1/102
Looks like no tags are added yet.
Name | Mastery | Learn | Test | Matching | Spaced | Call with Kai |
|---|
No analytics yet
Send a link to your students to track their progress
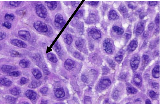
Principe H&E kleuring
kern= blauw
cytoplasma=rood

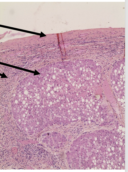
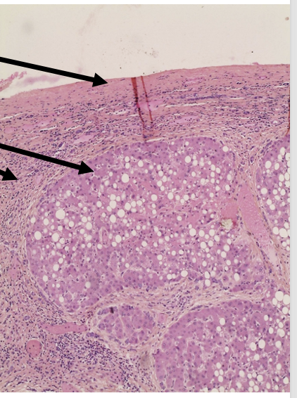
welk preparaat
levercirrose met macrovesiculaire steatose

benamingen van boven naar beneden (levercirrose)
kapsem van Glisson
Hepatocyten
Bindweefsel
chronische ontsteking lever gevolgen
fibrose en verlies hepatocyten
—> nodules
= cirrose
histologische tekens van ontsteking lever
toename in sclereus bindweefsel
ganaalkanaaltjes
vascularisatie

welk orgaan
prostaat hypertrofie
pathologische kenmerken prostaat hypertrofie
ipv lobulaire—> nodulaire indeling, omgeven door bindweefsel
bevat gedilateerde klierbuizen
vorming van cysten (cysteuze dilatatie)
toename stroma, glad spierweefsel en lymfocyten
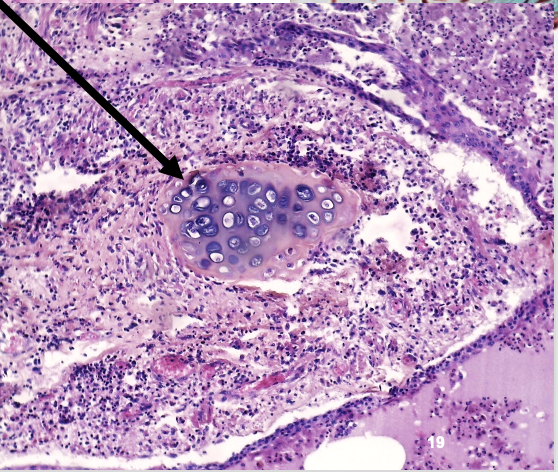
Jichtophus: pathologische veranderingen
onder dermis:opstapeling van uraat kristallen (=fijne witte naalden en amorfe hematoxifiele structuren )
inflammatoire reactie: lymfocyten, macrofagen & reuscellen

welk preparaat
jichtophus

jichtophus: wat zie je op deze uitvergroting
stapeling van uraatkristallen onder de dermis

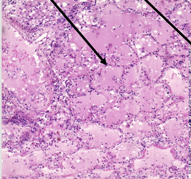
long: wat wordt er aangeduid
bronchusepitheel histologisch

wat wordt er aangeduid
kraakbeen (van de long), histologisch

wat duid de pijl aan
alveoli uit de long, histologisch
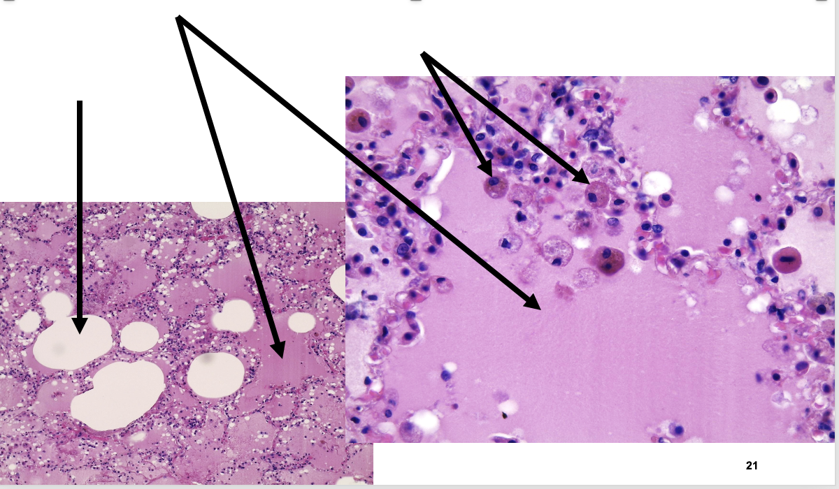
pathologische verschillen bij tuberculose van de long
alveoli:
oedeemvocht
inflammatoir infiltraat, vnl. macrofagen
luchtvacuolen

