1/234
Looks like no tags are added yet.
Name | Mastery | Learn | Test | Matching | Spaced | Call with Kai |
|---|
No analytics yet
Send a link to your students to track their progress
In the US about __ of people are overweight or obese
3/4
how many deaths are from obesity
1.9 million global CVD deaths
how many CVD deaths worldwide
1/10
above BMI 24, what point increase raises mortality
every 5 point increases raises mortality risk by >30% severe obesity by 300%
what is obesity linked to
65-78% of primary hypertension cases
what countries are the most obese
mexico, USA, finland
what countries do not have as much obesity
korea and japan
what percent of dogs in the US are obese
22%
what percent of cats are obese
33%
what percent of pets are obese
59%
over the past 10 years, there has been a ___ increase in the number of overweight cats and and a _ increase in the number of overweight dogs
169%, 158%
what kind of pets are over twice as likely to be obese
neutered
obese pets live ___ shorter on average than their non-obese counterparts
2.5 years shorter
what is the structure of adipose tissue
specialized connective tissue (loose)
organized into lobules by dense connective tissue called septa
what are the principal cells called in adipose tissue
fat cells - adipocytes
what do septa contain
blood vessels and nerves to adipose tissue
what is the mitochondrial density of brown adipocytes
High (UCP-1+)
what is the LD morphology of brown adipocytes
multi-locular
what is the mitochondrial density of white adipocyte
low
what is the LD morphology of white adipocyte
Uni-locular
what is beige adipocyte mitochondrial density
medium (UCP-1+)
what is the LD morphology of beige adipocytes
multi-locular
what is brown adipose tissue characterized by
good adipose tissue
high vascularity
dense sympathetic innervation
BAT
what is white adipose tissue characterized by
bad adipose tissue
low vascularity
sparse sympathetic innervation
WAT
what is beige adipose tissue characterized by
good adipose tissue
intermediate vascularity
convertible sympathetic innervation
BgAT
where is BAT located
limited to some locations
common in neonates, hibernating and cold adapted animals
where is BgAT located
limited to some locations
cervical and supraclavicular
where is WAT located
broadly distributed in the body
grouped by the relation to other tissues or organs
the development in order is: visceral → subcutaneous → intermuscular → intramuscular
is WAT distribution different across species
yes
where is WAT in pigs
under hide/backfat in pigs
what animal has the most WAT subcutaneously
pork
what animal has the most WAT intermuscularly
beef
what animal has the most fat intramuscularly
beef
what is intermuscular fat
fat between muscles, closely associated with epimysium
what is intramuscular fat
fat within muscle, specially associated with perimysium
what is the function of adipose tissue
storage of energy and vitamins that are fat soluble
protection of vital organs
physical support and insulation
source of hormones
generation of heat (BAT and BgAT) - nonshivering thermogenesis
what is the energy density of fat
9 calories per gram
what are the stem cells for adipose tissue
they come from multipotent, proliferative mesenchymal cells
the mesoderm forms the trunk the neural crest forms the craniofacial
what are the parts of adipogenesis
adipoblasts, pre-adipocytes, adipocytes
what are characteristics of adipoblasts
committed to the adipocyte lineage
proliferative
contain no obvious lipid droplets
what are characteristics of pre-adipocytes
determined to become fat cells
proliferative
contain multiple small lipid droplets
what are characteristics of adipocytes in adipogenesis
terminally differentiated
non-proliferative
increased lipogenic enzyme activity with accumulation of a large single droplet of lipid
hypertrophy of adipocyte without hyperplasia leads to fat deposition
what kind of control is adipocyte differentiation under
molecular/genetic control
how many genes contribute to determining body weight and fat deposition
over 6,000 genes
how many differentially expressed genes have been identified in the differentiating adipocytes, with 1,116-1249 genes specific to particular fat depots
over 2300
how many genes are associated with adipocyte phenotype acquisition
over 2000 genes among with preadipocyte factor 1 which is regarded as a gatekeeper of adipogenesis
when does hyperplasia happen
prenatal and postnatal
when does hypertrophy occur
only prenatally
what are external growth stimuli
MSCs, adipoblasts, preadipocytes
what is adipogenesis under control by
molecular control
what are factors influencing adipogenesis
adipokines
hormonal factors
receptors and transcription
diet effects
enzymes and transporters
age and weight effects
how do adipokines affect adipogenesis
n>600, proteins secreted by adipose tissue that have metabolic and adipogenic effects on distant adipose cells or tissue
how does insulin affect adipogenesis
important factor for both adipocytes and lipogenesis
insulin receptor is required for adipocyte differentiation
promotes lipogenesis by upregulating GLUT4 expression
how do receptors and transcription affect adipogenesis
a master regulator: peroxisome proliferator-activated receptor gamma (PPARgamma)
