1/77
Epithel, bindevæv, nerver og muskler
Name | Mastery | Learn | Test | Matching | Spaced | Call with Kai |
|---|
No analytics yet
Send a link to your students to track their progress
Defination af Epithel er “Avaskulær”
Har ingen kar. Nærringssystem kommer fra underliggende væv og diffundere op eller fved nogle organer fra lumen fx alveoler
Definition af væv
Organiseret gruppe af celler, som kollektivt varetager specielle funktioner
Angiv de 4 typer væv
Epithelvæv, Bindevæv (inkl. Blod, lymfoid, brusk, knogle), muskelvæv, Nervevæv
Angiv epithelers funktioner
Barreire funktion/beskyttelse
Fjernelse af støv, partikler og mikroorganismer
Absorption
Sekretion
Sansning af miljø og omgivelser

Definition af parenchym
Den subpopulæation af celler der udfører organets særlige funktion. Udføres ofte af epithelceller
Definition af Stroma
Bindevævsdel som er ernærende og støttende for organget
Hvad dækker Epithel?
Alle organismens indre og ydre overflader.
Hvad kaldes epithel der dækker frie flader?
Fx hud og cornea
Navn for epithel der dækker kropskaviteter fx pleura, pericardium og peritoneum
Mesothelium
Navn for epithel der dækker lukkede rørsystemer fx blod- og lymfekar
Endothelium
Hvad kan epithel ellers dække?
Åbne rør: fx urinveje, luftveje, tarm
Andre typer epithel
Kirtelepithel: lever og svedkirtler
Specialiseret receptorceller: til sanser
Epitheliode væv: Har epitheloprindelse og har derfor stadig basalmembran, men har ingen fri overflade. fx endokrine kirtler i pancreas.
Epithel som barriere adskiller…
Eksternt miljø / lumen
Underliggende bindevæv
Benævn 8 kendetegn ved Epithelceller
1 eller flere lag af celler
Tæt sammenpakkede celler bundet via cellekontakter (cell junctions)
Funktionel og morfologisk polaritet
Basal overflade er fastgjort til basement membrane (basalmembran)
Avaskulært: Ernæres gennem diffusion - ikke kar
Beklæder ydre kropsoverflader (hud)
Beklæder indre hulrum og rør (GI-kanal, luftveje, kar)
Danner kirtler

Angiv de 3 domæner mht. polaritet
Apikalt domæne
Lateralt domæne
Basalt domæne

Hvordan klassificeres Epithel?
Ud fra antal cellelag/organisering, cellernes overfladeform/udseende og overfladespecialisering
Angiv de to mulige overfladespecialiseringer ift opdeling af epithel
Ciliseret (udfoldninger på apikal side)
Keratiniseret/non-keratiniseret (keratinieret hvis der IKKE er cellekerner i yderst lag mod lumen. Keratiniseret gør huden mere robust.)
Hvad kaldes hhv enlaget og flerlaget epithelium?
Simple , Stratified
Hvad kendetegnes ved simple epithelium?
1 cellelag
Hviler på basement membrane
Optimeret til:
absorption
sekretion
diffusion/filtration
Hvad kendetegnes ved stratified epithelium?
≥ 2 cellelag
Primær funktion: beskyttelse mod mekanisk stress
Klassificeres efter overfladelagets celler (ikke de basale)
Hvad kaldes det når det hverken er enlaget eller flerlaget?
Pseudostatified,
Ligner flere lag, men er teroretisk 1 da det er høje cellekerner der alle når ned til basalmembranen.

Hvordan klassificeres cellerne efter form generelt?
Squamous (flade), Cuboidal (kube), Columnar (cylinder)

Angiv de to specialformer
Pseudostratified og transitional/irothelium epithelium
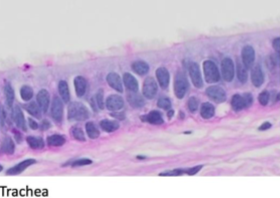
Hvad kendetegnes ved Pseudostratified epithelium?
Ser flerlaget ud, men er enlaget
Alle celler rører basalmembranen
Ikke alle celler når lumen
Typisk i luftveje, ofte med cilier
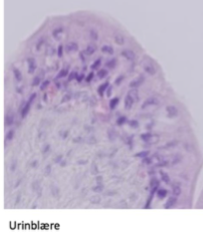
Hvad kendetegnes ved Transitional epithelium (urothelium)?
Flerlaget specialepitel i urinveje
Overfladeceller ændrer form ved distension:
Afslappet: store “umbrella cells”
Udspilet: fladere celler
Funktion: barriere + udspilelighed

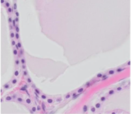
Angiv epitheltypen (blodkar)
Simple squamos (simpel plade); flade kerner


Angiv epitheltypen (Thyroidea)
Simple cubiodal (enlaget kubisk); mere cirkulære kerner da der plads


Angiv epitheltypen
Simple columnar (Enlaget cylinder); høje kerner, enkelte cellegrænser ses ikke, meget cytoplasma over kerne visere højere end bredere.


