Histology

0.0(0)
studied byStudied by 0 people
0.0(0)
full-widthCall with Kai
GameKnowt Play
New
learnLearn
examPractice Test
spaced repetitionSpaced Repetition
heart puzzleMatch
flashcardsFlashcards
Card Sorting

1/51

encourage image

There's no tags or description

Looks like no tags are added yet.

Study Analytics
Name
Mastery
Learn
Test
Matching
Spaced

No study sessions yet.

52 Terms

1
New cards
term image

Tissue: simple squamous epithelium

Location: 

  • kidneys

  • alveoli

  • lining of heart, blood and lymphatic vessels

  • ventral body cavity lining

Function:

  • diffusion and filtration

  • secretes lubricating substance 

2
New cards
term image

wwswww

3
New cards
term image

Tissue:

Location:

Function:

4
New cards
term image

Tissue:

Location:

Function:

5
New cards
term image

Tissue:

Location:

Function:

6
New cards
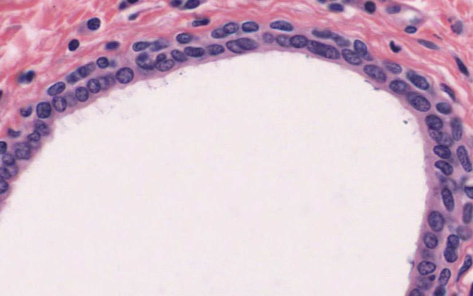
<p>smaller duct</p>

smaller duct

Tissue: simple cuboidal epithelium

Location: Pancrease

Function:

  • secretion and absorption

7
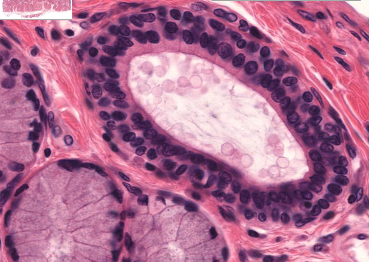
New cards
<p>larger duct</p>

larger duct

Tissue: simple columnar epithelium

Location: pancreas

Function:

  • absorption, secretion of mucus enzymes and other subs

  • ciliated: propel mucus or reproductive cells by ciliary action

8
New cards
term image
9
New cards
term image
10
New cards
term image
11
New cards
term image
12
New cards
term image
13
New cards
term image
14
New cards
term image

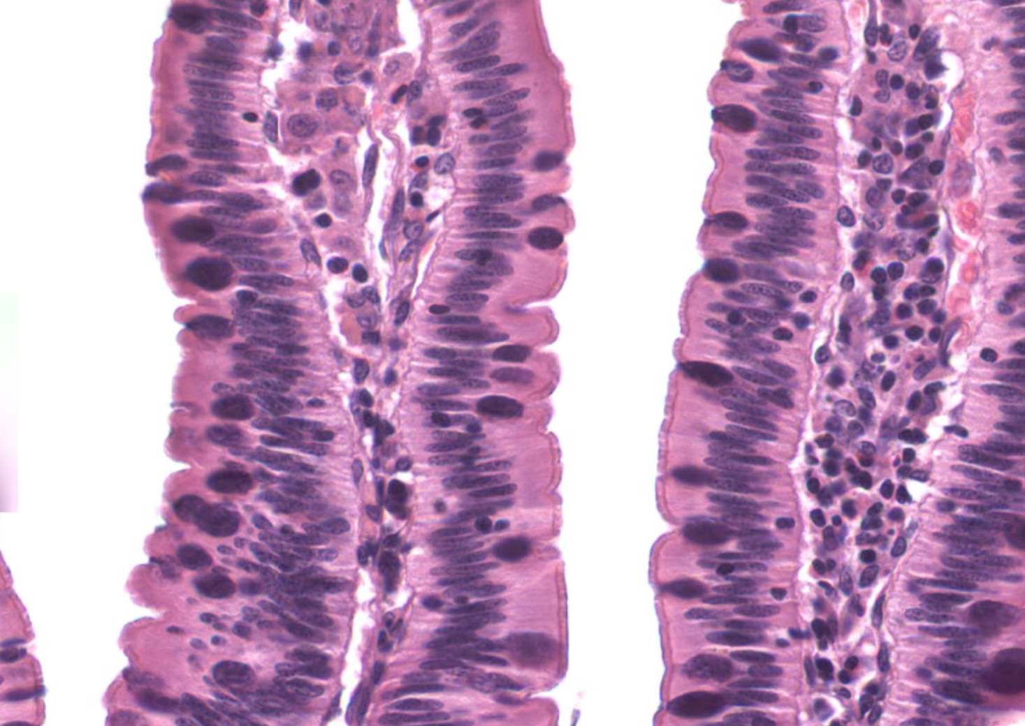
Tissue: pseudostratified columnar epithelium