benoem de pijlen van links naar rechts+ waarover het gaat
luchtvacuolen
oedeemvocht
macrofagen
—> alveoli; tuberculose van de long
welke kleuring is niet genoeg om de diagnose tuberculose van de long te stellen+ wat moet je doen voor diagnose
H&E kleuring
aanwezigheid van Koch-bacil kunnen aantonen adhv Ziehlsen kleuring of Auraminekleuring
effect Ziehlsen kleuring
de zuurvaste Koch-bacillen kleuren rood

effect Auramine
de bacillen kleuren fluorescent

basisletsel tuberculose long
granulomateuze ontsteking waarbij centrum necrotiseerd en er caseëuze necrose w gevormd
pathologische verschillen bij eczeem
epitheel:
hyperkeratose (verdikte hoornlaag)
parakeratose (celkernen in hoornlaag)
acanthose (verdikt epitheel)
spongiose (celbruggen
dermis:
verhoogd aantal lymfocyten (perivasculair

huidepitheel: wat w aangeduid
eczeem, spongiose
pathologie emfyseem bij rokerslong
vernietiging van alveoli (vergroting luchtruimte en honingraat structuur)
afname alveolaire capillairen
geen/ weinig fibrose
lichte inflammatoire reactie
antracotisch pigment in macrofagen

anthracosis pigment
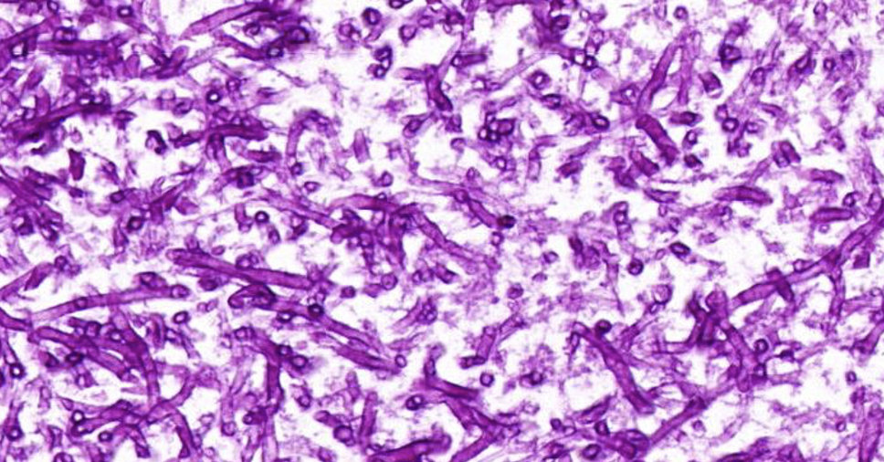
pathologie schimmel
hyphae (schimmeldraad)
enkel te onderscheiden op PAS kleuring
ontstekingsreactie mogelijk

