1/30
Looks like no tags are added yet.
Name | Mastery | Learn | Test | Matching | Spaced |
|---|
No study sessions yet.
Enamel
What is the arrow pointing to?

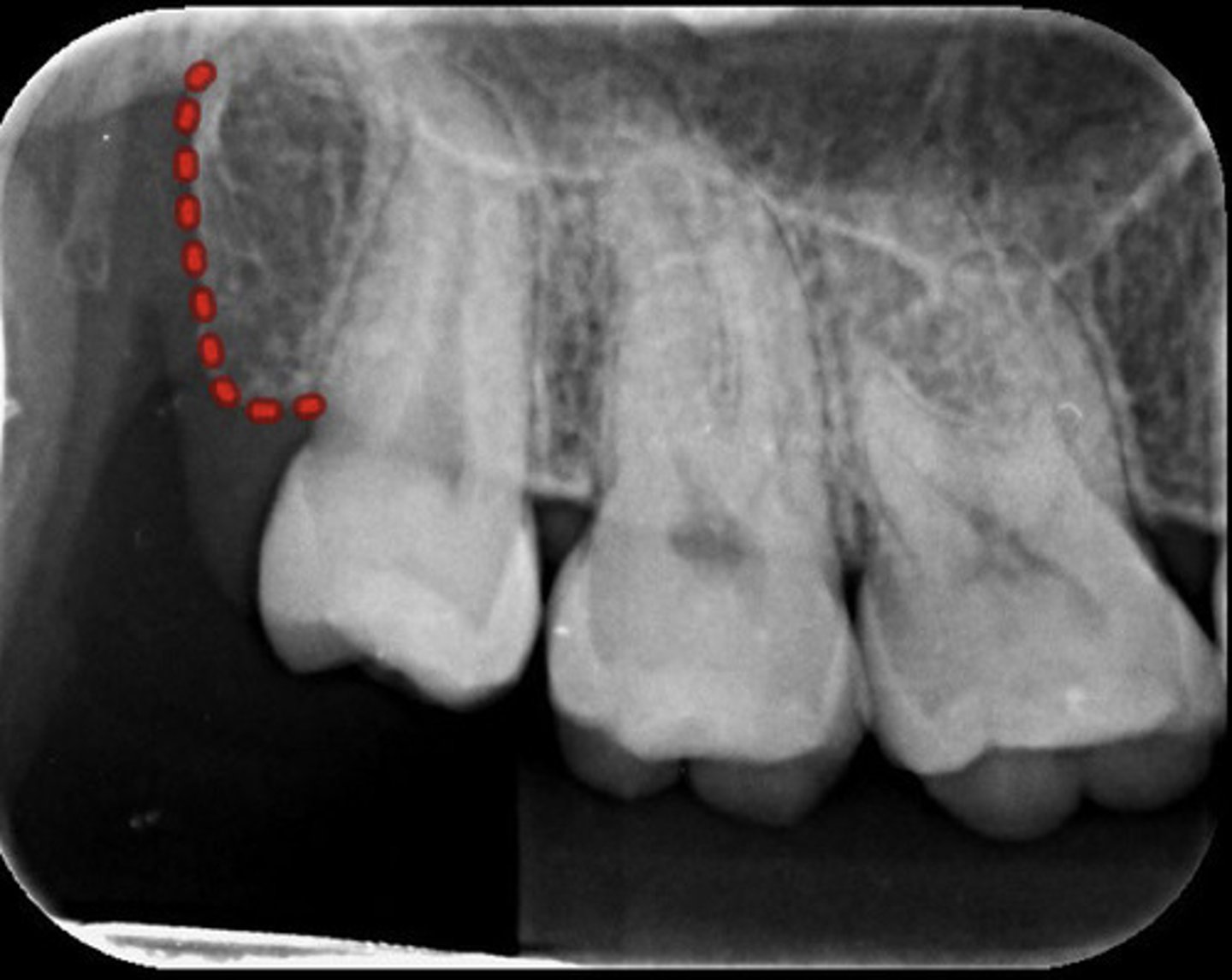
Dentin
What are the red dots representing?

