Abdomen 3: Organs

0.0(0)
studied byStudied by 0 people
call kaiCall Kai
learnLearn
examPractice Test
spaced repetitionSpaced Repetition
heart puzzleMatch
flashcardsFlashcards
GameKnowt Play
Card Sorting

1/124

encourage image

There's no tags or description

Looks like no tags are added yet.

Last updated 4:35 PM on 2/5/26
Name
Mastery
Learn
Test
Matching
Spaced
Call with Kai

No analytics yet

Send a link to your students to track their progress

125 Terms

1
New cards

Be familiar with the anatomical position of the organs within the abdomen

knowt flashcard image
2
New cards

Label the parts of the stomach

knowt flashcard image
3
New cards

What provides parasympathetics to the stomach?

vagus nerve: via anterior and posterior vagal trunks on the stomach

4
New cards

What is the esophagus innervated by?

vagus nerve

5
New cards

Where do the contents of the stomach empty to?

duodenum (first part of small intestine)

<p>duodenum (first part of small intestine)</p>
6
New cards

Draw the contact points of the stomach to other viscera within the abdomen

Left is anterior right is posterior

note that the pancreas is the largest organ that will contact the stomach posteriorly

<p>Left is anterior right is posterior</p><p>note that the pancreas is the largest organ that will contact the stomach posteriorly</p>
7
New cards

Label the parts of the duodenum

knowt flashcard image
8
New cards

What portions of the duodenum are retroperitoneal and which are intraperitoneal?

1st and 4th portion are intraperitoneal, 2nd and 3rd portions are retroperitoneal

<p>1st and 4th portion are intraperitoneal, 2nd and 3rd portions are retroperitoneal</p>
9
New cards

What is the ligament of trietz?

Ligament found at the transition from duodenum to jejunum (suspensory ligament)

<p>Ligament found at the transition from duodenum to jejunum (suspensory ligament)</p>
10
New cards

Is the stomach intraperitoneal or retroperitoneal?

intraperitoneal

11
New cards

Describe the position of the duodenum within the abdomen and what it is in contact with

Anterior to inferior vena cava and aorta

Has intimate contact with the head of the pancreas (C shaped portion)

<p>Anterior to inferior vena cava and aorta</p><p>Has intimate contact with the head of the pancreas (C shaped portion)</p>
12
New cards

What part of the duodenum will bile and pancreatic ducts open into?

second part of duodenum (descending portion) through papilla

<p>second part of duodenum (descending portion) through papilla</p>
13
New cards

What type of secretions will come from the major papilla of the duodenum?

secretions from the main pancreatic duct and common bile duct (within 2nd portion of duodenum)

<p>secretions from the main pancreatic duct and common bile duct (within 2nd portion of duodenum)</p>
14
New cards

Compare and contrast the defining features of the jejunum and ileum

Jejunum is the first place that absorption will occur thus the walls will be thicker and have numerous folds

vasa recta=straight arteries

<p>Jejunum is the first place that absorption will occur thus the walls will be thicker and have numerous folds</p><p>vasa recta=straight arteries</p>
15
New cards

In which part of the small intestine will vasa recta be longer and which will be shorter?

Longer in jejunum, shorter in ileum

<p>Longer in jejunum, shorter in ileum</p>
16
New cards

Explain the differences in folds in teh jejunum and ileum

More folds found in the jejunum than the ileum as there is more absorption that occurs in the jejunum

folds increase surface area for absorption

<p>More folds found in the jejunum than the ileum as there is more absorption that occurs in the jejunum</p><p>folds increase surface area for absorption</p>
17
New cards

What is the cecum?

first part of the large intestine

<p>first part of the large intestine</p>
18
New cards

What allows passage from ileum to cecum?

iliocecal valve

<p>iliocecal valve</p>
19
New cards

What is the appendix?

Small tail-like projection that is connected to the cecum (blind pouch that's function is unknown)

<p>Small tail-like projection that is connected to the cecum (blind pouch that's function is unknown)</p>
20
New cards

What are taeniae coli?

longitudinal muscles that aid in the process of peristalsis

If you follow it will lead you to the appendix

<p>longitudinal muscles that aid in the process of peristalsis</p><p>If you follow it will lead you to the appendix</p>
21
New cards

What point is used to locate the appendix?

