1/44
Looks like no tags are added yet.
Name | Mastery | Learn | Test | Matching | Spaced | Call with Kai |
|---|
No analytics yet
Send a link to your students to track their progress
what are non-immune extrinsic hemolytic anemias
disorders where RBCs are normal but outside conditions cause hemolysis (like physical or mechanical injury)
what is a microangiopathic hemolytic anemia
disorder where RBCs are damaged/fragmented intravascularly as cells pass through small blood vessels partially blocked by clots or damaged endothelium
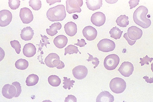
what are some common morphologies found in peripheral smears of someone with microangiopathic hemolytic anemia
schistocytes
helmet cells
microspherocytes
polychromasia
nRBCs
which of the following morphologies is NOT common in microangiopathic hemolytic anemias?
target cells
spherocytes
schistocytes
helmet cells
target cells
what is thrombotic thrombocytopenic purpura (TTP)
life-threatening disorder where platelets adhere to one another causing clots to form in the blood vessels
what causes thrombotic thrombocytopenic purpura (TTP)
a deficiency in ADAMTS13 protein (von Willebrand factor-cleaving protease)
what other clinical findings/symptoms can be associated with TTP
neurologic dysfunction, fever, and renal failure
what are some lab findings for TTP
severe thrombocytopenia and elevated LD
the best treatment for thrombotic thrombocytopenic purpura is
plasma exchange
what is Hemolytic Uremic Syndrome (HUS)
damage to blood vessel endothelial cells and RBCs from either Shigella or E. coli toxins OR unregulated activation of alternative complement pathway
what are the 2 types of HUS syndrome
typical HUS - Shiga or E. coli O157:H7 toxin
atypical HUS - unregulated activation of the alternative complement pathway
what other clinical findings/symptoms are associated with HUS
acute renal failure, abdominal pain, bloody diarrhea, fever, vomiting; typically affects children
what are some lab findings of HUS
mild to moderate thrombocytopenia
elevated serum creatinine
proteinuria, hematuria
hyaline, granular, and RBC casts
what is the best treatment for HUS
eculizumab (aHUS)
what is HELLP syndrome
a dangerous pregnancy complication closely associated with preeclampsia
H = hemolysis
EL = elevated liver enzymes
LP = low platelet count
how is the severity of HELLP syndrome measured
serum LD & aspartate aminotransferase (AST)
what is the best treatment for HELLP syndrome
delivery of the fetus and placenta as soon as possible, along with supportive care to control electrolytes, fluid balance, HTN, and to prevent seizures
what is disseminated intravascular coagulation (DIC)
activation of coagulation cascade, causing clots throughout blood vessels
what are the clinical manifestations of disseminated intravascular coagulation (DIC)
organ damage - due to clots
bleeding - no more platelets or clotting factors = nothing clots → bleed out
what are disorders are associated with DIC
metastatic cancers, acute leukemias, infections, trauma, extensive burns, transfusion reaction, snake or spider venom
what test distinguishes DIC from HELLP syndrome
PT and PTT test
DIC have prolonged PT and PTT
HELLP have normal PT and PTT
what test distinguishes DIC from other microangiopathies
D-dimer test
what are some lab findings for DIC
thrombocytopenia
schistocytes
PT and PTT prolonged
fibrinogen decreased
D-Dimer increased
this test is very useful for distinguishing DIC from other microangiopathic anemias
D-dimer
what is traumatic cardiac hemolytic anemia
hemolysis caused by prosthetic hearth valves

what are some lab findings in a patient with traumatic cardiac hemolytic anemia
anemia
schistocytes are very characteristic
increased reticulocytes
normal PLTs
LD, indirect bilirubin, plasma Hgb are increased
serum haptoglobin is decreased
chronic forms can have hemosiderinuria and decreased serum ferritin
what RBC morphology is TYPICALLY found on the peripheral smear of a patient with traumatic cardiac hemolytic anemia
schistocytes
what is exercise-induced hemoglobinuria
hemolysis caused by excessive exercise in long-distance endurance events (running, cycling, swimming, etc.)
what are some typical lab findings in exercise-induced hemoglobinuria?
anemia not usually caused unless hemoglobinuria is severe or recurrent
decrease serum haptoglobin
elevated free plasma hemoglobin
hemoglobinuria after exercise
slightly increased MCV and reticulocyte count
what are 4 mechanisms in a Plasmodium falciparum infection that can cause anemia
direct lysis of infected RBCs during reproduction of schizonts (parasite)
immune destruction of infected and noninfected RBCs in the spleen
inhibition of erythropoiesis and ineffective erythropoiesis
destruction of non-infected RBCs
most severe cases of malaria are due to …?
Plasmodium falciparumwhat
what other Plasmodium species cause severe disease
P. vivax and P. knowlesi
why does P. falciparum infection result in the most serious hemolysis of the various forms of malaria
all RBCs can be invaded
what causes baseiosis
infection with Babesia parasite from tick bite
what causes Clostridal sepsis
infection with Clostridium perfringens that can trigger DIC and renal failure
what is the morphology in peripheral smears of Clostridal sepsis
RBCs become spherical and toxic changes to neutrophils (blue-green crystals of death)

what causes Bartonellosis
infection by Bartonella bacilliformis bacteria from female sandfly endemic to Peru, Ecuador, and Colombia
also known as “Carrion disease”
what do Heinz bodies indicate
hemolysis caused by drugs or chemicals
what type of hemolysis shows Heinz bodies and bite cells
hemolysis caused by venom
what type of hemolysis has schistocytes, speherocytes, and micospherocytes
extensive burns
Heinz bodies/bite cells may be present in blood films from patients with hemolytic anemia caused by
poisonous venom
Renal failure is a prominent feature of:
hemolytic uremic syndrome
thrombotic thrombocytopenia purpura
Plasmodium malariae infection
march hemoglobinuria
hemolytic uremic syndrome (HUS)
Which one of the following is a feature found in all microangiopathic hemolytic anemias?
Pancytopenia
Thrombocytosis
Intravascular RBC fragmentation
Prolonged PT and PTT
intravascular RBC fragmentation
Which of the following tests yields results that are abnormal in DIC but are usually within the reference interval or just slightly abnormal in TTP and HUS?
Indirect serum bilirubin and serum haptoglobin
Prothrombin time and partial thromboplastin time
Lactate dehydrogenase and aspartate aminotransferase
Serum creatinine and serum total protein
prothrombin time and partial thromboplastin time (PT and PTT)
What RBC morphology is characteristically found within the first 24 hours following extensive burn injury?
Schistocytes and microspherocytes