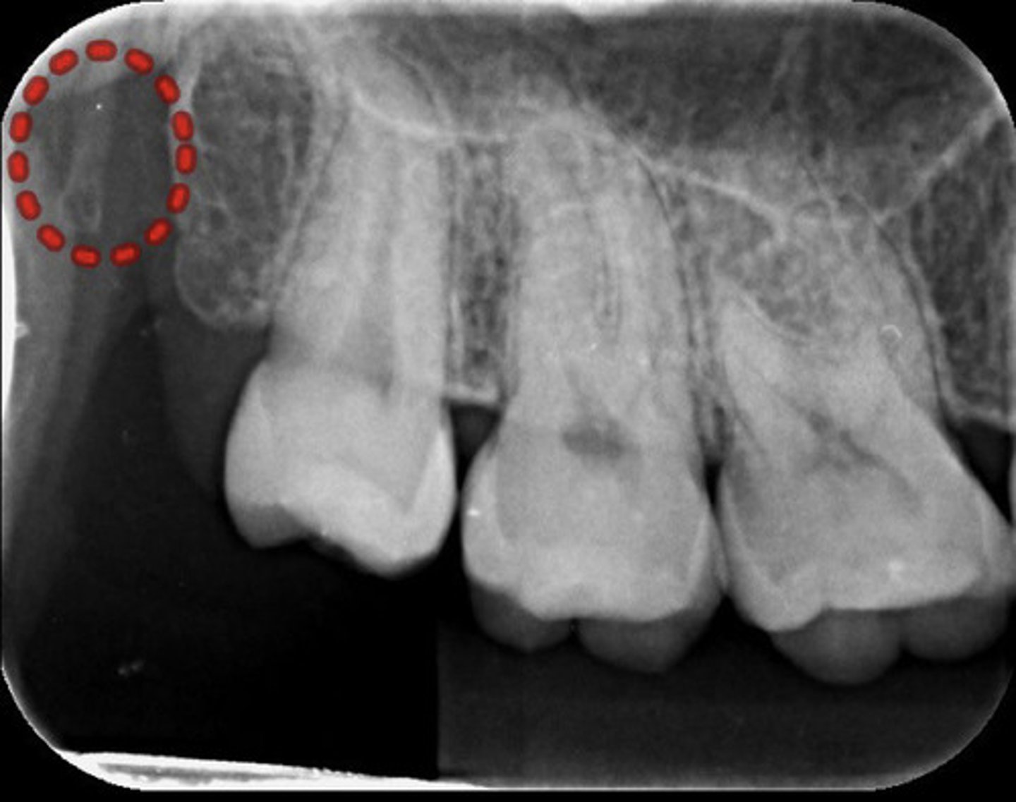
Hypercementosis
What are the red arrows representing?

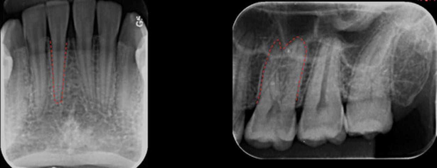
Pulp chamber and root canals
What are the dotted lines representing?

periodontal ligament space
What are the dotted lines representing?

