1/69
Looks like no tags are added yet.
Name | Mastery | Learn | Test | Matching | Spaced | Call with Kai |
|---|
No analytics yet
Send a link to your students to track their progress
what developmental lesion is caused from a short lingual frenum that varies from abnormal attachment of the frenum to complete fusion of the ventral tongue to the floor of the mouth?
ankyloglossia

what developmental lesion usually causes limited clinical problem, requires no therapy, but may be treated surgically in severe cases?
ankyloglossia

what developmental lesion is caused by the failure of the thyroid gland to descend properly?
lingual thyroid

what developmental lesion appears as a vascular-appearing soft tissue enlargement in the area of the foramen cecum?
lingual thyroid

(t/f) in 70% of cases, the lingual thyroid is the patient's only thyroid tissue
true
how are lingual thyroids treated?
excise lingual thyroid tissue and autotransplant to different place in the body
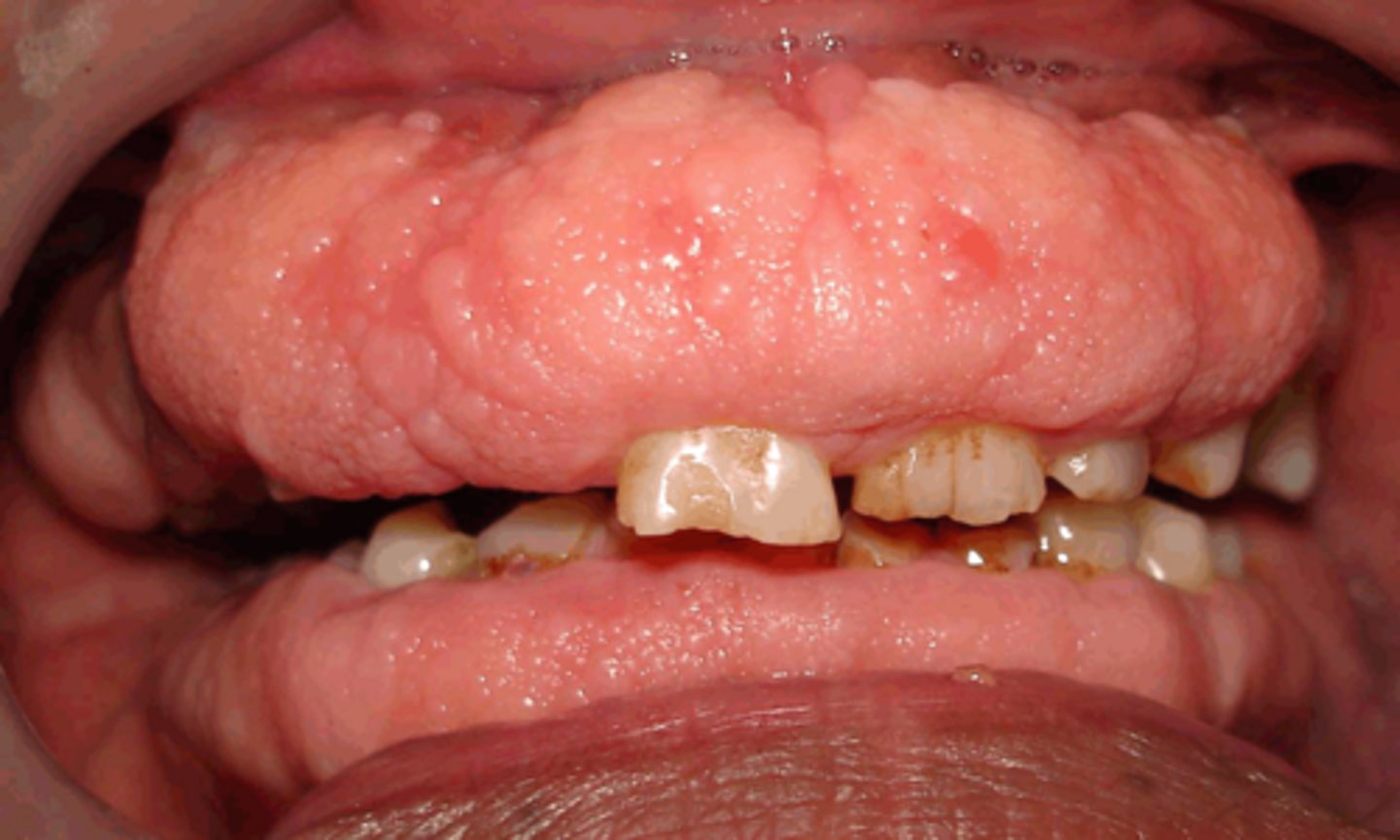
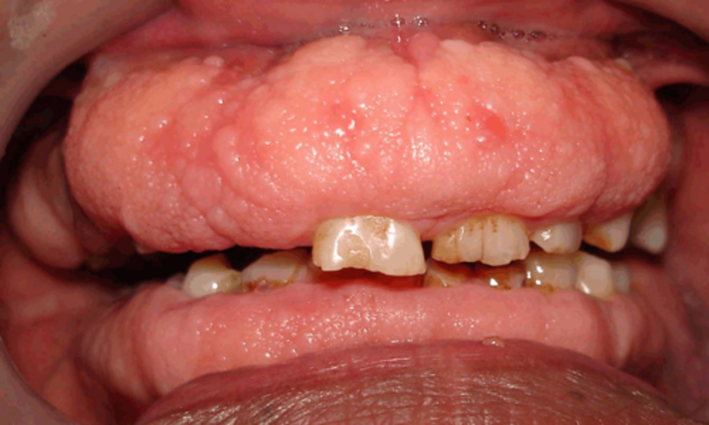
