1/24
Looks like no tags are added yet.
Name | Mastery | Learn | Test | Matching | Spaced | Call with Kai |
|---|
No analytics yet
Send a link to your students to track their progress

1- perichondrium
2-Matrix
3- chondrocytes in a cell nest
4- chondroblasts
5- Hyaline cartilage

1- perichondrium
2-territorial matrix
3- Lacuna
4- Chondrocyte

1- Elastic cartilage
2-skin
3- perichondrium
4- Ear pinna

1- collagen fibers
2- chondrocytes
3- fibrocartilage

1-chondrocyte
2- matrix
3- collagen fibers
4- fibrocartilage

1- osteocyte Lacunae
2- canaliculi
3-Haversian canal
4- Ground compact bone

1-osteon
2- lacuna
3- haversian canal

1- Ground compact bone
2- osteocyte Lacunae
3- Haversian canal

1- osteon
2- Haversian canal
3- osteocyte
4- Decalcified compact bone

1- periosteum
2- haversian canal
3- Haversian system/ osteon
4-cementing line
5- osteocyte
6- bone lamellae
7- outer circumferential lamellae
8- compact bone

1- periosteum
2- bone marrow
3- endosteum
4- compact bone

1- bone trabeculae
2- bone marrow
3- periosteum
4- spongy bone

1-zone of reserve
2- zone of proliferation
3- zone of hypertrophy
4- zone of calcification
5- zone of ossification
6- growing bone

1- zone of proliferation
2- zone of hypertrophy
3- zone of calcification
4- zone of ossification
5- zone of reserve
6- epiphyseal plate

1- nucleus
2- muscle striations (A/I bands)
3- Muscle fibers
4- LS of skeletal muscle

1- nucleus
2- perimysium (bundle)
3-muscle fiber
4- TS of skeletal muscle

1-Dark A band
2- Light I band
3-Z line
4-Mitochondria
5- EM sarcomere

1- Axon terminal
2- Synaptic cleft
3- Skeletal muscle cell
4- Em of neuromuscular transmission

1-Spindle capsule
2- intrafusal muscle fibers
3- extrafusal (ordinary) muscle fibers
4- TS muscle spindle

1- Muscle spindle
2-intrafusal muscle fibers
3- extrafusal (ordinary) muscle fibers

1- thick skin
2-basal layer
3-granular layer
4-Keratin layer

1- thin hair
2-keratinized stratified squamous epithelium
3- Hair follicle

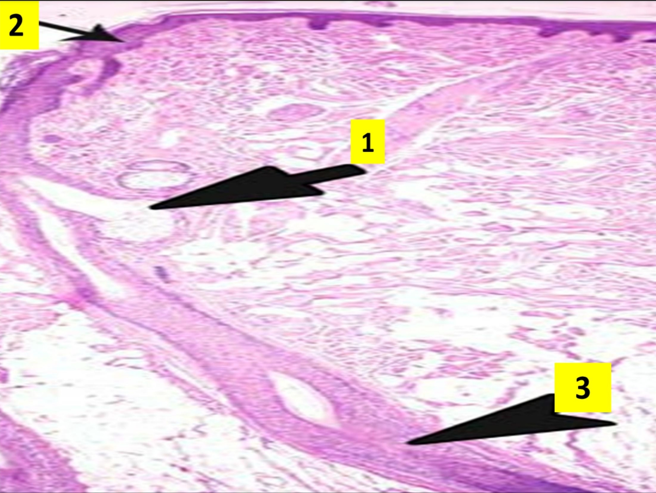
1- stratum corneum
2- stratum granulosm
3- dermal papillae
4- epidermal ridges

1- sebaceous gland
2-keratinized stratified squamous epithelium
3- hair follicle

1- epidermis
2- papillary layer
3- dermis
4- reticular layer
5- dermal papillae
6- thick skin