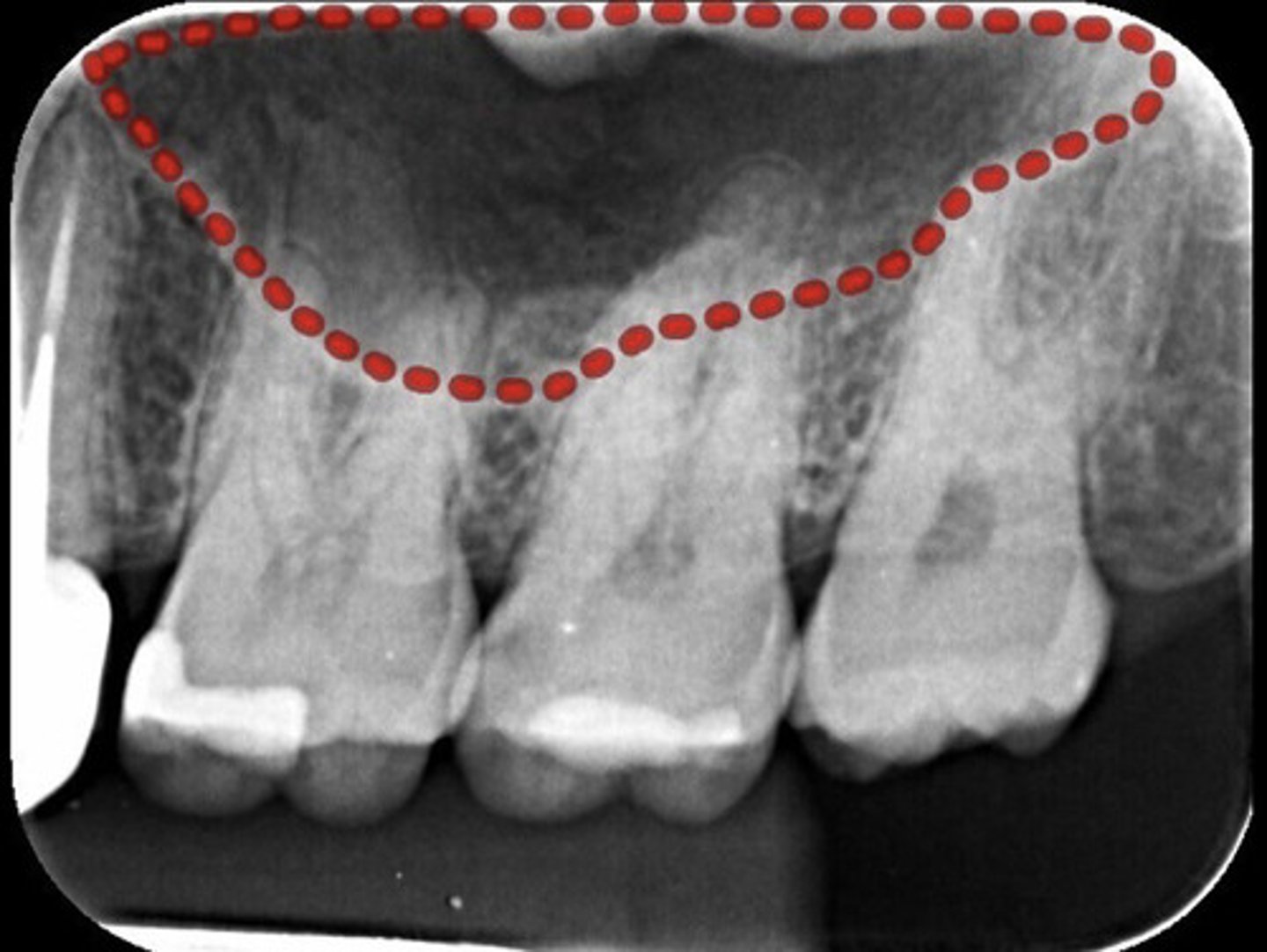
Lamina dura
What are the red arrows pointing to?

Alveolar crest
What are the red arrows pointing to?