Hyphae

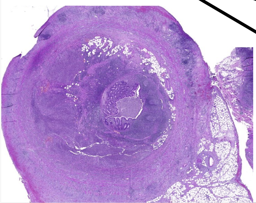
welk orgaan
appendix
lagen van mucosa v appendix (buiten naar binnen)
eenlagig cilindrisch epitheel
lamina prompria met lymfefollikels
muscularis mucosa
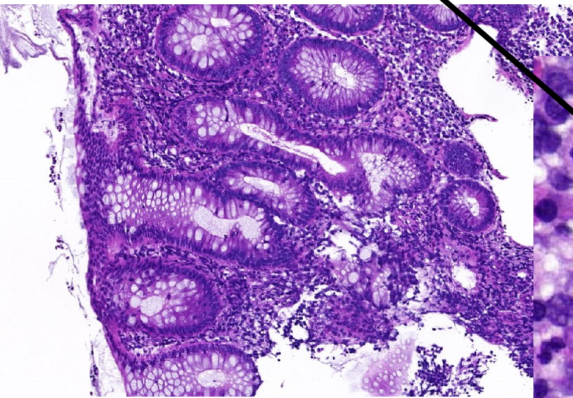
hoe noemt men bij appendicitis het ding waarmee het lumen gevuld is+ welke cellen
purulent exsudaat
neutrofiele granulocyten
plasmacellen
lymfocyten
wat toont pathologisch aan dat het gaat over appendicitis en geen andere ontsteking
erosie: onderbreking epitheel
ulceratie: diepere onderbreking + mucose met granulocyten
inflammatie in alle lagen (niet enkel in lumen)
welke inflammatoire cellen aanwezig bij appendicitis
neutrofiele granulocyten
plasmacellen
lymfocyten
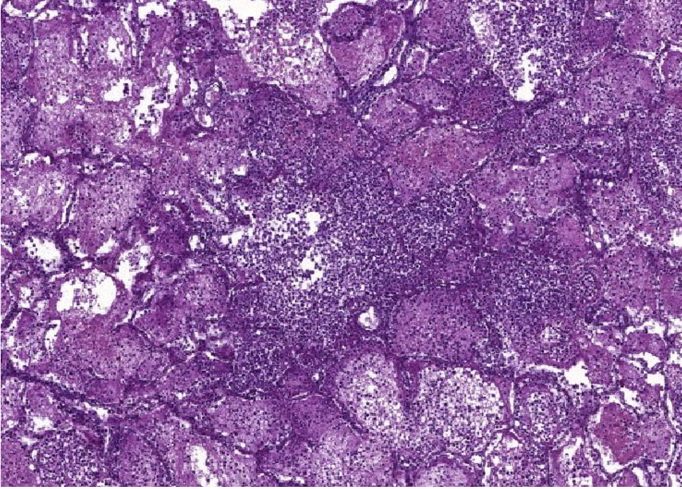
pathologische eigenschappen van bronchopneumonie
fibrinopurulente onsteking v alveolen
macrofagen met antracotisch pigment
abces: geen septa, enkel oedeem, granulocyten en dode cellen
erosie epitheel en inflammatie in bronchi & intralobulaire bronchioli
voor diagnose bronchopneumonie: wat is er nog nodig
PAS-kleuring: schimmel
Gramkleuring: bacterie
pathologische kenmerken diverticulitis
divertikel
doorbreken v muscularis externa door mucosa
obstructie met eventueel fecaal materiaal
acute en gronische inflammatoire reactie
granulomateuze ontsteking

wat zie je hier
diverticulitis( darm) :
Doorbreken muscularis externa door mucosa
Obstructie met eventueel fecaal materiaal

welke pathologie
colitis ulcerosa
pathologische kenmerken colitis ulcerosa
verstoring van de architectuur van de mucosa
inflammatoir infiltraat in mucosa en submucosa
erosie en cryptabcessen

colitis ulcerosa: wat zie je op het preparaat
cryptabcessen
wat is er kenmerkend aan de maag, histologisch
aanwezigheid van slijmnapcellen + hoofd-en wandcellen
pathologie helicobacterinfectie
inflammatie
spiraalvormige bacterie
Pathologische kenmerken maagulcus
intestinale metaplasia: vorming van soort gobletcellen
inflammatie lamina propria: plasmacellen en lymfocyten
zijkant ulcus: afwezigheid mucosa & submucosa
geperforeerde maagulcus tot serosa mogelijk
ulcus: fibreus bindweefsel (indien recent: granulatieweefsel)

