1/155
Looks like no tags are added yet.
Name | Mastery | Learn | Test | Matching | Spaced | Call with Kai |
|---|
No analytics yet
Send a link to your students to track their progress
What is the function of the heart in the cardiovascular system?
The heart propels blood
What are the characteristics of arteries?
Arteries are efferent vessels that branch off and have thick walls.
What are capillaries and what is their function?
Capillaries are the smallest vessels connecting arteries and veins; they are the sites of exchange between blood and tissues and form a thin, permeable microvasculature network.
What are veins and what do they do?
Veins are afferent vessels formed by the merging of venules; they carry blood back to the heart to be pumped again.
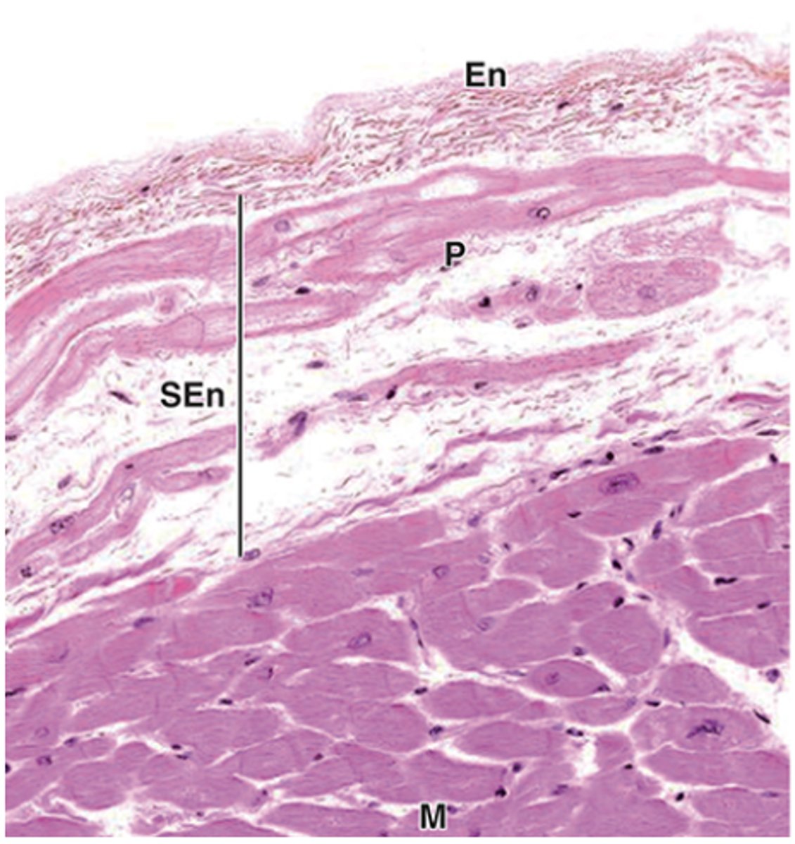
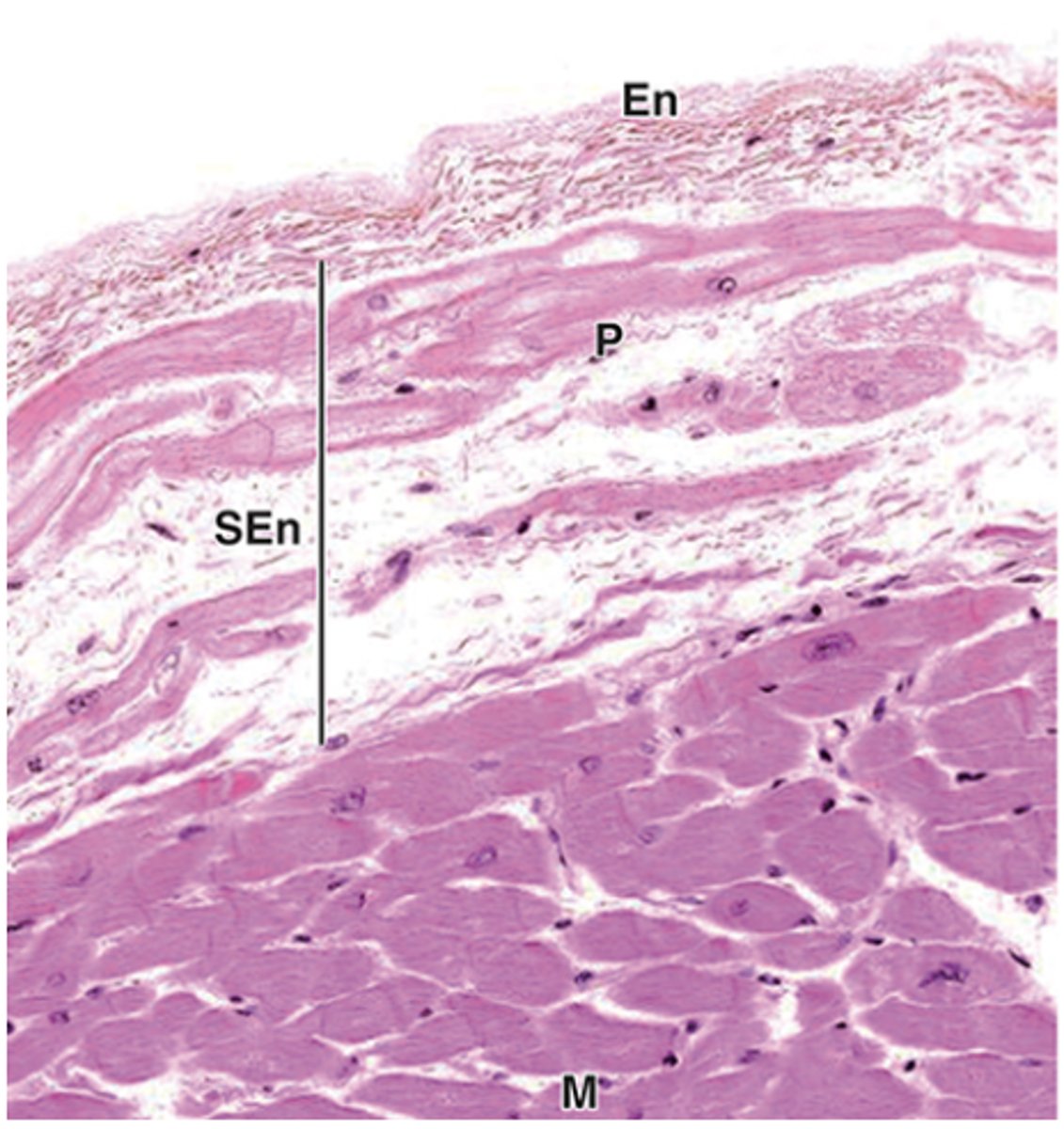
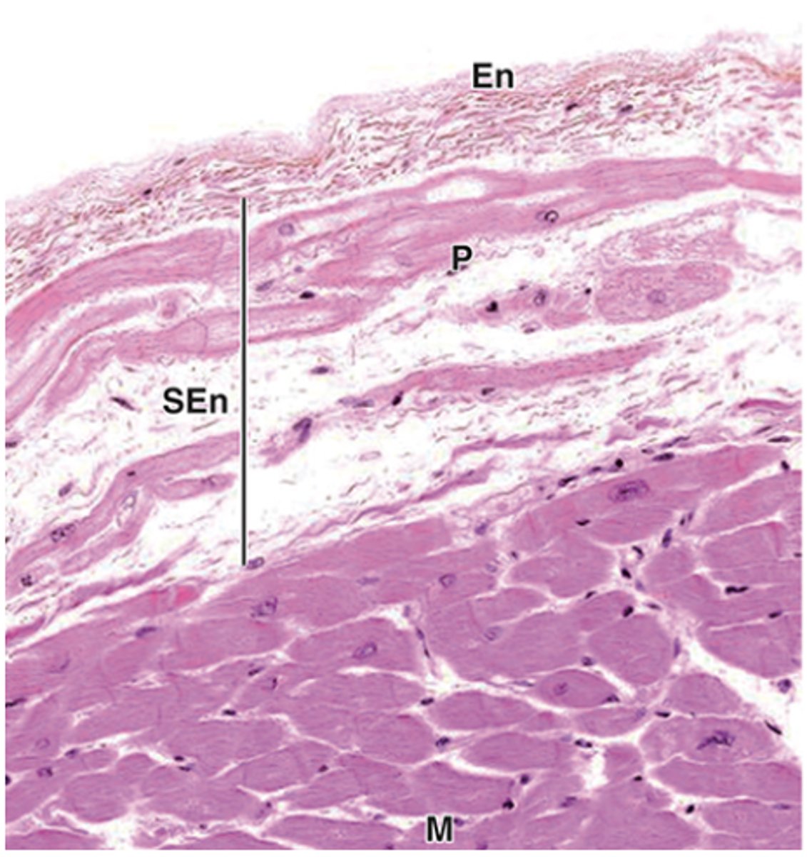
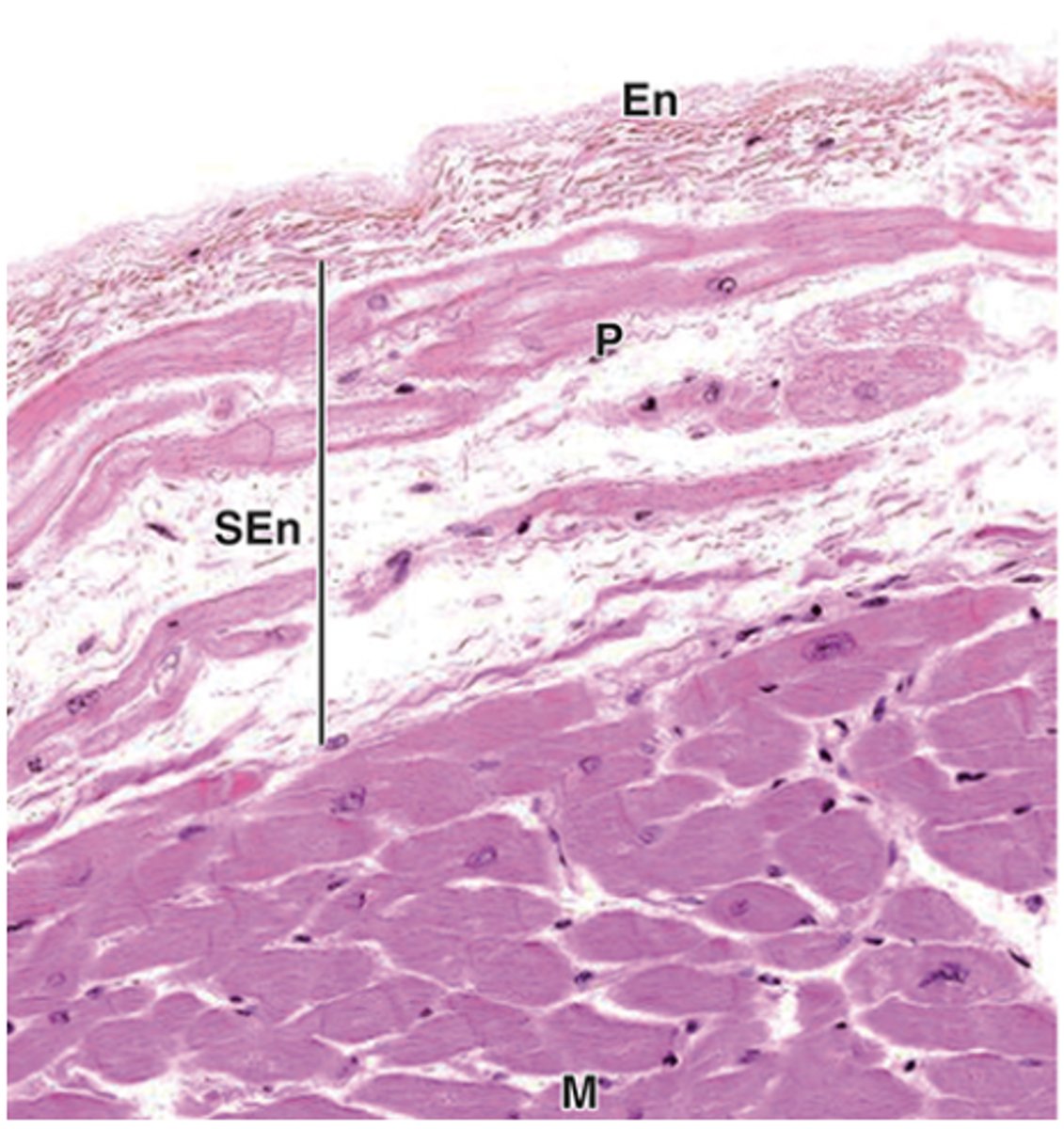
What are the three layers of the heart wall?
1. Endocardium
2. Myocardium
3. Epicardium
What tissues make up the endocardium? (3)
Endothelium, connective tissue, and smooth muscle tissue.
What tissues make up the myocardium? (2)
Cardiac muscle tissue and connective tissue.
What tissues make up the epicardium? (3)
Mesothelium, loose connective tissue, and abundant blood vessels and nerves.

