1/43
Looks like no tags are added yet.
Name | Mastery | Learn | Test | Matching | Spaced | Call with Kai |
|---|
No analytics yet
Send a link to your students to track their progress

What is the genus, species, and stage of this parasite?
Plasmodium vivax microgametocyte

What is the genus, species, and stage of this parasite?
Plasmodium falciparum gametocyte

What stage does this display?
Trophozoite

What stage does this display?
Schizont

What stage does this display? (male)
Microgametocyte

What stage does this display? (female)
Macrogametocytes

What is the genus, species, and stage of this parasite?
Plasmodium vivax trophozoite

What is the genus, species, and stage of this parasite?
Plasmodium vivax trophozoite

What is the genus, species, and stage of this parasite?
Plasmodium vivax trophozoite

What is the genus, species, and stage of this parasite?
Plasmodium vivax trophozoite

What is the genus, species, and stage of this parasite?
Plasmodium vivax schizonts

What is the genus, species, and stage of this parasite?
Plasmodium vivax schizonts

What is the genus, species, and stage of this parasite?
Plasmodium vivax gametocytes

What is the genus, species, and stage of this parasite?
Plasmodium vivax gametocytes

What is the genus, species, and stage of this parasite?
Plasmodium ovale trophozoite

What is the genus, species, and stage of this parasite?
Plasmodium ovale trophozoite

What is the genus, species, and stage of this parasite?
Plasmodium ovale Schizont

What is the genus, species, and stage of this parasite?
Plasmodium ovale Schizont

What is the genus, species, and stage of this parasite?
Plasmodium ovale gametocytes

What is the genus, species, and stage of this parasite?
Plasmodium ovale gametocytes

What is the genus, species, and stage of this parasite?
Plasmodium malariae trophozoites

What is the genus, species, and stage of this parasite?
Plasmodium malariae trophozoites

What is the genus, species, and stage of this parasite?
Plasmodium malariae trophozoites

What is the genus, species, and stage of this parasite?
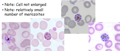
Plasmodium malariae Schizont

What is the genus, species, and stage of this parasite?
Plasmodium malariae Schizont

What is the genus, species, and stage of this parasite?
Plasmodium malariae gametocytes

What is the genus, species, and stage of this parasite?
Plasmodium malariae gametocytes

What is the genus, species, and stage of this parasite?
Plasmodium knowlsei trophozoite

What is the genus, species, and stage of this parasite?
Plasmodium knowlsei trophozoite

What is the genus, species, and stage of this parasite?
Plasmodium knowlsei trophozoite

What is the genus, species, and stage of this parasite?
Plasmodium knowlsei schizont

What is the genus, species, and stage of this parasite?
Plasmodium knowlsei schizont

What is the genus, species, and stage of this parasite?
Plasmodium knowlsei gametocytes

What is the genus, species, and stage of this parasite?
Plasmodium knowlsei gametocytes

What is the genus, species, and stage of this parasite?
Plasmodium falciparum ring

What is the genus, species, and stage of this parasite?
Plasmodium falciparum trophozoites

What is the genus, species, and stage of this parasite?
Plasmodium falciparum late trophozoite

What is the genus, species, and stage of this parasite?
Plasmodium falciparum gametocytes

What is the genus, species and stage of the image on the left?
Plasmodium ovale Trophozoite

What is the genus, species and stage of the image on the right?
Plasmodium vivax Trophozoite

What is the genus, species and stage of the image on the left?
Plasmodium vivax Trophozoite

What is the genus, species and stage of the image on the right?
Plasmodium malariae Trophozoite

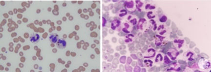
What is the structure and what cell is it in?
Hemazoin pigment in neutrophil

What is the structure and what cell is it in?
Hemazoin pigment in monocyte