1/28
Looks like no tags are added yet.
Name | Mastery | Learn | Test | Matching | Spaced | Call with Kai |
|---|
No analytics yet
Send a link to your students to track their progress
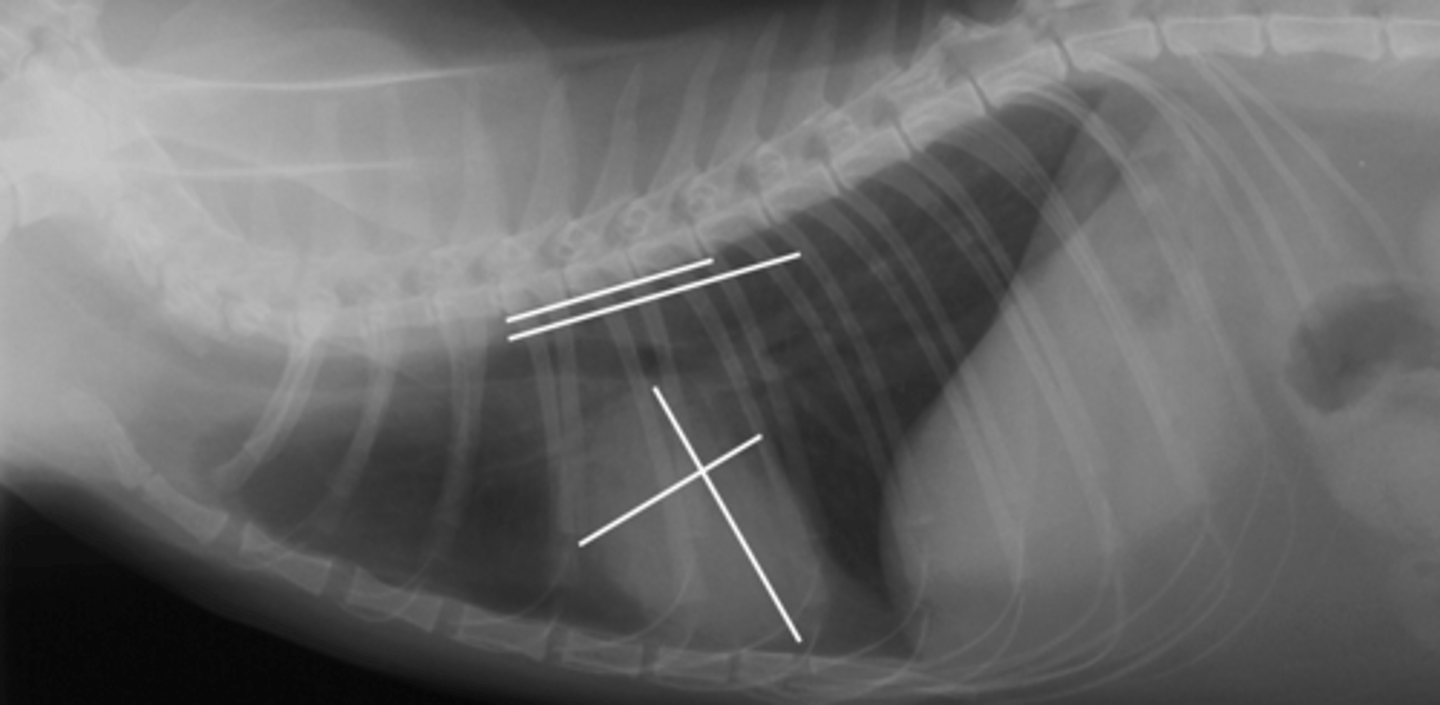
Good correlation between heart size and body length
What is VHS based on?
Corina to apex (excluding pericardial fat)
What are landmarks of the length portion of the VHS?
Perpendicular to length axis lining up w/ caudal vena cava
What are landmarks of the width portion of the VHS?
t4
What vertebra do we start measuring the VHS?
Below 10.5
What is normal VHS for a dog?
Below 8
What is normal VHS for a cat?
Corina to Caudal margin of L atria
What are landmarks for Vertebral L atrial size?
2.3
3
At greater than ___ VLAS we will have L atrial enlargement and at ___VLAS we should start vetmedin?
No
5.7 + 4.3 = 10
(K9 - 10.5)
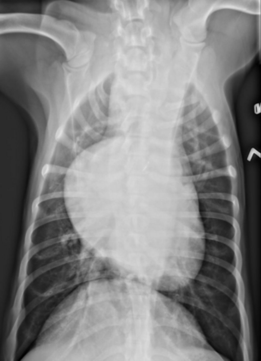
Given the following radiograph do we have an enlarged heart?

No
3.1 +4.2 =7.3
(Fel - 8)
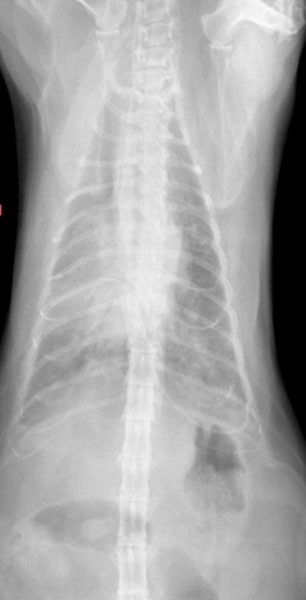
Given the following radiograph do we have an enlarged heart?