What type of epithelium and connective tissue lines the Inner layer of the endocardium?
- Thin endothelium
- Loose connective tissue

What is the middle layer of the endocardium called, and what does it contain?
The middle myoelastic layer; it contains smooth muscle and connective tissue.

What is the subendothelial layer of the endocardium composed of?
Connective tissue continuous with the connective tissue of the myocardium.

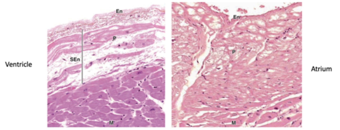
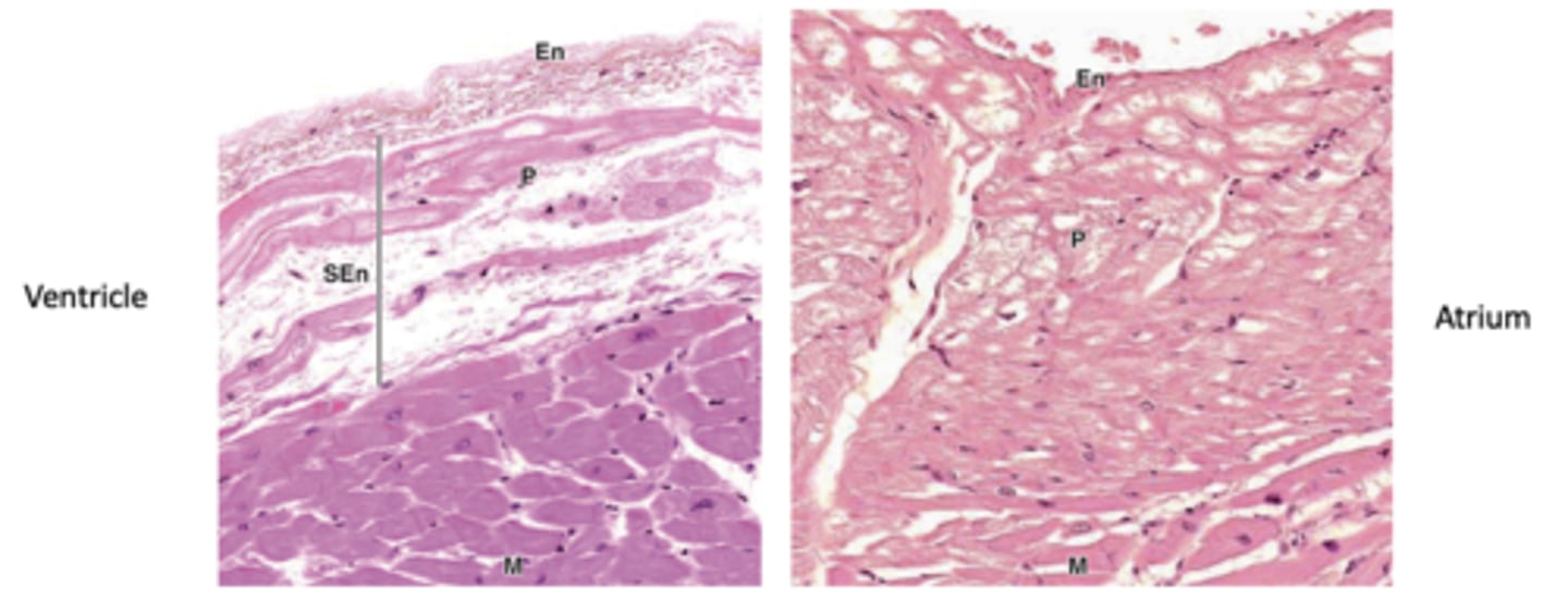
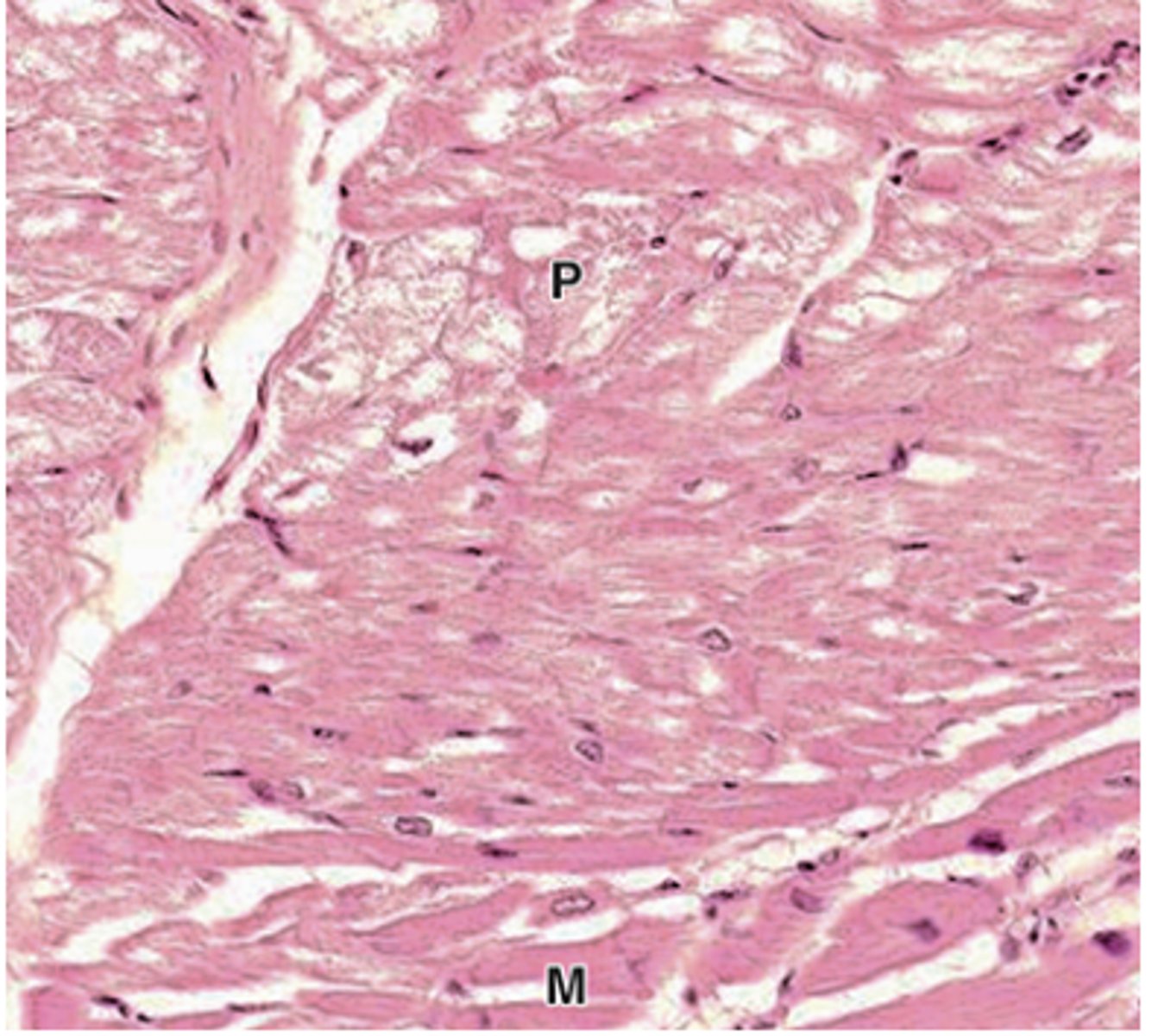
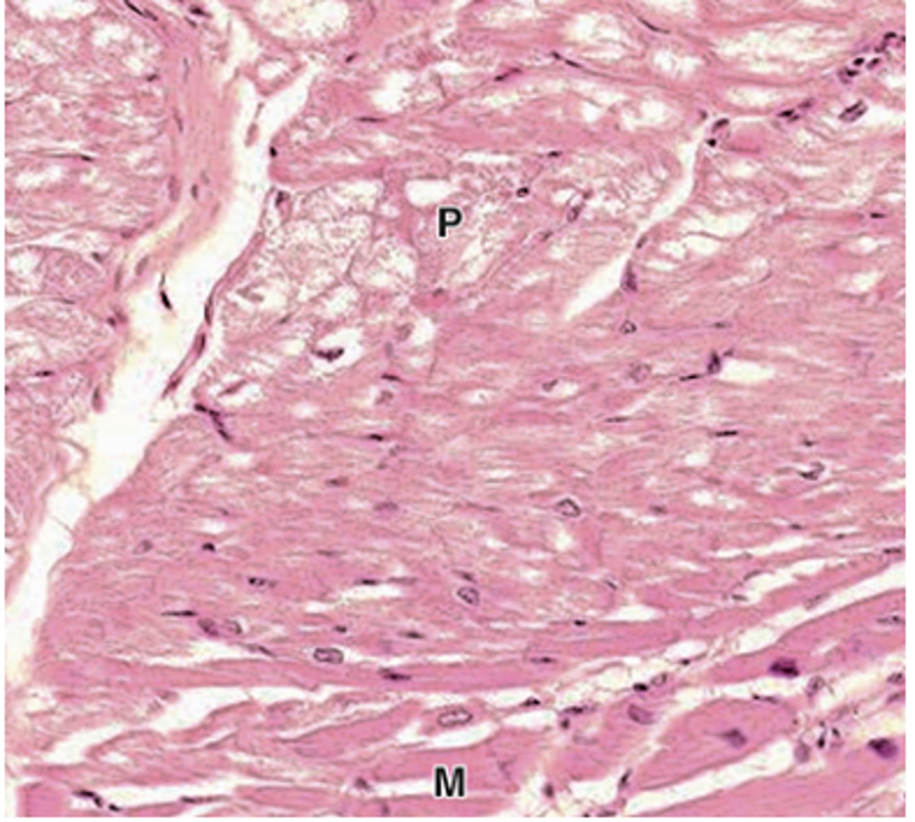
What special structure does the endocardium contain?***
Contains the conducting system of the heart (ex. SA, AV, Bundle of his, purkinje fibers)