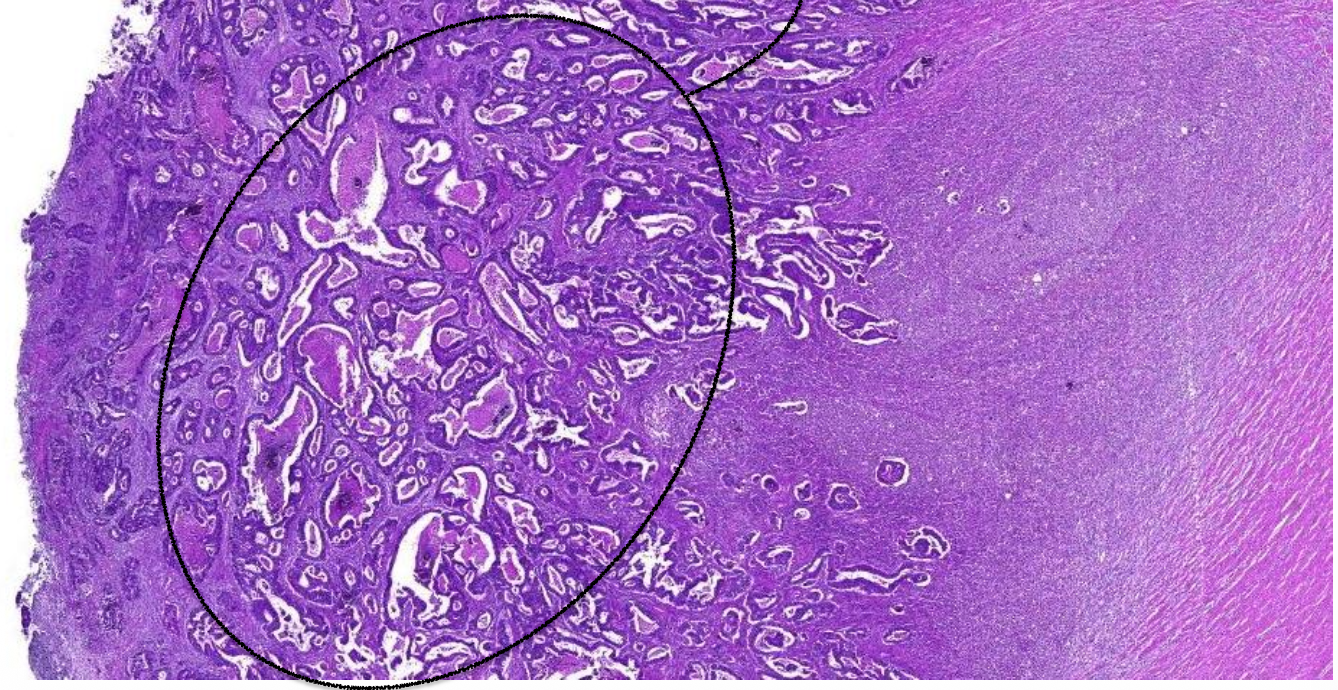
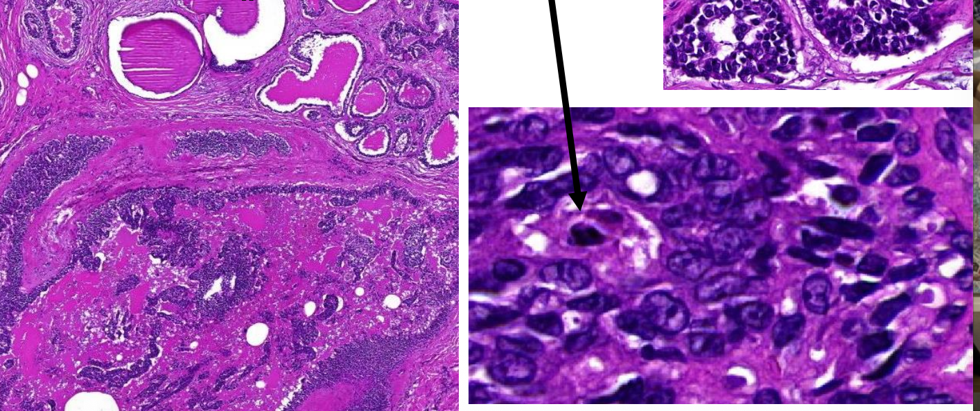
Welk preparaat
tubulair carcinoom in tractus digestivus
pathologische kenmerken tubulair carcinoom
—> architectuur is verstoord
veel klierbuizen
kernen zijn groter en liggen apicaal
pseudostratificatie
—> hypocrinie
depletie gobletcellen
minder mucussecreet (minder helder cytoplasma)
—> toegenomen aantal mitosen

Bronchopneumonie
Abces :septa verdwenen, enkel nog oedeem, granulocyten endode cellen
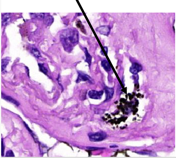
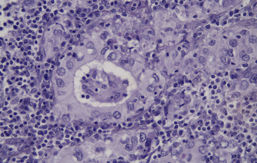
Pathologische kenmerken Chronische thyroïditis
dens lymfocytair infiltraat: lymfefollikels en plasmacellen
Aangetaste schildklierfollikels, Askanazy cellen : kleiner & bedekt met cellen die groter zijn als normaal

schildklier; welk type cel zie je hier
Askanazy cellen: aangetaste schildklierfollikels met vergroot epitheel
Kenmerken kapsel van silicone borstimplaat
fibrose (bindweefsel rond silicone)
vreemd lichaam materiaal (silicone)
macrofagen, meerkernige reuscellen, lymfocyten
vorming pseudokapsel door macrofagen met bindweefsel

wat wordt er aangeduid
meerkernige reuscellen

Welk preparaat
psoriasis
Pathologische kenmerken psoriasis
afwijking epitheel: hyperkeratose, parakeratose, acanthus, spongiose, regelmatigee & verlengde epitheelkammen, focaal verlies stratum granulosum
licht chronisch inflammatoir infiltraat
hoog reikende bloedvaten

