1/28
Name | Mastery | Learn | Test | Matching | Spaced | Call with Kai |
|---|
No analytics yet
Send a link to your students to track their progress
Cortex of a Kidney

Cortex of Kidney with Glomerular Corpuscles

Glomerular Filtration Membrane

Cortex-Medulla Transition Zone

Renal Medulla - Base of Pyramid

Ureter Histology

Lumen Of Bladder

Ureter Histology

Calcium Oxalate Crystals

Red Blood Cells - some crenated

WBC’s and Bacteria (rods)

Yeast

Squamous Epithelial Cells from the Urethra

Spermatozoan

A
Ureter

B
Transitional Epithelium

C
Lamina Propria

D
Muscularis

E
Adventitia

A
Ureter

B
Transitional Epithelium

C
Capillaries

D
Lamina Propria

A
Lumen of Bladder

B
Tunica Muscularis

C
Serosa

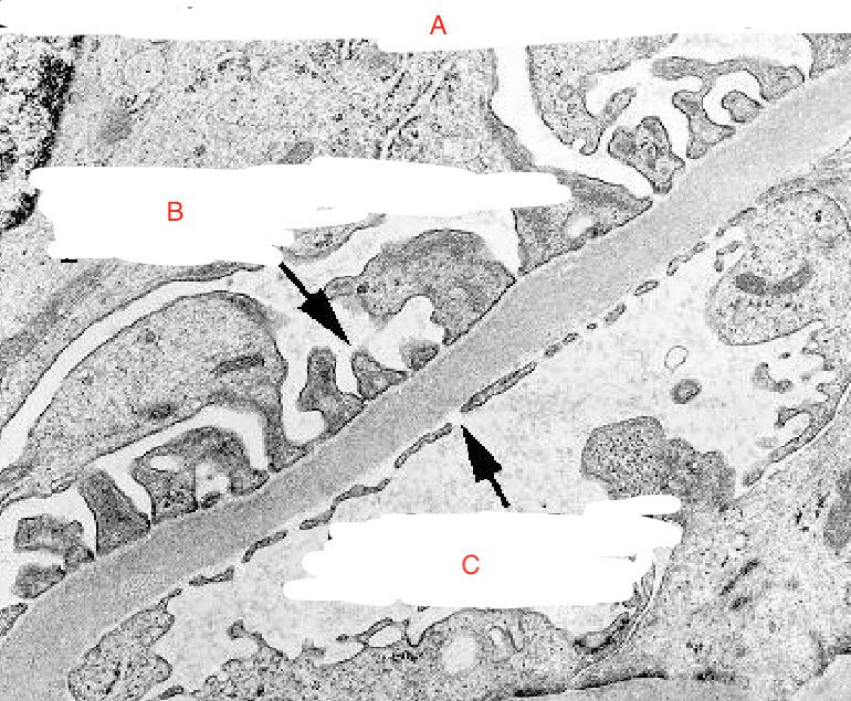
A
Glomerular Filtration Membrane

B
Endothelial Foot Process

C
Endothelial Cell Pore