McBurney's point: 2/3 between belly button and ASIS

Note that location is variable

<p>McBurney's point: 2/3 between belly button and ASIS</p><p>Note that location is variable</p>
22
New cards

What are the characteristic features of the large intestine?

Taeniae coli

Haustra

Omental appendices

<p>Taeniae coli</p><p>Haustra</p><p>Omental appendices</p>
23
New cards

What are haustra?

"Puckers" of the large intestine which churn and constrict to move the food forward (due to taenaie coli)

<p>"Puckers" of the large intestine which churn and constrict to move the food forward (due to taenaie coli)</p>
24
New cards

Is the cecum intraperitoneal or retroperitoneal?

intraperitoneal

<p>intraperitoneal</p>
25
New cards

Is the appendix intraperitoneal or retroperitoneal?

intraperitoneal

<p>intraperitoneal</p>
26
New cards

List the parts of the large intestine and if they are intraperitoneal or retroperitoneal

Intraperitoneal: cecum, appendix, transverse colon, sigmoid colon

retroperitoneal: ascending and descending colon, and rectum

<p>Intraperitoneal: cecum, appendix, transverse colon, sigmoid colon</p><p>retroperitoneal: ascending and descending colon, and rectum</p>
27
New cards

Are the jejunum and ileum intraperitoneal or retroperitoneal?

intraperitoneal

28
New cards

What does the pectinate line divide?

Transition between abdomen and pelvis

Above is visceral, below is somatic

<p>Transition between abdomen and pelvis</p><p>Above is visceral, below is somatic</p>
29
New cards

What is the function of the transverse rectal folds?

act as shelves for feces (3)

<p>act as shelves for feces (3)</p>
30
New cards

Identify the indicated structures on the following radiograph

A: stomach

B: Ileum

C: Jejunum

<p>A: stomach</p><p>B: Ileum</p><p>C: Jejunum</p>
31
New cards

Identify indicated anatomy in the following radiograph

A: transverse colon

B: Sigmoid Colon

C: Cecum

F: Rectum

<p>A: transverse colon</p><p>B: Sigmoid Colon</p><p>C: Cecum</p><p>F: Rectum</p>
32
New cards

Identify the lobes of the inferior portion of the liver

knowt flashcard image
33
New cards

What is the porta hepatis?

Hilum of liver (transverse hepatic fissure) - contains components of hepatic artery, hepatic ducts and portal vein.

region of structures entering and exiting the liver

<p>Hilum of liver (transverse hepatic fissure) - contains components of hepatic artery, hepatic ducts and portal vein.</p><p>region of structures entering and exiting the liver</p>
34
New cards

Identify the anterior lobes of the liver

knowt flashcard image
35
New cards

Where will lymph from the bare area of the liver drain?

to inferior phrenic nodes which will drain to posterior mediastinal nodes

<p>to inferior phrenic nodes which will drain to posterior mediastinal nodes</p>
36
New cards

What ligament is deficient over the bare area of the liver?

coronary ligament: bare area lacks peritoneum

<p>coronary ligament: bare area lacks peritoneum</p>
37
New cards

Identify impressions on the inferior portion of the liver

Note that organs in direct contact with liver can spread cancer directly to the liver

<p>Note that organs in direct contact with liver can spread cancer directly to the liver</p>
38
New cards

Label/draw the biliary duct system

biliary duct system

<p>biliary duct system</p>
39
New cards

What joins to form the common bile duct?

common hepatic duct and cystic duct

<p>common hepatic duct and cystic duct</p>
40
New cards

What is the function of the gallbladder?

stores and concentrates bile

<p>stores and concentrates bile</p>
41
New cards

What is the ampulla of vater?

Union of the common bile duct and the pancreatic duct

<p>Union of the common bile duct and the pancreatic duct</p>
42
New cards

What is the function of the sphincter of oddi?

Controls the flow of bile into the duodenum

<p>Controls the flow of bile into the duodenum</p>
43
New cards

Where will the ampulla of vater open to?

duodenum through the major duodenal papilla

<p>duodenum through the major duodenal papilla</p>
44
New cards

Is the pancreas intraperitoneal or retroperitoneal?

retroperitoneal

<p>retroperitoneal</p>
45
New cards

What is another name for the ampulla of vater?

hepatopancreatic ampulla

<p>hepatopancreatic ampulla</p>
46
New cards

What opens to the minor duodenal papilla?

accessory pancreatic duct

<p>accessory pancreatic duct</p>
47
New cards

Identify indicated anatomy in the following radiograph

1.Right hepatic duct

2.Left hepatic duct

3.Common hepatic duct

4.Gallbladder

5.Cystic duct

6.Common bile duct

7.Pancreatic duct

8.Spinous process

<p>1.Right hepatic duct</p><p>2.Left hepatic duct</p><p>3.Common hepatic duct</p><p>4.Gallbladder</p><p>5.Cystic duct</p><p>6.Common bile duct</p><p>7.Pancreatic duct</p><p>8.Spinous process</p>
48
New cards

What are the main supplies of blood to the gut and what vertebral levels are they seen?

Celiac trunk: forgut (L1)

Superior Mesenteric artery: midgut (L1)

Inferior Mesenteric artery: hindgut (L3)

<p>Celiac trunk: forgut (L1)</p><p>Superior Mesenteric artery: midgut (L1)</p><p>Inferior Mesenteric artery: hindgut (L3)</p>
49
New cards

At what vertebral level will the aorta bifurcate?

L4

<p>L4</p>
50
New cards

At what vertebral level are the renal arteries seen?

L1-L2

<p>L1-L2</p>
51
New cards

What is included in the foregut?

stomach, spleen, liver, and gallbladder

will be supplied by the celiac trunk

<p>stomach, spleen, liver, and gallbladder</p><p>will be supplied by the celiac trunk</p>
52
New cards

What is included in the midgut?

distal duodenum, small intestine, ascending colon, and 2/3 of the transverse colon

<p>distal duodenum, small intestine, ascending colon, and 2/3 of the transverse colon</p>
53
New cards

What is included in hindgut?

1. left half of the one-third of transverse colon

2. descending colon

3. sigmoid colon

4. rectum

5. superior part of the anal canal

<p>1. left half of the one-third of transverse colon</p><p>2. descending colon</p><p>3. sigmoid colon</p><p>4. rectum</p><p>5. superior part of the anal canal</p>
54
New cards

Label the branches of the celiac trunk

knowt flashcard image
55
New cards

Where does the celiac trunk originate and what does it supply?

L1: supplies foregut

<p>L1: supplies foregut</p>
56
New cards

Draw where you would do Pringle's maneuver? What is in Calot's triangle?

knowt flashcard image
57
New cards

Where will anastamoses between foregut and midgut be seen?

between inferior and superior pancreaticoduodenal arteries!!

allows anastamoses between SMA and celiac trunk

<p>between inferior and superior pancreaticoduodenal arteries!!</p><p>allows anastamoses between SMA and celiac trunk</p>
58
New cards

Identify the blood supply to the duodenum

Note that the supraduodenal artery also supplies the head of the pancreas

<p>Note that the supraduodenal artery also supplies the head of the pancreas</p>
59
New cards

Identify pertinent anatomy in the following radiograph

knowt flashcard image
60
New cards

What is the portal triad?

hepatic artery proper, portal vein, common bile duct

<p>hepatic artery proper, portal vein, common bile duct</p>
61
New cards

Where is the portal triad located?

within the hepatoduodenal ligament

<p>within the hepatoduodenal ligament</p>
62
New cards

Explain the orientation of the structures within the portal triad

Common bile duct is the most lateral structure of the portal triad

Proper hepatic artery is medial

Portal vein is posterior to other two structures in the triad (aka: bile duct and hepatic artery proper are anterior to portal vein)

<p>Common bile duct is the most lateral structure of the portal triad</p><p>Proper hepatic artery is medial</p><p>Portal vein is posterior to other two structures in the triad (aka: bile duct and hepatic artery proper are anterior to portal vein)</p>
63
New cards

What does the superior mesenteric artery supply?

midgut

<p>midgut</p>
64
New cards

What does the right colic branch of the superior mesenteric artery supply?

ascending colon

<p>ascending colon</p>
65
New cards

What does the iliocolic branch of the superior mesenteric artery supply?

cecum

<p>cecum</p>
66
New cards

What branch of the SMA will supply the pancreas?

inferior pancreaticoduodenal artery

<p>inferior pancreaticoduodenal artery</p>
67
New cards

What are the differences in the vessels to the jejunum and ileum from the SMA?