Wat wordt er aangeduid
focaal verlies van stratum granulosum bij psoriasis

welk preparaat
Chronische thyroïditis of Ziekte van Hashimoto

welk preparaat
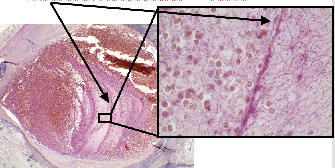
atherosclerose van een slagader
pathologische kenmerken atherosclerose
verdikking langs 1 kant: atheroomplaat met cholesterol kristallen, triglyceriden & mucopolysacchariden
rond atheroomplaat: kapsel met macrofagen, schuimcellen en andere inflammatoire cellen

Wat wordt er aangeduid
schuimcellen: macrofagen die cholesterol fagocyteerde
Pathologische kenmerken trombose slagader
atheroomplaat: cholesterol kristallen + triglyceriden & mucopolysacchariden
lumen: trombus —> fibrine+ bloedcellen met gelaagde opbouw (lijnen van Zahn)
sclerose bloedvatwand: spiercellen vervangen door collageen bindweefsel

Welk preparaat
Trombose van een slagader

Wat wordt er aangeduid
Lijnen van Zahn, trombose slagader
pathologie acuut myocardinfarct
coagulatie necrose hartspiervezels: verdwijnen dwarse streping, karyolyse, karyorrhexis
zones zonder hartspierweefsel:
necrotische cellen gefagocyteerd & vervangen door granulatieweefsel
inflammatoir infiltraat
betekenis karyolyse
kernen niet meer aanwezig
betekenis karyorrhexis
kern is verbrokkeld
pathologische kenmerken litteken van het hartspierweefsel
sclereus littekenweefsel: kleurt geel
overgebleven hartspierweefsel: hypertrofisch, anisonucleose, anisocytose —> anoxisch aspect door onvoldoende zuurstof
anisonucleose
grote ongelijke kernen
anisocytose
cellen ongelijk
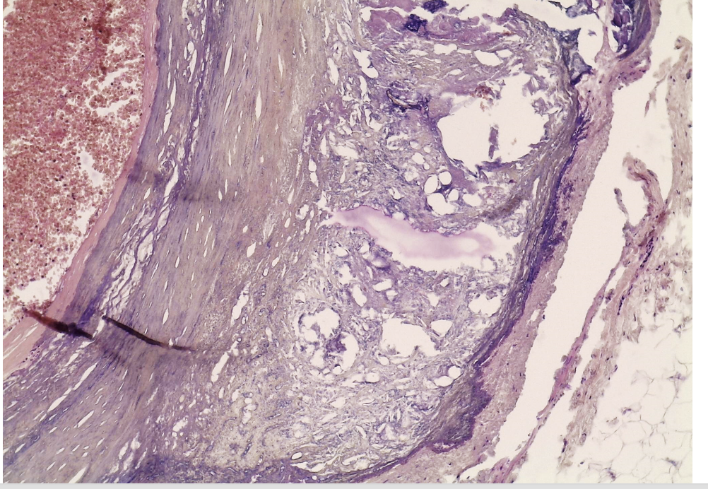
pathologische kenmerken aorta aneurysma
tunica media:
toename mucoïde extracellulaire matrix
fragmentatie en verlies van elastinevezels
celkernverlies van gladde spiercellen
disorganisatie gladde spiercellen
Maligne hypertensie pathologische kenmerken
bloedvatwand afferente arteriolen: fibrinoïde necrose= hyalinose
bloedvatwant kleine arteriën: ajuinschilvormige verdikking en lumen dat sterk vernauwd is

wat zie je
bloedvatwand kleinere arteriën bij maligne hypertensie
- ajuinschilvormige verdikking
lumen is sterk vernauwd