Where are atrial Purkinje fibers located relative to the endothelium?
Atrial Purkinje fibers are closer to the endothelium in the ventricle

How do atrial Purkinje fibers differ in their relationship with contractile fibers compared to ventricular Purkinje fibers?
Atrial Purkinje fibers intermingle with the contractile fibers of the myocardium.

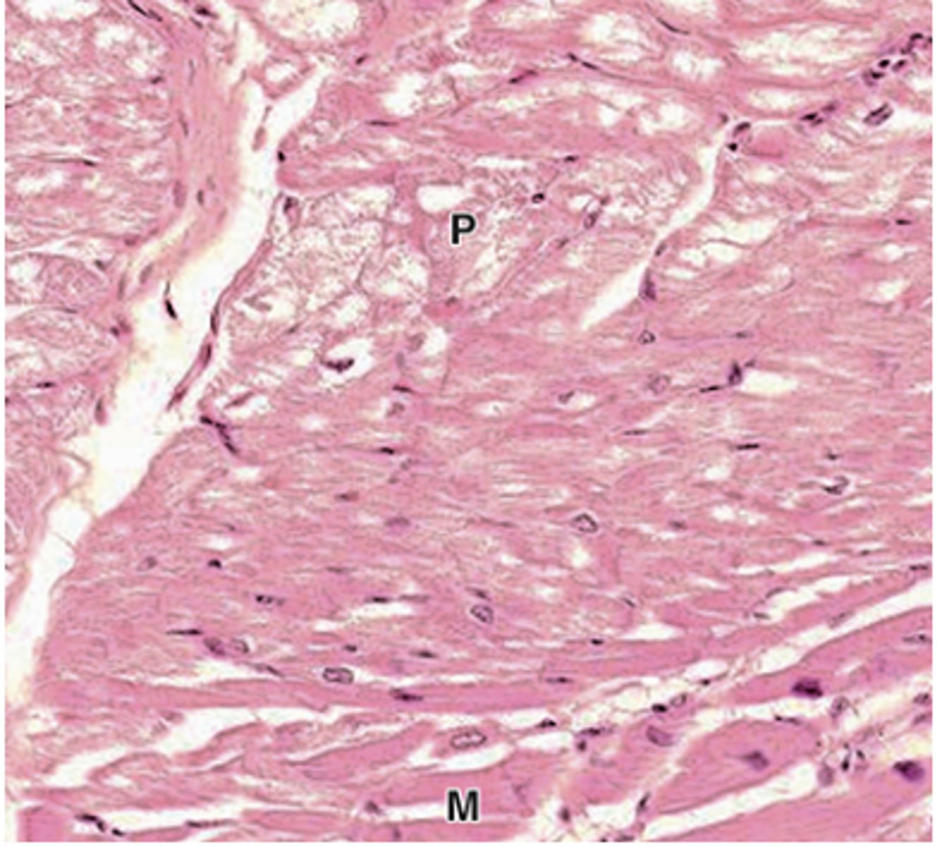
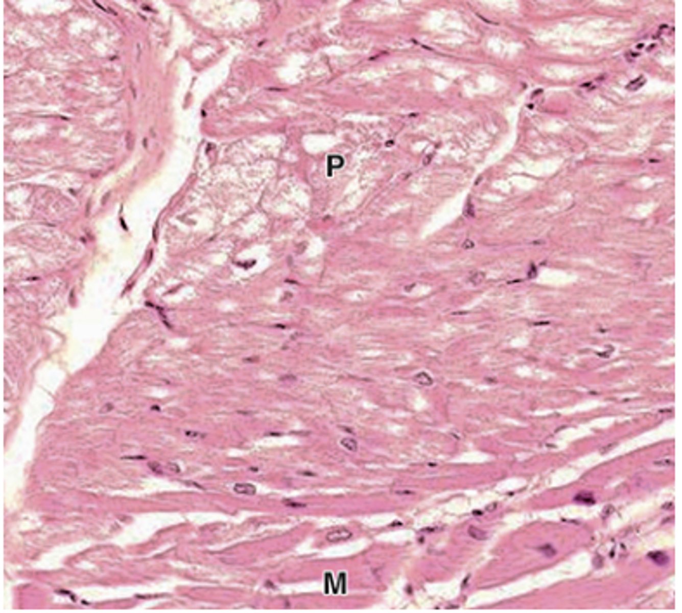
What are Purkinje fibers?
Modified cardiac muscle fibers specalized in conduction

How are Purkinje fibers connected to each other?
They are joined by intercalated discs.

