1/195
Looks like no tags are added yet.
Name | Mastery | Learn | Test | Matching | Spaced | Call with Kai |
|---|
No analytics yet
Send a link to your students to track their progress
muscularis mucosae
Identify the indicated layer of the wall of the alimentary canal.

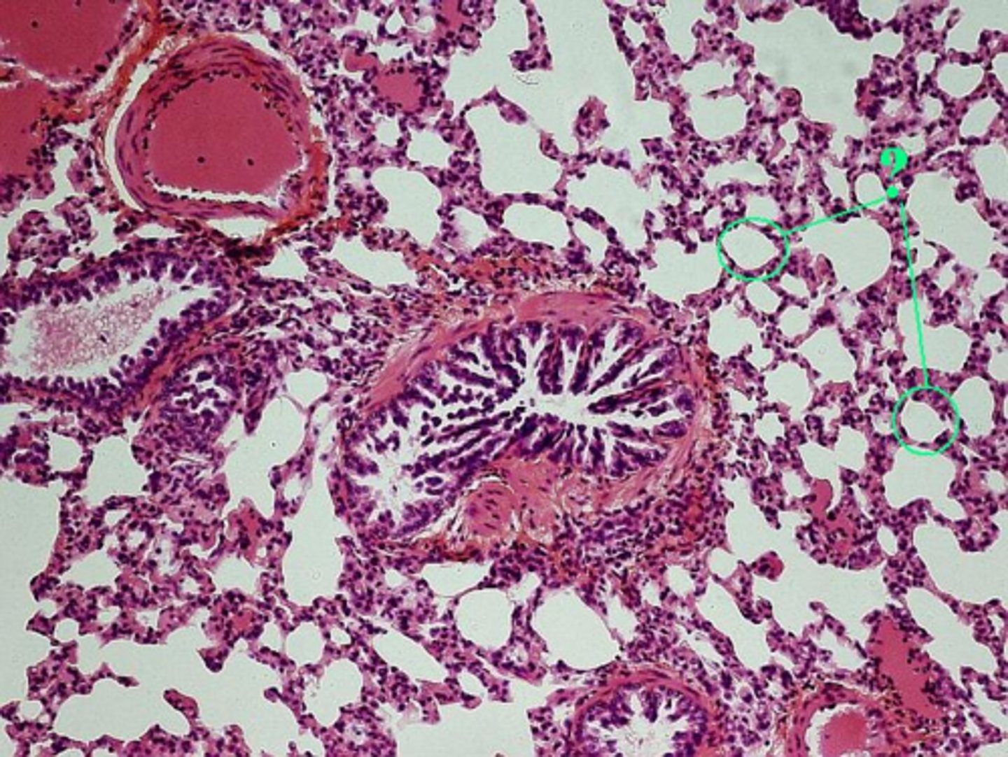
alveoli
Identify the indicated structures.

inferior concha
Identify the indicated structure.

conchae
The lobelike structures that extend into the nasal cavity from the lateral walls of the cavity are the:
larynx
The upper respiratory structures include the nose, the pharynx, and the:
nose
The upper respiratory structures include the pharynx, the larynx, and the:
expiratory reserve volume
What respiratory volume does the blue shaded area represent?

inspiratory reserve volume
What respiratory volume does the red shaded area represent?

residual volume
What respiratory volume does the green shaded area represent?

tidal volume
What respiratory volume does the yellow shaded area represent?

respiratory bronchiole
Identify the indicated structure.

terminal bronchiole
Identify the indicated structure.

alveoli
Identify the indicated structures.

alveolar sac
Identify the indicated structure.

cricoid cartilage
Identify the indicated structure.

vocal fold
Identify the indicated structure.

thyroid cartilage
Identify the indicated structure.

arytenoid cartilage
Identify the indicated structure.

cuneiform cartilage
Identify the indicated structure.

epiglottis
Identify the indicated structure.

vestibular fold
Identify the indicated structure.

posterior nasal aperture
Identify the indicated opening.

laryngopharynx
Identify the indicated region.

lingual tonsil
Identify the indicated structure.

middle concha
Identify the indicated structure.

oropharynx
Identify the indicated region.

frontal sinus
Identify the indicated structure.

external nares
Identify the indicated opening.

superior concha
Identify the indicated structure.

vestibular fold
Identify the indicated structure.

opening of the pharyngotympanic tube
Identify the indicated opening.

soft palate
Identify the indicated structure.

palatine tonsil
Identify the indicated structure.

nasal cavity
Identify the indicated region.

pharyngeal tonsil
Identify the indicated structure.

sphenoid sinus
Identify the indicated structure.

hard palate
Identify the indicated structure.

nasopharynx
Identify the indicated region.