knowt flashcard image
68
New cards

Identify branches of SMA and note what they supply

Ileocolic supplies cecum, also gives off appendicular artery to appendix

Right colic supplies ascending colon

Middle colic goes to the right colic flexure

<p>Ileocolic supplies cecum, also gives off appendicular artery to appendix</p><p>Right colic supplies ascending colon</p><p>Middle colic goes to the right colic flexure</p>
69
New cards

How are the branches of the SMA named?

based on where they are going not where they originate

<p>based on where they are going not where they originate</p>
70
New cards

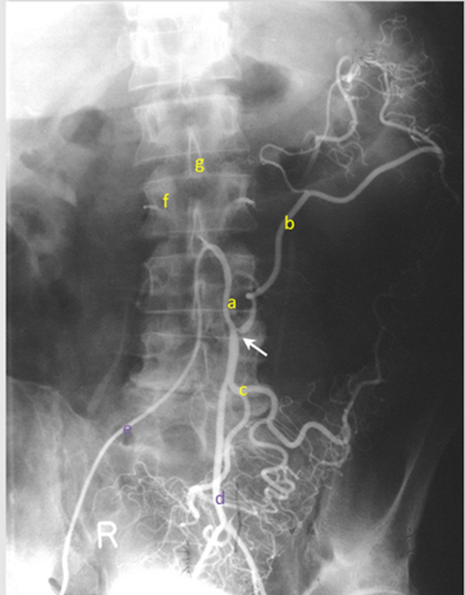
Identify pertinent anatomy in the following radiograph

SMA

<p>SMA</p>
71
New cards

What does the inferior mesenteric artery supply?

hindgut: from left colic flexure to rectum

<p>hindgut: from left colic flexure to rectum</p>
72
New cards

What is the most medial branch of the IMA?

superior rectal artery

<p>superior rectal artery</p>
73
New cards

Identify pertinent anatomy in the following radiograph

knowt flashcard image
74
New cards

What is the anastamoses between the midgut and hindgut?

Marginal artery of drummond: connection between IMA and SMA

<p>Marginal artery of drummond: connection between IMA and SMA</p>
75
New cards

Where do all the veins from the portal system drain?

portal vein then into the liver

<p>portal vein then into the liver</p>
76
New cards

Where will veins in the caval system drain?

inferior vena cava: bypasses the liver and heads straight back to the heart

<p>inferior vena cava: bypasses the liver and heads straight back to the heart</p>
77
New cards

What forms the portal vein?

The union of the superior mesenteric and the splenic veins

<p>The union of the superior mesenteric and the splenic veins</p>
78
New cards

What is carried to the liver in portal venous system?

nutrient rich blood from GI tract

broken down RBCs fromt he spleen for metabolism or storage

<p>nutrient rich blood from GI tract</p><p>broken down RBCs fromt he spleen for metabolism or storage</p>
79
New cards

What are the two capillary beds utilized by the portal venous system?

Utilizes 2 capillary beds

1st capillary bed is in the gut tube

2nd capillary bed is in the liver

<p>Utilizes 2 capillary beds</p><p>1st capillary bed is in the gut tube</p><p>2nd capillary bed is in the liver</p>
80
New cards

What is carried by the portal and hepatic veins?

Portal vein: carries nutrient rich blood from GI to liver

hepatic vein: carries filtered blood from liver back to the IVC

<p>Portal vein: carries nutrient rich blood from GI to liver</p><p>hepatic vein: carries filtered blood from liver back to the IVC</p>
81
New cards

What are the sites of porto-caval anastamosis?

Note that the three highlighted can exhibit increased pressure in patients with liver cirrhosis

<p>Note that the three highlighted can exhibit increased pressure in patients with liver cirrhosis</p>
82
New cards

What is shown in the following image?

Caput medusa

portal vein affected is paraumbilical vein: cannot drain into portal system, thus they drain into the superior, inferior, and thoracoepigastric veins

<p>Caput medusa</p><p>portal vein affected is paraumbilical vein: cannot drain into portal system, thus they drain into the superior, inferior, and thoracoepigastric veins</p>
83
New cards

What is shown in the following image?