how do diet effect adipogenesis
sufficient energy in the diet causes adipocyte hypertrophy and hyperplasia
dependent on stage of animal development but feeding high planes of nutrition prior to slaughter increases marbling
dietary protein: energy ratios are important
diets with amino acids deficiencies will often result in increased lipogenesis, muscle growth cannot be maximized without AA balance
how do age and weight affect adipogenesis
as animals age, they fatten and adipocytes swell with fat and recruitment of smaller adipocytes → bimodal distribution
loss of weight keeps the same number of adipocytes, and the adipocytes shrink in size and next weight gain is even larger due to existing population
what is the chemical composition of adipose tissue
lipid = 76-94%
water = 5-20%
protein = 1-4%
what are the two categories of triglycerides
glycerol and fatty acids
what are the two categories of fatty acids
saturated and unsaturated
what is the animal with the most abundant unsaturated fatty acids
chicken
what is the most abundant saturated fatty acid in animals
palmitic acid
what is the most abundant unsaturated fatty acid in animals
oleic acid
what is cellularity
cellularity of tissue is the state of having cells, measured as the number of its constituent cells in a certain amount of time
cellularity is affected by what
type of cellular growth
what happens to cellularity as age increases
it also increases
what does intramuscular adipocyte count for
nearly half the total number of adipocytes in the body of pigs, but only 10% of total lipid in the body
what are two parts of lipid metabolism
lipogenesis and lipolysis
what is lipogenesis
a process involved in absorption of nutrients from blood and subsequent synthesis and esterification to form triglycerides in adipocyte
what is lipolysis
hydrolysis of triglyceride TG to free fatty acids and glycerol
what is net lipid accretion
lipogenesis - lipolysis
where does lipogenesis occur
its location is species dependent
in cattle, sheep, and pigs it occurs in adipose tissue
in avian it occurs in the liver
what are two sources of fatty acids
dietary fat and de novo synthesis of fatty acids and formation of TG in adipocytew
what is the principal substrate of de novo synthesis of fatty acids
It is species-dependent
in non-ruminants: glucose
ruminants: acetate from rumen metabolism
what is lipolysis controlled by
two major lipases
hormone sensitive lipase (HSL within adipocytes)
lipoprotein lipase (LPL, attached to capillary endothelial cells)
what is lipolysis primarily stimulated by
hormones with catabolic actions
what are 4 things that affect the regulation of composition and metabolism of adipose tissue
genetics
species
gender
hormone - leptin
true or false: any factors that affect adipogenesis will affect adipose tissue composition
true
true or false: any factors that affect lipid metabolism will affect adipose tissue composition
true
how does genetics affect tissue composition
fatter genotypes possess a higher percentage of lipid in backfat than leaner genotypes
breeds with increased reproductive rates and milk production show increased visceral fat
how does species differences affect tissue composition
differences in adipose composition due to differences in lipid metabolism eg ruminants vs monogastrics
growth rates differ between species, which influences adipocyte size and number along with adipocyte metabolism and composition
how can gender affect tissue composition
steroids (eg estrogen and testosterone) affect lipid metabolism and distribution of fat among depots
can white fat turn into beige/brown fat
yes white fat can transform into beige fat through things such as cold exposure, exercise, diet compounds, and hormones. this leads to increased fat burning and heat production
what is cartilage
a type of connective tissue
what is cartilage composed of
cells called chondrocytes (cartilage producing cells) that are located in small cavities called lacunae
what do chondrocytes make
a highly specialized matrix - firm but pliable (rubbery)
most cartilage is surrounded by what
perichondrium
what are characteristics of the perichondrium
a membrane of fibrous (dense) connective tissue around surface of cartilage
articular cartilages do not have perichondrium
has two layers: 1 - fibrous (outer), 2 - condrogenic (inner)
does cartilage have direct vascular supply
no direct vascular supply (no blood vessels)
how do nutrients get to cartilage
diffuse through matrix to nourish chondrocytes

what is this
hyaline cartilage

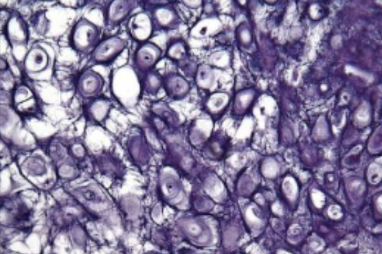
what is this
fibrocartilage

what is this
elastic cartilage
what is the location of hyaline cartilage
fetal bones, articular surface, trachea
what is the location of fibrocartilage
intervertebral disc, menisci
what is location of elastic cartilage
ear, nose, epiglottis
what is the ECM of hyaline cartilage like
type II collagen aggrecan, tough and somewhat flexible
what is the ECM of fibrocartilage like
type II collagen, little ground substance, extremely tough
what is the ECM of elastic cartilage
type I and II collagen aggrecan, elastic fibers
does hyaline cartilage of perichondrium
yes, except articular surface
does fibrocartilage have perichondrium
no