1/47
Name | Mastery | Learn | Test | Matching | Spaced | Call with Kai |
|---|
No analytics yet
Send a link to your students to track their progress
What is the importance of laminitis
1.5-34% prevalence
7.4% deaths due to laminitis
extremely painful
frequently recurrent
Huge welfare implications

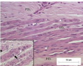
What does this show
Lamellar interdigitations
What is the basement membrane anchored by
hemidesmosomes
What are the forces acting on the pedal bone

What is the aetiology for laminitis
syndrome not a disease
Associated with systemic disease or excessive weight bearing
What are the three forms of laminitis
Sepsis associated
endocrinopathic
Excessive weight bearing (SLL)
TRUE OR FALSE
The overall end of laminitis is similar regardless of aetiology
TRUE
What does morphological derangement cause
Loss of the strength of the lamellar attachment
Distal phalanx no longer suspended in the hoof capsule
pain
What is sepsis associated laminitis associated with disease wise
Associated with
GI disease
Pneumonia
Septic metritis
Similar to SIRS
Laminitis= end organ dysfunction
Two experimental models
Carbohydrate overload
black walnut
What is the mechanism for sepsis associated laminitis
Evidence of
systemic inflammation
endothelial activation
Leucocyte adhnesion and emigration
Cytokine expression
oxidative injury
MMP activation not initiating event
Failure of critical LBEC functions
caused by inflammatory and/or hypoxic cellular injury
What is endocrinopathic laminitis associated with
EMS
PPID
Glucocorticoids
what is the pathogenesis for endocrinopathic laminitis
Association recognised for many years
Linking factor discovered with hyperinsulinaemia model
Prolonged hyperinsulinaemia
Inflammation not a major feature
Not systemic or GI inflammation
Different histological changes

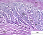
what type of laminitis does this show
insulin model

What type of laminitis does this show
sepsis model
What is the mechanism for endocrinopathic laminitis
Not inflammation
Not ECM degeneration
Not glucose toxicity/depravation
Inappropriate IGF-1R stimulation
Endothelial dysfunction
Altered adipokines
Altered proteostasis
What are the key features of equine metabolic syndrome
Insulin dysregulation
Hyperinsulinaemia
Excess insulin response to oral carbohydrate
What are some additional features of equine metabolic syndrome
Increased fasting
altered adipokines
obesity
What is the sequence of events in endocrinopathic laminitis