Alveolar bone
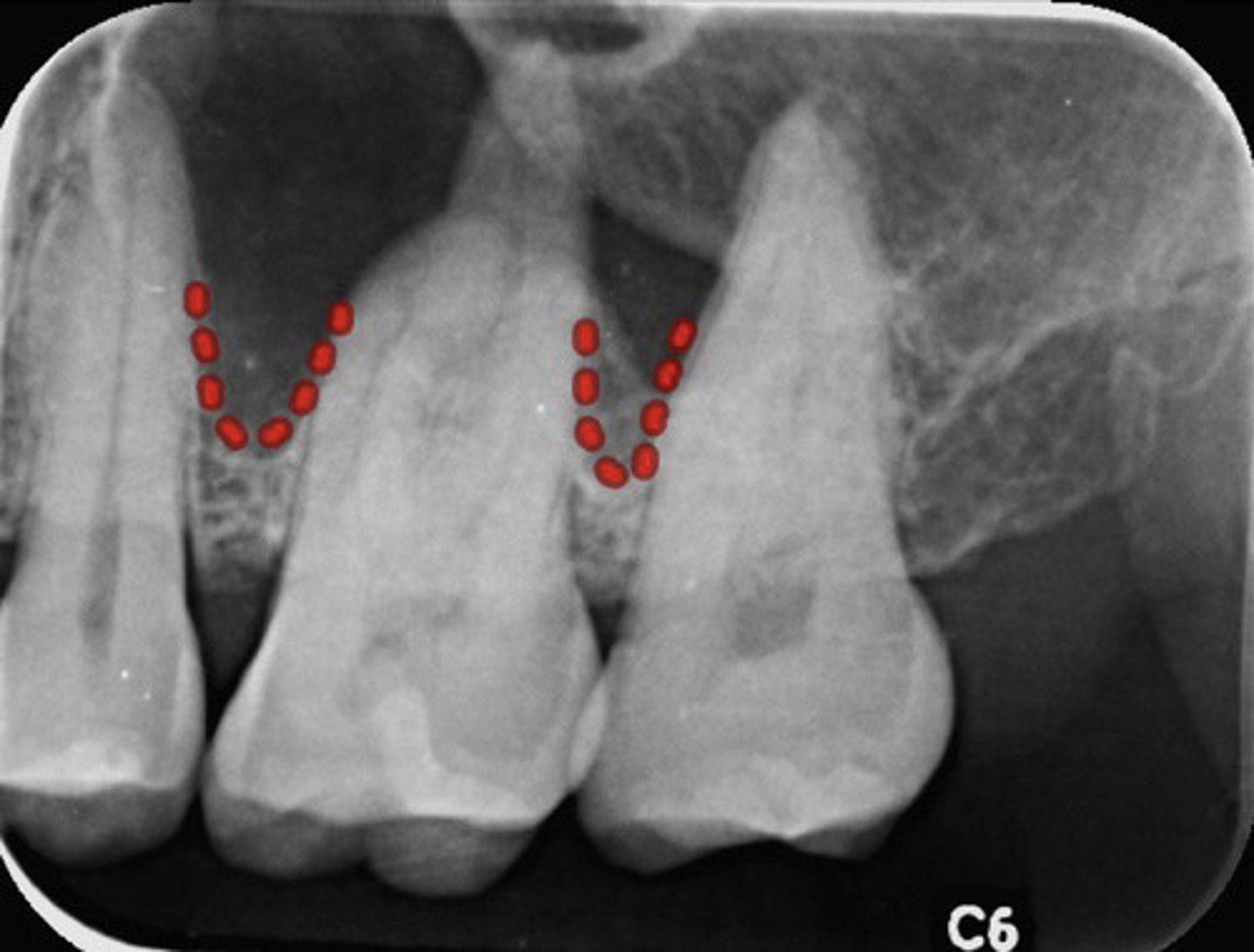
What are the red dots representing?

Dental papilla space
What are the red dots representing?

Dental follicle space
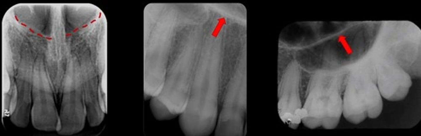
What is the red dotted line representing?

Intermaxillary suture
What is the red dotted line representing?

Incisive foramen
What are the red dotted lines representing?

Nasal cavity - nasal fossae
What are the red dotted lines circling?

inferior nasal conchae
What are the red dotted lines circling?

Nasal septum
What is the red dotted line representing?

Floor of nasal cavity
What are the red arrows pointing to?

Anterior nasal spine
What is the red dotted line representing?

Upper lips
What is the red dotted line representing?

Nasolabial fold
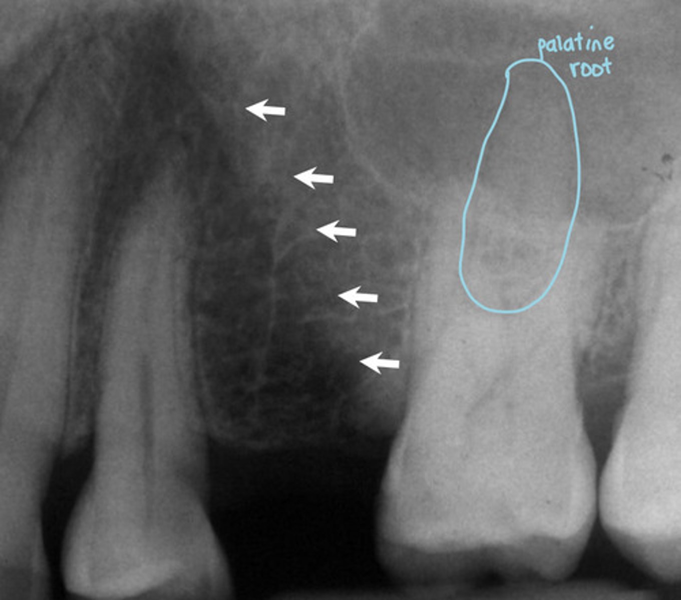
What are the white arrows pointing to?