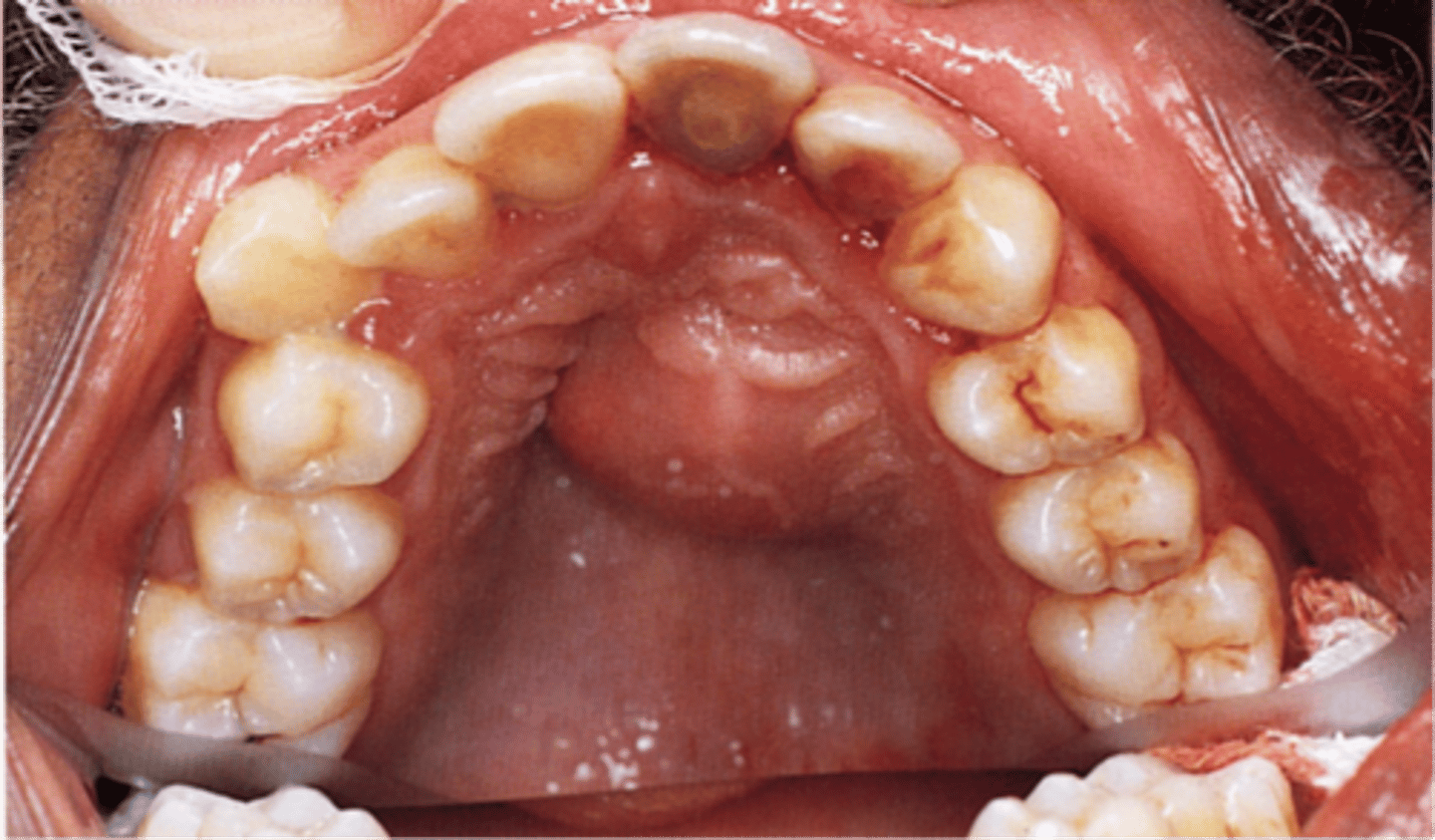
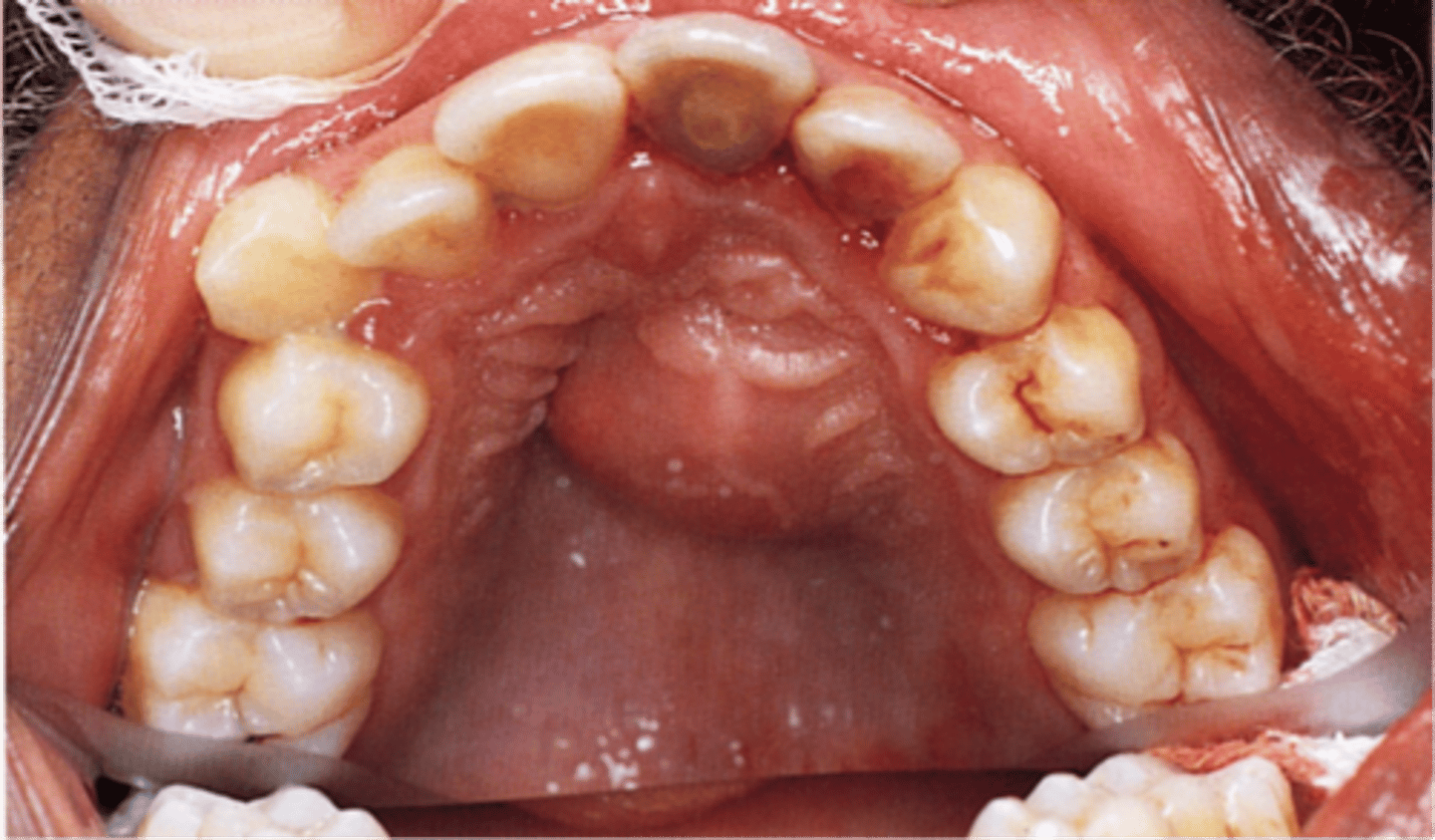
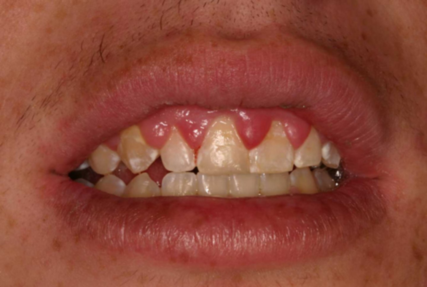
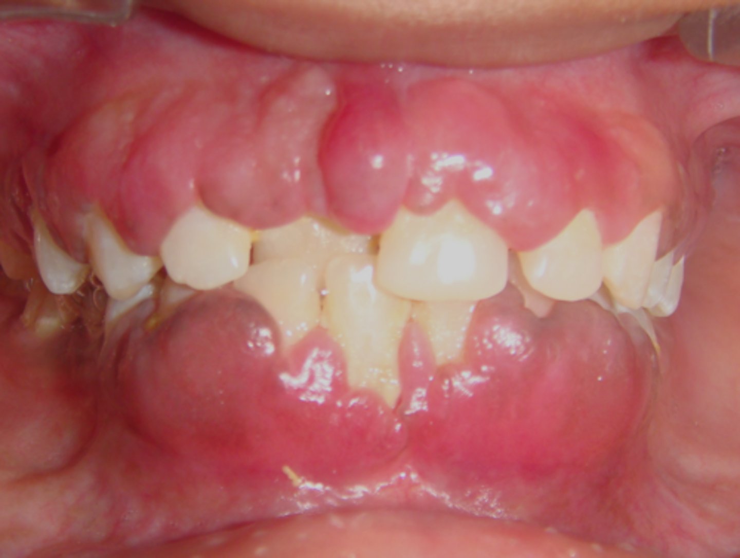
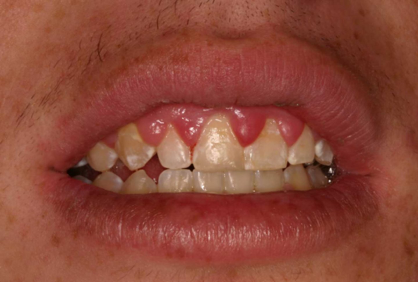
what developmental lesion is a slowly progressive gingival enlargement caused by collagenous overgrowth of gingival tissue (familial or idiopathic)?
gingival fibromatosis

