MMD I: Week 3 - General Principles for MSK Imaging

0.0(0)
studied byStudied by 0 people
full-widthCall with Kai
GameKnowt Play
learnLearn
examPractice Test
spaced repetitionSpaced Repetition
heart puzzleMatch
flashcardsFlashcards
Card Sorting

1/37

flashcard set

Earn XP

Description and Tags

Exam 1 Content

Study Analytics
Name
Mastery
Learn
Test
Matching
Spaced

No study sessions yet.

38 Terms

1
New cards

What is the #1 terminal course learning objective regarding imaging?

Identify normal radiographic anatomy

2
New cards

T/F: Advanced Imaging Modalities include X-rays, MRI, US, CT, and bone scan.

FALSE. X-rays are not considered an advanced imaging modality.

3
New cards

What is the process of attenuation?

The patient’s tissues absorb part of the X-rays, then the “remnant radiation” hits the receptor to produce an image

4
New cards

X-Rays: Pros and Cons

  • Indicated for bone and chest imaging

Pros: Inexpensive, readily available, no preparation required, non-invasive

Cons: Radiation exposure (significant), caution in pregnancy - cannot do on fetus

5
New cards

MRI: Pros and indications

  • Indicated for ligament, cartilage, intraosseous abnormalities, and bone tumors

Pros: Multi-plane images, no known health hazards, good contrast in water-density tissue

  • Good for LE ST injuries, peripheral, spinal, and nerve root compression and injury,

  • Better than CT at soft tissue differentiation

6
New cards

MRI: Cons and contraindications

  • Contraindicated with claustrophobia, metal clips/devices, and pacemakers

Cons: More expensive than intro studies, LONG time scans (+motion artifacts), limited availability, bone trauma poorly shown

7
New cards

CT: Pros and indications

  • Indicated to visualize complex fracture patterns, better than MRI for cortical bone

Pros: Improved ability to identify subtle and complex pathology, less expensive

8
New cards

What are the “shades of gray” on a CT scan?

  • Air = black

  • Fat = Gray/black

  • Water (ST)= Gray

  • Bone = Gray/White

9
New cards

CT: Cons and contraindications

  • Condraindication for radiation exposure

Cons: HIGH doses of radiation, hard to differentiate soft tissue

10
New cards

US: Pros and indications

  • Indicated for superficial structures - thinner areas

Pros: Real-time observation, fast, cheap, functional, NO CONTRAINDICATIONS

11
New cards

US: Cons and contraindications

  • NO CONTRAINDICATIONS - but do consider that risks are not well understood

Cons: Poor modality for metallic objects or bone, cannot go beyond the cortex

  • Radiologist training/experience is KEY in diagnostic utility for US

12
New cards

Scintigraphy: Pros and indications

  • Indicated to identify bone changes due to fracture, tumor, or infection (indicates ↑ metabolism)

Pros: VERY sensitive, can show stress fx 6-72 hrs from onset (better than radiograph), defines the EXTENT of multifocal lesions

  • Normal ↑ in WB surfaces, bladder, bone marrow

13
New cards

Scintigraphy: Cons and contraindications

  • Uses radioactive dye

Cons: Does not define the anatomy/mets of lesions, LOW SPECIFICITY

  • It will also reveal healed fractures, DJD, or growth plates

  • Abnormal ↑ in shafts and non-loading surfaces

14
New cards

Define radiodensity

Property of the tissue regarding ray absorption/attenuation

  • Composition and thickness of tissue

15
New cards

Define the radiopaque components and how they show on a radiograph:

  • Radiopaque structures are NOT easily penetrated by x-rays (eg. metals)

  • They will show lighter/whiter in the radiograph

<ul><li><p><strong>Radiopaque </strong>structures are<span style="color: red;"><strong> NOT easily penetrated by x-rays </strong></span>(eg. metals)</p></li><li><p>They will show <span style="color: red;"><strong>lighter/whiter </strong></span>in the radiograph</p></li></ul><p></p>
16
New cards