Lateral fossa
What is the red dotted line representing?

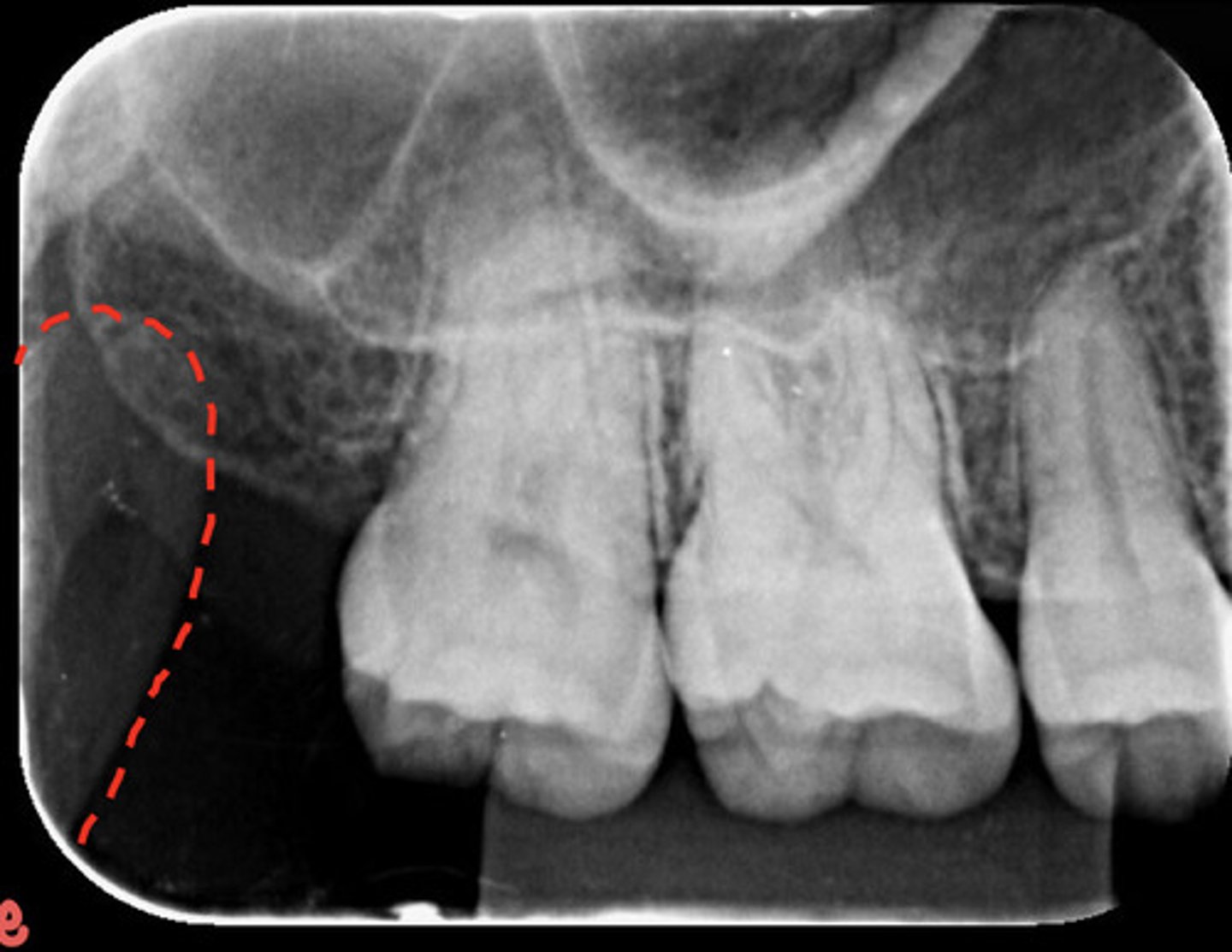
Maxillary tuberosity
What is the red dotted line representing?

Pterygoid hamulus
What is the red dotted line circling?

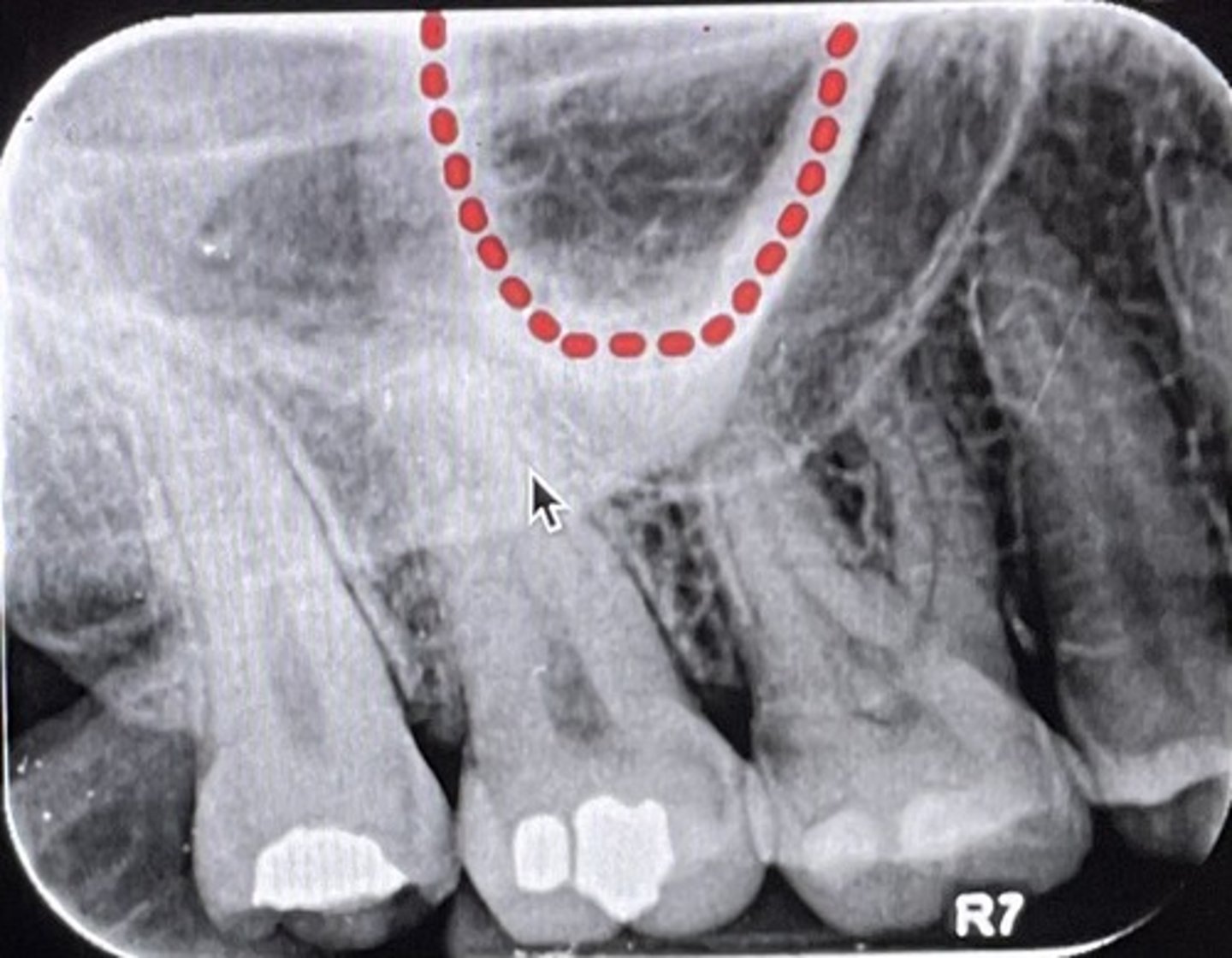
Maxillary sinus
What is the red dotted line representing?

Alveolar extension of the maxillary sinus
-pneumatization
What are the red dotted lines representing?

Tuberosity extension of the maxillary sinus
What is the red dotted line representing?