what developmental lesion can interfere with lip closure, eruption of subsequent teeth, and treated with a gingivectomy and rigorous oral hygiene?
gingival fibromatosis

(t/f) gingival fibromatosis is localized to one quadrant and mainly affects the mandible
false; gingival fibromatosis can be generalized or localized to one or more quadrants and mainly affects the maxilla (especially the palate)

what type of soft tissue enlargements result from an injury or history of injury?
reactive soft tissue enlargement
what type of soft tissue enlargements are symptomatic, painful, have a rapid growth rate, may fluctuate in size, and usually regress?
reactive soft tissue enlargement
what type of soft tissue enlargements are sometimes associated with tender lymphadenopathy and systemic manifestations and results from an infection, chemical trauma, allergy, or medication?
reactive soft tissue enlargement
what reactive lesion is also known as a gum boil (periodontal abscess)?
parulis/sinus track

what reactive lesion is a gingival abscess secondary to periapical pathosis?
parulis/sinus track

what reactive lesion is a focus of pus in the gingiva that is typically white-yellow and associated with pain?
parulis/sinus track

how is a parulis/sinus track treated?
treating the underlying condition (periodontal pocket/non-vital tooth)

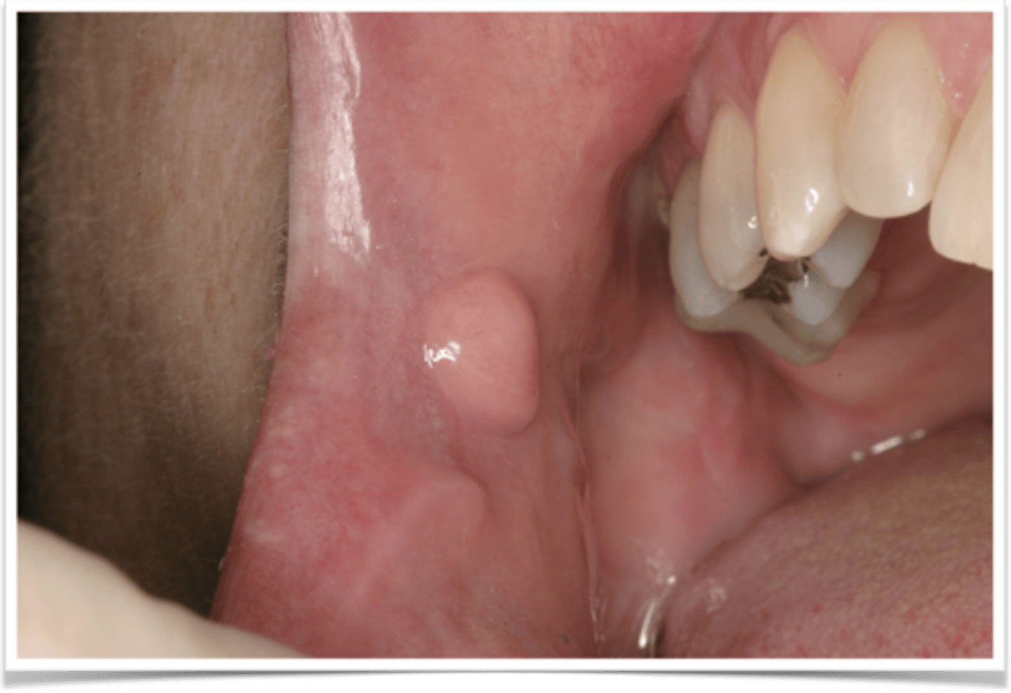
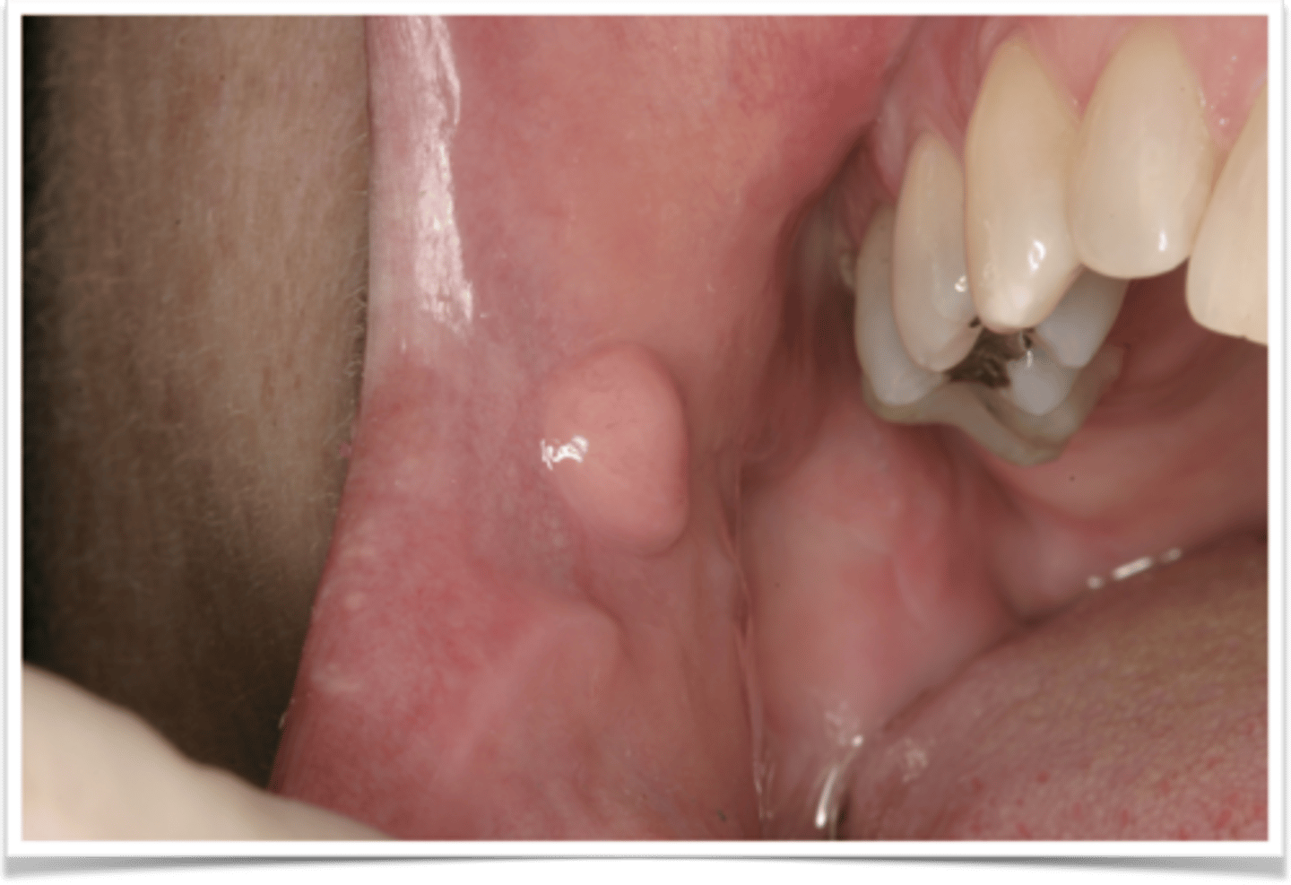
what reactive lesion is also known as a fibroma or irritation fibroma?
fibrous hyperplasia