Heart - 13.5VHS
L atrial enlargement
Dilated pulmonary A. and V.
Given the radiograph which structures are enlarged?

DCM
-stage c
- Interstitial lung pattern suggest CHF
What is your dx?

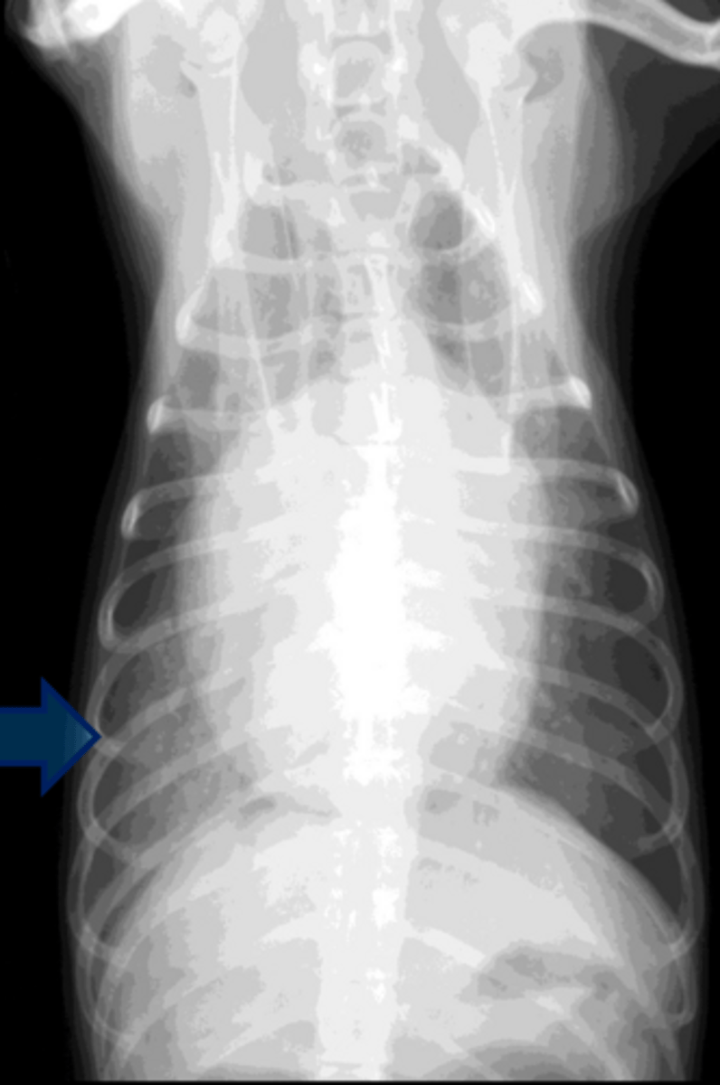
DVD
-Stage B2
-Can see vessels and lungs clear (not CHF yet)
-Bronchus bowing so LA enlargement
What is the dx?

Pericardial effusion
-Dilated Caudal vena cava
-Globoid heart
-R sided heart changes
-L heart normal
What is the DX?

PDA
-Ductal bump of L atrial appendage
-Aorta Enlarged
-Enlarged L atria
What is the DX?

DCM
A Large breed dog presents w/ a grade 2/6 plateau shaped murmur with the PMI at the L apex. What is the dx?
DVD
A small breed dog presents with a grade 4/6 Plateau shaped murmur w/ the PMI over the L apex? What is the DX?
Pericardial effusion
A dog presents with muffled heart sounds. What is the dx?
PDA
A young Miniature poodle presents w/ a grade 5/6 continuous murmur w/ a PMI over the L base. What is the dx?
Yes
-VHS - 9.3
-Pulmonary pattern
A feline presents with the following rads. Are the in CHF?

CHF/HCM
A feline presents with the following rads. What is the dx?

Pulmonary hypertension
-Torturous pulmonary arteries dilated
A canine presents with the following Rad? What do you suspect?

Pulmonary hypertension - HWD
A canine presents with the following Rad? What do you suspect?

L atrium
-shouldnt have normal heart w/ pulm pattern
In the majority of K9 cardiac dz the _____ should be enlarged to relate to pulmonary changes to cariogenic edema?
DVD - Stage C
-CHF - interstitial patter in R caudal lung
Given the following rad what is the DX?

Cranial
Caudal
You will not see congestion in the ___ aspect of the lungs before the ____ aspect w/ CHF?

VF/ LN compression of airway
-not w/in the pericardium
What do you suspect given the following rad?

Pneumonia
-Air bronchogram
-Heart is not enlarged - 8.7
Given the following Rad what do you suspect?

Look at pulmonary veins for dilation
How do you dx pulmonary congestion?