Anterior extension of the maxillary sinus
What is the red dotted line representing?

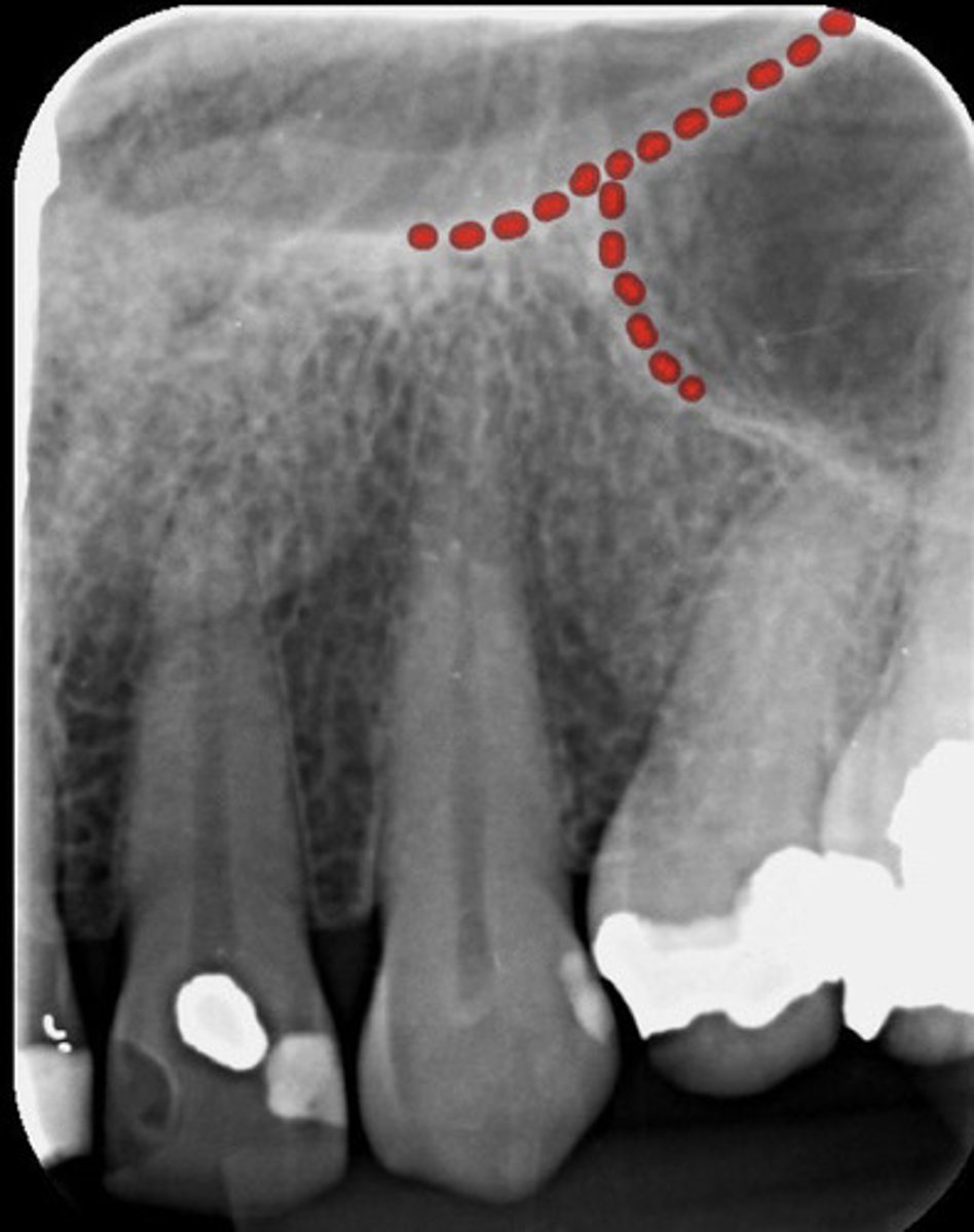
Y Line Of Ennis (Inverted Y)
What is the red dotted line representing?

Nutrient canals
What are the red dotted lines representing?

Zygomatic process of maxilla
What is the red dotted line circling?

Zygomatic bone
What is the red dotted line representing?

Coronoid process of mandible
What is the red dotted line representing?