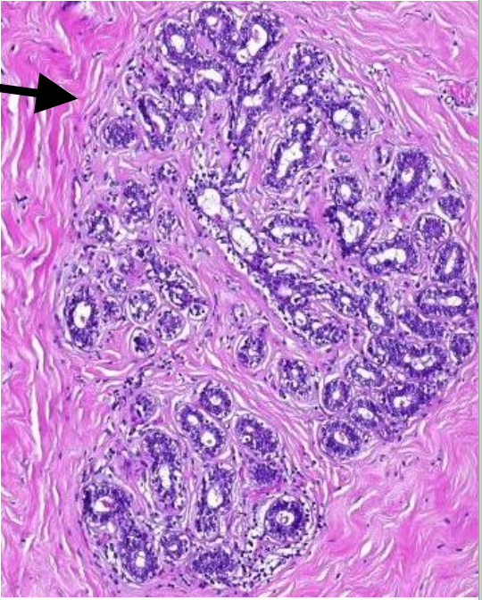
welk preparaat
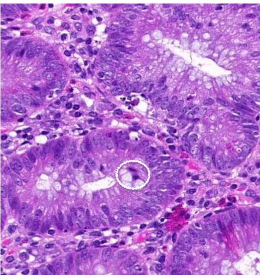
tubulair adenoom in tractus digestivus
pathologische kenmerken tubulair adenoom in tractus digestivus
architectuur licht verstoord
te veel klierbuizen
kernen zijn groter en liggen apicaal
pseudostratificatie
hypocrinie
depletie van gobletcellen
minder mucussecreet —> minder helder cytoplasma
toegenomen aantal mitosen

wat zie je
tubulair adenoom
abnormale klierbuizen
hypocrinie (niet helder cytoplasma): door depletie gobletcellen en minder mucussecreet

Welk preparaat
adenocarcinoom van het rectum/colon
pathologische kenmerken adenocarcinoom van het rectum/colon
abnormale klierbuizen
totaal verstoorde architectuur
polarisatie epitheel verloren: zware dysplasie
anisocytose & anisonucleose
mitose
pyknotische kernen
minder mucusproductie
necrosehaarden
infiltratie tot in spierlaag (muscularis externa)

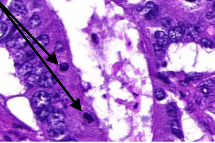
wat wordt er aangeduid, rectum/colon
pyknotische kernen: onomkeerbare condensatie van chromatine in een kern die in necrose aan het gaan is

colon/rectum: wat wordt er aangeduid
necrosehaarden
debris van afgestorven cellen dat zich tumorducten gaat opstapelen
pathologische kenmerken fibroadenoom van de borstklier
2 componenten: bindweefsel en klierbuisjes
pseudokapsel
2 vormen fibroadenoom: pericanalair/ intracanalair

Welke vorm fibroadenoom van de borstklier
intracanalair

Welke vorm fibroadenoom van de borstklier
pericanalair
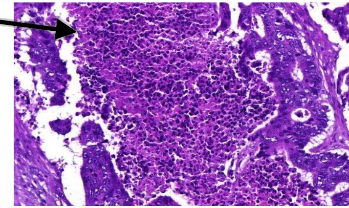
ductaal carcinoma in situ: wat is het
vroege stage van kwaadaardige borstkanker
pathologische kenmerken ductaal carcinoma in situ
verstoring architectuur klierbuizen
kleine klierbuizen: gevuld met tumorcellen
grote klierbuizen: centrale necrose
anisocytose, anisonucleose & mitose
basaal membraan intact (niet-invasieve tumor)
inflammatoir infiltraat mogelijk
pathologie ductaal carcinoom
zware verstoring architectuur van de klierbuizen
basaal membraan doorbroken
solitaire tumorale cellen en nestjes
anisocytose, anisonucleose en mitose
welke kleuringen om te bewijzen dat het gaat om een invasief carcinoom
calponine of p63
basaal membraan doorbroken

Welk preparaat
invasief ductaal carcinoom (borst)
pathologische kenmerken Prostaat adenocarcinoom
verstoring van de architectuur
verlies van polarisatie
verlies basaal membraan
anisocytose , anisonucleose, mitose
necrosehaarden

welk preparaat
Prostaat adenocarcinoom

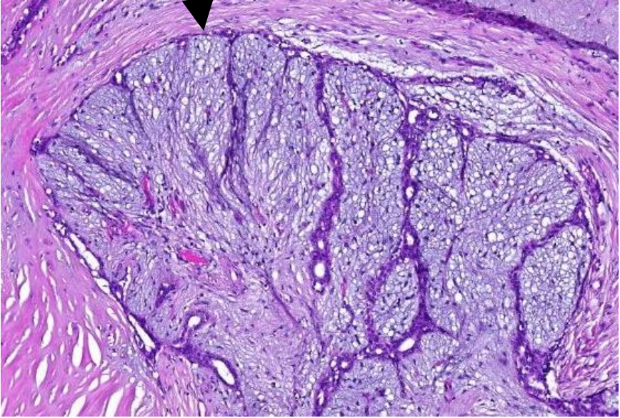
welk type tumor
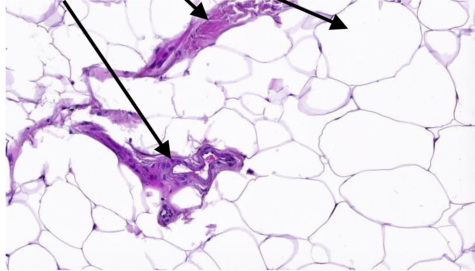
lipoom

