1/23
Looks like no tags are added yet.
Name | Mastery | Learn | Test | Matching | Spaced | Call with Kai |
|---|
No analytics yet
Send a link to your students to track their progress
Human palm skin
stratum granulosum
stratum spinosum
stratum corneum
reticular layer of dermis
stratum basale
papillary layer of dermis
specimen
label

Human palm skin
stratum corneum
stratum lucidum
stratum granulosum
stratum spinosum
stratum granulosum
papillary layer of dermis
specimen
label

stratum corneum
stratum spinosum
stratum granulosum
stratum basale
papillary layer of dermis
epidermal ridge
specimen
label

melanocytes
Stratum basale
• brownish color is due to _________
Human scalp
thin skin
stratum lucidum
stratum corneum
stratum spinosum
stratum basale
papillary layer of dermis
dermal papillae
specimen
type of skin:
due to this type of skin, it does not have this layer:
Label

Human palm skin
papillary layer of dermis
dermal papillae
epidermal ridge
reticular layer of dermis
sweat gland
sweat gland
sweat gland
specimen:
label

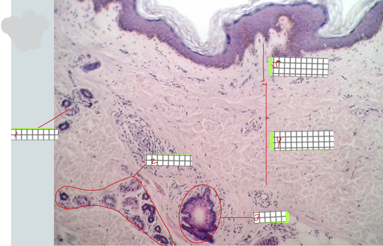
Human brown skin
sweat gland
sweat gland
hair follicle
reticular of dermis
papillary of dermis
specimen:
label

Human scalp
hair
continuous with stratum basale and external root sheath
sebaceous gland
arrector pili muscle
hair
medulla
cortex
sweat gland
specimen:
label

Arrector pili muscle
when it contracts, causes goosebumps
Human scalp
connective tissue sheath
glassy membrane
external root sheath
cortex
internal root sheath
hair
sebaceous gland
basal cell of sebaceous gland
sweat gland
specimen
label

Basal cell of sebaceous gland
undergoes mitotic division, pushes the cells which eventually disintegrates
Holocrine secretion
Sebaceous gland
• type of secretion:
reticular layer of dermis
hypodermis
adipose cell
specimen
label

periphery
Adipose cell
• nuclei location:
Human scalp
longitudinal section
hypodermis
adipocyte
medulla
cortex
external root sheath
internal root sheath
connective tissue sheath
dermal papillae
specimen:
type of section:
label

Human scalp
cross section
glassy membrane
connective tissue sheath
internal root sheath
medulla
cortex
external root sheath
specimen
type of section:
label

yes
Is glassy membrane continuous with stratum basale
Glassy membrane
external root sheath
____________
• is continuous with the basement membrane
• is part of the ___________
Connective Tissue Sheath
lies on the dermis
hair
internal root sheath
sebaceous gland
external root sheath
connective tissue sheath
arrector pili muscle
sweat gland
specimen
type of section:
label

Human scalp
longitudinal section
myoepithelial cell
duct of sweat gland
specimen
type of section:
label

stratified cuboidal epithelium
Ducts of sweat glands
• type pf epithelium:
Myoepithelial cell
contraction for the release of sweat in sweat glands
human scalp
cross section
sebaceous gland
sebaceous gland
glassy membrane
connective tissue sheath
duct of sweat gland
blood vessel
external root sheath
hair
sebaceous gland
blood vessel
duct of sweat gland
specimen
type of section:
