1/49
Looks like no tags are added yet.
Name | Mastery | Learn | Test | Matching | Spaced | Call with Kai |
|---|
No analytics yet
Send a link to your students to track their progress
what are histiocytes?
general term for dendritic cells, monocytes, and macrophages
what are the functions of histiocytes?
-phagocytosis (macrophages)
-antigen presentation (dendritic cells)
-interact with lymphocytes
what is similar between the different histiocytic proliferative diseases?
all derived from cells of the same lineage
what cells are histiocytomas derived from?
langerhans dendritic cells
what cells are histiocytic sarcomas derived from?
interstitial dendritic cells
what cells are hemophagocytic histiocytic sarcomas derived from?
macrophages
what is reactive histiocytosis?
a non-neoplastic process, with 2 main forms:
1. cutaneous (skin or SQ)
2. systemic (skin, LN, BM, liver, spleen, lung)

how is reactive histiocytosis treated?
immunosuppressive drugs

what are cutaneous histiocytomas?
benign tumors of langerhans DCs in the skin, grow rapidly (1-4 weeks)

how do cutaneous histiocytomas commonly present?
often a single cutaneous lesion on young dogs (under 3 yrs), can also occur as multiple tumors
can also be aggressive (multiple, systemic)

where is the most common location of cutaneous histiocytomas?
cranial half of the body (head/pinna)

how are cutaneous histiocytomas diagnosed?
-history, presentation
-cytology (round cell tumors, exfoliate well)
-IHC stains (best on frozen sections) *typically not used as cytology is often diagnostic

how are cutaneous histiocytomas treated?
often spontaneously regress within 1-2 months
-surgical resection if they dont go away on their own
-cryosurgery

what mediates cutaneous histiocytoma regression?
mature lymphocyte infiltration
what is the prognosis of cutaneous histiocytomas?
excellent
what are histiocytic sarcomas?
malignant proliferation of histiocytic cells (interstitial DCs)

what breeds are predisposed to histiocytic sarcomas?
bernies (male bernies may be pre-disposed)
flat-coated retrivers
rotties
labs
goldens

what is the common age of dogs developing histiocytic sarcomas?
middle aged-older (as young as 3 years of age)
what are the different forms of histiocytic sarcoma?
may be localized or disseminated:
1. localized histiocytic sarcoma
2. disseminated histiocytic sarcoma
3. hemophagocytic histiocytic sarcoma

what are the common sites of localized histiocytic sarcoma?
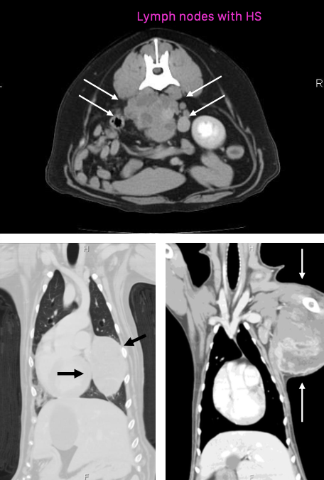
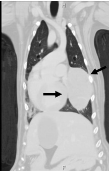
lungs, spleen, skin/SQ, periarticular (joint capsule), liver, stomach, CNS (locally invasive and metastatic)
60-90% in periarticular
38-60% in skin and SQ

what is disseminated histiocytic sarcoma?
aka malignant histiocytosis
aggressive, with multiple sites of involvement

what is hemophagocytic histiocytic sarcoma?
arise from macrophages in spleen or bone marrow, very aggressive
tumors will phagocytose material such as RBCs
(sometimes difficult to differentiate with IMHA)
what are the clinical signs of histiocytic sarcoma?
-signs vary depending on site of involvement
-non-specific: lethargy, poor appetite, weight loss
-other: visible mass, lameness, cough

how is histiocytic sarcoma diagnosed?
cytology or histology (exfoliates well bc round cell)
-often special stains needed to confirm (IHC, ICC)
-CD204 → more specific to histiocytes than Iba-1
-Iba-1
-CD18 → either LSA or HS so use CD3 & CD79a to r/o
Flash frozen samples further differentiate with CD1, CD11a, CD204, iba-1

how are histiocytic sarcomas staged?
1. lab work (CBC, chem, UA)
2. imaging of chest and abdomen (CT scan)
3. LN aspirates
4. +/- bone marrow aspirates

what blood work abnormalities are seen with localized histiocytic sarcoma?
often normal
what is the treatment for localized histiocytic sarcoma?
1. surgery (aggressive surgical resection)
2. systemic therapy (chemotherapy)
what chemotherapy is used to treat localized histiocytic sarcoma?
lomustine (CCNU), or lomustine and doxorubicin combo therapy

what is the MST of localized histiocytic sarcoma without treatment?
3-4 month survival if left untreated
what is the MST of localized histiocytic sarcoma treated with surgery alone?
surgery alone MST= 180 days (6months)
(extends non-treatment time by 2-3 months)
what is the MST of localized histiocytic sarcoma treated with surgery and chemotherapy?
sx and chemo MST= 6-12+ months
MST with mets: 253 days (8 months)
MST w/o mets: 980 days (2.7 years)
what are the anatomic predilection sites for disseminated histiocytic sarcoma?
-multi-organ
-LNs, liver, lung, spleen most common

what blood work abnormalities are seen with disseminated histiocytic sarcoma?
variable
what is the treatment for disseminated and hemophagocytic histiocytic sarcoma?
typically systemic therapy only:
-lomustine (CCNU)
-lomustine and doxorubicin combo therapy
surgery often not recommended unless palliative benefit

what is the MST of disseminated histiocytic sarcoma without treatment?
no tx MST= 1-2 months
what is the MST of disseminated histiocytic sarcoma treated with chemotherapy?
chemo MST= 5-6 months if respond to chemo (CCNU or dxorubicin)
what are the anatomic predilection sites for hemphagocytic histiocytic sarcoma?
spleen (+/- liver)
-bone marrow, lung, LN less common
what blood work abnormalities are seen with hemophagocytic histiocytic sarcoma?
hemophagocytic syndrome:
-anemia (regenerative)
-thrombocytopenia
-hypoalbuminemia
-hypocholesterolemia

what is the MST of hemophagocytic histiocytic sarcoma?
poor response to chemo, 1-2 month MST
are histiocytic neoplasms common in cats?
no, they are rare
what are the subtypes of histiocytic diseases identified in cats?
-histiocytic sarcoma
-hemophagocytic syndrome
-feline progressive histiocytosis (most common)
-pulmonary langerhan cell histiocytosis

how do cats with histiocytic sarcomas usually present?
usually present with disseminated disease (spleen, bone marrow, liver most commonly)

what lab abnormalities are commonly seen in cats with histiocytic sarcomas?
anemia and thrombocytopenia are common

what is the treatment for feline histiocytic sarcomas?
effective treatment is not known ☹
lomustine chemo has been reported
what is feline progressive histiocytosis?
proliferation of interstitial dendritic cells
what age of cats are seen to have feline progressive histiocytosis?
middle-aged to older cats (7-17 years)
what lesions are seen with feline progressive histiocytosis?
diffusely spread plaques and nodules on skin
locations: head, extremities, followed by trunk

what is the progression of feline progressive histiocytosis?
nodules/plaques can wax and wane, but spontaneous remission has not been reported
cats often have disseminated disease to internal organs (spleen, liver, bone marrow)

what is the treatment for feline progressive histiocytosis?
chemotherapy, immunosuppression, and surgery are not successful in the long-term ☹
what is the prognosis of feline progressive histiocytosis?
long term prognosis is poor
(MST ranged from 41-1449 days in one study, another study MST 96 days)