pathologische kenmerken lipoom
mature adipocyten
fijne fibreuze septa
vascularisatie
pathologische kenmerken leiomyoom van de uterus
vlak onder endometrium
opgebouwd uit gladde spiercellen
geen duidelijk verschil met normale gladde spiercellen

leiomyoom van de uterus
pathologische kenmerken leiomyosarcoom van de huid
tumor opgebouwd uit gladde spiercellen
anisocytose en -nucleose
mitosen
bindweefsel

welk preparaat
leiomyosarcoom van de huid

plaveiselcelcarcinoom in de bronchus
pathologische kenmerken plaveiselcelcarcinoom in de bronchus
meerlagig plaveiselepitheel ipv meerlagig cilindrisch trilhaarepitheel
niet gekeratiniseerd
anisocytose & -nucleose
mitose & pyknotische kernen
ingroei in mucosa
inflammatoir infiltraat (macrofagen, lymfocyten)
soms keratiniseren enkelvoudige cellen —> dyskeratose (eosinofiele cellen)
soms: invasieve tumorcellen in een veneus bloedvat, schimmel
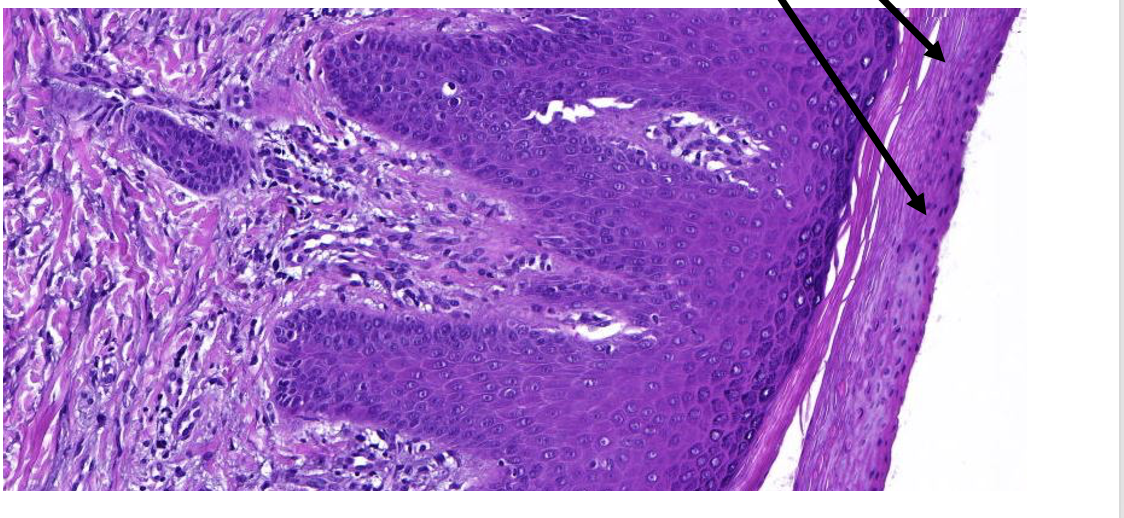
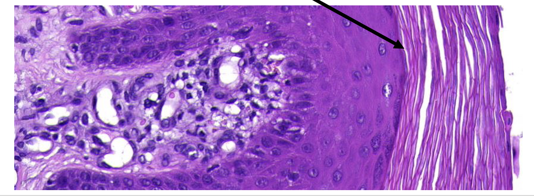
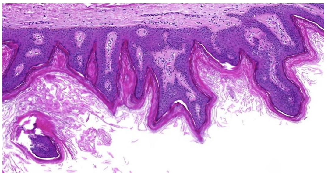
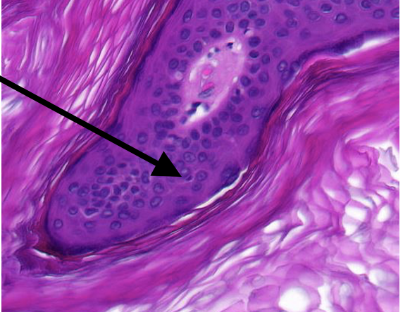
pathologische kenmerken verruca vulgaris
acanthose (verdikt epidermis)
papillomatose (= golvend oppervlak)
hyperkeratose (= keratinelaag)