What fills the cytoplasm of Purkinje fibers?
•Cytoplasm filled with glycogen

Where are the myofibrils located in Purkinje fibers?
They are displaced peripherally.

How do Purkinje fibers appear compared to contractile cardiac muscle fibers?
They stain paler.

What is the main functional component of the heart?
The myocardium.

What type of tissue makes up the myocardium?
Cardiac muscle tissue with a spiral arrangement of fibers.

How does the thickness of the myocardium vary in different chambers of the heart?
It is thinner in the atria, thicker in the ventricles, and thickest in the left ventricle.

Besides cardiac muscle, what other type of tissue is found in the myocardium?
Connective tissue.

What type of epithelium forms the surface of the epicardium and what types of tissue are found?
Simple squamous mesothelium and loose connective tissue

What structures are contained within the epicardium?
Blood vessels and nerves.

Where is the epicardium reflected back?
Reflected back at great vessels

How are the parietal pericardium and epicardium related?
They are continuous with each other.

What lies between the parietal pericardium and the epicardium?
The pericardial cavity, lined by mesothelium of the pericardial layers.

What type of connective tissue makes up the cardiac skeleton?***
Dense irregular connective tissue.

Where is the cardiac skeleton located?
In the interatrial and interventricular septa, and it surrounds the valves.

To what structures does the cardiac skeleton extend?
It extends to the valve cusps and the chordae tendineae.

What are the main functions of the cardiac skeleton? (4)
- Anchors and supports the valves
- Provides firm points of insertion for cardiac muscle
- Acts as electrical insulation between atria and ventricles
- Helps coordinate the heartbeat

What separates the ventricles of the heart?
The interventricular septum.
What type of tissue makes up most of the interventricular septum?
Cardiac muscle, except in the membranous part, which is connective tissue.
What lines the interventricular and Interartiral septum?
Endothelium.

What separates the atria of the heart?
The interatrial septum.
How does the interatrial septum compare in thickness to the interventricular septum?
It is thinner.
What types of tissue are found in the interatrial septum?
Cardiac muscle at the center and areas of connective tissue.
To what are the heart valves attached?
Dense connective tissue that surrounds their orifices.

What are the three layers of the heart valves?
Spongiosa, fibrosa, and ventricularis.

What is the fibrosa layer of the heart valve composed of and what is its function?
It forms the core of the valve and is composed of extensions of the dense connective tissue of the cardiac skeleton.

Where is the spongiosa layer located in the heart valves?
On the atrial or blood vessel side of the valve.

What is the spongiosa layer called in the tricuspid and bicuspid valves and in the aortic and pulmonary valves?
•Tricuspid and bicuspid valves: auricularis
•Aortic and pulmonary valves: arterialis

What type of tissue and components are found in the spongiosa layer of the heart valves
Loose connective tissue with collagen and elastic fibers and a large number of proteoglycans.

Where is the ventricularis layer located in the heart valves?
Adjacent to the ventricular or atrial surface of the valves.

What covers the ventricularis layer of the heart valves?
Endothelium.

What types of tissue are found in the ventricularis layer of the heart valves?
Dense connective tissue with many layers of elastic fibers.

With what structures is the ventricularis layer continuous in atrioventricular valves?
The chordae tendineae.

What is the intrinsic conducting system of the heart and where is it located?
It is a network of modified cardiac muscle cells located in the subendocardial layer adjacent to the myocardium.

What are the characteristics of the SA node?
- 6-7 mm³ mass of small cardiac muscle cells
- Fewer myofibrils
- Fewer intercalated discs

What is the AV bundle and where does it pass?
The AV bundle consists of conducting muscle fibers that pass through an opening in the cardiac skeleton into the interventricular septum.

What do the right and left bundle branches arise from?
They arise from the AV bundle as it branches within the interventricular septum.

Where are Purkinje fibers located and how do they connect to the myocardium?
Purkinje fibers are in the subendocardial layer and contact myocardial muscle fibers through intercalated discs.
What tissue lines the walls of all blood vessels?
Endothelium
What are the three main tissue layers of vascular walls?
1. Endothelium
2. Smooth muscle tissue
3. Connective tissue
What factors determine the amount and arrangement of smooth muscle and connective tissue in blood vessels? (2)
Mechanical factors (pressure) and metabolic factors (local tissue needs)
What is the structural composition of capillaries?
Capillaries are composed of only endothelium.
What shapes can endothelial cells have?
- Squamous
- Polygonal
- Elongated
- Long axis in the direction of blood flow
What is the main structural role of the endothelium?
It forms a semipermeable barrier, together with the basal lamina, mediating and monitoring bidirectional exchange of molecules.
How does the endothelium contribute to blood clot prevention?
It has antithrombotic activity.
How does the endothelium regulate vascular function?
By locally regulating vascular tone and blood flow.
In what immune and repair processes does the endothelium participate?
It participates in local immune and inflammatory responses and secretes growth factors.
Where are smooth muscle fibers found in the vascular system?***
Found in arteries and veins.
How are smooth muscle fibers arranged in blood vessel walls?
In a helical arrangement in layers.
Which vessels have more gap junctions in their smooth muscle, and why is this important?
Arterioles and small arteries have many more gap junctions, facilitating coordinated Vasoconstriction and vasodilation
Where are collagen fibers located in blood vessels, and what is their role?
In the subendothelial layer and outer covering; they provide structural support.
What is the function of elastic fibers in blood vessels?
They provide resiliency during expansion under pressure.
How is elastin arranged in larger arteries?
Elastin forms parallel lamellae between smooth muscle layers
Which components of connective tissue affect vessel permeability, and how does their amount vary?
Proteoglycans and hyaluronate; their amount varies according to physical and metabolic properties of the vessel.