Hemmrhoids

Backing up of blood into the inferior rectal vein

<p>Hemmrhoids</p><p>Backing up of blood into the inferior rectal vein</p>
84
New cards

Idedntify the indicated structures on the following radiograph

1. IVC

2. Descending Aorta

3. Spleen

4. Stomach

5. Portal vein (bigger than proper hepatic artery)

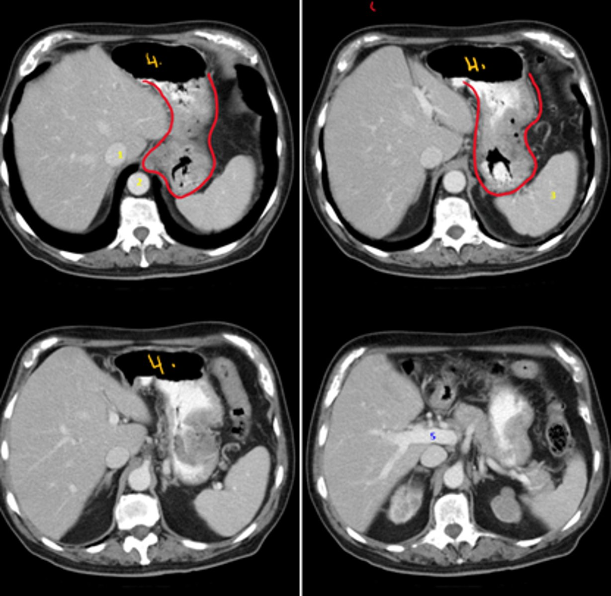
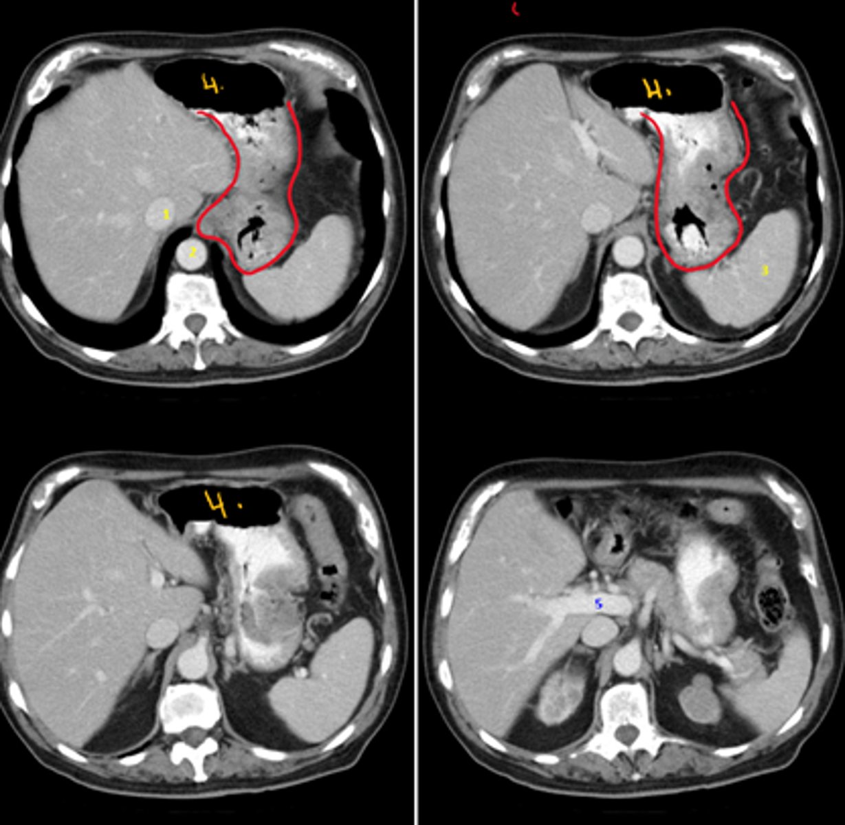
growth shown in red: gastric cancer

<p>1. IVC</p><p>2. Descending Aorta</p><p>3. Spleen</p><p>4. Stomach</p><p>5. Portal vein (bigger than proper hepatic artery)</p><p>growth shown in red: gastric cancer</p>
85
New cards

What structures are at risk of spread of the following growth?