plaveiselcelcarcinoom in de bronchus

verruca vulgaris

wat wordt er getoond?
koilocyten: vergrote kernen met heldere rand

keratohyaliene granulen dikker dan normaal, brokjes

welk preparaat
melanoom (huidkanker)
pathologische kenmerken melanoom
anisocytose & nucleose
mitosen
eosinofiel cytoplasma
pigment: melanine (fontana kleuring)
cellen gerangschikt in groepjes: talrijk aan dermo-epidermale junctie
infiltratie tumorcellen in epidermis: pagetoïde infiltratie
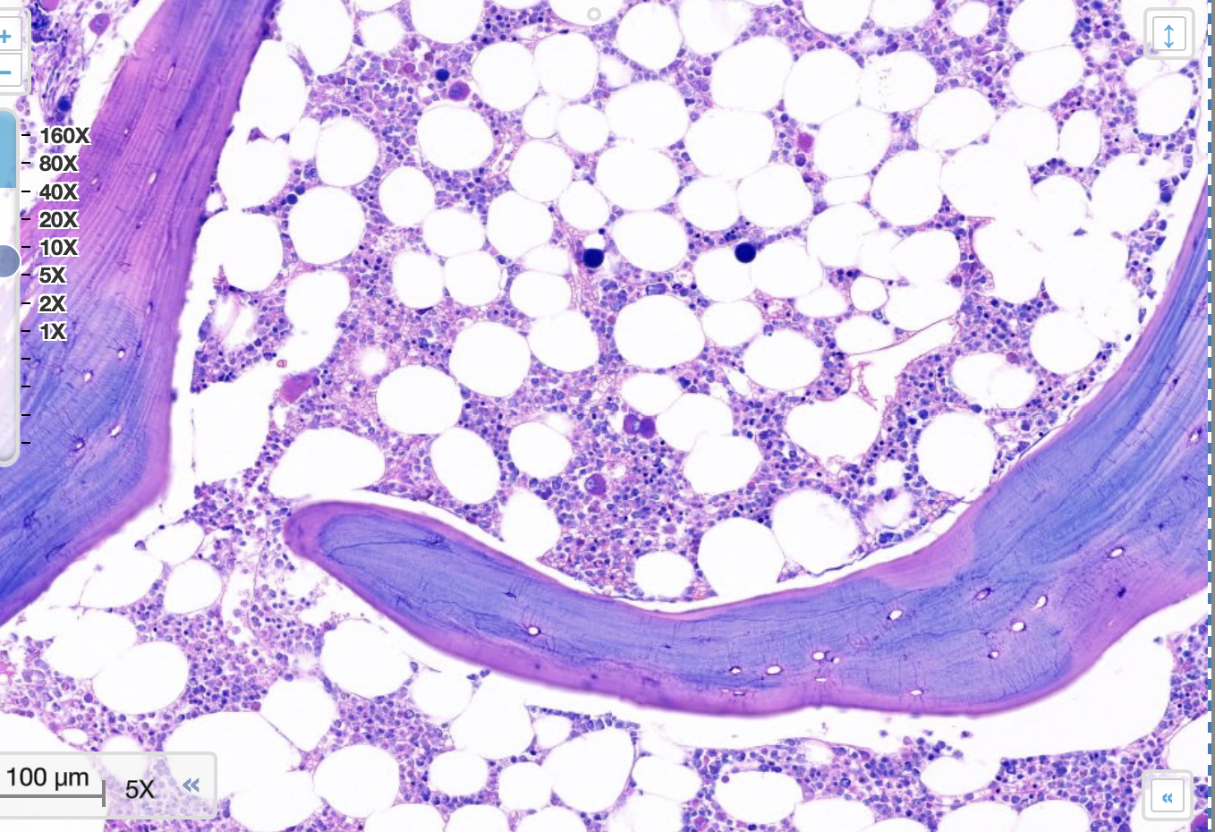
pathologische kenmerken multiple myeloom
mature en abnormale plasmacellen
hypercellulair
anisocytose
nucleoli duidelijk aanwezig
megakaryocyten
voorlopercellen van granulocyten en erythrocyten
vetcellen
osteocytes

multiple myeloom