vocal fold
Identify the indicated structure.

tidal volume
Identify the respiratory volume resulting from the following equation: VC - (IRV + ERV)
inspiratory reserve volume
Identify the respiratory volume resulting from the following equation: VC - (TV + ERV)
vital capacity
Identify the respiratory volume resulting from the following equation: TV + IRV + ERV
7500 ml
Given the following information, calculate the resting minute respiratory volume. Breaths/minute = 15; TV = 500 ml; ERV = 1000 ml
no
Does asthma necessarily change vital capacity?
expiratory reserve volume
Identify the respiratory volume resulting from the following equation: VC - (TV + IRV)
a
Does pneumonia cause vital capacity to increase, decrease, or stay the same?
a. decrease
b. increase
c. stay the same
a
Does vital capacity tend to increase, decrease, or stay the same with increasing age?
a. decreases
b. increases
c. stays the same
a
Who generally has the higher vital capacity, males or females?
a. males
b. females
10000 ml
Given the following information, calculate the resting minute respiratory volume. Breaths/minute = 20; TV = 500 ml; ERV = 1000 ml
8000 ml
Given the following information, calculate the resting minute respiratory volume. Breaths/minute = 10; TV = 800 ml; ERV = 1000 ml
soft palate
The portion of the dividing partition between the nasal and oral cavities that is not supported by bone is the:
tidal volume
The amount of air inhaled or exhaled with each breath under resting conditions ___________?
expiratory reserve volume
The amount of air that can be forcefully exhaled after a normal tidal volume exhalation ___________?
vital capacity
The maximum amount of air that can be exhaled after a maximal inspiration is called the ___________?
epiglottis
The structure that closes over the opening of the larynx during swallowing is the:
sinuses
The air filled cavities that surround the nasal cavity are the:
bronchi
The lower respiratory structures include the trachea, the lungs, and the:
trachea
The lower respiratory structures include the lungs, the bronchi, and the:
hard palate
The portion of the dividing partition between the nasal and oral cavities that is supported by bone is the:
inspiratory reserve volume
The amount of air that can be forcefully inhaled after a normal tidal volume inhalation ___________?
lungs
The lower respiratory structures include the trachea, the bronchi, and the:
5000 ml
Given the following information, calculate the resting minute respiratory volume. Breaths/minute = 10; TV = 500 ml; ERV = 1000 ml
nares
The external openings of the nasal cavity are the:
pharynx
The upper respiratory structures include the nose, the larynx, and the:
small intestine
The portion of the alimentary canal that is primarily responsible for the absorption of digested food is the:
small intestine
Identify the indicated structure.

salivary glands
The enzyme amylase is produced by the pancreas and what other organs?
bicuspid
Identify the indicated type of adult tooth

pepsinogen
What product do the chief cells of the stomach produce?
muscularis externa
Which tunic of the alimentary canal contains a circular layer of smooth muscle?
pepsin
What digestive enzyme breaks proteins into amino acids?
alpha cells
What pancreatic cells produce glucagon?
amylase
What digestive enzyme breaks starch into smaller saccharides?
rugae
What are the folds in the inner wall of the stomach called?
submandibular salivary gland
Identify the indicated structure.

tongue
Identify the indicated structure.

sublingual salivary gland
Identify the indicated structure.

palatine tonsil
Identify the indicated structure.

soft palate
Identify the indicated structure.

pancreas
The enzyme lipase is produced by what organ?
esophagus
The muscular tube that connects the pharynx with the stomach is the:
submucosal gland
Identify the indicated structure in the wall of the alimentary canal.

root canal
Identify the indicated structure of a tooth.

root
Identify the indicated region of a tooth.

pulm cavity
Identify the indicated structure of a tooth.

central vein
Identify the indicated structure of a liver lobule.

peridontal ligament
Identify the indicated structure of a tooth.

sinusoid
Identify the indicated structures of a liver lobule.

duodenum
What is the first 25 cm of the small intestine called?
portal triad
What structure is comprised of these three vessels?

lingual tonsil
Identify the indicated structure.

pancreas
Identify the indicated structure.

oral cavity
Identify the indicated region.

oral cavity
Identify the indicated region.

lipase
What digestive enzyme breaks fats into monoglycerides and fatty acids?
gallbladder
What structure acts as a storage vessel for bile?
pyloric sphincter
What structure controls the movement of chyme from the stomach to the duodenum?
jaundice
Blockage of the common hepatic duct or bile duct by gallstones can result in a buildup of bile in the bloodstream. This buildup can cause the skin to turn yellow, a condition called _____________?
pancreatic islets
What pancreatic region produces insulin and glucagon?
appendix
Identify the indicated structure.
