1/32
Looks like no tags are added yet.
Name | Mastery | Learn | Test | Matching | Spaced | Call with Kai |
|---|
No analytics yet
Send a link to your students to track their progress
define Odontogenic
tissue that forms teeth
An ameloblastoma is
benign slow growing aggressive tumor
ameloblastoma locations
-Mandible -80%
-posterior regions
ameloblastoma radiographically theres 5
-at early stage uniocular
-multilocular radiolucency's (honeycomb, soap bubbles)
-cortical thinning of bone
-reabsorption of adjacent tooth roots
-Tooth displacement
ameloblastoma population
young to middle aged adults (20yrs)

ameloblastoma
Adenomatoid odontogenic tumor (AOT) is
and encapsulated benign tumor
Adenomatoid odontogenic tumor (AOT) can be also called
odontogenic adenomatoid tumor
Adenomatoid odontogenic tumor (AOT) locations
-maxilla
-anterior (80%)
-associated with impacted teeth
Adenomatoid odontogenic tumor (AOT) radiographically
unilocular radiolucency's with "snowflakes"
Adenomatoid odontogenic tumor (AOT) population
females (under 20)

Adenomatoid odontogenic tumor (AOT)
What is the MOST common odontogenic tumor
Odontoma
A compound odontoma resembles
small teeth
compound odontoma location is the
anterior jaw
compound odontoma radiographically is
cluster of miniature teeth
compound odontoma population is
10-20 age
Complex odontoma is an
odontogenic tissues but NOT having small tooth appearing structures
Complex odontoma location is
posterior jaw
Complex odontoma radiographic
radiopaque mass
Complex odontoma population
10-20 age

Complex odontoma

Compound odontoma
An Ameloblastic fibroma is
benign non-encapsulated tumor
Ameloblastic fibroma location
posterior mandible
Ameloblastic fibroma radiographic
-unilocular/ multilocular radiolucency
-associated with unerupted teeth
Ameloblastic fibroma population
males (10-20)

Ameloblastic fibroma
Ameloblastic Fibro-Odontoma is a
tumor with features of ameloblastic fibroma and odontoma
Ameloblastic Fibro-Odontoma location is
posterior mandible
Ameloblastic Fibro-Odontoma radiographically
well defined radiolucency and radiopaque component
Ameloblastic Fibro-Odontoma population
under 15 years

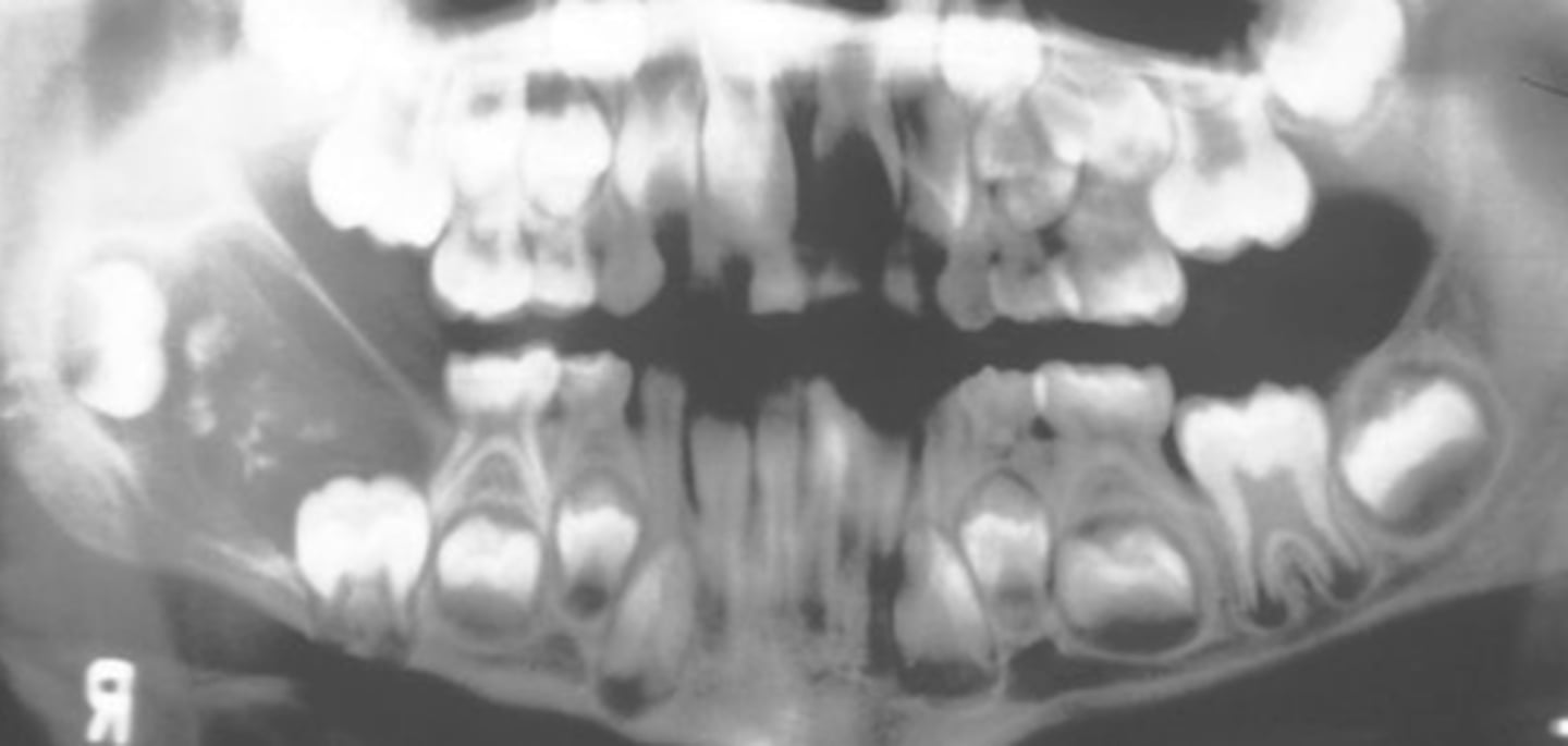
what is that on the rt side posterior mandible
Ameloblastic Fibro-Odontoma