what reactive lesion is a reactive hyperplasia of fibrous connective tissue caused by chronic irritation or trauma mostly seen in the buccal mucosa along the bite line?
fibrous hyperplasia

what reactive lesion is a well-circumscribed, slowly growing, smooth-surfaced, sessile, pink nodule that is typically firm and may be ulcerated or inflamed?
fibrous hyperplasia

how is fibrous hyperplasia treated?
surgical excision

what type of fibroma can occur on the hard palate under a denture?
denture-leaf fibroma

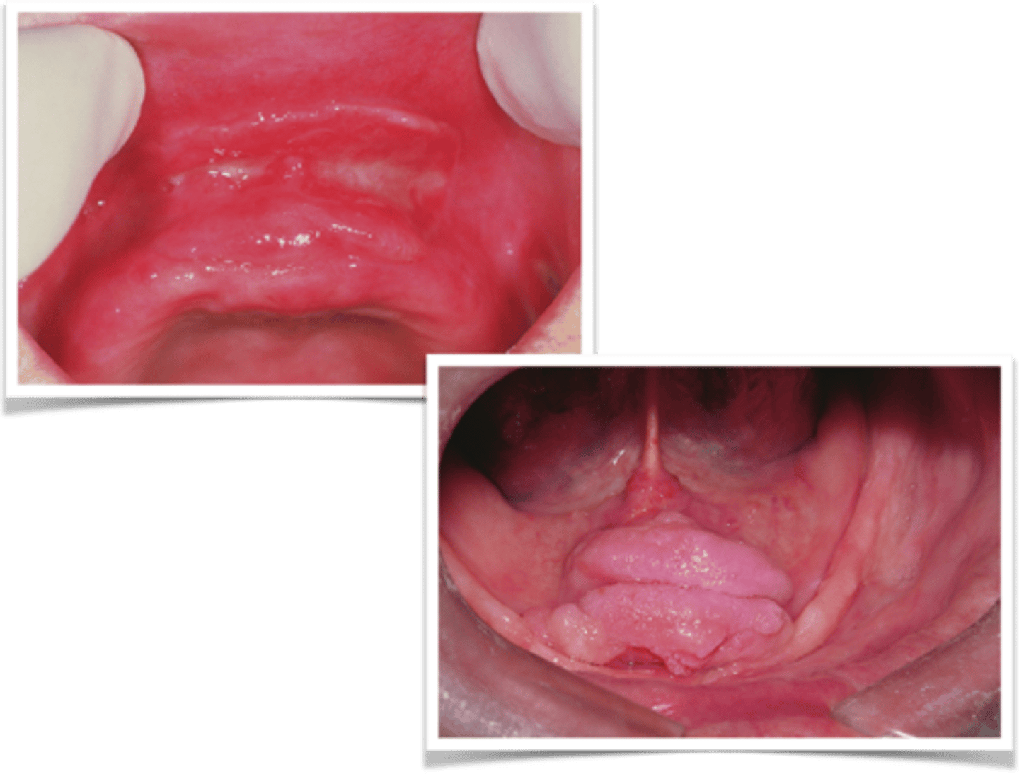
what reactive lesion is a denture-related reactive soft tissue lesion that represents both a fibrous and epithelial hyperplasia?
inflammatory papillary hyperplasia

what reactive lesion results from poorly fitting dentures and wearing dentures 24 hours a day?
inflammatory papillary hyperplasia

what reactive lesion causes numerous red, edematous papillary projections associated with dentures?
inflammatory papillary hyperplasia

what reactive lesion is managed by discontinuing frequent wearing of dentures, using antifungal medications, excising large lesions, and relining or constructing new dentures?
inflammatory papillary hyperplasia; good prognosis
what reactive lesion is also known as epulis fissuratum?
inflammatory fibrous hyperplasia

what reactive lesion is a tumor-like hyperplasia of fibrous connective tissue that develops in association with ill-fitting dentures?
inflammatory fibrous hyperplasia

what reactive lesion forms a fibrous hyperplasia from denture irritation in the maxilla and mandible, especially in the anterior portions?
inflammatory fibrous hyperplasia

what reactive lesion causes the slow growth of firm/compressible rolls of tissue associated with a denture flange that may be ulcerated and inflamed?
inflammatory fibrous hyperplasia

what reactive lesion is the same as an irritation fibroma, but with a fissure?
inflammatory fibrous hyperplasia

what reactive lesion is an abnormal growth of tissue secondary to medications affecting collagen remodeling and degradation?
drug-related gingival hyperplasia

what reactive lesion is associated with anticonvulsants (phenytoin), CCB (nifedipine), and cyclosporine?
drug-related gingival hyperplasia

what reactive lesion can be prevented or limited with rigorous hygiene?
drug-related gingival hyperplasia; cyclosporine medications require least hygiene

(t/f) smoking elevates hyperplasia in drug-related gingival hyperplasia
true
(t/f) the only way of treating drug-related gingival hyperplasia is to stop all medication use
false; substitution of drugs may be beneficial, but if all else fails, surgery is an option
what type of soft tissue enlargements are persistent and progressive?
tumors
what type of soft tissue enlargements are often asymptomatic?
tumors
what type of tumors are well circumscribed with well-defined borders, slowly growing (months to years), and asymptomatic?
benign
what type of tumors grow rapidly (weeks to months), causes ulcerations, fixed to surrounding tissues, and more often symptomatic?
malignant
(t/f) soft tissue cysts are benign tumors
false; soft tissue cysts are not true benign tumors, but they have similar historical and clinical features
papilloma, verruca vulgaris, and condyloma acuminatum are all ______ caused by ____
warts, HPV
warty epithelial tumors appear (white/red), (firm/soft), (rough/smooth), (fixed/movable), (non-painful/painful), and (non-persistent/persistent)
white, firm, rough (cauliflower), fixed, non-painful, persistent
what epithelial benign tumor is pale, rough, exophytic, and pedunculated?
papilloma

what epithelial benign tumor forms multiple finger-like projections with a pedunculated base, has a hyperkeratinized epithelial surface and central cores with connective tissue and blood?
papilloma