Location: larynx

Function:

  • secretion of mucus

  • ciliated: propel mucus by ciliary action

15
New cards
term image
16
New cards
term image
17
New cards
term image
18
New cards
term image
19
New cards
term image
20
New cards
term image
21
New cards
term image
22
New cards
term image
23
New cards
term image

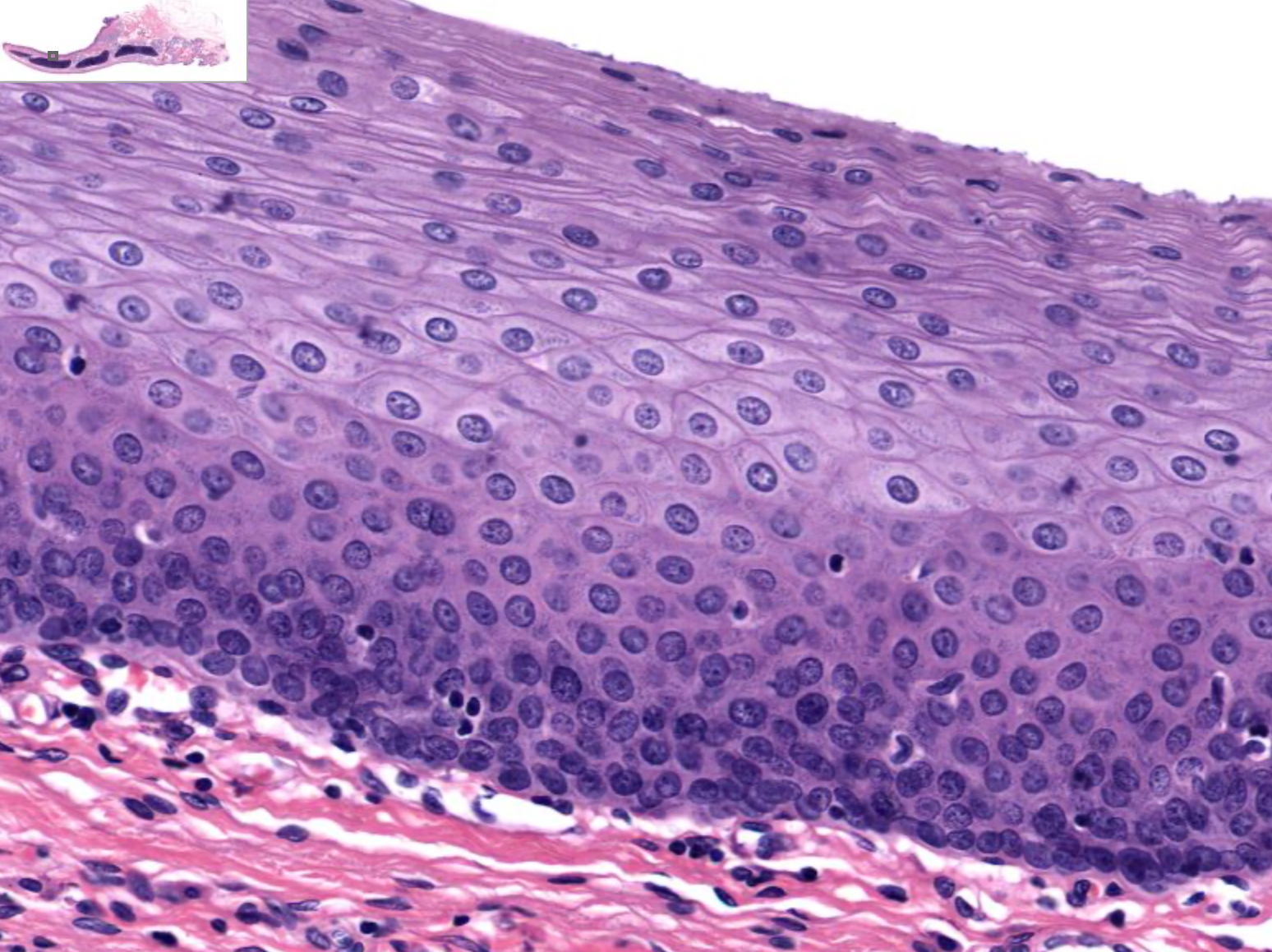
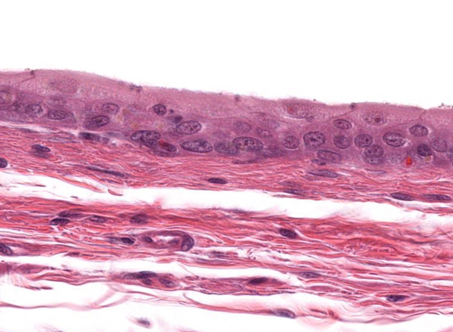
Tissue: nonkeratinized stratified squamous epithelium