Angiv epitheltypen
Pseudostratified (Pseudolagdelt): Ligner flere lag + høje. Ses bedre i lysmykroskop?


Angiv epitheltypen
Stratified squamous (flerlaget plade).
Keratiniseret


Angiv epitheltypen
Stratified cubiodal (flerlaget kubisk)


Angiv epitheltypen
Transitional/urothelium (overgangsepithel)

Angiv opbygingen af urothel
To tilstande (kan strækkes):
Kontraheret tilstand:
Mange cellelag
basalt: kubiske til cylindriske celler
midt: polyhydrale celler
Superficelt: store celler med konveks flade (paraplyceller) med enorm tæt kontakt (intet fra lumen kan komme ind)
Udtrakt tilstand:
Basalt: 1-2 lag kubiske celler
Superficielt: affladet paraplyceller
Vil ligne pladeepithel

Hvor findes stratifed columnar epithel?
I største udførelsesgange fra kirtler + den anorektale samling
Hvilken funktion har apikalt domænes overflademodifikationer?
Absorption
Transport af væske/partikler
Sensorfunktion
Angiv de mulige overflademodifikationer apikalt
Mikrovilli, Sterocilier, motile- og primære cilier
Hvad kendetegnes ved Mikrovilli?
Små fingerlignende udløbere
Har aktinfilament-kerne (20-30 stk)
Myosin II og trypomyosin i terminal web mulliggør kontraktion → øger intervilli space (passiv bevægelse)
Øger overfladeareal markant (20x)→ absorption (fx børstesøm i Gl-kanal)
Ikke-motile

Længde og diameter af mikrovilli
1-5 qm, 100 nm
Hvad kendetegnes ved sterocilier?
Meget lange mikrovilli
Aktinbaserede, ikke-motile
Begrænset distribution (ved mandlig reproduktion + indre øre)
Overfladeforøgende

Længde og diameter af sterocilier
5-15 qm (op til 120 qm)
100 nm

Hvad kendetegnes ved motile cilier? (hovedgruppen: kinocilier)
Hårlignende udløbere
Indeholder axoneme med 9 + 2 mikrotubuli
Flytter mucus/væske/partikler langs overflade
Bevægelse skyldes:
Koordineret glidning af mikrotubuli via dynein (motorprotein)
Beskriv opbygning af motile cilier
Axonema: longitudinelle mikrotubuli arrangeret i dobbelttubulus (A-tubulus med dynein + B-tubulus, placeret 9+2 mønster)
Basallegeme (basal body): ved basis af hvert cilium

Funktion af motile cilier
Bevægelse af væske fx luftveje (dynein spalter ATP som medfører korrdineret aktiv bevægelse)
Længde af diameter af motile cilier
5-10 qm
200 nm
Hvad kendetegnes ved primære cilier? (hovedgruppen: kinocilier)
Har 9 + 0 mikrotubuli
Immobile
Funktion: sensorik, normal vævsdannelse (celledeling og migration)
Findes på næsten alle eukaryote celler (typisk 1 på hver)

Hvad kendetegnes ved nodale cilier? (hovedgruppen: kinocilier)
Kan lave rotationsbevægelse
Mikrotubuli arrangeret i 9+0
Funktion: Tilstede i embryonet og udvikling af embyron (højre/venstre assymmetrisk af indre organer)

Hvad kendetegnes overordnet ved lateralt domæne?
Cell adhesion molecules (CAMs), der danner junctional complexes af 3 afarter.
Angiv de 3 typer junctions/cellekontakter (lateral flade)
Occluding junctions
Anchoring junctions
Communicating junctions (gap junctions /nexus)
Hvad kaldes occluding junction også?
Zonula occludens (tight junction)
Angiv de to typer Anchoring junctions
Zonula adherens og Macula adherens (desmosome)
Hvad kaldes communicating junctions også?
Gap junctions
Hvad kaldes anchoring junctions også?
Forankringskontakter
Funktion af anchoring junctions?
Binder cellerne mekanisk fast sammen.
Hvad kendetegner Zonula occludens (tight junctions)?
Lokaliseret mest apikalt på laterale membraner
Cellemembraner står tæt
Funktion:
Forsegler intercellulær spalte (barriere) - celler tæt sammen
Regulerer paracellulær passage
Opretholder polaritet (hindrer membranprotein-mixing), adskiller domæner

Beskriv opbygning af tight junctions
Transmembrane proteiner som danner bånd rundt om cellen: Occludin, Claudin og Tricellulin (kun ved tricellære kontakter)
Junctional adhesion molecyle (JAMs): Assossieret til claudiner
Zonula occludens proteiner (ZO-1,ZO-2, ZO-3): binder occludin, claudin og tricellulin til aktinfilamenter i cellens cytoskelet.

