
sore throat
lesions
bleeding gums
tongue pain
bad breath
swollen glands
Peutz-Jeghers Syndrome
pigmented macules on the lips.
Assoc with GI cancer and polyps

What CN controls the soft palate and uvula?
CN 10
T/F: if the uvula deviates to the LEFT there is a lesion of CN X on the LEFT
False. the lesion would be contralateral, on the RIGHT side
torus palatinus
a benign isolated protuberance on the midline of the soft palate