Define the radiolucent components and how they show on radiograph:

  • Radiolucent structures are easily penetrated by x-rays (eg. air)

  • They will show lighter/whiter in the radiograph

*think about the fact that there is nothing that would absorb the X-ray, so it shows up black/intact)

17
New cards

Label the following from most radiopaque to most radiolucent:

  • Water/ST

  • Fat

  • Bone

  • Metal

  • Air

See image

<p>See image</p>
18
New cards

T/F: Depending on the angle of projection in the curved plane, the portion parallel to the image receptor is the thickest

FALSE. The section parallell to the receptor is the thinnest, the perpendicular section is the thickest

19
New cards

T/F: For curved objects, there will be more attenuation observed in the edges

True

<p>True</p>
20
New cards

T/F: Fractures usually appear as black lines on x-rays

True

<p>True</p>
21
New cards

For x-rays one view is the same as no view, therefore we need a minimum of 2 views offset by ____

90°

22
New cards

What are the two main pitfalls of image interpretation?

  1. Errors of observation

  2. Errors of interpretation (failure to link clinical data, over reliance on imaging, 20-40% of reports have errors!)

23
New cards

According to Shelbourne JBJS 2010, what % of ortho specialists touched the involved knee AND had a comparison of the uninvolved site?

ONLY 37% of the 89% ortho specialists that touched the knee had ALSO touched the uninvolved side for comparison

24
New cards

According to Shelbourne JBJS 2010, out of the 89% of ortho specialists that performed a physical exam, how many performed an exam through clothes?

79%

25
New cards

According to Shelbourne JBJS 2010, out of the 11% ortho specialists that DID NOT do a physical exam, what % ordered an MRI anyway?

73%

26
New cards

T/F: The ACR Appropriateness Criteria was designed in the 90s to inform clinicians of which imaging modality is appropriate, and when imaging is indicated

FALSE. The ACR does NOT provide information on WHEN imaging is appropriate

27
New cards

What are the ABCS of radiographic evaluation?

  • Alignment

  • Bone density

  • Cartilage spaces

  • Soft tissues

28
New cards

Alignment: What are the components you are examining?

  • General skeletal architecture

    • # of bones, size & shape, congenital

  • Countours (smooth and continuous)

    • Look for fracture lines, spurs, irregularities, and cortex disruption.

  • Relative position (good articulation)

    • Fractures, sublaxation, dislocation [need multiple views!]

29
New cards

T/F: If an edge is round and smooth, it indicates that bone has been there for a long time

True (eg. Os naviculare)

<p>True (eg. Os naviculare)</p>
30
New cards

Bone Density: What are the components you are examining?

  • General and focal BD (contrast between ST and bone + cortical shell and cancellous center)

    • Loss of contrast means we are losing density

  • Localized contrast changes

    • Look for sclerosis (excessive/reactive) or spurs

    • This can happen due to fx, osteomyelitis, OA, or tumors \

  • Texture (normal trabecular architecture)

    • Thin, delicate, coarse, lacy, fluffy

<ul><li><p><span style="color: red;"><strong>General and focal BD</strong></span> <strong><mark data-color="green" style="background-color: green; color: inherit;">(contrast between <u>ST and bone </u>+ <u>cortical shell and cancellous center) </u></mark></strong></p><ul><li><p>Loss of contrast means we are <strong><mark data-color="red" style="background-color: red; color: inherit;"><u>losing density</u></mark></strong></p></li></ul></li><li><p><span style="color: red;"><strong>Localized contrast changes</strong></span></p><ul><li><p>Look for <span style="color: red;">sclerosis (excessive/reactive) or spurs</span><strong> </strong></p></li><li><p>This can happen due to <em><mark data-color="red" style="background-color: red; color: inherit;"><u>fx, osteomyelitis, OA, or tumors \</u></mark></em></p></li></ul></li><li><p><span style="color: red;"><strong>Texture</strong></span> <strong><mark data-color="green" style="background-color: green; color: inherit;">(normal trabecular architecture)</mark></strong></p><ul><li><p>Thin, delicate, coarse, lacy, fluffy</p></li></ul></li></ul><p></p>
31
New cards

What does “sclerosis” mean in radiology terms?

