1/20
identification of the organ and the diagnosis of it
Name | Mastery | Learn | Test | Matching | Spaced | Call with Kai |
|---|
No analytics yet
Send a link to your students to track their progress

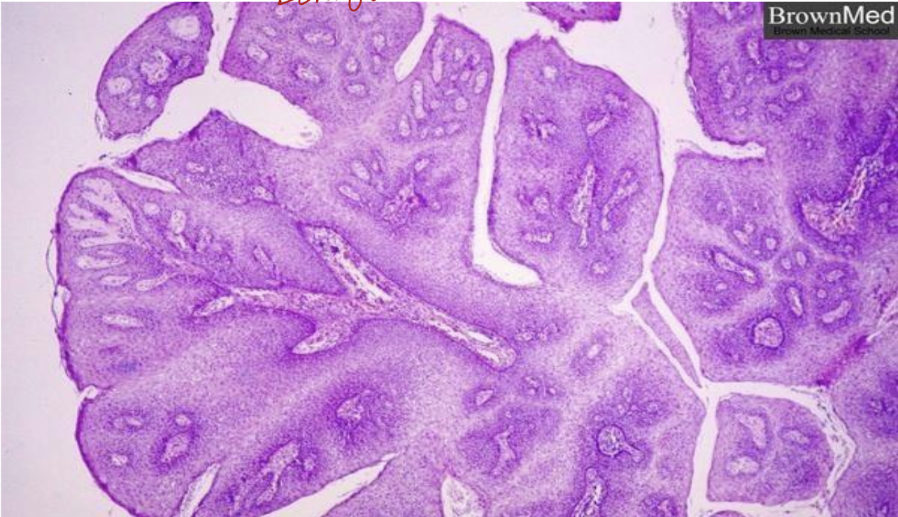
Identify the the diagnosis
squamous cell papilloma

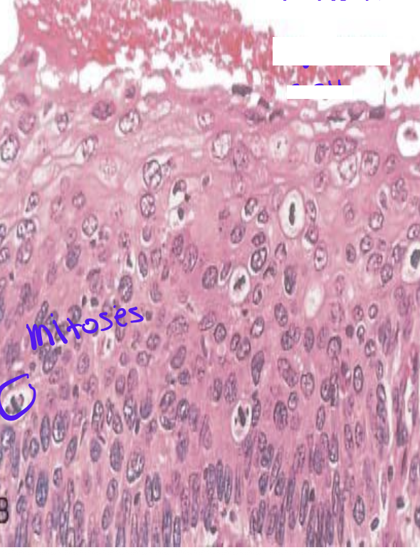
Identify the organ and the diagnosis in this format: diagnosis, organ
adenoma, colon

Identify the organ and the diagnosis in this format: diagnosis, organ
cystadenoma, ovary

Identify the organ and the diagnosis in this format: diagnosis, organ
leiomyomata, uterus

Identify the organ and the diagnosis in this format: diagnosis, organ
lipoma, fatty tissue

Identify the organ and the diagnosis in this format: diagnosis, organ
fibroadenoma, breast

Identify the organ and the diagnosis in this format: diagnosis, organ
mature cystic teratoma, ovary

Identify the organ and the diagnosis in this format: diagnosis, organ
carcinoma in situ, cervix

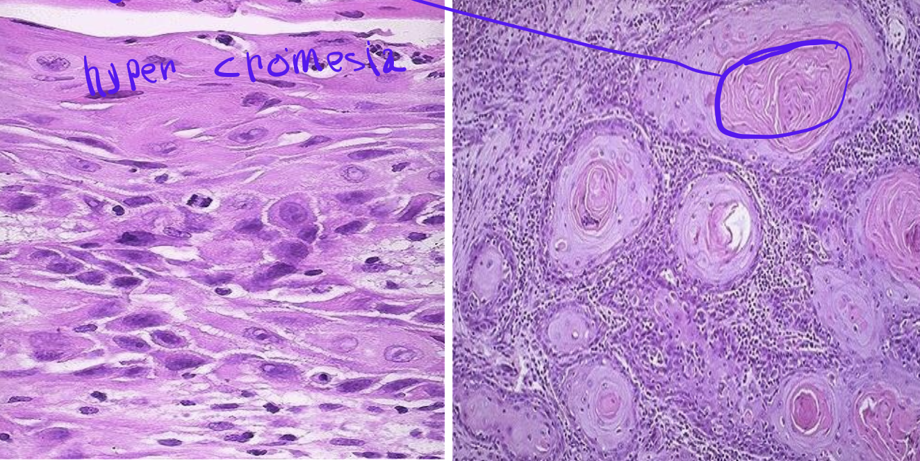
Identify the organ and the diagnosis in this format: diagnosis, organ
basal cell carcinoma, skin