what causes insulin dysregulation in equine metabolic syndrome
Genetics
Epigenetics
Microbiome
Obesity
Diet
Endocrine disrupting chemicals
What is PPID
Loss of dopaminergic inhibition
Excessive production of pi hormones
Cortisol, CLIP, b tropin + others affect insulin
Hyperinsulinaemia → laminitis
How can exogenous glucocorticoids cause laminitis
cortisol antagonises insulin
retrospective studies
Only animals with pre-existing laminitis risk factors
Prednisolone only increase risk of recurrent not initial episodes
Prospective study
Same frequency as in untreated populations
Same risk factors as in untreated populations
what is supporting limb laminitis
Prevalence 0.02%
Severity and duration of lameness risk factors
High mortality
Little primary research
Mechanism
not direct mechanical overload
inadequate perfusion
What are the 3 stages of laminitis
Developmental
Acute laminitis
Resolution or chronic laminitis
What happens in the developmental stage
Contact with trigger- lasts up to 72 hours
What happens in resolution or chronic laminitis stage
Pedal bone movement
Pedal bone remodelling
what are the aims when approaching a suspected laminitis case
Make a definitive diagnosis
Determine underlying cause
determine if likely to recover to expected level of soundness
how do you diagnose laminitis
Clinical signs
± radiography
± endocrine tests
What are the clinical signs of laminitis
Lameness affecting two or more limbs
Characteristic stance
Bounding digital pulses
increased hoof wall temperature
Pain on hoof tester pressure at the region of the point of the frog
Palpable depression at the coronary band
when do you radiograph laminitis
May take at first presentation if concerned P3 removed
Depression at coronary band
softening of sole at point of frog
May take later if not improving
can be difficult if very painful
May have to nerve block
Take machine to horse
How do you diagnose via radiography
Lateromedial radiographs of feet
Good foot preparation
Markers
dorsal hoof wall, starting at coronary band
± point of frog
Pedal bone rotation
Founder distance
How do you diagnose PPID
Clinical signs
Basal ACTH
Seasonally adjusted reference range
TRH stim test
How do you diagnose equine metabolic syndrome
history
Clinical signs
demonstration of ID
Basal insulin
Dynamic test
How do you medially treat laminitis
Medical emergency
Treat ASAP
Changes already occurred in foot
Analgesia and foot support
what analgesia can you give for laminitis
NSAIDS
PBZ, flunixin
IV or oral
Opiates
Morphine, pethidine, fentanyl
Controlled drugs, short acting
side effects
when do you use digital cryotherapy
Sepsis associated laminitis
Endocrinopathic laminitis
Ice
chill distal to carpus/tarsus
10C
No complications
what is the role of foot support for treating laminitis
Essential
Increase bedding
depth, bring to door
Frog support
Bandages, lilypads, NFS etc
frog and sole support
Styrofoam, dental impression material
How do you manage laminitis
Box rest
Diet
No grass
1.5-2% BW poor quality hay
No or minimal concentrates
HiFi
Unmollassed sugar beet
How do you treat PPID
Peroglide
How do you treat equine metabolic syndrome
Weight loss
exercise
± pharmacological agents
How do you determine the prognosis of laminitis
Clinical signs
Depression extends all way round coronary band suggests sinker = 20% survival
Evidence of previous attacks = success rate decreased by 20%
Radiographs
Rotation >11.5o significantly reduced
D >15mm 40% chance of returning to soundness after treatment.
What is the number one priority in preventing endocrinopathic laminitis
Minimise consumption of NSC
Fructan + starch + sugar
NSC = energy for growth of plants
NSC content of pasture fluctuates widely
Decreases when plant growing
Increases when plant photosynthesising
High light intensity, low temp, lack of water
What does NSC content affected by and what does the NSC of hay/haylage depend on
NSC content also affected by season
Low early spring, greater late spring
NSC of hay depends on content of grass
NSC of haylage generally low
More palatable
Provokes a greater insulin response
How do you determine NSC content
Can only determine NSC content accurately by analysis
Should manage pasture to encourage growth
Fertiliser, regularly topped
Ideally hay made from mature crop post seed dispersal
Want <10% NSC
Cannot reliably reduce content by soaking, but it will help
How do you formulate a diet for preventing endocrinopathic laminitis
Base diet on forage/fibre, not sugar/starch
If need extra energy use oil or unmollassed beet pulp
Beet pulp 0.2-0.7kg/day
Vegetable oil; max 1ml/kg/day
If feed cereals, ensure cooked
Makes starch easier to digest in SI
Small cereal meals
<0.5kg/100kg bwt
Add vit and mineral supplement
What should grazing be like for preventing endocrinopathic laminitis
Consider zero grazing
Turn out late night to early am (low NSC)
Restrict in spring and autumn (growing)
Avoid if frost with bright sunshine or drought (high NSC)
Rotate paddocks to keep grass at appropriate height
Restrict intake: muzzle, strip grazing
Regular exercise
Prevent obesity
What are some supplements used to prevent endocrinopathic laminitis
Commonest = cinnamon, magnesium, chromium, chasteberry
? Insulin sensitising
No equine studies
Equivocal evidence in humans
What is the prevention/therapy for sepsis associated laminitis
treat undelying disease
Anti-endotoxic therapy
Digital cryotherapy
Experimental models
clinical cases of colitis
how do you prevent supporting limb laminitis
Limb cycling important in circulation
controlled exercise or physiotherapy
Ideal frequency or duration unknown