1/39
Looks like no tags are added yet.
Name | Mastery | Learn | Test | Matching | Spaced |
|---|
No study sessions yet.
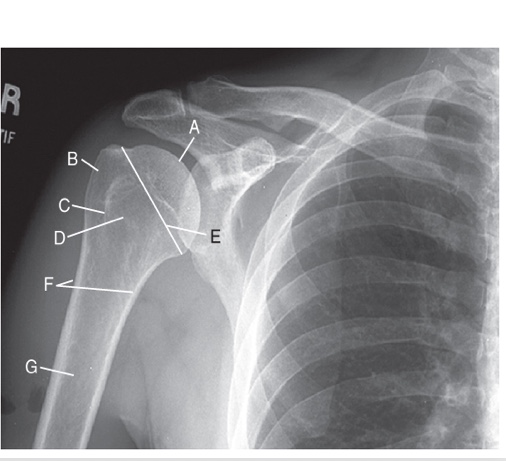
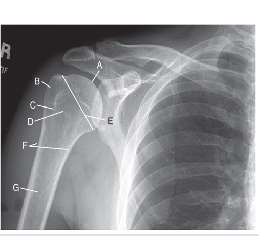
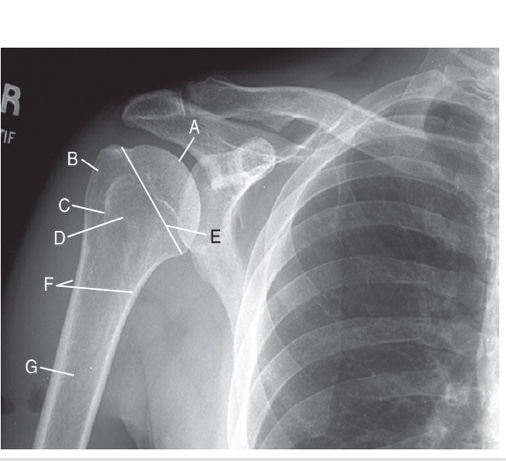
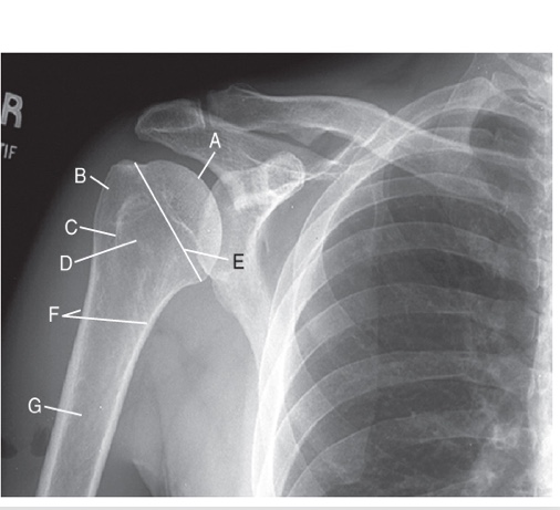
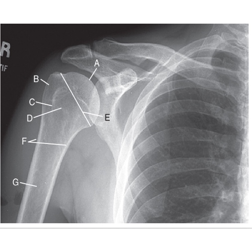
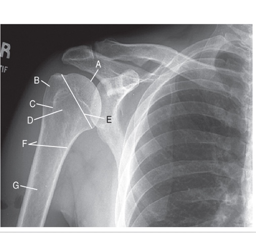
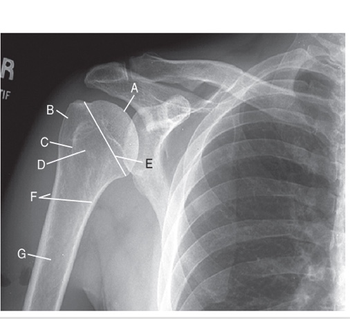
head of humerus
A

greater tubercle
B

intertubercle sulcus
C

lesser tubercle
D

anatomic neck
E

surgical neck
F

body
G

SC joint
A

sternal extremity
B

body
C

acromial extremity
D

AC joint
E

acromion
A

neck of scapula
B

suprascapular notch
C

superior angle
D

medial (vertebral) border
E

inferior angle
F

lateral (axillary) border
G

glenoid fossa
H

inferior border
F

superspinous fossa
1

crest of spine
2

acromion
3

infraspinous fossa
4

dorsal surface (posterior)
5

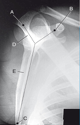
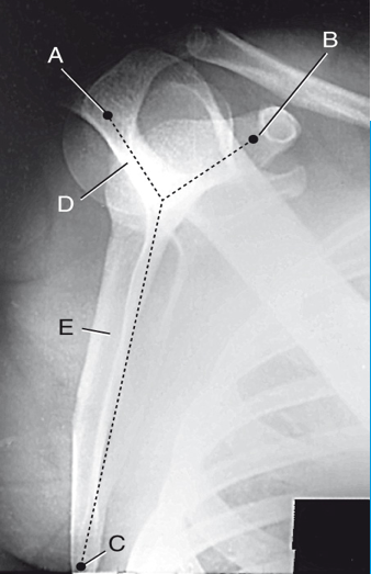
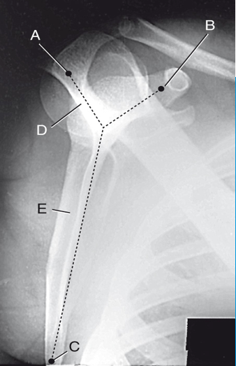
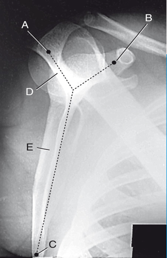
acromion
A

coracoid process
B

inferior angle
C

scapular spine
D

body of scapula
E

clavicle
A

coracoid process
B

glenoid fossa
C

acromion process
D

lesser tubercle
E

humeral head
F

external rotation
position of humerus?

internal rotation
position of humerus?

neutral rotation
position of humerus?