Structures it will spread: celiac lymph nodes to liver, local to liver and spleen, venous drainage to liver (thus the liver has two methods of spread from the stomach)

gastric cancer

<p>Structures it will spread: celiac lymph nodes to liver, local to liver and spleen, venous drainage to liver (thus the liver has two methods of spread from the stomach)</p><p>gastric cancer</p>
86
New cards

Identify pertinent anatomy of the following radiograph

knowt flashcard image
87
New cards

Identify the pertinent anatomy in the following radiograph

A: Right portal vein

B: Left portal vein

C: Portal Vein

D: Splenic Vein

E: Inferior mesenteric vein

F: Superior mesenteric vein

<p>A: Right portal vein</p><p>B: Left portal vein</p><p>C: Portal Vein</p><p>D: Splenic Vein</p><p>E: Inferior mesenteric vein</p><p>F: Superior mesenteric vein</p>
88
New cards

Identify pertinent anatomy of the following radiograph

1. Celiac Trunk 2. Splenic artery 3. Spleen 4. Left Gastric 5. Common Hepatic 6. Proper Hepatic 7. Gastroduodenal 8. Pancreaticoduodenal (don't have to be able to identify for test!) 9. Right gastroepiploic 10. Left gastroepiploic

<p>1. Celiac Trunk 2. Splenic artery 3. Spleen 4. Left Gastric 5. Common Hepatic 6. Proper Hepatic 7. Gastroduodenal8. Pancreaticoduodenal (don't have to be able to identify for test!) 9. Right gastroepiploic 10. Left gastroepiploic</p>
89
New cards

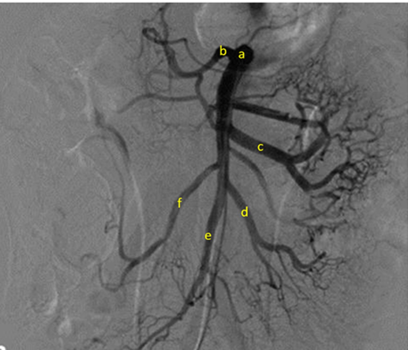
Identify pertinent anatomy of the following radiograph

A: SMA

B: Middle Colic

C:Jejunal arteries

D: Ileal arteries

E: Iliocolic

F: Right colic

<p>A: SMA</p><p>B: Middle Colic</p><p>C:Jejunal arteries</p><p>D: Ileal arteries</p><p>E: Iliocolic</p><p>F: Right colic</p>
90
New cards

Draw/identify blood supply to the abdomen. Where are the SMA, IMA, celiac trunk? What are the branches?

Draw as much as you know!

knowt flashcard image
91
New cards

What are the important portal-naval anastomoses?

knowt flashcard image
92
New cards

What is the venous drainage of the abdomen?

knowt flashcard image
93
New cards

Where can the esophagus be compressed?

1. arch of aorta

2. left main bronchus

3. the diaphragm

94
New cards

Where is the esophagus?

begins at the level of the cricoid cartilage and the CV6 and traverses the diaphragm at TV10. ends at the TV11 by joining the stomach

situated left of midline between trachea and vertebral column. passes anterior to aorta before traversing diaphragm. then emerges left of midline and is continuous with cardiac portion of stomach.

95
New cards

What is the vasculature and inn. of the esophagus?

vasculature - arteries arise from the inferior thyroid, descending aorta, left gastric artery and the inferior phrenic; veins enter the inferior thyroid, azygos, hemiazygos, and gastric veins

innervation - skeletal muscle is supplied by the vagus; autonomics are derived from the vagus and sympathetic branches from the thoracic part of the sympathetic chain

96
New cards

What are the 2 functional sphincters assoc. with the stomach?

cardiac sphincter - located at the opening of the esophagus into the stomach

pyloric sphincter - located at the opening of the stomach into the duodenum

97
New cards

What are gastric ulcers?

results from erosion of the lignin got the stomach; can erode through the walls and damage adjacent; if a major artery is affected significant blood loss and death can result

98
New cards

What is Barrett's esophagus?

replacement of the esophageal epithelium with gastric epithelium because of chronic reflux

99
New cards

What mechanisms should prevent reflux of stomach acid into esophagus?

1. lower esophageal sphincter

2. folds of gastric mucosa, forming a "seal"

3. angle fo the cardiac orifice

4. diaphragm - right crus

100
New cards

What are duodenal ulcers?

most commonly along the posterior wall of this segment; complete ulceration of the wall will result in peritonitis and damage adjacent organs

Explore top flashcards