1/36
Looks like no tags are added yet.
Name | Mastery | Learn | Test | Matching | Spaced |
|---|
No study sessions yet.
What technique uses the Rule of Isometry
Bisecting technique
What line does the central ray hit in bisecting?
The imaginary bisector
What causes foreshortening?
Too much vertical angulation
What causes elongation?
Too little vertical angulation
When is bisecting used?
Small mouths, tori, shallow palates, children
How can you tell a PA was taken with bisecting?
Distortion, steep vertical angulation, receptor close to tooth
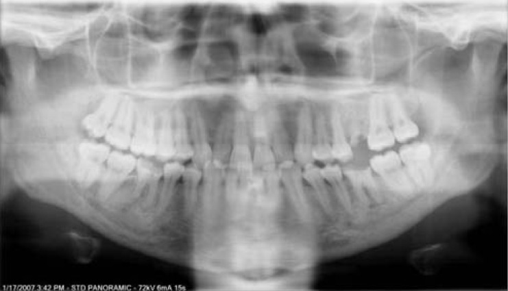
What type of image shows both jaws in one view?
Panoramic
Is a pano intraoral or extraoral?
Extraoral
What is a ghost image?
Larger, higher, blurry opposite-side duplicate from metal
How do you identify jewelry ghost images?
Opposite side, higher, magnified, blurry
What causes a dark band over maxillary roots?
Tongue not on the palate
What makes anterior teeth look skinny?
Teeth too far forward
What makes anterior teeth look wide?
Teeth too far back
What error causes a reverse smile (frown)?
Chin tipped too high
What error causes an exaggerated smile?
Chin tipped too low
What causes a white band down the center?
Patient slumped / cervical spine
How do you know pano positioning is correct?
Normal smile curve, teeth proportional, condyles visible
What extraoral view is used for kids or limited opening?
Lateral jaw projection
What view shows mandibular premolars/molars?
Body of mandible projection
What view shows ramus and third molar region?
Ramus projection
What extraoral image is used for ortho?
Lateral cephalometric
What image shows a side profile?
Lateral ceph
What projection best shows sinuses?
Waters projection
What view shows base of skull + zygomas?
Submentovertex (SMV)
What view is best for condylar neck fractures?
Reverse Towne
What view has forehead + nose touching receptor?
Posteroanterior (PA)
What image shows TMJ open/closed?
Transcranial TMJ
What imaging slices the TMJ into layers?
TMJ tomography

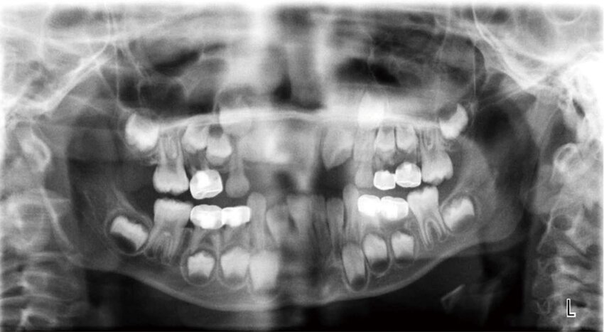
A panoramic radiograph shows a large, blurry, radiopaque shape high on the left side of the image. It appears duplicated and slightly distorted.
Ghost image from jewelry

The inferior portion of the panoramic image is blocked by a large radiopaque area that curves upward like a white hill.
What is the error?
(Lead Apron Artifact) Thyroid collar was used during a panoramic image

A vertical radiopaque band appears in the center of the pano, obscuring the anterior teeth and nasal structures
Patient slumped, causing cervical spine to superimpose

A dark radiolucent band covers the apices of the maxillary teeth on the pano, making them hard to evaluate.
Tongue was not placed against the palate

The panoramic image shows a flat or inverted smile line. The hard palate is superimposed over the maxillary roots.
Chin tipped too far up - reverse smile line

The smile line is exaggerated, the mandibular incisors appear blurry and elongated, and the condyles are cut off
Chin tipped too low
The anterior teeth on the pano appear skinny and blurred, and the spine shadow is more visible.
Patient was positioned too far forward on the bite block

The anterior teeth appear wider and blurry, and the condyles may appear near the edges.
Patient positioned too far back (posterior)