Identify the organ and the diagnosis in this format: diagnosis, organ
carcinoma cervix, uterus

Identify the organ and the diagnosis in this format: diagnosis, organ
squamous cell carcinoma, skin

Identify the organ and the diagnosis in this format: diagnosis, organ
bronchogenic carcinoma, lung

Identify the organ and the diagnosis in this format: diagnosis, organ
carcinoma, breast

Identify the organ and the diagnosis in this format: diagnosis, organ
fungating carcinoma, rectum

Identify the organ and the diagnosis in this format: diagnosis, organ
adenocarcinoma, colon

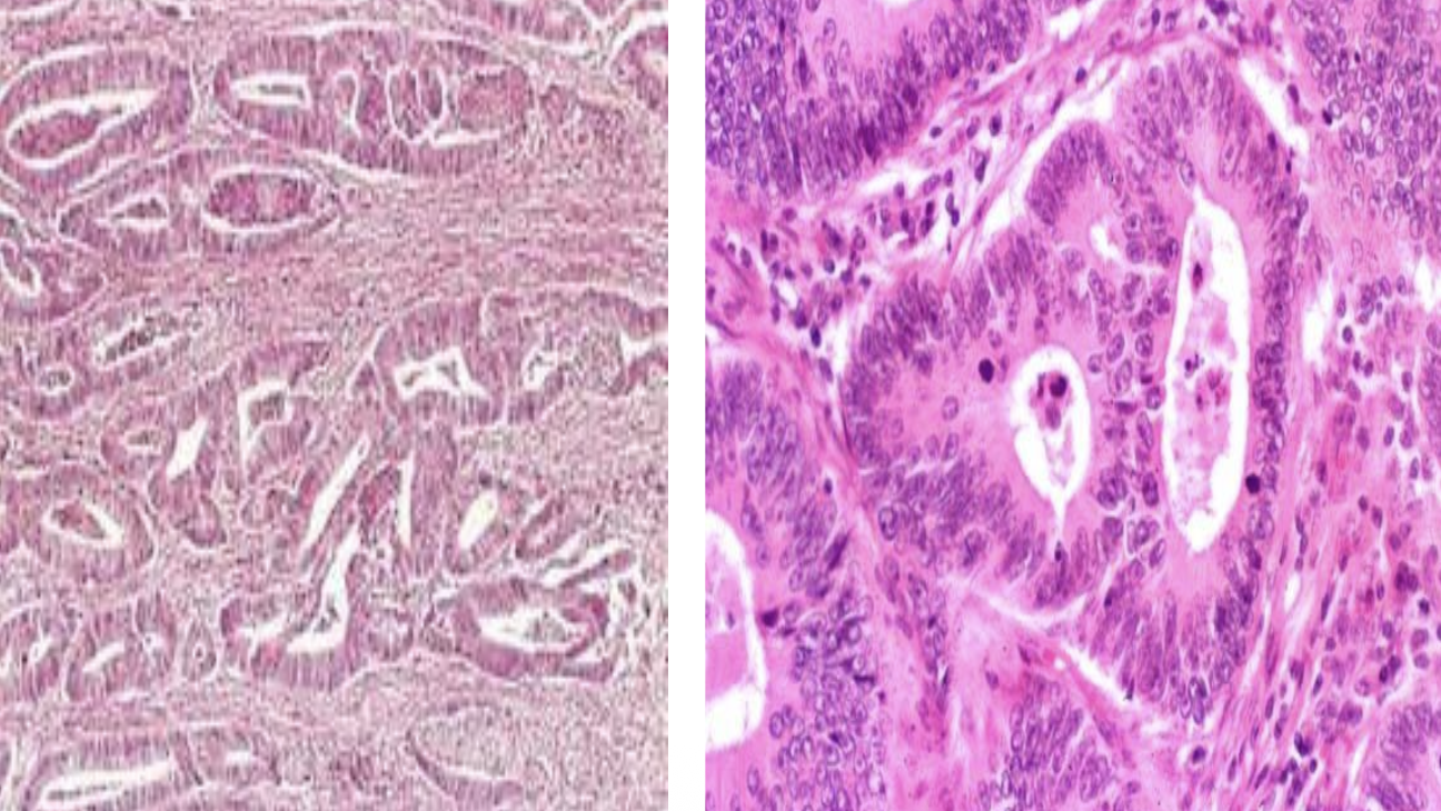
Identify the organ and the diagnosis in this format: diagnosis, organ
mucoid adenocarcinoma, colon