Location: anterior surface of cornea

Function:

  • protects underlying tissues in areas subject to ABRASION

  • surface is exposed to air and is non-keratinized, the epithelium must be kept constantly moist with tears.

24
New cards
term image
25
New cards
term image
26
New cards
term image

Tissue: relaxed transitional epithelium

Location: Lower Urinary Tract

also in: ureters, urinary bladder, part of urethra

Function:

  • stretches and permits distention

27
New cards
term image
28
New cards
term image

Tissue: transitional epithelium

Location: bladder

also in: ureters, urinary bladder, part of urethra

Function:

  • stretches and permits distention

29
New cards
term image
knowt flashcard image
30
New cards
term image

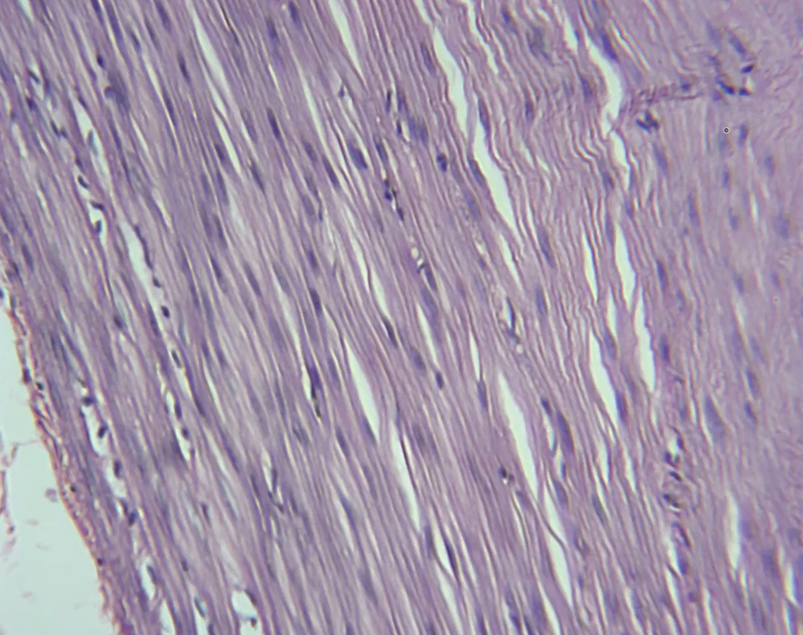
Tissue: Dense Regular Connective Tissue

Location: tendons and ligaments

Function:

  • tendon: muscle to bone

  • ligaments: muscle to muscle

31
New cards
term image

Tissue: Dense Irregular Connective Tissue

Location: Dermis

Function:

  • strength and elasticity

32
New cards
term image
33
New cards
term image

Tissue: Dense Regular Connective Tissue

Location: tendons and ligaments

Function:

  • tendon: muscle to bone

  • ligaments: muscle to muscle

34
New cards
term image
35
New cards
term image

Tissue: Areolar Connective Tissue

Location: 

  • under epithelia

  • packages organs

  • capillaries

Function:

  • wraps and cushions organs

  • holds tissue fluid

  • main battlefield against infection

36
New cards
term image
37
New cards
term image
38
New cards
term image
  1. hyaline cartilage

  2. elastic cartilage

  3. fibrocartilage

<ol><li><p>hyaline cartilage</p></li><li><p>elastic cartilage </p></li><li><p>fibrocartilage</p></li></ol><p></p>
39
New cards
term image
knowt flashcard image
40
New cards
term image
knowt flashcard image
41
New cards
term image
42
New cards
term image
43
New cards
term image
44
New cards
term image
45
New cards
term image
46
New cards
term image
47
New cards
term image
48
New cards
term image

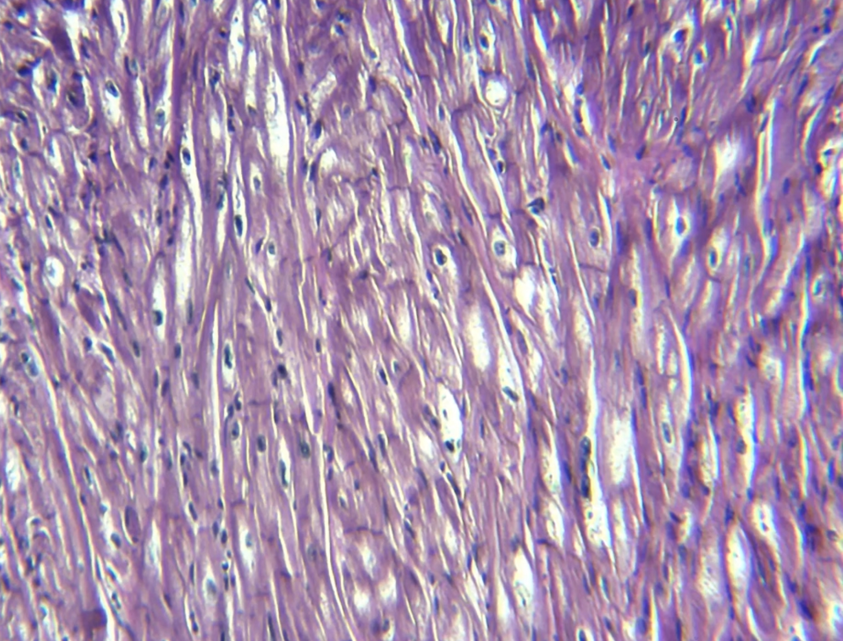
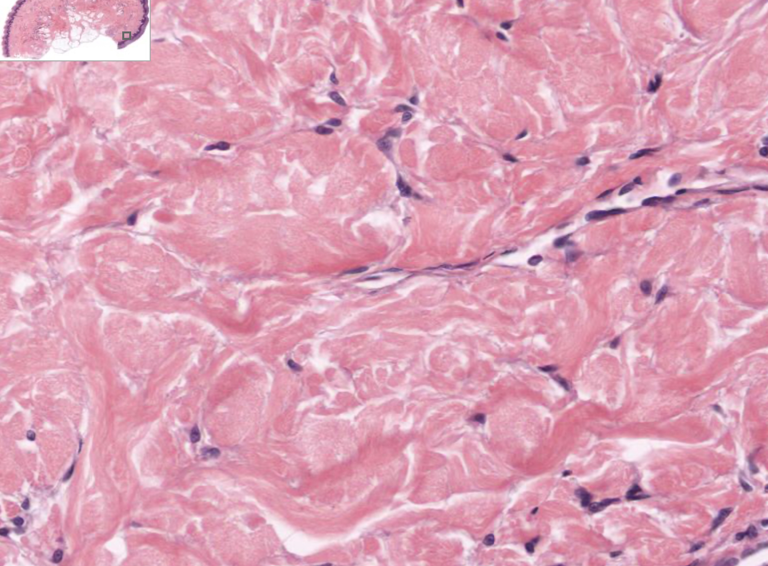
Tissue: Skeletal Muscle Tissue

Location: 

  • skeletal muscles attached to bones

Function:

  • voluntary movement

  • manipulation of environment

  • facial expressions

49
New cards
term image
50
New cards
term image
51
New cards
term image
52
New cards
term image