Funktion af tight junctions
Opretholder polaritet
Aflukker overflade fra det intracellulære rum
Tillader ikke passage af store molekyler
Tæt epithel = ingen vand- eller saltpassage
Utæt epithel = kontrolleret vand- og saltpassage
Kendetegn ved Zonula adherens
Lige under/basalt for zonula occludens
Membranafstand: 20 nm
Bælteformet
Kobler til aktinfilamenter i cytoskelet
Beskriv opbygning af zonula adherens
Bygget af plaqueprotein (fuzzy plaque) som vinculin og catenin. De binder aktinfilamenter
Transmembrane proteiner (Cadheriner; E-cadherin aka E-cadherin–catenin-komplekser)

Kendetegn ved Macula adherens (desmosomer)
Cirkulære struktur
Funktion: Trækstyrke via kontakt til cytoskelet (stærk kontakt)
Bygget af:
Transmembrane proteiner: desmoglein og desmocollin (cadheriner)
Plaqueprotein: Desmoplakin og plakoglobin (binder til intermediære filamenter)
Forankrer intermediære filamenter

Kendetegn ved gap junctions
Kanaler i tæt array mellem celler
Består af connexons opbygget af 6 connexiner, der danner transmembrane kanaler
Funkion: Elektrisk/kemisk cellekobling. Tillader udveksling/kommunikation af:
ioner
regulatoriske molekyler
små metabolitter


Angiv grøn, blå, rød, sort, lilla, orange og gul
Zonula occludens
Zonula adherens
Desmosomer / Macula adherens
Gap junctions / nexus
Basal flade:
- Basalmembran
- Fokale adhæsione
- Hemidesmosomer
Hvad karakteriserer basal domain? (Basal flade)
Basalmembran
Forankringskontakter (anchoring junctions): forbinder celler til underlæggende væv.
Fokale adhæsioner
Hemidesmosomer
Indfoldninger

Hvilke lag består basement membran af?
Basal lamina (ses i EM, type 4 kollagen)
lamina densa
lamina lucida: artefakt
Reticular lamina (type 3 kollagen)
Hvad består lamina densa af og angiv dens funktion?
Type 4 kollagen, laminin, polysakkarider, glycoprotein
(funktion som platform for adhæsionsmolekyler som integriner)
Tykkelse på basalmembran
40-60 nm
Hvordan ses basalmembran?
Svær at se i LM, ofte PAS-positiv
Ses tæt ECM-zone under epitel.
Hvordan forankrer basallamina til retikulær lamina?
Via anchoring fibrils af type VII collagen samt kobling til elastiske fibre via Fibrillin microfibrils
Angiv basalmembranens funktioner
Understøttende: fæstner epitel til bindevæv
Opretholder polaritet: adskiller væv
Pasiv filtration: regulerer passage ind/ud af epitel
Strukturel forbindelse til bindevæv
Celle signalering: påvirker vækst, differentiering, organisering, migration

Hvilken funktioner har focal adhesions?
Kobler aktinfilamenter til basalmembran
Opbygning af fokale adhæsioner
Proteinplaque (vinculin og talin): binder til aktinfilamenter
Transmembrane protein (integrin)
Funktion af fokale adhæsioner
Dynamiske (hurtig dannelse/nedbrydning) → grundlag for cellemigration ?
Forankrer celle til ekstracellulær matrix
Signallering mellem celle og omkringliggende miljø
(Vises med orange)

Funktion af Hemidesmosomer
Kobler intermediære filamenter til basalmembran via intracellulære plaques. Derved forankring til ekstracellulær matrix
Opbygning af Hemidesmosomer
Transmembran protein (Integrin) binder basalmembran
Attachment plaque + plectin: binder intermediære filamenter (cytoskelet)

Funktion af basale membraninfoldninger
Øger overfladeareal for:
transportproteiner
ionkanaler
Findes derfor typisk i celler med aktiv transport
Hvad skyldes Striated appearance?
basale infoldinger
mange mitokondrier (energi til transport)

Beskriv corneas epitheltype 1 og 2
Epithel type 1: Flerlaget pladeepithel (ses via affladet cellkerner i yderst lage)
Epithel type 2: Simpel enlaget pladeepithel (da vi ikke er i blodkar)
Billede her viser lys plade under type 2 som viser basalmembran samt ukreatiniseret da man ser cellekerner yderst.


Angiv galdeblærens epitheltype og overfladespecialisering
Enlaget cylinder epithel med mikrovili

Angiv urinblærens epitheltype
Urothel: Med paraplyceller der ændres afh af kontraheret eller afslappet
Endothel i kar