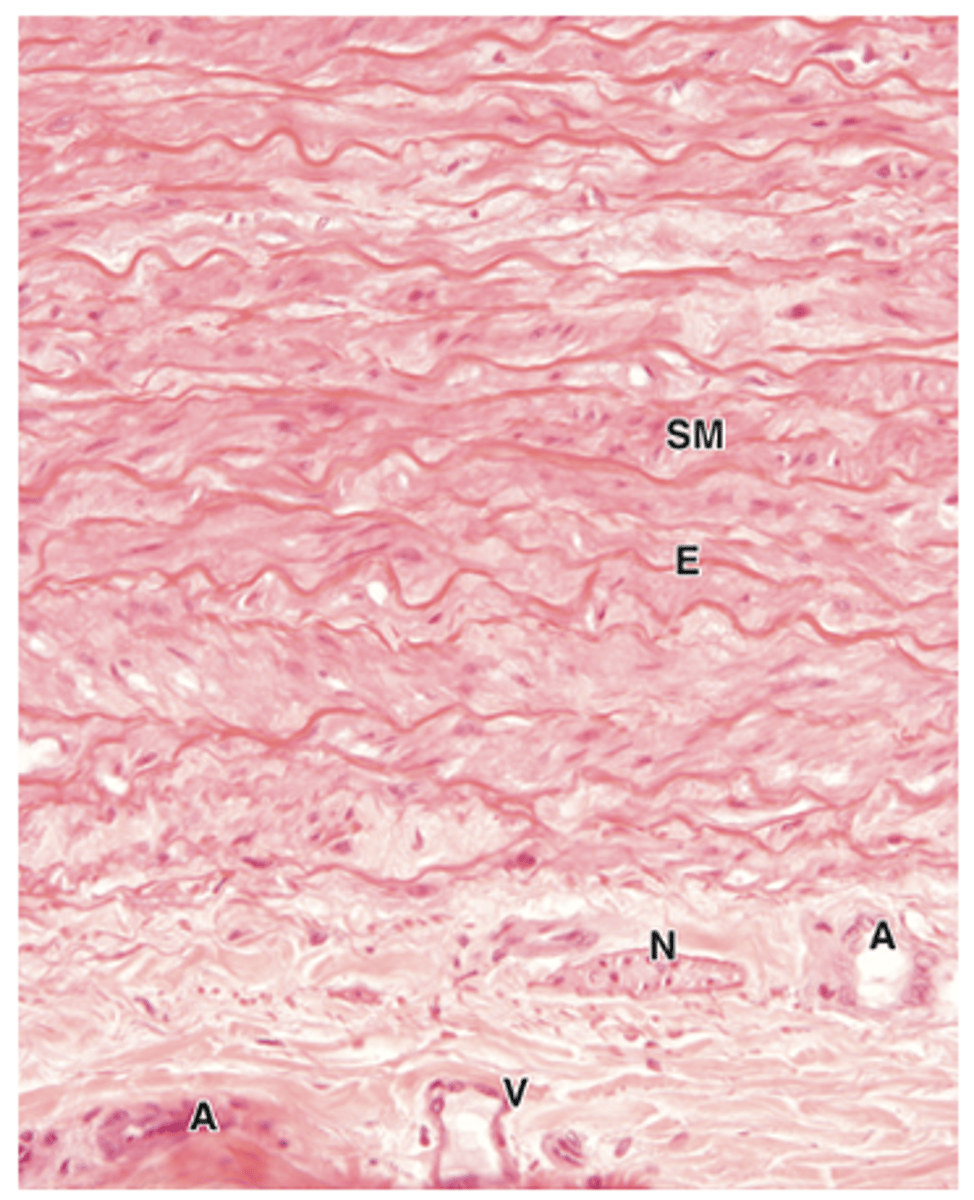
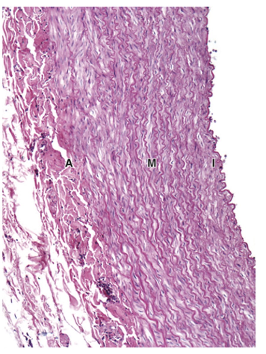
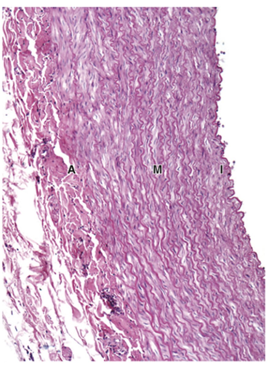
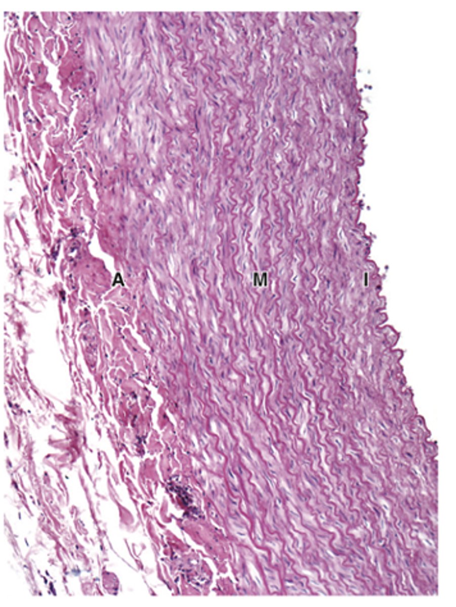
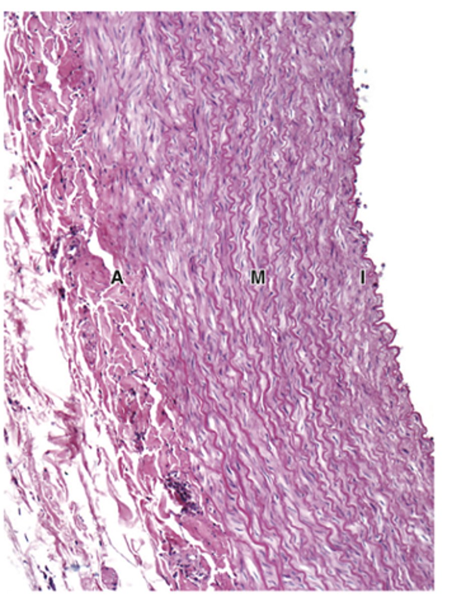
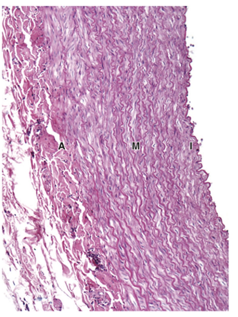
What is the composition of the tunica intima?
Endothelium and connective tissue; in veins, it is folded to form valves.