Identify the organ and the diagnosis in this format: diagnosis, organ
metastatic carcinoma, lymph node

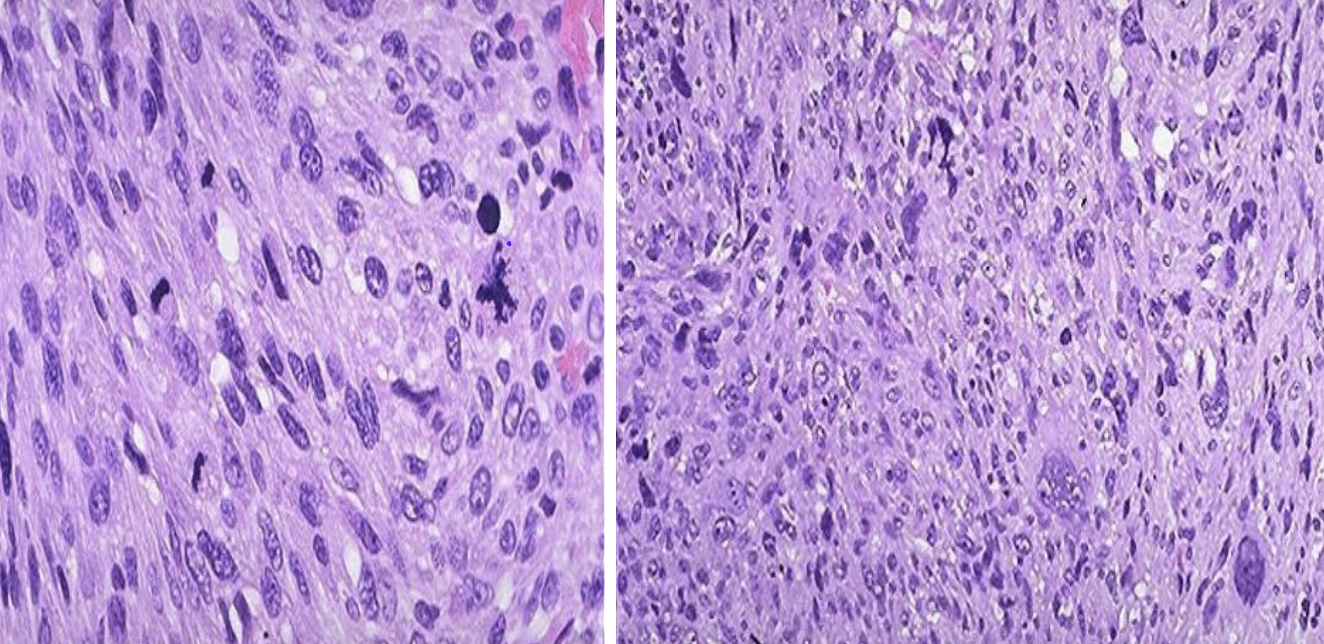
Identify the organ and the diagnosis in this format: diagnosis, organ
osteosarcoma, bone

Identify the organ and the diagnosis in this format: diagnosis, organ
leiomyosarcoma, uterus

Identify the organ and the diagnosis in this format: diagnosis, organ
metastatic carcinoma, liver

Identify the organ and the diagnosis in this format: diagnosis, organ
retinoblastoma, eye