how are papillomas treated?
excision

what epithelial benign tumor is similar to papillomas, but has a sessile base and more common on skin?
verruca vulgaris

how is oral verruca vulgaris treated? how is skin verruca vulgaris treated?
excision; cryosurgery, chemical cautery, laser ablation
what epithelial benign tumor usually appears with multiple lesions most commonly in the anogenital area and is typically sexually transmitted?
condyloma acuminatum

what epithelial benign tumor is high risk due to being associated with HPV-16, HPV-18, and HPV-31?
condyloma acuminatum

how is condyloma acuminatum treated?
excisional biopsy
what epithelial benign tumor (wart) has a common recurrence after excision?
condyloma acuminatum

what epithelial benign tumor is extremely common in older people and due to the benign proliferation of epidermal basal cells?
seborrheic keratosis

what epithelial benign tumor has an unknown cause (but correlated with chronic sun exposure) and does NOT occur in the mouth?
seborrheic keratosis

what epithelial benign tumor appears on the skin of the face, trunk, and extremities in the 4th decade and later?
seborrheic keratosis

what epithelial benign tumor are macules that are fissured, verrucous plaques with a stuck-on appearance?
seborrheic keratosis

(t/f) soft tissue cysts are persistent and progressive and their size is a clue to diagnosing what the lesion is reacting to
false; soft tissue cysts are persistent and progressive and their location is a clue to diagnosing what the lesion is reacting to
what are the 3 layers of a cyst?
1. connective tissue wall
2. epithelial layer/lining
3. lumen (often fluid-filled, but not always)

(t/f) cysts are often compressible
true
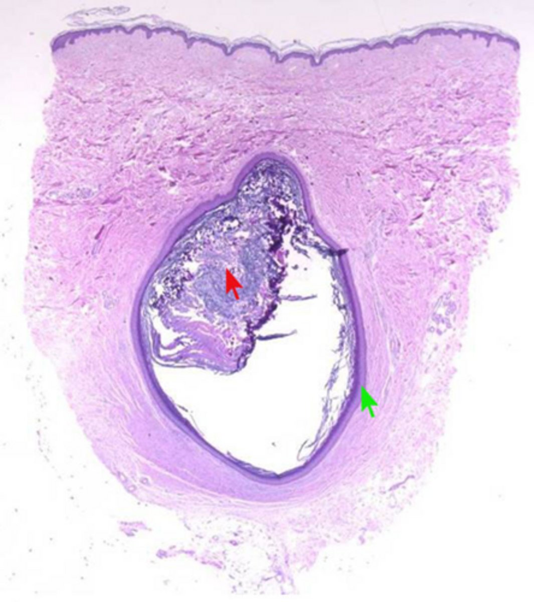
what soft tissue cyst is a keratin-filled cyst derived from a hair follicle and most commonly found on the skin?
epidermoid cyst

what soft tissue cyst is a nodular, fluctuant subcutaneous mass most commonly seen on skin?
epidermoid cyst

what soft tissue cyst is not derived from a hair follicle, but is the cystic form of a teratoma (tumor of germ cells)?
dermoid cyst

what soft tissue cyst intraorally only appears on the floor of the mouth?
dermoid cyst

what soft tissue cyst occurs on the attached gingiva anterior to the first molars and is the soft tissue counterpart to lateral periodontal cysts (intrabony cyst)?
gingival cyst of the adult

what soft tissue cyst originates from the lymphoid tissue normally found in the oral cavity and pharynx?
lymphoepithelial cyst

what soft tissue cyst occurs from epithelium invaginating into tonsillar tissue results in tonsillar crypts or cystic formation?
lymphoepithelial cyst

what soft tissue cyst is yellow or white in color and always located on the lateral and ventral tongue and the floor of the mouth?
lymphoepithelial cyst

how are all cysts treated?
excision
what soft tissue cyst arises from remnants of the thyroglossal tract which develops in the foramen cecum area?
thyroglossal tract cyst

what soft tissue cyst mainly occurs below the hyoid bone?
thyroglossal tract cyst

what soft tissue cyst is a painless, fluctuant, and moveable mass typically found in the neck?
thyroglossal tract cyst