Areas of increased density(↑radiopaque)

32
New cards

Cartilage Space: What are the components you are examining?

  • Joint space (normal width/symmetry)

    • ↓ joint spaces, osteophytes + sclerosis, loss of smooth joint surface (contour)

  • Subchondral bone (Smooth surface - no irregularity)

    • ↑ sclerosis and erosion

  • Epiphyseal plates (normal thickness/position relative to secondary epiphysis)

    • Abnormal thickness, irregular margin

33
New cards
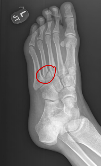
<p>What is wrong with this patient?</p>

What is wrong with this patient?

Nothing, this is a pediatric radiograph. The lines show epiphyseal plates

34
New cards

Soft tissue: What are the components you are examining?

  • Gross musculature contour

    • Wasting, swelling, and calcification

  • Joint capsule (normally you CAN’T see it)

    • distended by effusion/hemorrhage, or calcified

  • Fat pad sign (not visible OR very thin)

    • Enlarged, displaced, elevated, blurry → indicates trauma nearby

  • Periosteal reaction (not visible)

    • Fuzzy, indistinct margin → physiological healing response (like stress injury)

<ul><li><p><span style="color: red;"><strong>Gross musculature contour</strong></span></p><ul><li><p>Wasting, swelling, and calcification</p></li></ul></li><li><p><span style="color: red;"><strong>Joint capsule </strong></span><span style="color: rgb(255, 253, 253);"><strong><mark data-color="green" style="background-color: green; color: inherit;">(normally you CAN’T see it)</mark></strong></span></p><ul><li><p>distended by effusion/hemorrhage, or calcified</p></li></ul></li><li><p><span style="color: red;"><strong>Fat pad sign </strong></span><span style="color: rgb(255, 255, 255);"><strong><mark data-color="green" style="background-color: green; color: inherit;">(not visible OR very thin)</mark></strong></span></p><ul><li><p><em><mark data-color="red" style="background-color: red; color: inherit;">Enlarged, displaced, elevated, blurry → indicates trauma nearby</mark></em></p></li></ul></li><li><p><span style="color: red;"><strong>Periosteal reaction </strong></span><span style="color: rgb(255, 255, 255);"><strong><mark data-color="green" style="background-color: green; color: inherit;">(not visible)</mark></strong></span></p><ul><li><p><em><mark data-color="red" style="background-color: red; color: inherit;">Fuzzy, indistinct margin → physiological healing response (like stress injury)</mark></em></p></li></ul></li></ul><p></p>
35
New cards

Where can you observe a “sail sing” and what does it indicate?

Disruption in the ANTERIOR fat pad, correlates to:

  • Kids: Epicondyle/humeral fracture

  • Adults: Radial head fracture

<p>Disruption in the <span style="color: red;"><strong><u>ANTERIOR </u>fat pad</strong></span>, <em><u>correlates </u></em>to:</p><ul><li><p>Kids: <mark data-color="red" style="background-color: red; color: inherit;">Epicondyle/humeral fracture</mark></p></li><li><p>Adults: <mark data-color="red" style="background-color: red; color: inherit;">Radial head fracture </mark></p></li></ul><p></p>
36
New cards

Does an abnormal finding on imaging imply a significant pathological process?

NO, an abnormality on imaging DOES NOT mean it’s significant or symptomatic

37
New cards

What is the most important requirement for the appropriate utilization of imaging?

Quality patient examination

38
New cards

What are the three ways in which harm can be caused with the inappropriate use of imaging?

  1. Misinterpretation by providers

  2. Misinterpretation by patients

  3. Radiation exposure