What is the composition of the tunica media and how does its thickness compare in arteries and veins?***
Smooth muscle and other varying components; thicker in arteries than in veins***

What is the composition of the tunica adventitia and how does its thickness compare in arteries and veins?***
Dense irregular connective tissue; thicker in veins than in arteries.***

What is the structural composition of capillaries?
Only endothelium and its basal lamina.

What cells are found at intervals around the basal lamina of capillaries?
Pericytes.

What are the main components of the tunica intima?
Endothelium, thin basal lamina, and thin subendothelial layer.

What can the subendothelial layer of the tunica intima contain?
Loose connective tissue, sometimes with smooth muscle.

Where is the internal elastic lamina found, and what is its function?***
Found in
1. arteries
2. arterioles
3. largest veins
its fenestrations allow nutrient diffusion.

How are smooth muscle fibers arranged in the tunica media?***
Concentric, helically arranged layers.

What other components can be found in the tunica media besides smooth muscle?
Variable amounts of elastic fibers and elastic lamellae, reticular fibers, and proteoglycans (produced by the muscle fibers).

What is special about the elastic lamellae in the tunica media?
They are fenestrated to allow diffusion.

In which vessels is the tunica media prominent with elastic lamellae?***
Only in arteries.

What separates the tunica media from the tunica adventitia?
The external elastic lamina.

How does the tunica media in arteries compare to veins?
Thicker and contains much more elastin in arteries.

What is the main composition of the tunica adventitia?
Connective tissue, primarily type I collagen and elastic fibers.

How is the adventitia related to surrounding tissues?
It is continuous with and bound to the stroma of the organ.

How does the thickness of the adventitia compare between arteries and veins?****
Thinner in arteries and increasingly thicker in venules and veins.

What structures are found in the adventitia of large arteries and veins, and what is their function?*** (2)
Vasa vasorum (small vessels) and nervi vasorum (nerves); they provide nutrition to layers far from the intima in large vessels.

How is the tunica intima of elastic (conducting) arteries described?
Well-developed and thick, consisting of an endothelial lining with basal lamina and a subendothelial layer.

How are endothelial cells in elastic arteries (conducting arteries) connected? (2)
By tight junctions and gap junctions.

What are Weibel-Palade bodies and where are they found?
Rod-like, electron-dense inclusions in endothelial cell cytoplasm containing von Willebrand factor and P-selectin.

What is the function of von Willebrand factor in elastic arteries (conducting arteries)?
Binds coagulation factor VIII and mediates platelet adhesion.

What is the function of P-selectin in elastic arteries (conducting arteries)?
Acts as a cell-adhesion molecule for neutrophil-endothelial recognition.

What does the subendothelial layer of elastic arteries (conducting arteries) contain? (3)
- Abundant smooth muscle cells
- Secrete extracellular ground substance, and collagen and elastin
- Occasional macrophages

What elastic feature is present in the tunica intima of elastic arteries (conducting arteries)?
The internal elastic membrane.

How is the tunica media of elastic arteries structured?
Thick, with fenestrated elastic lamellae alternating with layers of smooth muscle fibers.

Approximately how many elastic lamellae are found in the aorta, and what affects their number?***
About 50 elastic lamellae; number increases with hypertension.***

How do the elastic lamellae in the tunica media of elastic arteries compare to those in other arteries?
They are more well-defined than the elastic lamellae of other arterial media.

What separates the tunica media from the tunica adventitia in elastic arteries?
The external elastic membrane.

How does the adventitia of elastic arteries compare in thickness to the media?
Adventitia is thinner than the media.

What are the main components of the adventitia in elastic arteries?
Collagen and elastic fibers forming an elastic network, with fibroblasts and macrophages as main cells.